JavaScript is disabled in your browser. Please enable JavaScript to view this website.
AB306580

Anti-KDM5B / PLU1 / Jarid1B antibody [EPR25242-12] (BSA and Azide free)

Be the first to review this product! Submit a review

|

(0 Publication)

Rabbit Recombinant Monoclonal KDM5B / PLU1 / Jarid1B antibody. Carrier free. Suitable for IP, WB and reacts with Human samples.

View Alternative Names

JARID1B, PLU1, RBBP2H1, KDM5B, Lysine-specific demethylase 5B, Cancer/testis antigen 31, Histone demethylase JARID1B, Jumonji/ARID domain-containing protein 1B, PLU-1, Retinoblastoma-binding protein 2 homolog 1, [histone H3]-trimethyl-L-lysine(4) demethylase 5B, CT31, RBP2-H1

6 Images
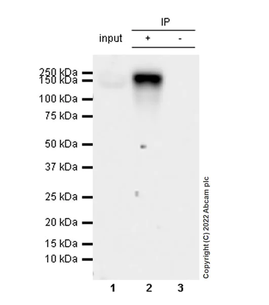
Immunoprecipitation - Anti-KDM5B / PLU1 / Jarid1B antibody [EPR25242-12] (BSA and Azide free) (AB306580)
  • IP

Supplier Data

Immunoprecipitation - Anti-KDM5B / PLU1 / Jarid1B antibody [EPR25242-12] (BSA and Azide free) (AB306580)

This data was developed using ab306579, the same antibody clone in a different buffer formulation. KDM5B / PLU1 / Jarid1B was immunoprecipitated from 0.35 mg Wild-type HAP1 (human chronic myelogenous leukemia near-haploid cell) whole cell lysate 10 ug with ab306579 at 1/30 dilution (2ug in 0.35mg lysates). Western blot was performed on the immunoprecipitate using ab306579 at 1/1000 dilution. VeriBlot for IP secondary antibody(HRP)(ab131366) was used at 1/5000 dilution. Lane 1 : Wild-type HAP1 whole cell lysate 10 ug Lane 2 : abAB306579 IP in HAP1 whole cell lysate 10 ug Lane 3 : Rabbit monoclonal IgG (ab172730) instead of ab306579 in HAP1 cell lysate Blocking and dilution buffer and concentration : 5% NFDM/TBST. Exposure time : 180 seconds.

All lanes:

Immunoprecipitation - Anti-KDM5B / PLU1 / Jarid1B antibody [EPR25242-12] (<a href='/en-us/products/primary-antibodies/kdm5b-plu1-jarid1b-antibody-epr25242-12-ab306579'>ab306579</a>) at 1/1000 dilution

Lane 1:

Wild-type HAP1 (human chronic myelogenous leukemia near-haploid cell) whole cell lysate 10 µg

Lane 2:

HAP1 whole cell lysate 10 µg

Secondary

All lanes:

Immunoprecipitation - VeriBlot for IP Detection Reagent (HRP) (<a href='/en-us/products/reagents/veriblot-for-ip-detection-reagent-hrp-ab131366'>ab131366</a>) at 1/5000 dilution

Observed band size: 180 kDa

false

Exposure time: 180s

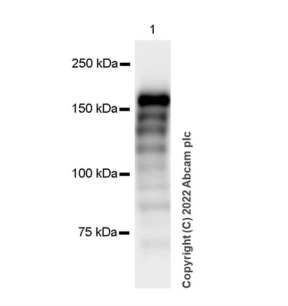
Western blot - Anti-KDM5B / PLU1 / Jarid1B antibody [EPR25242-12] (BSA and Azide free) (AB306580)
  • WB

Supplier Data

Western blot - Anti-KDM5B / PLU1 / Jarid1B antibody [EPR25242-12] (BSA and Azide free) (AB306580)

This data was developed using ab306579, the same antibody clone in a different buffer formulation. Blocking and diluting buffer and concentration : Intercept® (TBS) Blocking Buffer diluted with an equal volume of 0.1% TBS. The bands beneath the target band (180 kDa) are likely to be degradation products.  Performed under reducing conditions. False colour image of Western blot : Anti-KDM5B / PLU1 / Jarid1B antibody (ab306579) staining at 1/1000 dilution, shown in green; Mouse anti-GAPDH antibody 6C5 loading control staining at 1/20000 dilution, shown in red. In Western blot, ab306579 was shown to bind specifically to KDM5B / PLU1 / Jarid1B. A band was observed at 180 kDa in wild-type HAP1 cell lysates whereas no signal observed at this size in KDM5B / PLU1 / Jarid1B knockout cell line. To generate this image, wild-type and KDM5B / PLU1 / Jarid1B knockout HAP1 cell lysates were analyzed. First, samples were run on an SDS-PAGE gel then transferred onto an immobilon-FL PVDF membrane. Membranes were blocked in in Intercept® (TBS) Blocking Buffer diluted with an equal volume of 0.1% TBS before incubation with primary antibodies overnight at 4°C. Blots were washed four times in TBS-T, incubated with secondary antibodies for 1 h at room temperature, washed again four times then imaged. Secondary antibodies used were Goat anti-Rabbit IgG H&L (IRDye® 800CW) preabsorbed (ab216773) and Goat anti-Mouse IgG H&L (IRDye® 680RD) preabsorbed (ab216776) at 1/20000 dilution.

All lanes:

Western blot - Anti-KDM5B / PLU1 / Jarid1B antibody [EPR25242-12] (<a href='/en-us/products/primary-antibodies/kdm5b-plu1-jarid1b-antibody-epr25242-12-ab306579'>ab306579</a>) at 1/1000 dilution

Lane 1:

Wild-type HAP1 (human chronic myelogenous leukemia near-haploid cell) whole cell lysate 20 µg

Lane 2:

KDM5B / PLU1 / Jarid1B knockout HAP1 whole cell lysate 20 µg

Lane 3:

K562 (human chronic myelogenous leukemia lymphoblast) whole cell lysate 20 µg

Secondary

Lanes 1 - 3:

Western blot - Goat anti-Mouse IgG H&L (IRDye® 680RD) preadsorbed (<a href='/en-us/products/secondary-antibodies/goat-mouse-igg-h-l-irdye-680rd-preadsorbed-ab216776'>ab216776</a>) at 1/20000 dilution

Lanes 1 - 3:

Western blot - Goat anti-Rabbit IgG H&L (IRDye® 800CW) preadsorbed (<a href='/en-us/products/secondary-antibodies/goat-rabbit-igg-h-l-irdye-800cw-preadsorbed-ab216773'>ab216773</a>) at 1/20000 dilution

Observed band size: 180 kDa

false

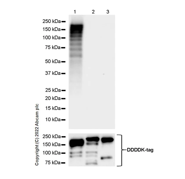
Western blot - Anti-KDM5B / PLU1 / Jarid1B antibody [EPR25242-12] (BSA and Azide free) (AB306580)
  • WB

Supplier Data

Western blot - Anti-KDM5B / PLU1 / Jarid1B antibody [EPR25242-12] (BSA and Azide free) (AB306580)

This data was developed using ab306579, the same antibody clone in a different buffer formulation. Blocking and diluting buffer and concentration : 5% NFDM/TBST. The bands beneath the target band (180 kDa) are likely to be degradation products as this sample was frozen before the Western Blot was run. Exposure time : 37 seconds.

All lanes:

Western blot - Anti-KDM5B / PLU1 / Jarid1B antibody [EPR25242-12] (<a href='/en-us/products/primary-antibodies/kdm5b-plu1-jarid1b-antibody-epr25242-12-ab306579'>ab306579</a>) at 1/1000 dilution

All lanes:

Human testis tissue lysate 20 µg

Secondary

All lanes:

Western blot - Goat Anti-Rabbit IgG H&L (HRP) (<a href='/en-us/products/secondary-antibodies/goat-rabbit-igg-h-l-hrp-ab97051'>ab97051</a>) at 1/50000 dilution

Observed band size: 180 kDa

false

Exposure time: 37s

Western blot - Anti-KDM5B / PLU1 / Jarid1B antibody [EPR25242-12] (BSA and Azide free) (AB306580)
  • WB

Supplier Data

Western blot - Anti-KDM5B / PLU1 / Jarid1B antibody [EPR25242-12] (BSA and Azide free) (AB306580)

This data was developed using ab306579, the same antibody clone in a different buffer formulation. Blocking and diluting buffer and concentration : 5% NFDM/TBST. This antibody does not cross-react with human KDM5A and KDM5C. Exposure time : 3 seconds.

All lanes:

Western blot - Anti-KDM5B / PLU1 / Jarid1B antibody [EPR25242-12] (<a href='/en-us/products/primary-antibodies/kdm5b-plu1-jarid1b-antibody-epr25242-12-ab306579'>ab306579</a>) at 1/1000 dilution

Lane 1:

Human KDM5B recombinant protein 10 ng

Lane 2:

Human KDM5A recombinant protein 10 ng

Lane 3:

Human KDM5C recombinant protein 10 ng

Secondary

All lanes:

Western blot - Goat Anti-Rabbit IgG H&L (HRP) (<a href='/en-us/products/secondary-antibodies/goat-rabbit-igg-h-l-hrp-ab97051'>ab97051</a>) at 1/100000 dilution

Observed band size: 180 kDa

false

Exposure time: 3s

Western blot - Anti-KDM5B / PLU1 / Jarid1B antibody [EPR25242-12] (BSA and Azide free) (AB306580)
  • WB

Supplier Data

Western blot - Anti-KDM5B / PLU1 / Jarid1B antibody [EPR25242-12] (BSA and Azide free) (AB306580)

This data was developed using ab306579, the same antibody clone in a different buffer formulation. Blocking and diluting buffer and concentration : 5% NFDM/TBST. In lanes 1 and 2, the lysates were stored at -80degC prior to Western Blotting. The bands beneath the target band (180 kDa) are likely to be degradation products. In lanes 3 and 4, the lysates were freshly made and used for Western Blotting immediately to minimize protein degradation. The Lane 4 was developed using a high sensitivity ECL substrate. Exposure time : Lanes 1 and 2 : 15 seconds, Lanes 3 and 4 : 180 seconds.

All lanes:

Western blot - Anti-KDM5B / PLU1 / Jarid1B antibody [EPR25242-12] (<a href='/en-us/products/primary-antibodies/kdm5b-plu1-jarid1b-antibody-epr25242-12-ab306579'>ab306579</a>) at 1/1000 dilution

Lane 1:

K562 (human chronic myelogenous leukemia lymphoblast) whole cell lysate 20 μg

Lane 2:

HAP1 (human chronic myelogenous leukemia near-haploid cell) whole cell lysate 20 μg

Lane 3:

HAP1 whole cell lysate 20 μg

Lane 4:

HepG2 (human hepatocellar carcinoma epithelial cell) whole cell lysate 20 μg

Secondary

All lanes:

Western blot - Goat Anti-Rabbit IgG H&L (HRP) (<a href='/en-us/products/secondary-antibodies/goat-rabbit-igg-h-l-hrp-ab97051'>ab97051</a>) at 1/50000 dilution

Observed band size: 180 kDa

true

Exposure time: 15s

Western blot - Anti-KDM5B / PLU1 / Jarid1B antibody [EPR25242-12] (BSA and Azide free) (AB306580)
  • WB

Lab

Western blot - Anti-KDM5B / PLU1 / Jarid1B antibody [EPR25242-12] (BSA and Azide free) (AB306580)

This data was developed using ab306579, the same antibody clone in a different buffer formulation.

Western blot : Anti-KDM5B antibody [EPR25242-12] (ab306579) staining at 1/1000 dilution, shown in green; Mouse anti-Alpha Tubulin [DM1A] (ab7291) loading control staining at 1/20000 dilution, shown in magenta. In Western blot, ab306579 was shown to bind specifically to KDM5B. A band was observed at 171 kDa in wild-type HCT 116 cell lysates with no signal observed at this size in KDM5B knockout cell line. To generate this image, wild-type and KDM5B knockout HCT 116 cell lysates were analysed. First, samples were run on an SDS-PAGE gel then transferred onto a nitrocellulose membrane. Membranes were blocked in 3 % milk in TBS-0.1 % Tween® 20 (TBS-T) before incubation with primary antibodies overnight at 4 °C. Blots were washed four times in TBS-T, incubated with secondary antibodies for 1 h at room temperature, washed again four times then imaged. Secondary antibodies used were Goat anti-Rabbit IgG H&L 800CW and Goat anti-Mouse IgG H&L 680RD at 1/20000 dilution.

All lanes:

Western blot - Anti-KDM5B / PLU1 / Jarid1B antibody [EPR25242-12] (<a href='/en-us/products/primary-antibodies/kdm5b-plu1-jarid1b-antibody-epr25242-12-ab306579'>ab306579</a>) at 1/1000 dilution

Lane 1:

Wild-type HCT 116 cell lysate at 20 µg

Lane 2:

Western blot - Human KDM5B knockout HCT116 cell line (<a href='/en-us/products/cell-lines/human-kdm5b-knockout-hct116-cell-line-ab287592'>ab287592</a>)

Lane 2:

KDM5B knockout HCT 116 cell lysate at 20 µg

Lane 3:

Wild-type HAP1 cell lysate at 20 µg

Lane 4:

KDM5B knockout HAP1 cell lysate at 20 µg

Secondary

Lanes 1 - 4:

Goat anti-Rabbit IgG H&L 800CW at 1/20000 dilution

Lanes 1 - 4:

Goat anti-Mouse IgG H&L 680RD at 1/20000 dilution

Observed band size: 171 kDa

false

Key facts

Host species

Rabbit

Clonality

Monoclonal

Clone number

EPR25242-12

Isotype

IgG

Carrier free

Yes

Reacts with

Human

Applications

IP, WB

applications

Immunogen

The exact immunogen used to generate this antibody is proprietary information.

Reactivity data

{ "title": "Reactivity Data", "filters": { "stats": ["", "Species", "Dilution Info", "Notes"], "tabs": { "all-applications": {"fullname" : "All Applications", "shortname": "All Applications"}, "IP" : {"fullname" : "Immunoprecipitation", "shortname":"IP"}, "FlowCytIntra" : {"fullname" : "Flow Cytometry (Intracellular)", "shortname":"Flow Cyt (Intra)"}, "ICCIF" : {"fullname" : "Immunocytochemistry/ Immunofluorescence", "shortname":"ICC/IF"}, "IHCP" : {"fullname" : "Immunohistochemistry (Formalin/PFA-fixed paraffin-embedded sections)", "shortname":"IHC-P"}, "WB" : {"fullname" : "Western blot", "shortname":"WB"} }, "product-promise": { "all": "all", "testedAndGuaranteed": "tested", "guaranteed": "expected", "predicted": "predicted", "notRecommended": "not-recommended" } }, "values": { "Human": { "IP-species-checked": "testedAndGuaranteed", "IP-species-dilution-info": "", "IP-species-notes": "<p></p>", "FlowCytIntra-species-checked": "notRecommended", "FlowCytIntra-species-dilution-info": "", "FlowCytIntra-species-notes": "<p></p>", "ICCIF-species-checked": "notRecommended", "ICCIF-species-dilution-info": "", "ICCIF-species-notes": "<p></p>", "IHCP-species-checked": "notRecommended", "IHCP-species-dilution-info": "", "IHCP-species-notes": "<p></p>", "WB-species-checked": "testedAndGuaranteed", "WB-species-dilution-info": "", "WB-species-notes": "<p></p>" }, "Mouse": { "IP-species-checked": "notRecommended", "IP-species-dilution-info": "", "IP-species-notes": "<p></p>", "FlowCytIntra-species-checked": "notRecommended", "FlowCytIntra-species-dilution-info": "", "FlowCytIntra-species-notes": "<p></p>", "ICCIF-species-checked": "notRecommended", "ICCIF-species-dilution-info": "", "ICCIF-species-notes": "<p></p>", "IHCP-species-checked": "notRecommended", "IHCP-species-dilution-info": "", "IHCP-species-notes": "<p></p>", "WB-species-checked": "notRecommended", "WB-species-dilution-info": "", "WB-species-notes": "<p></p>" }, "Rat": { "IP-species-checked": "notRecommended", "IP-species-dilution-info": "", "IP-species-notes": "<p></p>", "FlowCytIntra-species-checked": "notRecommended", "FlowCytIntra-species-dilution-info": "", "FlowCytIntra-species-notes": "<p></p>", "ICCIF-species-checked": "notRecommended", "ICCIF-species-dilution-info": "", "ICCIF-species-notes": "<p></p>", "IHCP-species-checked": "notRecommended", "IHCP-species-dilution-info": "", "IHCP-species-notes": "<p></p>", "WB-species-checked": "notRecommended", "WB-species-dilution-info": "", "WB-species-notes": "<p></p>" } } }

Product details

Patented technology
Our RabMAb® technology is a patented hybridoma-based technology for making rabbit monoclonal antibodies. For details on our patents, please refer to RabMAb® patents.

What are the advantages of a recombinant monoclonal antibody?
This product is a recombinant monoclonal antibody, which offers several advantages including:

  • - High batch-to-batch consistency and reproducibility
  • - Improved sensitivity and specificity
  • - Long-term security of supply
  • - Animal-free batch production

For more information, read more on recombinant antibodies.

Conjugation ready
Our carrier-free antibodies are typically supplied in a PBS-only formulation, purified and free of BSA, sodium azide and glycerol. This conjugation-ready format is designed for use with fluorochromes, metal isotopes, oligonucleotides, and enzymes, which makes them ideal for antibody labelling, functional and cell-based assays, flow-based assays (e.g. mass cytometry) and Multiplex Imaging applications.

Use our conjugation kits for antibody conjugates that are ready-to-use in as little as 20 minutes with 1 minute hands-on-time and 100% antibody recovery: available for fluorescent dyes, HRP, biotin and gold.

Compatibility
This product is compatible with the Maxpar® Antibody Labeling Kit from Fluidigm, without the need for antibody preparation. Maxpar® is a trademark of Fluidigm Canada Inc.

Properties and storage information

Form
Liquid
Purification technique
Affinity purification Protein A
Storage buffer
pH: 7.2 - 7.4 Constituents: PBS
Shipped at conditions
Blue Ice
Appropriate short-term storage conditions
+4°C
Appropriate long-term storage conditions
+4°C

Product protocols

For this product, it's our understanding that no specific protocols are required. You can visit:

Target data

Histone demethylase that demethylates 'Lys-4' of histone H3, thereby playing a central role in histone code (PubMed : 24952722, PubMed : 27214403, PubMed : 28262558). Does not demethylate histone H3 'Lys-9' or H3 'Lys-27'. Demethylates trimethylated, dimethylated and monomethylated H3 'Lys-4'. Acts as a transcriptional corepressor for FOXG1B and PAX9. Favors the proliferation of breast cancer cells by repressing tumor suppressor genes such as BRCA1 and HOXA5 (PubMed : 24952722). In contrast, may act as a tumor suppressor for melanoma. Represses the CLOCK-BMAL1 heterodimer-mediated transcriptional activation of the core clock component PER2 (By similarity).
See full target information KDM5B

Product promise

We are committed to supporting your work with high-quality reagents, and we're here for you every step of the way. In the unlikely event that one of our products does not perform as expected, you're protected by our Product Promise.
For full details, please see our Terms & Conditions

Please note: All products are 'FOR RESEARCH USE ONLY. NOT FOR USE IN DIAGNOSTIC OR THERAPEUTIC PROCEDURES'.

For licensing inquiries, please contact partnerships@abcam.com