JavaScript is disabled in your browser. Please enable JavaScript to view this website.
AB84883

Anti-KDM5B / PLU1 / Jarid1B antibody

Be the first to review this product! Submit a review

|

(1 Publication)

Rabbit Polyclonal KDM5B / PLU1 / Jarid1B antibody. Suitable for IHC-P and reacts with Human samples. Cited in 1 publication. Immunogen corresponding to Synthetic Peptide within Human KDM5B aa 1450 to C-terminus.

View Alternative Names

JARID1B, PLU1, RBBP2H1, KDM5B, Lysine-specific demethylase 5B, Cancer/testis antigen 31, Histone demethylase JARID1B, Jumonji/ARID domain-containing protein 1B, PLU-1, Retinoblastoma-binding protein 2 homolog 1, [histone H3]-trimethyl-L-lysine(4) demethylase 5B, CT31, RBP2-H1

2 Images
Immunohistochemistry (Formalin/PFA-fixed paraffin-embedded sections) - Anti-KDM5B / PLU1 / Jarid1B antibody (AB84883)
  • IHC-P

Unknown

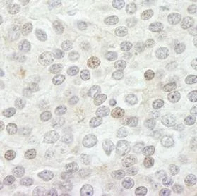
Immunohistochemistry (Formalin/PFA-fixed paraffin-embedded sections) - Anti-KDM5B / PLU1 / Jarid1B antibody (AB84883)

Detection of Human Jarid1B in a formalin-fixed paraffin-embedded section of human prostate carcinoma by Immunohistochemistry using ab84883 at a dilution of 1 : 500. Detection : DAB staining.

Immunohistochemistry (Formalin/PFA-fixed paraffin-embedded sections) - Anti-KDM5B / PLU1 / Jarid1B antibody (AB84883)
  • IHC-P

Unknown

Immunohistochemistry (Formalin/PFA-fixed paraffin-embedded sections) - Anti-KDM5B / PLU1 / Jarid1B antibody (AB84883)

Detection of Human Jarid1B in a formalin-fixed paraffin-embedded section of human breast carcinoma by Immunohistochemistry using ab84883 at a dilution of 1 : 250. Detection : DAB staining.

Key facts

Host species

Rabbit

Clonality

Polyclonal

Isotype

IgG

Carrier free

No

Reacts with

Human

Applications

IHC-P

applications

Immunogen

Synthetic Peptide within Human KDM5B aa 1450 to C-terminus. The exact immunogen used to generate this antibody is proprietary information.

Q9UGL1

Reactivity data

{ "title": "Reactivity Data", "filters": { "stats": ["", "Species", "Dilution Info", "Notes"], "tabs": { "all-applications": {"fullname" : "All Applications", "shortname": "All Applications"}, "IHCP" : {"fullname" : "Immunohistochemistry (Formalin/PFA-fixed paraffin-embedded sections)", "shortname":"IHC-P"} }, "product-promise": { "all": "all", "testedAndGuaranteed": "tested", "guaranteed": "expected", "predicted": "predicted", "notRecommended": "not-recommended" } }, "values": { "Human": { "IHCP-species-checked": "testedAndGuaranteed", "IHCP-species-dilution-info": "1/100 - 1/500", "IHCP-species-notes": "<p></p>" }, "Chimpanzee": { "IHCP-species-checked": "predicted", "IHCP-species-dilution-info": "", "IHCP-species-notes": "" }, "Dog": { "IHCP-species-checked": "predicted", "IHCP-species-dilution-info": "", "IHCP-species-notes": "" }, "Elephant": { "IHCP-species-checked": "predicted", "IHCP-species-dilution-info": "", "IHCP-species-notes": "" }, "Gorilla": { "IHCP-species-checked": "predicted", "IHCP-species-dilution-info": "", "IHCP-species-notes": "" }, "Orangutan": { "IHCP-species-checked": "predicted", "IHCP-species-dilution-info": "", "IHCP-species-notes": "" }, "Rhesus monkey": { "IHCP-species-checked": "predicted", "IHCP-species-dilution-info": "", "IHCP-species-notes": "" } } }

Properties and storage information

Form
Liquid
Purification technique
Affinity purification Immunogen
Purification notes
Purified using an epitope specific to KDM5B / PLU1 / Jarid1B immobilized on solid support.
Storage buffer
pH: 6.8 - 7.4 Preservative: 0.09% Sodium azide Constituents: Tris buffered saline, 0.1% BSA
Shipped at conditions
Blue Ice
Appropriate short-term storage conditions
+4°C
Appropriate long-term storage conditions
-20°C
Aliquoting information
Upon delivery aliquot
Storage information
Avoid freeze / thaw cycle

Product protocols

For this product, it's our understanding that no specific protocols are required. You can visit:

Target data

Histone demethylase that demethylates 'Lys-4' of histone H3, thereby playing a central role in histone code (PubMed : 24952722, PubMed : 27214403, PubMed : 28262558). Does not demethylate histone H3 'Lys-9' or H3 'Lys-27'. Demethylates trimethylated, dimethylated and monomethylated H3 'Lys-4'. Acts as a transcriptional corepressor for FOXG1B and PAX9. Favors the proliferation of breast cancer cells by repressing tumor suppressor genes such as BRCA1 and HOXA5 (PubMed : 24952722). In contrast, may act as a tumor suppressor for melanoma. Represses the CLOCK-BMAL1 heterodimer-mediated transcriptional activation of the core clock component PER2 (By similarity).
See full target information KDM5B

Publications (1)

Recent publications for all applications. Explore the full list and refine your search

International heart journal 63:1176-1186 PubMed36450557

2022

Salvianolic Acid B Protects Cardiomyocytes from Ischemia/Reperfusion Injury by Mediating circTRRAP/miR-214-3p/SOX6 Axis.

Applications

Unspecified application

Species

Unspecified reactive species

Jingying Liu,Wenjie Dong,Chunmei Gao,Ye Meng
View all publications

Product promise

We are committed to supporting your work with high-quality reagents, and we're here for you every step of the way. In the unlikely event that one of our products does not perform as expected, you're protected by our Product Promise.
For full details, please see our Terms & Conditions

Please note: All products are 'FOR RESEARCH USE ONLY. NOT FOR USE IN DIAGNOSTIC OR THERAPEUTIC PROCEDURES'.

For licensing inquiries, please contact partnerships@abcam.com