JavaScript is disabled in your browser. Please enable JavaScript to view this website.
AB323566

Anti-KDM6A / UTX antibody [EPR26387-105]

  • Recombinant
  • 20ul selling size
  • RabMAb
  • KO Validated
  • Advanced Validation
  • What is this?

Be the first to review this product! Submit a review

|

(0 Publication)

Rabbit Recombinant Monoclonal KDM6A / UTX antibody. Suitable for WB, IP, ChIC/CUT&RUN-seq and reacts with Human, Mouse samples.

View Alternative Names

UTX, KDM6A, Lysine-specific demethylase 6A, Histone demethylase UTX, Ubiquitously-transcribed TPR protein on the X chromosome, Ubiquitously-transcribed X chromosome tetratricopeptide repeat protein, [histone H3]-trimethyl-L-lysine(27) demethylase 6A

11 Images
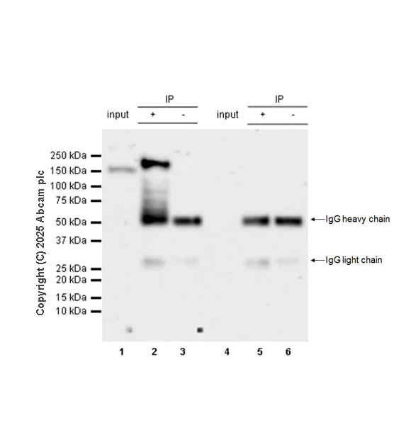
Immunoprecipitation - Anti-KDM6A / UTX antibody [EPR26387-105] (AB323566)
  • IP

Supplier Data

Immunoprecipitation - Anti-KDM6A / UTX antibody [EPR26387-105] (AB323566)

KDM6A / UTX was immunoprecipitated from 0.35 mg parental HAP1 (human chronic myelogenous leukemia near-haploid cell ) whole cell lysate with ab323566 at 1/30 dilution (2ug in 0.35mg lysates). Western blot was performed on the immunoprecipitate using ab323566 at 1/1000 dilution.

Blocking and dilution buffer and concentration : 5% NFDM/TBST

To minimize protein degradation, lysates were lysed immediately after harvest and then applied to a gel and transfer membrane for Western blotting as soon as possible.

All lanes:

Immunoprecipitation - Anti-KDM6A / UTX antibody [EPR26387-105] (ab323566) at 1/1000 dilution

Lane 1:

Parental HAP1 (human chronic myelogenous leukemia near-haploid cell ) whole cell lysate at 10 µg

Lane 2:

ab323566 at 1/30 IP in Parental HAP1 (human chronic myelogenous leukemia near-haploid cell ) whole cell lysate at 10 µg

Lane 3:

Rabbit monoclonal IgG (<a href='/en-us/products/primary-antibodies/rabbit-igg-monoclonal-epr25a-isotype-control-ab172730'>ab172730</a>) instead of ab323566 in parental HAP1(HOWT01) whole cell lysate at 10 µg

Lane 4:

KDM6A Knockout HAP1 whole cell lysate at 10 µg

Lane 5:

ab323566 at 1/30 IP in KDM6A Knockout HAP1 whole cell lysate at 10 µg

Lane 6:

Rabbit monoclonal IgG (<a href='/en-us/products/primary-antibodies/rabbit-igg-monoclonal-epr25a-isotype-control-ab172730'>ab172730</a>) instead of ab323566 in KDM6A Knockout HAP1(HO010404) whole cell lysate at 10 µg

Secondary

All lanes:

Immunoprecipitation - VeriBlot for IP Detection Reagent (HRP) (<a href='/en-us/products/reagents/veriblot-for-ip-detection-reagent-hrp-ab131366'>ab131366</a>) at 1/5000 dilution

Observed band size: 154 kDa

false

Exposure time: 76s

Immunoprecipitation - Anti-KDM6A / UTX antibody [EPR26387-105] (AB323566)
  • IP

Supplier Data

Immunoprecipitation - Anti-KDM6A / UTX antibody [EPR26387-105] (AB323566)

KDM6A / UTX was immunoprecipitated from 0.35 mg C2C12 (mouse myoblast) whole cell lysate with ab323566 at 1/30 dilution (2ug in 0.35mg lysates). Western blot was performed on the immunoprecipitate using ab323566 at 1/1000 dilution.

Blocking and dilution buffer and concentration : 5% NFDM/TBST

To minimize protein degradation, lysates were lysed immediately after harvest and then applied to a gel and transfer membrane for Western blotting as soon as possible.

All lanes:

Immunoprecipitation - Anti-KDM6A / UTX antibody [EPR26387-105] (ab323566) at 1/1000 dilution

Lane 1:

C2C12 (mouse myoblast) whole cell lysate at 10 µg

Lane 2:

ab323566 at 1/30 IP in C2C12 (mouse myoblast) whole cell lysate at 10 µg

Lane 3:

Rabbit monoclonal IgG (<a href='/en-us/products/primary-antibodies/rabbit-igg-monoclonal-epr25a-isotype-control-ab172730'>ab172730</a>) instead of ab323566 in C2C12 whole cell lysate at 10 µg

Secondary

All lanes:

Immunoprecipitation - VeriBlot for IP Detection Reagent (HRP) (<a href='/en-us/products/reagents/veriblot-for-ip-detection-reagent-hrp-ab131366'>ab131366</a>) at 1/5000 dilution

Observed band size: 154 kDa

false

Exposure time: 50s

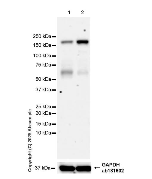
Western blot - Anti-KDM6A / UTX antibody [EPR26387-105] (AB323566)
  • WB

Lab

Western blot - Anti-KDM6A / UTX antibody [EPR26387-105] (AB323566)

Blocking and diluting buffer and concentration : 5% NFDM/TBST.

In lane 1, the lysate was stored at -80℃ prior to Western Blotting. The bands beneath the target band (154 kDa) are likey to be degradation products. In lanes 2, to minimize protein degradation, cells were lysed immediately after harvest and then applied to a gel and transfer membrane for Western blotting as soon as possible.

In Western blot, Anti-GAPDH antibody [EPR16891] - Loading Control (ab181602) staining at 1/200000 dilution.

All lanes:

Western blot - Anti-KDM6A / UTX antibody [EPR26387-105] (ab323566) at 1/1000 dilution

Lane 1:

MCF7 (human breast adenocarcinoma epithelial cell) whole cell frozen lysate at 20 µg

Lane 2:

MCF7 (human breast adenocarcinoma epithelial cell) whole cell fresh lysate at 20 µg

Secondary

All lanes:

Western blot - Goat Anti-Rabbit IgG H&L (HRP) (<a href='/en-us/products/secondary-antibodies/goat-rabbit-igg-h-l-hrp-ab97051'>ab97051</a>) at 1/100000 dilution

Observed band size: 154 kDa,36 kDa

false

Exposure time: 59s

Western blot - Anti-KDM6A / UTX antibody [EPR26387-105] (AB323566)
  • WB

Supplier Data

Western blot - Anti-KDM6A / UTX antibody [EPR26387-105] (AB323566)

Blocking and diluting buffer and concentration : 5% NFDM/TBST.

In Western blot, ab323566 was shown to bind specifically to KDM6A. Target of interest was observed at 154 kDa in wild-type HAP1 cell lysates (lane 1) with no signal observed at this size in KDM6A knockout cell line (lane 2).

In Western blot, Anti-GAPDH antibody [EPR16891] - Loading Control (ab181602) staining at 1/200000 dilution.

All lanes:

Western blot - Anti-KDM6A / UTX antibody [EPR26387-105] (ab323566) at 1/1000 dilution

Lane 1:

Parental HAP1 (human chronic myelogenous leukemia near-haploid cell) whole cell lysate at 20 µg

Lane 2:

KDM6A knockout HAP1 whole cell lysate at 20 µg

Lane 3:

C2C12 (mouse myoblast) whole cell lysate at 20 µg

Secondary

All lanes:

Western blot - Goat Anti-Rabbit IgG H&L (HRP) (<a href='/en-us/products/secondary-antibodies/goat-rabbit-igg-h-l-hrp-ab97051'>ab97051</a>) at 1/100000 dilution

Observed band size: 154 kDa,36 kDa

false

Exposure time: 180s

Western blot - Anti-KDM6A / UTX antibody [EPR26387-105] (AB323566)
  • WB

Supplier Data

Western blot - Anti-KDM6A / UTX antibody [EPR26387-105] (AB323566)

Blocking and diluting buffer and concentration : 5% NFDM/TBST.

To minimize protein degradation, cells were lysed immediately after harvest and then applied to a gel and transfer membrane for Western blotting as soon as possible.

In Western blot, Anti-GAPDH antibody [EPR16891] - Loading Control (ab181602) staining at 1/200000 dilution.

All lanes:

Western blot - Anti-KDM6A / UTX antibody [EPR26387-105] (ab323566) at 1/1000 dilution

Lane 1:

293T (human embryonic kidney epithelial cell) whole cell lysate at 20 µg

Lane 2:

NIH/3T3 (mouse embryonic fibroblast) whole cell lysate at 20 µg

Secondary

All lanes:

Western blot - Goat Anti-Rabbit IgG H&L (HRP) (<a href='/en-us/products/secondary-antibodies/goat-rabbit-igg-h-l-hrp-ab97051'>ab97051</a>) at 1/100000 dilution

Observed band size: 154 kDa,36 kDa

false

Exposure time: 180s

ChIC/CUT&RUN sequencing - Anti-KDM6A / UTX antibody [EPR26387-105] (AB323566)
  • ChIC/CUT&RUN-seq

Supplier Data

ChIC/CUT&RUN sequencing - Anti-KDM6A / UTX antibody [EPR26387-105] (AB323566)

ChIC/CUT&RUN was performed using a pAG-MNase at a final concentration of 700 ng/mL, 2.5 x 105 MCF7 (human breast adenocarcinoma epithelial cell) cells and 5 ug of ab323566 [EPR26387-105]. The resulting DNA was sequenced on the Illumina NovaSeq 6000 to a depth of 10 million reads. The negative IgG control ab172730 is also shown.

The University of Geneva owns patents relevant to ChIC (Chromatin Immuno-Cleavage) methods.

ChIC/CUT&RUN sequencing - Anti-KDM6A / UTX antibody [EPR26387-105] (AB323566)
  • ChIC/CUT&RUN-seq

Supplier Data

ChIC/CUT&RUN sequencing - Anti-KDM6A / UTX antibody [EPR26387-105] (AB323566)

ChIC/CUT&RUN was performed using a pAG-MNase at a final concentration of 700 ng/mL, 2.5 x 105 MCF7 (human breast adenocarcinoma epithelial cell) cells and 5 ug of ab323566 [EPR26387-105]. The resulting DNA was sequenced on the Illumina NovaSeq 6000 to a depth of 10 million reads. The negative IgG control ab172730 is also shown.

The University of Geneva owns patents relevant to ChIC (Chromatin Immuno-Cleavage) methods.

ChIC/CUT&RUN sequencing - Anti-KDM6A / UTX antibody [EPR26387-105] (AB323566)
  • ChIC/CUT&RUN-seq

Supplier Data

ChIC/CUT&RUN sequencing - Anti-KDM6A / UTX antibody [EPR26387-105] (AB323566)

ChIC/CUT&RUN was performed using a pAG-MNase at a final concentration of 700 ng/mL, 2.5 x 105 MCF7 (human breast adenocarcinoma epithelial cell) cells and 5 ug of ab323566 [EPR26387-105]. The resulting DNA was sequenced on the Illumina NovaSeq 6000 to a depth of 10 million reads. The negative IgG control ab172730 is also shown.

The University of Geneva owns patents relevant to ChIC (Chromatin Immuno-Cleavage) methods.

ChIC/CUT&RUN sequencing - Anti-KDM6A / UTX antibody [EPR26387-105] (AB323566)
  • ChIC/CUT&RUN-seq

Supplier Data

ChIC/CUT&RUN sequencing - Anti-KDM6A / UTX antibody [EPR26387-105] (AB323566)

ChIC/CUT&RUN was performed using a pAG-MNase at a final concentration of 700 ng/mL, 2.5 x 105 C2C12 (mouse myoblast) cells and 5 ug of ab323566 [EPR26387-105]. The resulting DNA was sequenced on the Illumina NovaSeq 6000 to a depth of 10 million reads. The negative IgG control ab172730 is also shown.

The University of Geneva owns patents relevant to ChIC (Chromatin Immuno-Cleavage) methods.

ChIC/CUT&RUN sequencing - Anti-KDM6A / UTX antibody [EPR26387-105] (AB323566)
  • ChIC/CUT&RUN-seq

Supplier Data

ChIC/CUT&RUN sequencing - Anti-KDM6A / UTX antibody [EPR26387-105] (AB323566)

ChIC/CUT&RUN was performed using a pAG-MNase at a final concentration of 700 ng/mL, 2.5 x 105 C2C12 (mouse myoblast) cells and 5 ug of ab323566 [EPR26387-105]. The resulting DNA was sequenced on the Illumina NovaSeq 6000 to a depth of 10 million reads. The negative IgG control ab172730 is also shown.

The University of Geneva owns patents relevant to ChIC (Chromatin Immuno-Cleavage) methods.

ChIC/CUT&RUN sequencing - Anti-KDM6A / UTX antibody [EPR26387-105] (AB323566)
  • ChIC/CUT&RUN-seq

Supplier Data

ChIC/CUT&RUN sequencing - Anti-KDM6A / UTX antibody [EPR26387-105] (AB323566)

ChIC/CUT&RUN was performed using a pAG-MNase at a final concentration of 700 ng/mL, 2.5 x 105 C2C12 (mouse myoblast) cells and 5 ug of ab323566 [EPR26387-105]. The resulting DNA was sequenced on the Illumina NovaSeq 6000 to a depth of 10 million reads. The negative IgG control ab172730 is also shown.

The University of Geneva owns patents relevant to ChIC (Chromatin Immuno-Cleavage) methods.

Key facts

Host species

Rabbit

Clonality

Monoclonal

Clone number

EPR26387-105

Isotype

IgG

Carrier free

No

Reacts with

Human, Mouse

Applications

WB, ChIC/CUT&RUN-seq, IP

applications

Immunogen

The exact immunogen used to generate this antibody is proprietary information.

Reactivity data

{ "title": "Reactivity Data", "filters": { "stats": ["", "Species", "Dilution Info", "Notes"], "tabs": { "all-applications": {"fullname" : "All Applications", "shortname": "All Applications"}, "WB" : {"fullname" : "Western blot", "shortname":"WB"}, "IP" : {"fullname" : "Immunoprecipitation", "shortname":"IP"}, "ChICCUTRUNseq" : {"fullname" : "ChIC/CUT&RUN sequencing", "shortname":"ChIC/CUT&RUN-seq"}, "ChIPseq" : {"fullname" : "ChIP-sequencing", "shortname":"ChIP-seq"} }, "product-promise": { "all": "all", "testedAndGuaranteed": "tested", "guaranteed": "expected", "predicted": "predicted", "notRecommended": "not-recommended" } }, "values": { "Human": { "WB-species-checked": "testedAndGuaranteed", "WB-species-dilution-info": "1/1000", "WB-species-notes": "<p></p>", "IP-species-checked": "testedAndGuaranteed", "IP-species-dilution-info": "1/30", "IP-species-notes": "<p></p>", "ChICCUTRUNseq-species-checked": "testedAndGuaranteed", "ChICCUTRUNseq-species-dilution-info": "5 µg", "ChICCUTRUNseq-species-notes": "<p></p>", "ChIPseq-species-checked": "notRecommended", "ChIPseq-species-dilution-info": "", "ChIPseq-species-notes": "<p></p>" }, "Mouse": { "WB-species-checked": "testedAndGuaranteed", "WB-species-dilution-info": "1/1000", "WB-species-notes": "<p></p>", "IP-species-checked": "testedAndGuaranteed", "IP-species-dilution-info": "1/30", "IP-species-notes": "<p></p>", "ChICCUTRUNseq-species-checked": "testedAndGuaranteed", "ChICCUTRUNseq-species-dilution-info": "5 µg", "ChICCUTRUNseq-species-notes": "<p></p>", "ChIPseq-species-checked": "notRecommended", "ChIPseq-species-dilution-info": "", "ChIPseq-species-notes": "<p></p>" } } }

Product details

Patented technology
Our RabMAb® technology is a patented hybridoma-based technology for making rabbit monoclonal antibodies. For details on our patents, please refer to RabMAb® patents.

What are the advantages of a recombinant monoclonal antibody?
This product is a recombinant monoclonal antibody, which offers several advantages including:

  • - High batch-to-batch consistency and reproducibility
  • - Improved sensitivity and specificity
  • - Long-term security of supply
  • - Animal-free batch production

For more information, read more on recombinant antibodies.

Properties and storage information

Form
Liquid
Purification technique
Affinity purification Protein A
Storage buffer
pH: 7.2 - 7.4 Preservative: 0.01% Sodium azide Constituents: PBS, 40% Glycerol (glycerin, glycerine), 0.05% BSA
Shipped at conditions
Blue Ice
Appropriate short-term storage duration
1-2 weeks
Appropriate short-term storage conditions
+4°C
Appropriate long-term storage conditions
-20°C
Aliquoting information
Upon delivery aliquot
Storage information
Avoid freeze / thaw cycle

Product protocols

For this product, it's our understanding that no specific protocols are required. You can visit:

Target data

Histone demethylase that specifically demethylates 'Lys-27' of histone H3, thereby playing a central role in histone code (PubMed : 17713478, PubMed : 17761849, PubMed : 17851529). Demethylates trimethylated and dimethylated but not monomethylated H3 'Lys-27' (PubMed : 17713478, PubMed : 17761849, PubMed : 17851529). Plays a central role in regulation of posterior development, by regulating HOX gene expression (PubMed : 17851529). Demethylation of 'Lys-27' of histone H3 is concomitant with methylation of 'Lys-4' of histone H3, and regulates the recruitment of the PRC1 complex and monoubiquitination of histone H2A (PubMed : 17761849). Plays a demethylase-independent role in chromatin remodeling to regulate T-box family member-dependent gene expression (By similarity).
See full target information KDM6A

Product promise

We are committed to supporting your work with high-quality reagents, and we're here for you every step of the way. In the unlikely event that one of our products does not perform as expected, you're protected by our Product Promise.
For full details, please see our Terms & Conditions

Please note: All products are 'FOR RESEARCH USE ONLY. NOT FOR USE IN DIAGNOSTIC OR THERAPEUTIC PROCEDURES'.

For licensing inquiries, please contact partnerships@abcam.com