JavaScript is disabled in your browser. Please enable JavaScript to view this website.
AB191433

Anti-KDM4A / JHDM3A / JMJD2A antibody [EPR18466]

Be the first to review this product! Submit a review

|

(13 Publications)

Rabbit Recombinant Monoclonal KDM4A / JHDM3A / JMJD2A antibody. Suitable for IP, WB, IHC-P and reacts with Human, Mouse, Rat samples. Cited in 13 publications.

View Alternative Names

JHDM3A, JMJD2, JMJD2A, KIAA0677, KDM4A, Lysine-specific demethylase 4A, JmjC domain-containing histone demethylation protein 3A, Jumonji domain-containing protein 2A, [histone H3]-trimethyl-L-lysine(36) demethylase 4A, [histone H3]-trimethyl-L-lysine(9) demethylase 4A

6 Images
Immunohistochemistry (Formalin/PFA-fixed paraffin-embedded sections) - Anti-KDM4A / JHDM3A / JMJD2A antibody [EPR18466] (AB191433)
  • IHC-P

Supplier Data

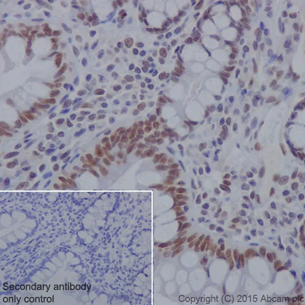
Immunohistochemistry (Formalin/PFA-fixed paraffin-embedded sections) - Anti-KDM4A / JHDM3A / JMJD2A antibody [EPR18466] (AB191433)

Immunohistochemical analysis of paraffin-embedded human colon tissue labeling KDM4A / JHDM3A / JMJD2A with ab191433 at 1/250 dilution followed by Goat Anti-Rabbit IgG H&L (HRP) (ab97051) at 1/500 dilution.

Nuclear staining in epithelial cells of human colon is observed.

Counter stained with Hematoxylin.

Secondary antibody only control : Used PBS instead of primary antibody secondary antibody is Goat Anti-Rabbit IgG H&L (HRP) (ab97051) at 1/500 dilution.

Perform heat mediated antigen retrieval with Tris/EDTA buffer pH 9.0 before commencing with IHC staining protocol.

Immunoprecipitation - Anti-KDM4A / JHDM3A / JMJD2A antibody [EPR18466] (AB191433)
  • IP

Supplier Data

Immunoprecipitation - Anti-KDM4A / JHDM3A / JMJD2A antibody [EPR18466] (AB191433)

KDM4A / JHDM3A / JMJD2A was immunoprecipitated from 1mg of HeLa (Human epithelial cell line from cervix adenocarcinoma) whole cell lysate with ab191433 at 1/80 dilution.

Western blot was performed from the immunoprecipitate using ab191433 at 1/1000 dilution.

VeriBlot for IP Detection Reagent (HRP) (ab131366), was used for detection at 1/10000 dilution.

Lane 1 : HeLa whole cell lysate 10μg (Input).

Lane 2 : ab191433 IP in HeLa whole cell lysate.

Lane 3 : Rabbit monoclonal IgG (ab172730) instead of ab191433 in HeLa whole cell lysate.

Blocking and dilution buffer and concentration : 5% NFDM/TBST.

Exposure time : 3 seconds.

All lanes:

Immunoprecipitation - Anti-KDM4A / JHDM3A / JMJD2A antibody [EPR18466] (ab191433)

Predicted band size: 120 kDa

false

Immunohistochemistry (Formalin/PFA-fixed paraffin-embedded sections) - Anti-KDM4A / JHDM3A / JMJD2A antibody [EPR18466] (AB191433)
  • IHC-P

Supplier Data

Immunohistochemistry (Formalin/PFA-fixed paraffin-embedded sections) - Anti-KDM4A / JHDM3A / JMJD2A antibody [EPR18466] (AB191433)

Immunohistochemical analysis of paraffin-embedded rat colon tissue labeling KDM4A / JHDM3A / JMJD2A with ab191433 at 1/250 dilution followed by Goat Anti-Rabbit IgG H&L (HRP) (ab97051) at 1/500 dilution.

Nuclear staining in epithelial cells of rat colon is observed.

Counter stained with Hematoxylin.

Secondary antibody only control : Used PBS instead of primary antibody secondary antibody is Goat Anti-Rabbit IgG H&L (HRP) (ab97051) at 1/500 dilution.

Perform heat mediated antigen retrieval with Tris/EDTA buffer pH 9.0 before commencing with IHC staining protocol.

Western blot - Anti-KDM4A / JHDM3A / JMJD2A antibody [EPR18466] (AB191433)
  • WB

Lab

Western blot - Anti-KDM4A / JHDM3A / JMJD2A antibody [EPR18466] (AB191433)

Lane 1 : Wild-type HAP1 cell lysate (20 μg)
Lane 2 : KDM4A / JHDM3A / JMJD2A knockout HAP1 cell lysate (20 μg)
Lane 3 : U2OS cell lysate (20 μg)
Lane 4 : PC12 cell lysate (20 μg)
Lanes 1 - 4 : Merged signal (red and green). Green - ab191433 observed at 110 kDa. Red - loading control, ab8245, observed at 37 kDa.
ab191433 was shown to specifically react with KDM4A / JHDM3A / JMJD2A when KDM4A / JHDM3A / JMJD2A knockout samples were used. Wild-type and KDM4A / JHDM3A / JMJD2A knockout samples were subjected to SDS-PAGE. ab191433 and ab8245 (loading control to GAPDH) were diluted 1/500 and 1/10000 respectively and incubated overnight at 4°C. Blots were developed with Goat anti-Rabbit IgG H&L (IRDye® 800CW) preadsorbed (ab216773) and Goat anti-Mouse IgG H&L (IRDye® 680RD) preadsorbed (ab216776) secondary antibodies at 1/10000 dilution for 1 hour at room temperature before imaging.

All lanes:

Western blot - Anti-KDM4A / JHDM3A / JMJD2A antibody [EPR18466] (ab191433)

Predicted band size: 120 kDa

false

Western blot - Anti-KDM4A / JHDM3A / JMJD2A antibody [EPR18466] (AB191433)
  • WB

Unknown

Western blot - Anti-KDM4A / JHDM3A / JMJD2A antibody [EPR18466] (AB191433)

Exposure time : Lane 1 : 1 minute; Lane 2 : 3 minutes; Lane 3 and 4 : 1 minute

Blocking/Dilution buffer : 5% NFDM/TBST

Lanes 1 - 3:

Western blot - Anti-KDM4A / JHDM3A / JMJD2A antibody [EPR18466] (ab191433) at 1/5000 dilution

Lane 4:

Anti-MTHFD2 antibody [7] (<a href='/en-us/products/unavailable/mthfd2-antibody-7-ab191443'>ab191443</a>) at 1/5000 dilution

Lane 1:

Human fetal kidney at 10 µg

Lane 2:

HEK-293 (Human epithelial cell line from embryonic kidney) whole cell lysate at 20 µg

Lane 3:

LNCaP (Human prostate cancer cell line) whole cell lysate at 20 µg

Lane 4:

U-2 OS (Human bone osteosarcoma epithelial cell line) whole call lysate at 20 µg

Secondary

Lane 1:

Goat Anti-Rabbit IgG Peroxidase Conjugate, specific to the non-reduced form of IgG at 1/100000 dilution

Lanes 2 - 3:

Western blot - Goat Anti-Rabbit IgG H&L (HRP) (<a href='/en-us/products/secondary-antibodies/goat-rabbit-igg-h-l-hrp-ab97051'>ab97051</a>) at 1/100000 dilution

Lane 4:

Western blot - Goat Anti-Rabbit IgG H&L (HRP) (<a href='/en-us/products/secondary-antibodies/goat-rabbit-igg-h-l-hrp-ab97051'>ab97051</a>) at 1/5000 dilution

Predicted band size: 120 kDa

Observed band size: 150 kDa

true

Western blot - Anti-KDM4A / JHDM3A / JMJD2A antibody [EPR18466] (AB191433)
  • WB

Supplier Data

Western blot - Anti-KDM4A / JHDM3A / JMJD2A antibody [EPR18466] (AB191433)

Blocking/Dilution buffer : 5% NFDM/TBST.

All lanes:

Western blot - Anti-KDM4A / JHDM3A / JMJD2A antibody [EPR18466] (ab191433) at 1/5000 dilution

Lane 1:

PC-12 (Rat adrenal gland pheochromocytoma cell line) whole cell lysate at 10 µg

Lane 2:

NIH/3T3 (Mouse embryonic fibroblast cell line) whole cell lysate at 10 µg

Secondary

All lanes:

Western blot - Goat Anti-Rabbit IgG H&L (HRP) (<a href='/en-us/products/secondary-antibodies/goat-rabbit-igg-h-l-hrp-ab97051'>ab97051</a>) at 1/100000 dilution

Predicted band size: 120 kDa,31 kDa

Observed band size: 150 kDa,50 kDa

true

Exposure time: 30s

  • Carrier free

    Anti-KDM4A / JHDM3A / JMJD2A antibody [EPR18466] - BSA and Azide free

  • 519 Alexa Fluor® 488

    Alexa Fluor® 488 Anti-KDM4A / JHDM3A / JMJD2A antibody [EPR18466]

  • 578 PE

    PE Anti-KDM4A / JHDM3A / JMJD2A antibody [EPR18466]

  • 660 APC

    APC Anti-KDM4A / JHDM3A / JMJD2A antibody [EPR18466]

  • 665 Alexa Fluor® 647

    Alexa Fluor® 647 Anti-KDM4A / JHDM3A / JMJD2A antibody [EPR18466]

  • 617 Alexa Fluor® 594

    Alexa Fluor® 594 Anti-KDM4A / JHDM3A / JMJD2A antibody [EPR18466]

  • 565 Alexa Fluor® 555

    Alexa Fluor® 555 Anti-KDM4A / JHDM3A / JMJD2A antibody [EPR18466]

  • 775 Alexa Fluor® 750

    Alexa Fluor® 750 Anti-KDM4A / JHDM3A / JMJD2A antibody [EPR18466]

Key facts

Host species

Rabbit

Clonality

Monoclonal

Clone number

EPR18466

Isotype

IgG

Carrier free

No

Reacts with

Mouse, Rat, Human

Applications

IP, IHC-P, WB

applications

Immunogen

The exact immunogen used to generate this antibody is proprietary information.

Specificity

IHC application is recommended for human and rat.

Reactivity data

{ "title": "Reactivity Data", "filters": { "stats": ["", "Species", "Dilution Info", "Notes"], "tabs": { "all-applications": {"fullname" : "All Applications", "shortname": "All Applications"}, "IP" : {"fullname" : "Immunoprecipitation", "shortname":"IP"}, "WB" : {"fullname" : "Western blot", "shortname":"WB"}, "IHCP" : {"fullname" : "Immunohistochemistry (Formalin/PFA-fixed paraffin-embedded sections)", "shortname":"IHC-P"} }, "product-promise": { "all": "all", "testedAndGuaranteed": "tested", "guaranteed": "expected", "predicted": "predicted", "notRecommended": "not-recommended" } }, "values": { "Human": { "IP-species-checked": "testedAndGuaranteed", "IP-species-dilution-info": "1/80", "IP-species-notes": "<p></p>", "WB-species-checked": "testedAndGuaranteed", "WB-species-dilution-info": "1/5000", "WB-species-notes": "<p></p>", "IHCP-species-checked": "testedAndGuaranteed", "IHCP-species-dilution-info": "1/250", "IHCP-species-notes": "<p></p>" }, "Mouse": { "IP-species-checked": "guaranteed", "IP-species-dilution-info": "", "IP-species-notes": "", "WB-species-checked": "testedAndGuaranteed", "WB-species-dilution-info": "1/5000", "WB-species-notes": "<p></p>", "IHCP-species-checked": "guaranteed", "IHCP-species-dilution-info": "", "IHCP-species-notes": "" }, "Rat": { "IP-species-checked": "guaranteed", "IP-species-dilution-info": "", "IP-species-notes": "", "WB-species-checked": "testedAndGuaranteed", "WB-species-dilution-info": "1/5000", "WB-species-notes": "<p></p>", "IHCP-species-checked": "testedAndGuaranteed", "IHCP-species-dilution-info": "1/250", "IHCP-species-notes": "<p></p>" } } }

Product details

Patented technology
Our RabMAb® technology is a patented hybridoma-based technology for making rabbit monoclonal antibodies. For details on our patents, please refer to RabMAb® patents.

What are the advantages of a recombinant monoclonal antibody?
This product is a recombinant monoclonal antibody, which offers several advantages including:

  • - High batch-to-batch consistency and reproducibility
  • - Improved sensitivity and specificity
  • - Long-term security of supply
  • - Animal-free batch production

For more information, read more on recombinant antibodies.

Properties and storage information

Form
Liquid
Purification technique
Affinity purification Protein A
Storage buffer
pH: 7.2 - 7.4 Preservative: 0.01% Sodium azide Constituents: PBS, 40% Glycerol (glycerin, glycerine), 0.05% BSA
Shipped at conditions
Blue Ice
Appropriate short-term storage duration
1-2 weeks
Appropriate short-term storage conditions
+4°C
Appropriate long-term storage conditions
-20°C
Aliquoting information
Upon delivery aliquot
Storage information
Avoid freeze / thaw cycle

Product protocols

For this product, it's our understanding that no specific protocols are required. You can visit:

Target data

Histone demethylase that specifically demethylates 'Lys-9' and 'Lys-36' residues of histone H3, thereby playing a central role in histone code (PubMed : 26741168). Does not demethylate histone H3 'Lys-4', H3 'Lys-27' nor H4 'Lys-20'. Demethylates trimethylated H3 'Lys-9' and H3 'Lys-36' residue, while it has no activity on mono- and dimethylated residues. Demethylation of Lys residue generates formaldehyde and succinate. Participates in transcriptional repression of ASCL2 and E2F-responsive promoters via the recruitment of histone deacetylases and NCOR1, respectively.. Isoform 2. Crucial for muscle differentiation, promotes transcriptional activation of the Myog gene by directing the removal of repressive chromatin marks at its promoter. Lacks the N-terminal demethylase domain.
See full target information KDM4A

Publications (13)

Recent publications for all applications. Explore the full list and refine your search

Acta biochimica et biophysica Sinica : PubMed40999902

2025

KDM4A regulates microglial polarization after ischemic stroke by regulating SPINK5 signaling.

Applications

Unspecified application

Species

Unspecified reactive species

Xiaoli Min,Lei Xian,Ting Liu,Mengze Wang,Qing Zhao,Jiayi Hu,Rui Jing

iScience 28:111538 PubMed39811655

2025

ETV2/ER71 regulates hematovascular lineage generation and vascularization through an H3K9 demethylase, KDM4A.

Applications

Unspecified application

Species

Unspecified reactive species

Min Seong Kim,Raham Lee,Dong Hun Lee,Heesang Song,Taekyung Ha,Joo Kyung Kim,Bum-Yong Kang,Karl Agger,Kristian Helin,Donghyun Shin,Yunhee Kang,Changwon Park

Environmental toxicology 39:4207-4220 PubMed38727079

2024

Functional mechanism of hypoxia-like conditions mediating resistance to ferroptosis in cervical cancer cells by regulating KDM4A SUMOylation and the SLC7A11/GPX4 pathway.

Applications

Unspecified application

Species

Unspecified reactive species

Jing Xiong,Puxiang Chen,Ling He,Xiaoshan Chai,Yongjing Zhang,Shujuan Sun

Translational oncology 28:101615 PubMed36592610

2023

Epigenetic regulator KDM4A activates Notch1-NICD-dependent signaling to drive tumorigenesis and metastasis in breast cancer.

Applications

Unspecified application

Species

Unspecified reactive species

Jing Pei,ShengQuan Zhang,Xiaowei Yang,Chunguang Han,Yubo Pan,Jun Li,Zhaorui Wang,Chenyu Sun,Jing Zhang

Cytotechnology 74:579-590 PubMed36238269

2022

Salinomycin suppresses T24 cells by regulating KDM1A and the unfolded protein response pathway.

Applications

Unspecified application

Species

Unspecified reactive species

Haofeng Yuan,Yiqian Li,Yun Zou,Chongyue Cai,Xiangmin Shi,Yanfeng Su

Stem cells international 2022:1608806 PubMed35287356

2022

Hypoxia Enhances HIF1 Transcription Activity by Upregulating KDM4A and Mediating H3K9me3, Thus Inducing Ferroptosis Resistance in Cervical Cancer Cells.

Applications

Unspecified application

Species

Unspecified reactive species

Jing Xiong,Meifang Nie,Chun Fu,Xiaoshan Chai,Yongjing Zhang,Ling He,Shujuan Sun

Frontiers in neurology 12:713293 PubMed34664012

2021

Acetylation Profiles in the Metabolic Process of Glioma-Associated Seizures.

Applications

Unspecified application

Species

Unspecified reactive species

Ya-Wen Xu,Peng Lin,Shu-Fa Zheng,Wen Huang,Zhang-Ya Lin,Huang-Cheng Shang-Guan,Yuan-Xiang Lin,Pei-Sen Yao,De-Zhi Kang

Frontiers in cell and developmental biology 9:697614 PubMed34631698

2021

A KDM4-DBC1-SIRT1 Axis Contributes to TGF-b Induced Mesenchymal Transition of Intestinal Epithelial Cells.

Applications

Unspecified application

Species

Unspecified reactive species

Baoyu Chen,Wenhui Dong,Tinghui Shao,Xiulian Miao,Yan Guo,Xingyu Liu,Yifei Feng

Experimental & molecular medicine 53:1207-1217 PubMed34385569

2021

Histone demethylase KDM4A plays an oncogenic role in nasopharyngeal carcinoma by promoting cell migration and invasion.

Applications

Unspecified application

Species

Unspecified reactive species

Jingyi Zhao,Bingyan Li,Yongxia Ren,Tiansong Liang,Juan Wang,Suna Zhai,Xiqian Zhang,Pengcheng Zhou,Xiangxian Zhang,Yuanyuan Pan,Fangfang Gao,Sulan Zhang,Liming Li,Yongqiang Yang,Xiaoyu Deng,Xiaole Li,Linhui Chen,Daoke Yang,Yingjuan Zheng

Molecular cell 81:2148-2165.e9 PubMed33743195

2021

Targeting KDM4A epigenetically activates tumor-cell-intrinsic immunity by inducing DNA replication stress.

Applications

Unspecified application

Species

Unspecified reactive species

Wuchang Zhang,Wei Liu,Lingfei Jia,Demeng Chen,Insoon Chang,Michael Lake,Laurent A Bentolila,Cun-Yu Wang
View all publications

Product promise

We are committed to supporting your work with high-quality reagents, and we're here for you every step of the way. In the unlikely event that one of our products does not perform as expected, you're protected by our Product Promise.
For full details, please see our Terms & Conditions

Please note: All products are 'FOR RESEARCH USE ONLY. NOT FOR USE IN DIAGNOSTIC OR THERAPEUTIC PROCEDURES'.

For licensing inquiries, please contact partnerships@abcam.com