JavaScript is disabled in your browser. Please enable JavaScript to view this website.
AB305059

Anti-KDM4B / JMJD2B antibody [EPR25240-51] - BSA and Azide free

  • BOND RX™ Validated
  • KO Validated
  • RabMAb
  • Recombinant
  • What is this?

Be the first to review this product! Submit a review

|

(0 Publication)

Knockout Tested Rabbit Recombinant Monoclonal KDM4B / JMJD2B antibody. Carrier free. Suitable for IHC-P, WB and reacts with Human samples.

View Alternative Names

JHDM3B, JMJD2B, KIAA0876, KDM4B, Lysine-specific demethylase 4B, JmjC domain-containing histone demethylation protein 3B, Jumonji domain-containing protein 2B, [histone H3]-trimethyl-L-lysine(9) demethylase 4B

8 Images
Immunohistochemistry - Anti-KDM4B / JMJD2B antibody [EPR25240-51] - BSA and Azide free (AB305059)
  • IHC

Supplier Data

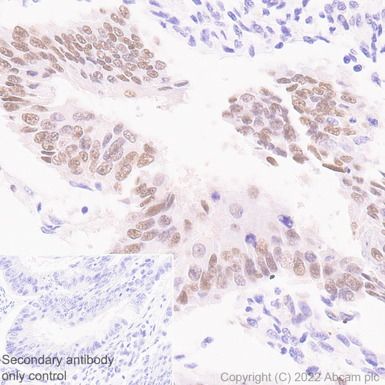
Immunohistochemistry - Anti-KDM4B / JMJD2B antibody [EPR25240-51] - BSA and Azide free (AB305059)

This data was developed using ab305058, the same antibody clone in a different buffer formulation. Immunohistochemical analysis of paraffin-embedded human endometrial carcinoma tissue labeling KDM4B / JMJD2B with ab305058 at 1/200 (2.3 ug/ml) followed by ready to use LeicaDS9800 (Bond® Polymer Refine Detection). Positive staining on human endometrial carcinoma. The section was incubated with ab305058 for 30 mins at room temperature. The immunostaining was performed on a Leica Biosystems BOND® RX instrument. Counterstained with Hematoxylin. Secondary antibody only control : Secondary antibody is ready to use LeicaDS9800 (Bond® Polymer Refine Detection). Heat mediated antigen retrieval was performed with Tris-EDTA buffer (pH 9.0, Epitope Retrieval Solution2) for 20 mins.

Immunohistochemistry - Anti-KDM4B / JMJD2B antibody [EPR25240-51] - BSA and Azide free (AB305059)
  • IHC

Supplier Data

Immunohistochemistry - Anti-KDM4B / JMJD2B antibody [EPR25240-51] - BSA and Azide free (AB305059)

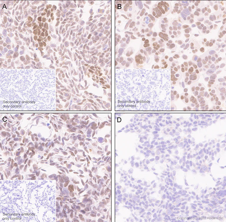
This data was developed using ab305058, the same antibody clone in a different buffer formulation. Immunohistochemical analysis of paraffin-embedded cell pellets labeling KDM4B / JMJD2B with ab305058 at 1/200 (2.3 ug/ml) followed by ready to use LeicaDS9800 (Bond® Polymer Refine Detection). Positive staining on (A) parental HAP1 cell pellet, (B) SW480 cell pellet, and (C) HEK-293 cell pellet, no staining on (D) KDM4B knockout HAP1 cell pellet. The section was incubated with ab305058 for 30 mins at room temperature. The immunostaining was performed on a Leica Biosystems BOND® RX instrument. Counterstained with Hematoxylin. Secondary antibody only control : Secondary antibody is ready to use LeicaDS9800 (Bond® Polymer Refine Detection). Heat mediated antigen retrieval with Tris-EDTA buffer (pH 9.0, epitope retrieval solution2) for 20 mins.

Immunohistochemistry - Anti-KDM4B / JMJD2B antibody [EPR25240-51] - BSA and Azide free (AB305059)
  • IHC

Supplier Data

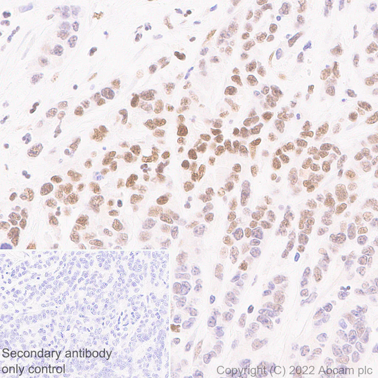
Immunohistochemistry - Anti-KDM4B / JMJD2B antibody [EPR25240-51] - BSA and Azide free (AB305059)

This data was developed using ab305058, the same antibody clone in a different buffer formulation. Immunohistochemical analysis of paraffin-embedded human breast tissue labeling KDM4B / JMJD2B with ab305058 at 1/200 (2.3 ug/ml) followed by ready to use LeicaDS9800 (Bond® Polymer Refine Detection). Positive staining on human breast. The section was incubated with ab305058 for 30 mins at room temperature. The immunostaining was performed on a Leica Biosystems BOND® RX instrument. Counterstained with Hematoxylin. Secondary antibody only control : Secondary antibody is ready to use LeicaDS9800 (Bond® Polymer Refine Detection). Heat mediated antigen retrieval was performed with Tris-EDTA buffer (pH 9.0, Epitope Retrieval Solution2) for 20 mins.

Immunohistochemistry - Anti-KDM4B / JMJD2B antibody [EPR25240-51] - BSA and Azide free (AB305059)
  • IHC

Supplier Data

Immunohistochemistry - Anti-KDM4B / JMJD2B antibody [EPR25240-51] - BSA and Azide free (AB305059)

This data was developed using ab305058, the same antibody clone in a different buffer formulation. Immunohistochemical analysis of paraffin-embedded human pancreatic carcinoma tissue labeling KDM4B / JMJD2B with ab305058 at 1/200 (2.3 ug/ml) followed by ready to use LeicaDS9800 (Bond® Polymer Refine Detection). Positive staining on human pancreatic carcinoma. The section was incubated with ab305058 for 30 mins at room temperature. The immunostaining was performed on a Leica Biosystems BOND® RX instrument. Counterstained with Hematoxylin. Secondary antibody only control : Secondary antibody is ready to use LeicaDS9800 (Bond® Polymer Refine Detection). Heat mediated antigen retrieval was performed with Tris-EDTA buffer (pH 9.0, Epitope Retrieval Solution2) for 20 mins.

Western blot - Anti-KDM4B / JMJD2B antibody [EPR25240-51] - BSA and Azide free (AB305059)
  • WB

Supplier Data

Western blot - Anti-KDM4B / JMJD2B antibody [EPR25240-51] - BSA and Azide free (AB305059)

This data was developed using ab305058, the same antibody clone in a different buffer formulation. Blocking/dilution buffer : 5% NFDM/TBST. This antibody does not cross-react with human JMJD2A/KDM4A, JMJD2C/KDM4C or JMJD2D/KDM4D. Exposure time : 10 seconds.

All lanes:

Western blot - Anti-KDM4B / JMJD2B antibody [EPR25240-51] (<a href='/en-us/products/primary-antibodies/kdm4b-jmjd2b-antibody-epr25240-51-ab305058'>ab305058</a>) at 1/1000 dilution

Lane 1:

Flag-tagged human JMJD2A/KDM4A recombinant protein 10ng

Lane 2:

Flag-tagged human JMJD2B/KDM4B recombinant protein 10ng

Lane 3:

Flag-tagged human JMJD2C/KDM4C recombinant protein 10ng

Lane 4:

Flag-tagged human JMJD2D/KDM4D recombinant protein 10ng

Secondary

All lanes:

Western blot - Goat Anti-Rabbit IgG H&L (HRP) (<a href='/en-us/products/secondary-antibodies/goat-rabbit-igg-h-l-hrp-ab97051'>ab97051</a>) at 1/20000 dilution

Observed band size: 160 kDa

false

Exposure time: 10s

Western blot - Anti-KDM4B / JMJD2B antibody [EPR25240-51] - BSA and Azide free (AB305059)
  • WB

Supplier Data

Western blot - Anti-KDM4B / JMJD2B antibody [EPR25240-51] - BSA and Azide free (AB305059)

This data was developed using ab305058, the same antibody clone in a different buffer formulation. Blocking/dilution buffer : 5% NFDM/TBST. In Western blot, ab305058 was shown to bind specifically to KDM4B / JMJD2B. A band was observed at 160 kDa in wild-type HAP1 cell lysate whereas no signal observed at this size in KDM4B / JMJD2B knockout cell line. Lysates were freshly made and used for Western Blotting immediately to minimize protein degradation. The bands between 50 kDa and 80 kDa are likely to be degraded target fragments. Exposure time : 158 seconds.

All lanes:

Western blot - Anti-KDM4B / JMJD2B antibody [EPR25240-51] (<a href='/en-us/products/primary-antibodies/kdm4b-jmjd2b-antibody-epr25240-51-ab305058'>ab305058</a>) at 1/1000 dilution

Lane 1:

Wild-type HAP1 (human chronic myelogenous leukemia near-haploid cell line), whole cell lysate 20 µg

Lane 2:

KDM4B / JMJD2B knockout HAP1 whole cell lysate 20 µg

Secondary

All lanes:

Western blot - Goat Anti-Rabbit IgG H&L (HRP) (<a href='/en-us/products/secondary-antibodies/goat-rabbit-igg-h-l-hrp-ab97051'>ab97051</a>) at 1/50000 dilution

Observed band size: 160 kDa

false

Exposure time: 158s

Western blot - Anti-KDM4B / JMJD2B antibody [EPR25240-51] - BSA and Azide free (AB305059)
  • WB

Supplier Data

Western blot - Anti-KDM4B / JMJD2B antibody [EPR25240-51] - BSA and Azide free (AB305059)

This data was developed using ab305058, the same antibody clone in a different buffer formulation.

Blocking/dilution buffer : 5% NFDM/TBST.

This blot was developed using a high sensitivity ECL substrate. The high-sensitivity ECL substrate used allows for the detection of proteins in the mid-femtogram range.

Lysates were freshly made and used for Western Blotting immediately to minimize protein degradation.

All lanes:

Western blot - Anti-KDM4B / JMJD2B antibody [EPR25240-51] (<a href='/en-us/products/primary-antibodies/kdm4b-jmjd2b-antibody-epr25240-51-ab305058'>ab305058</a>) at 1/1000 dilution

All lanes:

SW480 (human colorectal adenocarcinoma epithelial cell) whole cell lysate at 20 µg

Secondary

All lanes:

Western blot - Goat Anti-Rabbit IgG H&L (HRP) (<a href='/en-us/products/secondary-antibodies/goat-rabbit-igg-h-l-hrp-ab97051'>ab97051</a>) at 1/20000 dilution

Observed band size: 160 kDa

true

Exposure time: 180s

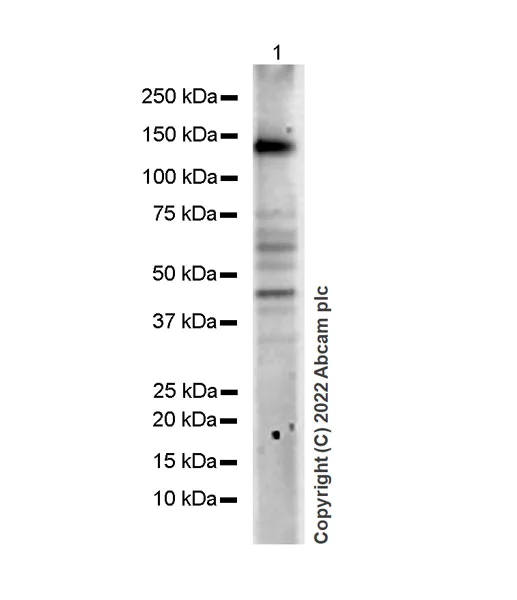
Western blot - Anti-KDM4B / JMJD2B antibody [EPR25240-51] - BSA and Azide free (AB305059)
  • WB

Lab

Western blot - Anti-KDM4B / JMJD2B antibody [EPR25240-51] - BSA and Azide free (AB305059)

This data was developed using the same antibody clone in a different buffer formulation (ab305058).

Western blot : Anti-KDM4B antibody [EPR25240-51] (ab305058) staining at 1/1000 dilution, shown in green; Mouse anti-CANX [CANX/1543] (ab238078) loading control staining at 1/20000 dilution, shown in magenta. In Western blot, ab305058 was shown to bind specifically to KDM4B. A band was observed at 135 kDa in wild-type A549 cell lysates with no signal observed at this size in KDM4B knockout cell line. To generate this image, wild-type and KDM4B knockout A549 cell lysates were analysed. First, samples were run on an SDS-PAGE gel then transferred onto a nitrocellulose membrane. Membranes were blocked in 3 % milk in TBS-0.1 % Tween® 20 (TBS-T) before incubation with primary antibodies overnight at 4 °C. Blots were washed four times in TBS-T, incubated with secondary antibodies for 1 h at room temperature, washed again four times then imaged. Secondary antibodies used were Goat anti-Rabbit IgG H&L 800CW and Goat anti-Mouse IgG H&L 680RD at 1/20000 dilution.

All lanes:

Western blot - Anti-KDM4B / JMJD2B antibody [EPR25240-51] (<a href='/en-us/products/primary-antibodies/kdm4b-jmjd2b-antibody-epr25240-51-ab305058'>ab305058</a>) at 1/1000 dilution

Lane 1:

Wild-type A549 cell lysate at 20 µg

Lane 2:

KDM4B knockout A549 cell lysate at 20 µg

Secondary

All lanes:

Goat anti-Rabbit IgG H&L 800CW and Goat anti-Mouse IgG H&L 680RD at 1/20000 dilution

Predicted band size: 122 kDa

Observed band size: 135 kDa

false

Key facts

Host species

Rabbit

Clonality

Monoclonal

Clone number

EPR25240-51

Isotype

IgG

Carrier free

Yes

Reacts with

Human

Applications

WB, IHC-P

applications

Immunogen

The exact immunogen used to generate this antibody is proprietary information.

Reactivity data

{ "title": "Reactivity Data", "filters": { "stats": ["", "Species", "Dilution Info", "Notes"], "tabs": { "all-applications": {"fullname" : "All Applications", "shortname": "All Applications"}, "ChIP" : {"fullname" : "ChIP", "shortname":"ChIP"}, "IP" : {"fullname" : "Immunoprecipitation", "shortname":"IP"}, "FlowCytIntra" : {"fullname" : "Flow Cytometry (Intracellular)", "shortname":"Flow Cyt (Intra)"}, "ICCIF" : {"fullname" : "Immunocytochemistry/ Immunofluorescence", "shortname":"ICC/IF"}, "IHCP" : {"fullname" : "Immunohistochemistry (Formalin/PFA-fixed paraffin-embedded sections)", "shortname":"IHC-P"}, "WB" : {"fullname" : "Western blot", "shortname":"WB"} }, "product-promise": { "all": "all", "testedAndGuaranteed": "tested", "guaranteed": "expected", "predicted": "predicted", "notRecommended": "not-recommended" } }, "values": { "Human": { "ChIP-species-checked": "notRecommended", "ChIP-species-dilution-info": "", "ChIP-species-notes": "<p></p>", "IP-species-checked": "notRecommended", "IP-species-dilution-info": "", "IP-species-notes": "<p></p>", "FlowCytIntra-species-checked": "notRecommended", "FlowCytIntra-species-dilution-info": "", "FlowCytIntra-species-notes": "<p></p>", "ICCIF-species-checked": "notRecommended", "ICCIF-species-dilution-info": "", "ICCIF-species-notes": "<p></p>", "IHCP-species-checked": "testedAndGuaranteed", "IHCP-species-dilution-info": "", "IHCP-species-notes": "<p></p>", "WB-species-checked": "testedAndGuaranteed", "WB-species-dilution-info": "", "WB-species-notes": "<p></p>" }, "Mouse": { "ChIP-species-checked": "notRecommended", "ChIP-species-dilution-info": "", "ChIP-species-notes": "<p></p>", "IP-species-checked": "notRecommended", "IP-species-dilution-info": "", "IP-species-notes": "<p></p>", "FlowCytIntra-species-checked": "notRecommended", "FlowCytIntra-species-dilution-info": "", "FlowCytIntra-species-notes": "<p></p>", "ICCIF-species-checked": "notRecommended", "ICCIF-species-dilution-info": "", "ICCIF-species-notes": "<p></p>", "IHCP-species-checked": "notRecommended", "IHCP-species-dilution-info": "", "IHCP-species-notes": "<p></p>", "WB-species-checked": "notRecommended", "WB-species-dilution-info": "", "WB-species-notes": "<p></p>" }, "Rat": { "ChIP-species-checked": "notRecommended", "ChIP-species-dilution-info": "", "ChIP-species-notes": "", "IP-species-checked": "notRecommended", "IP-species-dilution-info": "", "IP-species-notes": "", "FlowCytIntra-species-checked": "notRecommended", "FlowCytIntra-species-dilution-info": "", "FlowCytIntra-species-notes": "<p></p>", "ICCIF-species-checked": "notRecommended", "ICCIF-species-dilution-info": "", "ICCIF-species-notes": "<p></p>", "IHCP-species-checked": "notRecommended", "IHCP-species-dilution-info": "", "IHCP-species-notes": "<p></p>", "WB-species-checked": "notRecommended", "WB-species-dilution-info": "", "WB-species-notes": "<p></p>" } } }

Product details

Patented technology
Our RabMAb® technology is a patented hybridoma-based technology for making rabbit monoclonal antibodies. For details on our patents, please refer to RabMAb® patents.

What are the advantages of a recombinant monoclonal antibody?
This product is a recombinant monoclonal antibody, which offers several advantages including:

  • - High batch-to-batch consistency and reproducibility
  • - Improved sensitivity and specificity
  • - Long-term security of supply
  • - Animal-free batch production

For more information, read more on recombinant antibodies.

Conjugation ready
Our carrier-free antibodies are typically supplied in a PBS-only formulation, purified and free of BSA, sodium azide and glycerol. This conjugation-ready format is designed for use with fluorochromes, metal isotopes, oligonucleotides, and enzymes, which makes them ideal for antibody labelling, functional and cell-based assays, flow-based assays (e.g. mass cytometry) and Multiplex Imaging applications.

Use our conjugation kits for antibody conjugates that are ready-to-use in as little as 20 minutes with 1 minute hands-on-time and 100% antibody recovery: available for fluorescent dyes, HRP, biotin and gold.

Compatibility
This product is compatible with the Maxpar® Antibody Labeling Kit from Fluidigm, without the need for antibody preparation. Maxpar® is a trademark of Fluidigm Canada Inc.

Properties and storage information

Form
Liquid
Purification technique
Affinity purification Protein A
Storage buffer
pH: 7.2 - 7.4 Constituents: PBS
Shipped at conditions
Blue Ice
Appropriate short-term storage conditions
+4°C
Appropriate long-term storage conditions
+4°C

Product protocols

For this product, it's our understanding that no specific protocols are required. You can visit:

Target data

Histone demethylase that specifically demethylates 'Lys-9' of histone H3, thereby playing a role in histone code. Does not demethylate histone H3 'Lys-4', H3 'Lys-27', H3 'Lys-36' nor H4 'Lys-20'. Only able to demethylate trimethylated H3 'Lys-9', with a weaker activity than KDM4A, KDM4C and KDM4D. Demethylation of Lys residue generates formaldehyde and succinate (PubMed : 16603238, PubMed : 28262558). Plays a critical role in the development of the central nervous system (CNS).
See full target information KDM4B

Product promise

We are committed to supporting your work with high-quality reagents, and we're here for you every step of the way. In the unlikely event that one of our products does not perform as expected, you're protected by our Product Promise.
For full details, please see our Terms & Conditions

Please note: All products are 'FOR RESEARCH USE ONLY. NOT FOR USE IN DIAGNOSTIC OR THERAPEUTIC PROCEDURES'.

For licensing inquiries, please contact partnerships@abcam.com