JavaScript is disabled in your browser. Please enable JavaScript to view this website.
AB271046

Anti-KDM3B / JMJD1B antibody [EPR24219-30]

  • BOND RX™ Validated
  • 20ul selling size
  • RabMAb
  • Recombinant
  • What is this?

Be the first to review this product! Submit a review

|

(0 Publication)

Rabbit Recombinant Monoclonal KDM3B / JMJD1B antibody. Suitable for ICC/IF, WB, IHC-P, Flow Cyt (Intra) and reacts with Mouse, Human, Rat samples.

View Alternative Names

C5orf7, JHDM2B, JMJD1B, KIAA1082, KDM3B, Lysine-specific demethylase 3B, JmjC domain-containing histone demethylation protein 2B, Jumonji domain-containing protein 1B, Nuclear protein 5qNCA, [histone H3]-dimethyl-L-lysine(9) demethylase 3B

8 Images
Flow Cytometry (Intracellular) - Anti-KDM3B / JMJD1B antibody [EPR24219-30] (AB271046)
  • Flow Cyt (Intra)

Lab

Flow Cytometry (Intracellular) - Anti-KDM3B / JMJD1B antibody [EPR24219-30] (AB271046)

Flow cytometric analysis of 4% paraformaldehyde fixed, 90% methanol permeabilized HeLa (Human cervix adenocarcinoma epithelial cell) cells labelling KDM3B / JMJD1B with ab271046 at 1/500 dilution (0.1μg) (Red) compared with a Rabbit monoclonal IgG (ab172730) (Black) isotype control and an unlabelled control (cells without incubation with primary antibody and secondary antibody) (Blue). A Goat Anti-Rabbit IgG (Alexa Fluor® 488, ab150081) at 1/2000 dilution was used as the secondary antibody.

Immunocytochemistry/ Immunofluorescence - Anti-KDM3B / JMJD1B antibody [EPR24219-30] (AB271046)
  • ICC/IF

Lab

Immunocytochemistry/ Immunofluorescence - Anti-KDM3B / JMJD1B antibody [EPR24219-30] (AB271046)

Immunofluorescent analysis of 4% Paraformaldehyde-fixed, 0.1% Triton X-100 permeabilized HeLa cells labeling KDM3B / JMJD1B with ab271046 at 1/500 dilution, followed by ab150077 Goat Anti-Rabbit IgG H&L (Alexa Fluor® 488) antibody at 1/1000 dilution (Green). Confocal image showing nuclear staining in HeLa cell line. ab195889 Anti-alpha Tubulin mouse monoclonal antibody - Microtubμue Marker (Alexa Fluor® 594) was used to counterstain tubulin at 1/200 dilution (Red). The Nuclear counterstain was DAPI (Blue).

Secondary antibody only control : Secondary antibody is ab150077 Goat Anti-Rabbit IgG H&L (Alexa Fluor® 488) at 1/1000 dilution.

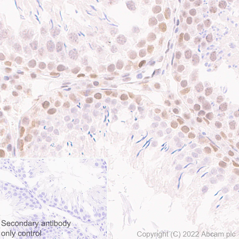
Immunohistochemistry (Formalin/PFA-fixed paraffin-embedded sections) - Anti-KDM3B / JMJD1B antibody [EPR24219-30] (AB271046)
  • IHC-P

Lab

Immunohistochemistry (Formalin/PFA-fixed paraffin-embedded sections) - Anti-KDM3B / JMJD1B antibody [EPR24219-30] (AB271046)

Immunohistochemical analysis of paraffin-embedded Rat testis tissue labelling KDM3B / JMJD1B with ab271046 at 1/5000 dilution followed by LeicaDS9800 (Bond™, Polymer Refine Detection). Positive staining on rat testis. The section was incubated with ab271046 for 30 mins at room temperature. The immunostaining was performed on a Leica Biosystems BOND® RX instrument. Counterstained with Hematoxylin.

Secondary antibody only control : Secondary antibody is LeicaDS9800 (Bond™, Polymer Refine Detection).

Heat mediated antigen retrieval with Tris-EDTA buffer (pH 9.0, epitope retrieval solution2) for 20 mins.

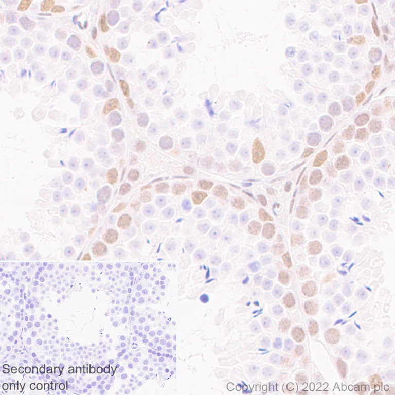
Immunohistochemistry (Formalin/PFA-fixed paraffin-embedded sections) - Anti-KDM3B / JMJD1B antibody [EPR24219-30] (AB271046)
  • IHC-P

Lab

Immunohistochemistry (Formalin/PFA-fixed paraffin-embedded sections) - Anti-KDM3B / JMJD1B antibody [EPR24219-30] (AB271046)

Immunohistochemical analysis of paraffin-embedded Mouse testis tissue labelling KDM3B / JMJD1B with ab271046 at 1/5000 dilution followed by LeicaDS9800 (Bond™, Polymer Refine Detection). Positive staining on mouse testis (PMID : 26681924). The section was incubated with ab271046 for 30 mins at room temperature. The immunostaining was performed on a Leica Biosystems BOND® RX instrument. Counterstained with Hematoxylin.

Secondary antibody only control : Secondary antibody is a LeicaDS9800 (Bond™, Polymer Refine Detection).

Heat mediated antigen retrieval with Tris-EDTA buffer (pH 9.0, epitope retrieval solution2) for 20 mins.

Immunocytochemistry/ Immunofluorescence - Anti-KDM3B / JMJD1B antibody [EPR24219-30] (AB271046)
  • ICC/IF

Lab

Immunocytochemistry/ Immunofluorescence - Anti-KDM3B / JMJD1B antibody [EPR24219-30] (AB271046)

Immunofluorescent analysis of 4% Paraformaldehyde-fixed, 0.1% Triton X-100 permeabilized NIH/3T3 cells labeling KDM3B / JMJD1B with ab271046 at 1/500 dilution, followed by 150077 Goat Anti-Rabbit IgG H&L (Alexa Fluo 488) antibody at 1/1000 dilution (Green). Confocal image showing nuclear staining in NIH/3T3 cell line. ab195889 Anti-alpha Tubulin mouse monoclonal antibody - Microtubule Marker (Alexa Fluor® 594) was used to counterstain tubulin at 1/200 dilution (Red). The Nuclear counterstain was DAPI (Blue).

Secondary antibody only control : Secondary antibody is ab150077 Goat Anti-Rabbit IgG H&L (Alexa Fluor® 488) at 1/1000 dilution.

Flow Cytometry (Intracellular) - Anti-KDM3B / JMJD1B antibody [EPR24219-30] (AB271046)
  • Flow Cyt (Intra)

Lab

Flow Cytometry (Intracellular) - Anti-KDM3B / JMJD1B antibody [EPR24219-30] (AB271046)

Flow cytometric analysis of 4% paraformaldehyde fixed, 90% methanol permeabilized NIH/3T3 (Mouse embryonic fibroblast) cells labelling KDM3B / JMJD1B with ab271046 at 1/500 dilution (0.1μg) (Red) compared with a Rabbit monoclonal IgG (ab172730) (Black) isotype control and an unlabelled control (cells without incubation with primary antibody and secondary antibody) (Blue). A Goat Anti-Rabbit IgG (Alexa Fluor® 488, ab150081) at 1/2000 dilution was used as the secondary antibody.

Western blot - Anti-KDM3B / JMJD1B antibody [EPR24219-30] (AB271046)
  • WB

Lab

Western blot - Anti-KDM3B / JMJD1B antibody [EPR24219-30] (AB271046)

Blocking and diluting buffer and concentration : 5% NFDM/TBST.

Lysates were made freshly and used in WB immediately to minimize protein degradation.

Exposure time : 3 minutes

All lanes:

Western blot - Anti-KDM3B / JMJD1B antibody [EPR24219-30] (ab271046) at 1/1000 dilution

Lane 1:

HeLa (human epithelial cell line from cervix adenocarcinoma), whole cell lysate at 20 µg

Lane 2:

293T ( human embryonic kidney epithelial cell) whole cell lysate at 20 µg

Lane 3:

NIH/3T3 (mouse embryonic fibroblast), whole cell lysate at 20 µg

Lane 4:

PC-12 (rat adrenal gland pheochromocytoma), whole cell lysate at 20 µg

Secondary

All lanes:

Goat Anti-Rabbit IgG, (H+L), Peroxidase conjugated (<a href='/en-us/products/secondary-antibodies/goat-rabbit-igg-h-l-hrp-ab97051'>ab97051</a>) at 1/100000 dilution

Predicted band size: 191 kDa

Observed band size: 220 kDa

false

Western blot - Anti-KDM3B / JMJD1B antibody [EPR24219-30] (AB271046)
  • WB

Lab

Western blot - Anti-KDM3B / JMJD1B antibody [EPR24219-30] (AB271046)

Blocking and diluting buffer and concentration : 5% NFDM/TBST.

Lysates were made freshly and used in WB immediately to minimize protein degradation.

This blot was developed using a higher sensitivity ECL substrate.

Exposure time : 3 minutes.

All lanes:

Western blot - Anti-KDM3B / JMJD1B antibody [EPR24219-30] (ab271046) at 1/1000 dilution

Lane 1:

Mouse testis tissue lysate at 20 µg

Lane 2:

Mouse placenta tissue lysate at 20 µg

Secondary

All lanes:

Goat Anti-Rabbit IgG, (H+L), Peroxidase conjugated (<a href='/en-us/products/secondary-antibodies/goat-rabbit-igg-h-l-hrp-ab97051'>ab97051</a>) at 1/100000 dilution

Predicted band size: 191 kDa

Observed band size: 220 kDa

false

  • Carrier free

    Anti-KDM3B / JMJD1B antibody [EPR24219-30] - BSA and Azide free

Key facts

Host species

Rabbit

Clonality

Monoclonal

Clone number

EPR24219-30

Isotype

IgG

Carrier free

No

Reacts with

Rat, Human, Mouse

Applications

Flow Cyt (Intra), ICC/IF, WB, IHC-P

applications

Immunogen

The exact immunogen used to generate this antibody is proprietary information.

Specificity

This antibody does not react with Human species for IHC.

Reactivity data

{ "title": "Reactivity Data", "filters": { "stats": ["", "Species", "Dilution Info", "Notes"], "tabs": { "all-applications": {"fullname" : "All Applications", "shortname": "All Applications"}, "ICCIF" : {"fullname" : "Immunocytochemistry/ Immunofluorescence", "shortname":"ICC/IF"}, "IP" : {"fullname" : "Immunoprecipitation", "shortname":"IP"}, "WB" : {"fullname" : "Western blot", "shortname":"WB"}, "IHCP" : {"fullname" : "Immunohistochemistry (Formalin/PFA-fixed paraffin-embedded sections)", "shortname":"IHC-P"}, "FlowCytIntra" : {"fullname" : "Flow Cytometry (Intracellular)", "shortname":"Flow Cyt (Intra)"} }, "product-promise": { "all": "all", "testedAndGuaranteed": "tested", "guaranteed": "expected", "predicted": "predicted", "notRecommended": "not-recommended" } }, "values": { "Human": { "ICCIF-species-checked": "testedAndGuaranteed", "ICCIF-species-dilution-info": "1/500", "ICCIF-species-notes": "<p></p>", "IP-species-checked": "notRecommended", "IP-species-dilution-info": "", "IP-species-notes": "<p></p>", "WB-species-checked": "testedAndGuaranteed", "WB-species-dilution-info": "1/1000", "WB-species-notes": "<p></p>", "IHCP-species-checked": "notRecommended", "IHCP-species-dilution-info": "1/5000", "IHCP-species-notes": "<p>This antibody does not react with Human species for IHC.</p>", "FlowCytIntra-species-checked": "testedAndGuaranteed", "FlowCytIntra-species-dilution-info": "1/500", "FlowCytIntra-species-notes": "<p></p>" }, "Mouse": { "ICCIF-species-checked": "testedAndGuaranteed", "ICCIF-species-dilution-info": "1/500", "ICCIF-species-notes": "<p></p>", "IP-species-checked": "notRecommended", "IP-species-dilution-info": "", "IP-species-notes": "<p></p>", "WB-species-checked": "testedAndGuaranteed", "WB-species-dilution-info": "1/1000", "WB-species-notes": "<p></p>", "IHCP-species-checked": "testedAndGuaranteed", "IHCP-species-dilution-info": "1/5000", "IHCP-species-notes": "<p>This antibody does not react with Human species for IHC.</p>", "FlowCytIntra-species-checked": "testedAndGuaranteed", "FlowCytIntra-species-dilution-info": "1/500", "FlowCytIntra-species-notes": "<p></p>" }, "Rat": { "ICCIF-species-checked": "guaranteed", "ICCIF-species-dilution-info": "", "ICCIF-species-notes": "", "IP-species-checked": "notRecommended", "IP-species-dilution-info": "", "IP-species-notes": "", "WB-species-checked": "testedAndGuaranteed", "WB-species-dilution-info": "1/1000", "WB-species-notes": "<p></p>", "IHCP-species-checked": "testedAndGuaranteed", "IHCP-species-dilution-info": "1/5000", "IHCP-species-notes": "<p>This antibody does not react with Human species for IHC.</p>", "FlowCytIntra-species-checked": "guaranteed", "FlowCytIntra-species-dilution-info": "", "FlowCytIntra-species-notes": "" } } }

Product details

ab271046 does not react with Human species for IHC application.

Patented technology
Our RabMAb® technology is a patented hybridoma-based technology for making rabbit monoclonal antibodies. For details on our patents, please refer to RabMAb® patents.

What are the advantages of a recombinant monoclonal antibody?
This product is a recombinant monoclonal antibody, which offers several advantages including:

  • - High batch-to-batch consistency and reproducibility
  • - Improved sensitivity and specificity
  • - Long-term security of supply
  • - Animal-free batch production

For more information, read more on recombinant antibodies.

Properties and storage information

Form
Liquid
Purification technique
Affinity purification Protein A
Storage buffer
pH: 7.2 - 7.4 Preservative: 0.01% Sodium azide Constituents: PBS, 40% Glycerol (glycerin, glycerine), 0.05% BSA
Shipped at conditions
Blue Ice
Appropriate short-term storage duration
1-2 weeks
Appropriate short-term storage conditions
+4°C
Appropriate long-term storage conditions
-20°C
Aliquoting information
Upon delivery aliquot
Storage information
Avoid freeze / thaw cycle

Product protocols

For this product, it's our understanding that no specific protocols are required. You can visit:

Target data

Histone demethylase that specifically demethylates 'Lys-9' of histone H3, thereby playing a central role in histone code. Demethylation of Lys residue generates formaldehyde and succinate. May have tumor suppressor activity.
See full target information KDM3B

Product promise

We are committed to supporting your work with high-quality reagents, and we're here for you every step of the way. In the unlikely event that one of our products does not perform as expected, you're protected by our Product Promise.
For full details, please see our Terms & Conditions

Please note: All products are 'FOR RESEARCH USE ONLY. NOT FOR USE IN DIAGNOSTIC OR THERAPEUTIC PROCEDURES'.

For licensing inquiries, please contact partnerships@abcam.com