JavaScript is disabled in your browser. Please enable JavaScript to view this website.
AB300513

Anti-KDM6A / UTX antibody [EPR26387-23]

  • BOND RX™ Validated
  • 20ul selling size
  • KO Validated
  • RabMAb
  • Recombinant
  • Advanced Validation
  • What is this?

Be the first to review this product! Submit a review

|

(1 Publication)

Rabbit Recombinant Monoclonal KDM6A / UTX antibody. Suitable for ChIC/CUT&RUN-seq, WB, ICC/IF, IHC-P and reacts with Human, Rat, Mouse samples. Cited in 1 publication.

View Alternative Names

UTX, KDM6A, Lysine-specific demethylase 6A, Histone demethylase UTX, Ubiquitously-transcribed TPR protein on the X chromosome, Ubiquitously-transcribed X chromosome tetratricopeptide repeat protein, [histone H3]-trimethyl-L-lysine(27) demethylase 6A

11 Images
Immunocytochemistry/ Immunofluorescence - Anti-KDM6A / UTX antibody [EPR26387-23] (AB300513)
  • ICC/IF

Supplier Data

Immunocytochemistry/ Immunofluorescence - Anti-KDM6A / UTX antibody [EPR26387-23] (AB300513)

Immunofluorescent analysis of 4% Paraformaldehyde-fixed, 0.1% TritonX-100 permeabilized KDM6A KO HAP1 (KDM6A knockout human chronic myelogenous leukemia) cells labelling KDM6A / UTX with ab300513 at 1/50 (9.92 ug/ml) dilution, followed by ab150081 Goat Anti-Rabbit IgG H&L (Alexa Fluor® 488) preadsorbed antibody at 1/1000 2 ug/ml dilution (Green). Confocal image showing nuclear and cytoplasmic staining in WT HAP1 cells and no staining in KDM6A KO HAP1 cells is observed. ab195889 Anti-alpha Tubulin mouse monoclonal antibody - Microtubule Marker (Alexa Fluor® 594) was used to counterstain tubulin at 1/200 2.5 ug/ml dilution (Red). The Nuclear counterstain was DAPI (Blue). Secondary antibody only control : Secondary antibody is ab150081 Goat Anti-Rabbit IgG H&L (Alexa Fluor® 488) preadsorbed at 1/1000 2 ug/ml dilution.

Immunohistochemistry (Formalin/PFA-fixed paraffin-embedded sections) - Anti-KDM6A / UTX antibody [EPR26387-23] (AB300513)
  • IHC-P

Supplier Data

Immunohistochemistry (Formalin/PFA-fixed paraffin-embedded sections) - Anti-KDM6A / UTX antibody [EPR26387-23] (AB300513)

Immunohistochemical analysis of paraffin-embedded A 293T (human embryonic tissue labeling KDM6A / UTX with ab300513 at 1/2000 (0.248 ug/ml) followed by a ready to use LeicaDS9800 (BOND®Polymer Refine Detection) was used. Positive staining on 293T cell pellet (image A), and no staining on THP-1 cell pellet (image B). The section was incubated with ab300513 for 30 mins at room temperature.The immunostaining was performed on a Leica Biosystems BOND® RX instrument Counterstained with Hematoxylin. Secondary antibody only control : Secondary antibody is a ready to use LeicaDS9800 (BOND®Polymer Refine Detection) was used.Heat mediated antigen retrieval with Tris-EDTA buffer (pH 9.0, epitope retrieval solution2) for 20 mins

Immunohistochemistry (Formalin/PFA-fixed paraffin-embedded sections) - Anti-KDM6A / UTX antibody [EPR26387-23] (AB300513)
  • IHC-P

Supplier Data

Immunohistochemistry (Formalin/PFA-fixed paraffin-embedded sections) - Anti-KDM6A / UTX antibody [EPR26387-23] (AB300513)

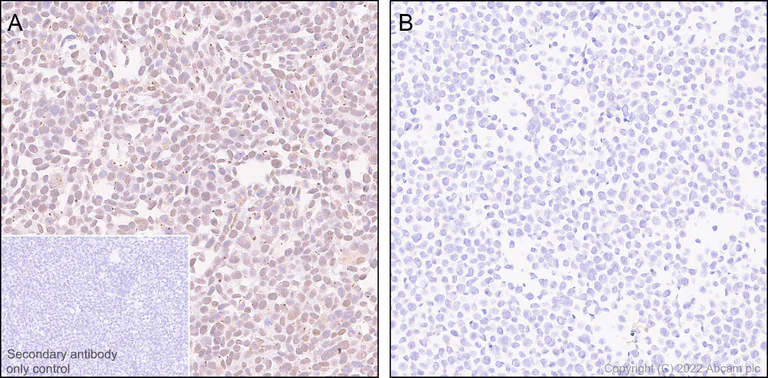
Immunohistochemical analysis of paraffin-embedded Human lung cancer tissue labeling KDM6A / UTX with ab300513 at 1/100 (4.96 ug/ml) followed by a ready to use LeicaDS9800 (Bond Polymer Refine Detection) was used. Positive staining on lung cancer. The section was incubated with ab300513 for 30 mins at room temperature.The immunostaining was performed on a Leica Biosystems BOND® RX instrument Counterstained with Hematoxylin. Secondary antibody only control : Secondary antibody is a ready to use LeicaDS9800 (Bond Polymer Refine Detection) was used.Heat mediated antigen retrieval with Tris-EDTA buffer (pH 9.0, epitope retrieval solution2) for 20 mins

Immunohistochemistry (Formalin/PFA-fixed paraffin-embedded sections) - Anti-KDM6A / UTX antibody [EPR26387-23] (AB300513)
  • IHC-P

Supplier Data

Immunohistochemistry (Formalin/PFA-fixed paraffin-embedded sections) - Anti-KDM6A / UTX antibody [EPR26387-23] (AB300513)

Immunohistochemical analysis of paraffin-embedded Human pancreas tissue labeling KDM6A / UTX with ab300513 at 1/100 (4.96 ug/ml) followed by a ready to use LeicaDS9800 (Bond Polymer Refine Detection) was used. Positive staining on human pancreas at a low level. The section was incubated with ab300513 for 30 mins at room temperature.The immunostaining was performed on a Leica Biosystems BOND® RX instrument Counterstained with Hematoxylin. Secondary antibody only control : Secondary antibody is a ready to use LeicaDS9800 (Bond Polymer Refine Detection) was used.Heat mediated antigen retrieval with Tris-EDTA buffer (pH 9.0, epitope retrieval solution2) for 20 mins

Immunohistochemistry (Formalin/PFA-fixed paraffin-embedded sections) - Anti-KDM6A / UTX antibody [EPR26387-23] (AB300513)
  • IHC-P

Supplier Data

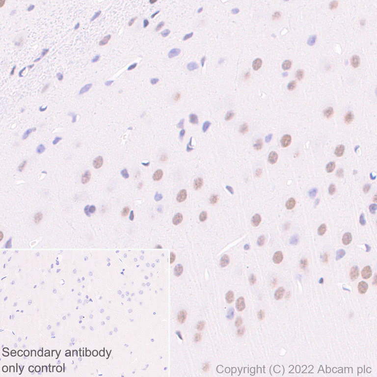
Immunohistochemistry (Formalin/PFA-fixed paraffin-embedded sections) - Anti-KDM6A / UTX antibody [EPR26387-23] (AB300513)

Immunohistochemical analysis of paraffin-embedded Rat cerebrum tissue labeling KDM6A / UTX with ab300513 at 1/500 (0.992 ug/ml) followed by a ready to use LeicaDS9800 (BOND®Polymer Refine Detection) was used. Positive staining on rat cerebrum. The section was incubated with ab300513 for 30 mins at room temperature.The immunostaining was performed on a Leica Biosystems BOND® RX instrument Counterstained with Hematoxylin. Secondary antibody only control : Secondary antibody is a ready to use LeicaDS9800 (BOND®Polymer Refine Detection) was used.Heat mediated antigen retrieval with Tris-EDTA buffer (pH 9.0, epitope retrieval solution2) for 20 mins

Immunohistochemistry (Formalin/PFA-fixed paraffin-embedded sections) - Anti-KDM6A / UTX antibody [EPR26387-23] (AB300513)
  • IHC-P

Supplier Data

Immunohistochemistry (Formalin/PFA-fixed paraffin-embedded sections) - Anti-KDM6A / UTX antibody [EPR26387-23] (AB300513)

Immunohistochemical analysis of paraffin-embedded Mouse cerebrum tissue labeling KDM6A / UTX with ab300513 at 1/500 (0.992 ug/ml) followed by a ready to use LeicaDS9800 (BOND®Polymer Refine Detection) was used. Positive staining on mouse cerebrum. The section was incubated with ab300513 for 30 mins at room temperature.The immunostaining was performed on a Leica Biosystems BOND® RX instrument Counterstained with Hematoxylin. Secondary antibody only control : Secondary antibody is a ready to use LeicaDS9800 (BOND®Polymer Refine Detection) was used.Heat mediated antigen retrieval with Tris-EDTA buffer (pH 9.0, epitope retrieval solution2) for 20 mins

Western blot - Anti-KDM6A / UTX antibody [EPR26387-23] (AB300513)
  • WB

Lab

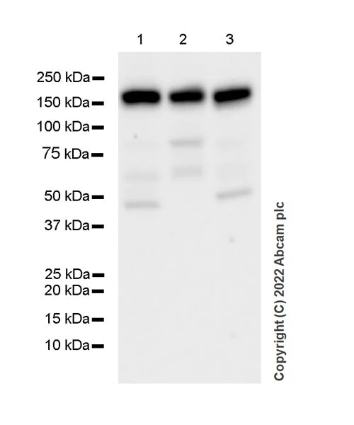
Western blot - Anti-KDM6A / UTX antibody [EPR26387-23] (AB300513)

Western blot : Anti-KDM6A/UTX antibody [EPR26387-23] (ab300513) staining at 1/1000 dilution, shown in green; Mouse anti-CANX [CANX/1543] (ab238078) loading control staining at 1/20000 dilution, shown in magenta. In Western blot, ab300513 was shown to bind specifically to KDM6A/UTX. A band was observed at 154 kDa in wild-type A549 cell lysates with no signal observed at this size in KDM6A/UTX knockout cell line. To generate this image, wild-type and KDM6A/UTX knockout A549 cell lysates were analysed. First, samples were run on an SDS-PAGE gel then transferred onto a nitrocellulose membrane. Membranes were blocked in 3 % milk in TBS-0.1 % Tween® 20 (TBS-T) before incubation with primary antibodies overnight at 4 °C. Blots were washed four times in TBS-T, incubated with secondary antibodies for 1 h at room temperature, washed again four times then imaged. Secondary antibodies used were Goat anti-Rabbit IgG H&L 800CW and Goat anti-Mouse IgG H&L 680RD at 1/20000 dilution.

All lanes:

Western blot - Anti-KDM6A / UTX antibody [EPR26387-23] (ab300513) at 1/1000 dilution

Lane 1:

Wild-type A549 cell lysate at 7 µg

Lane 2:

Western blot - Human KDM6A knockout A549 cell line (<a href='/en-us/products/cell-lines/human-kdm6a-knockout-a549-cell-line-ab287596'>ab287596</a>)

Lane 2:

KDM6A/UTX knockout A549 cell lysate at 7 µg

Secondary

Lanes 1 - 2:

Goat anti-Rabbit IgG H&L 800CW at 1/20000 dilution

Lanes 1 - 2:

Goat anti-Mouse IgG H&L 680RD at 1/20000 dilution

Observed band size: 154 kDa

false

Western blot - Anti-KDM6A / UTX antibody [EPR26387-23] (AB300513)
  • WB

Lab

Western blot - Anti-KDM6A / UTX antibody [EPR26387-23] (AB300513)

Blocking and diluting buffer and concentration : 5% NFDM/TBST

The identity of the bands between 45 kDa and 90 kDa are unknown.

Lysates were freshly made and used immediately to minimize protein degradation.

All lanes:

Western blot - Anti-KDM6A / UTX antibody [EPR26387-23] (ab300513) at 1/1000 dilution

Lane 1:

293T (human embryonic kidney epithelial cell), whole cell lysate at 20 µg

Lane 2:

NIH/3T3 (mouse embryonic fibroblast), whole cell lysate at 20 µg

Lane 3:

PC-12 (rat adrenal gland pheochromocytoma), whole cell lysate at 20 µg

Secondary

All lanes:

Goat Anti-Rabbit IgG H&L (IRDye&reg; 800CW) at 1/50000 dilution

Predicted band size: 154 kDa

Observed band size: 160 kDa

false

Exposure time: 37s

ChIC/CUT&RUN sequencing - Anti-KDM6A / UTX antibody [EPR26387-23] (AB300513)
  • ChIC/CUT&RUN-seq

Supplier Data

ChIC/CUT&RUN sequencing - Anti-KDM6A / UTX antibody [EPR26387-23] (AB300513)

CUT&RUN profiling with KDM6A antibody reveals the expected genomic enrichment pattern in cells. Representative genome browser tracks show CUT&RUN data generated using the CUTANA™ CUT&RUN Kit (EpiCypher 14-1048) with KDM6A antibody (Abcam ab300513, 0.5 µg). 500,000 HeLa cells were used per reaction. IgG, H3K4me3, and H3K27me3 antibodies were included as controls to assess non-specific background, active promoters, and repressed chromatin, respectively. Libraries were prepared using the CUTANA™ CUT&RUN Library Prep Kit (EpiCypher 14-1001). Sequencing was performed with paired-end 50 bp reads, and data were processed on CUTANA™ Cloud (cloud.epicypher.com) by alignment to the hg38 genome. Images were generated using Integrative Genomics Viewer (IGV, Broad Institute).

ChIC/CUT&RUN sequencing - Anti-KDM6A / UTX antibody [EPR26387-23] (AB300513)
  • ChIC/CUT&RUN-seq

Supplier Data

ChIC/CUT&RUN sequencing - Anti-KDM6A / UTX antibody [EPR26387-23] (AB300513)

CUT&RUN profiling with KDM6A antibody demonstrates robust genome-wide enrichment in cells. Heatmaps of genome-wide signal flanking annotated transcription start sites (TSSs, +/- 2 kbp) display CUT&RUN data generated using the CUTANA™ CUT&RUN Kit (EpiCypher 14-1048) with KDM6A antibody (Abcam ab300513, 0.5 µg). 500,000 HeLa cells were used per reaction. IgG antibody was included as a negative control to assess non-specific background. Libraries were prepared using the CUTANA™ CUT&RUN Library Prep Kit (EpiCypher 14-1001). Sequencing was performed with paired-end 50 bp reads, and data were processed on CUTANA™ Cloud (cloud.epicypher.com) by alignment to the hg38 genome. Heatmaps were generated using deepTools (Ramнrez et al., Nucleic Acids Res. 2014; PMID : 24799436). Row-linked data are ranked by intensity relative to KDM6A, with red indicating high localized enrichment and blue denoting background.

Western blot - Anti-KDM6A / UTX antibody [EPR26387-23] (AB300513)
  • WB

Lab

Western blot - Anti-KDM6A / UTX antibody [EPR26387-23] (AB300513)

Blocking and diluting buffer and concentration : 5% NFDM/TBST.

Lysates were freshly made and used immediately to minimize protein degradation.

This blot was developed using a high sensitivity ECL substrate. The high-sensitivity ECL substrate used allows for the detection of proteins in the mid-femtogram range.

All lanes:

Western blot - Anti-KDM6A / UTX antibody [EPR26387-23] (ab300513) at 1/1000 dilution

All lanes:

Mouse brain tissue lysate at 20 µg

Secondary

All lanes:

Goat Anti-Rabbit IgG H&L (IRDye® 800CW) at 1/50000 dilution

Predicted band size: 154 kDa

Observed band size: 160 kDa

true

Exposure time: 136s

  • Carrier free

    Anti-KDM6A / UTX antibody [EPR26387-23] (BSA and Azide free)

Key facts

Host species

Rabbit

Clonality

Monoclonal

Clone number

EPR26387-23

Isotype

IgG

Carrier free

No

Reacts with

Mouse, Rat, Human

Applications

WB, IHC-P, ChIC/CUT&RUN-seq, ICC/IF

applications

Immunogen

The exact immunogen used to generate this antibody is proprietary information.

Reactivity data

{ "title": "Reactivity Data", "filters": { "stats": ["", "Species", "Dilution Info", "Notes"], "tabs": { "all-applications": {"fullname" : "All Applications", "shortname": "All Applications"}, "ChICCUTRUNseq" : {"fullname" : "ChIC/CUT&RUN sequencing", "shortname":"ChIC/CUT&RUN-seq"}, "WB" : {"fullname" : "Western blot", "shortname":"WB"}, "ChIP" : {"fullname" : "ChIP", "shortname":"ChIP"}, "IP" : {"fullname" : "Immunoprecipitation", "shortname":"IP"}, "FlowCytIntra" : {"fullname" : "Flow Cytometry (Intracellular)", "shortname":"Flow Cyt (Intra)"}, "ICCIF" : {"fullname" : "Immunocytochemistry/ Immunofluorescence", "shortname":"ICC/IF"}, "IHCP" : {"fullname" : "Immunohistochemistry (Formalin/PFA-fixed paraffin-embedded sections)", "shortname":"IHC-P"} }, "product-promise": { "all": "all", "testedAndGuaranteed": "tested", "guaranteed": "expected", "predicted": "predicted", "notRecommended": "not-recommended" } }, "values": { "Human": { "ChICCUTRUNseq-species-checked": "testedAndGuaranteed", "ChICCUTRUNseq-species-dilution-info": "", "ChICCUTRUNseq-species-notes": "<p></p>", "WB-species-checked": "testedAndGuaranteed", "WB-species-dilution-info": "1/1000", "WB-species-notes": "<p></p>", "ChIP-species-checked": "notRecommended", "ChIP-species-dilution-info": "", "ChIP-species-notes": "<p></p>", "IP-species-checked": "notRecommended", "IP-species-dilution-info": "", "IP-species-notes": "<p></p>", "FlowCytIntra-species-checked": "notRecommended", "FlowCytIntra-species-dilution-info": "", "FlowCytIntra-species-notes": "<p></p>", "ICCIF-species-checked": "testedAndGuaranteed", "ICCIF-species-dilution-info": "1/50", "ICCIF-species-notes": "<p></p>", "IHCP-species-checked": "testedAndGuaranteed", "IHCP-species-dilution-info": "1/100", "IHCP-species-notes": "<p></p> Perform heat-mediated antigen retrieval with Tris/EDTA buffer pH 9.0 before commencing with IHC staining protocol." }, "Mouse": { "ChICCUTRUNseq-species-checked": "guaranteed", "ChICCUTRUNseq-species-dilution-info": "", "ChICCUTRUNseq-species-notes": "", "WB-species-checked": "testedAndGuaranteed", "WB-species-dilution-info": "1/1000", "WB-species-notes": "<p></p>", "ChIP-species-checked": "notRecommended", "ChIP-species-dilution-info": "", "ChIP-species-notes": "", "IP-species-checked": "notRecommended", "IP-species-dilution-info": "", "IP-species-notes": "<p></p>", "FlowCytIntra-species-checked": "notRecommended", "FlowCytIntra-species-dilution-info": "", "FlowCytIntra-species-notes": "<p></p>", "ICCIF-species-checked": "notRecommended", "ICCIF-species-dilution-info": "1/50", "ICCIF-species-notes": "<p></p>", "IHCP-species-checked": "testedAndGuaranteed", "IHCP-species-dilution-info": "1/100", "IHCP-species-notes": "<p></p> Perform heat-mediated antigen retrieval with Tris/EDTA buffer pH 9.0 before commencing with IHC staining protocol." }, "Rat": { "ChICCUTRUNseq-species-checked": "guaranteed", "ChICCUTRUNseq-species-dilution-info": "", "ChICCUTRUNseq-species-notes": "", "WB-species-checked": "testedAndGuaranteed", "WB-species-dilution-info": "1/1000", "WB-species-notes": "<p></p>", "ChIP-species-checked": "notRecommended", "ChIP-species-dilution-info": "", "ChIP-species-notes": "", "IP-species-checked": "notRecommended", "IP-species-dilution-info": "", "IP-species-notes": "", "FlowCytIntra-species-checked": "notRecommended", "FlowCytIntra-species-dilution-info": "", "FlowCytIntra-species-notes": "", "ICCIF-species-checked": "guaranteed", "ICCIF-species-dilution-info": "", "ICCIF-species-notes": "", "IHCP-species-checked": "testedAndGuaranteed", "IHCP-species-dilution-info": "1/100", "IHCP-species-notes": "<p></p> Perform heat-mediated antigen retrieval with Tris/EDTA buffer pH 9.0 before commencing with IHC staining protocol." } } }

Product details

Patented technology
Our RabMAb® technology is a patented hybridoma-based technology for making rabbit monoclonal antibodies. For details on our patents, please refer to RabMAb® patents.

What are the advantages of a recombinant monoclonal antibody?
This product is a recombinant monoclonal antibody, which offers several advantages including:

  • - High batch-to-batch consistency and reproducibility
  • - Improved sensitivity and specificity
  • - Long-term security of supply
  • - Animal-free batch production

For more information, read more on recombinant antibodies.

Properties and storage information

Form
Liquid
Purification technique
Affinity purification Protein A
Storage buffer
pH: 7.2 - 7.4 Preservative: 0.01% Sodium azide Constituents: PBS, 40% Glycerol (glycerin, glycerine), 0.05% BSA
Shipped at conditions
Blue Ice
Appropriate short-term storage duration
1-2 weeks
Appropriate short-term storage conditions
+4°C
Appropriate long-term storage conditions
-20°C
Aliquoting information
Upon delivery aliquot
Storage information
Avoid freeze / thaw cycle

Product protocols

For this product, it's our understanding that no specific protocols are required. You can visit:

Target data

Histone demethylase that specifically demethylates 'Lys-27' of histone H3, thereby playing a central role in histone code (PubMed : 17713478, PubMed : 17761849, PubMed : 17851529). Demethylates trimethylated and dimethylated but not monomethylated H3 'Lys-27' (PubMed : 17713478, PubMed : 17761849, PubMed : 17851529). Plays a central role in regulation of posterior development, by regulating HOX gene expression (PubMed : 17851529). Demethylation of 'Lys-27' of histone H3 is concomitant with methylation of 'Lys-4' of histone H3, and regulates the recruitment of the PRC1 complex and monoubiquitination of histone H2A (PubMed : 17761849). Plays a demethylase-independent role in chromatin remodeling to regulate T-box family member-dependent gene expression (By similarity).
See full target information KDM6A

Publications (1)

Recent publications for all applications. Explore the full list and refine your search

Cancers 16: PubMed38539453

2024

An Imbalance in Histone Modifiers Induces tRNA-Cys-GCA Overexpression and tRF-27 Accumulation by Attenuating Promoter H3K27me3 in Primary Trastuzumab-Resistant Breast Cancer.

Applications

Unspecified application

Species

Unspecified reactive species

Ningjun Duan,Yijia Hua,Xueqi Yan,Yaozhou He,Tianyu Zeng,Jue Gong,Ziyi Fu,Wei Li,Yongmei Yin
View all publications

Product promise

We are committed to supporting your work with high-quality reagents, and we're here for you every step of the way. In the unlikely event that one of our products does not perform as expected, you're protected by our Product Promise.
For full details, please see our Terms & Conditions

Please note: All products are 'FOR RESEARCH USE ONLY. NOT FOR USE IN DIAGNOSTIC OR THERAPEUTIC PROCEDURES'.

For licensing inquiries, please contact partnerships@abcam.com