JavaScript is disabled in your browser. Please enable JavaScript to view this website.
AB38113

Anti-KDM6B / JMJD3 antibody

3

(10 Reviews)

|

(61 Publications)

Anti-KDM6B / JMJD3 antibody (ab38113) is a rabbit polyclonal antibody detecting KDM6B / JMJD3 in IHC-P, ICC/IF. Suitable for Human.

- Over 50 publications
- Trusted since 2007

View Alternative Names

JMJD3, KIAA0346, KDM6B, Lysine-specific demethylase 6B, JmjC domain-containing protein 3, Jumonji domain-containing protein 3, Lysine demethylase 6B, [histone H3]-trimethyl-L-lysine(27) demethylase 6B

2 Images
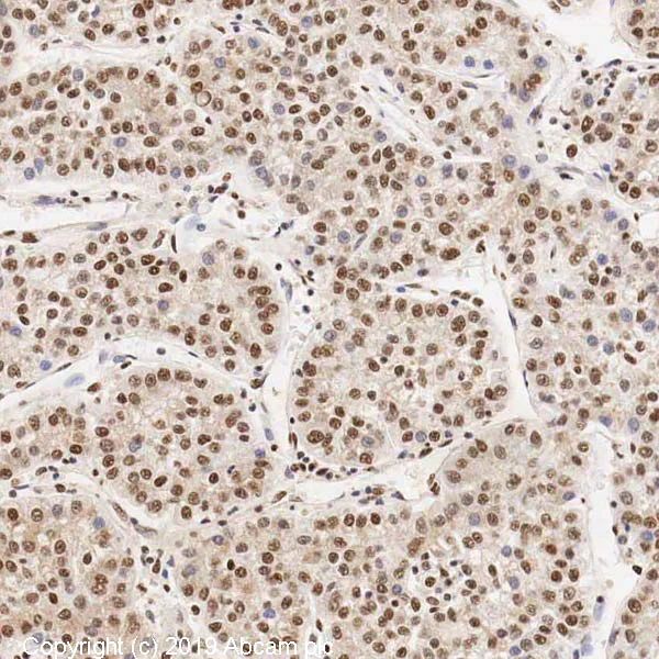
Immunohistochemistry (Formalin/PFA-fixed paraffin-embedded sections) - Anti-KDM6B / JMJD3 antibody (AB38113)
  • IHC-P

Lab

Immunohistochemistry (Formalin/PFA-fixed paraffin-embedded sections) - Anti-KDM6B / JMJD3 antibody (AB38113)

IHC image of KDM6B/JMJD3 staining in a section of formalin-fixed paraffin-embedded normal human liver* performed on a Leica BONDTM system using the standard protocol F. The section was pre-treated using heat mediated antigen retrieval with sodium citrate buffer (pH6, epitope retrieval solution 1) for 20mins. The section was then incubated with ab38113, 5ug/ml, for 15 mins at room temperature and detected using an HRP conjugated compact polymer system. DAB was used as the chromogen. The section was then counterstained with haematoxylin and mounted with DPX.

For other IHC staining systems (automated and non-automated) customers should optimize variable parameters such as antigen retrieval conditions, primary antibody concentration and antibody incubation times.

*Tissue obtained from the Human Research Tissue Bank, supported by the NIHR Cambridge Biomedical Research Centre

Immunocytochemistry/ Immunofluorescence - Anti-KDM6B / JMJD3 antibody (AB38113)
  • ICC/IF

Lab

Immunocytochemistry/ Immunofluorescence - Anti-KDM6B / JMJD3 antibody (AB38113)

ab38113 stained in HeLa cells. Cells were fixed with 4% paraformaldehyde (10 min) at room temperature and incubated with PBS containing 10% goat serum, 0.3 M glycine, 1% BSA and 0.1% Triton for 1h at room temperature to permeabilise the cells and block non-specific protein-protein interactions. The cells were then incubated with the antibody ab38113 at 1μg/ml and ab7291 (Mouse monoclonal to alpha Tubulin - Loading Control) used at a 1/1000 dilution overnight at +4°C. The secondary antibodies were ab150081, Goat Anti-Rabbit IgG H&L (Alexa Fluor® 488) preadsorbed, (pseudo-colored green) and ab150120, Goat polyclonal Secondary Antibody to Mouse IgG - H&L (Alexa Fluor® 594) preadsorbed, (colored red), both used at a 1/1000 dilution for 1 hour at room temperature. DAPI was used to stain the cell nuclei (colored blue) at a concentration of 1.43 μM for 1hour at room temperature.

Key facts

Host species

Rabbit

Clonality

Polyclonal

Isotype

IgG

Carrier free

No

Reacts with

Human

Applications

ICC/IF, IHC-P

applications

Immunogen

The exact immunogen used to generate this antibody is proprietary information.

Specificity

From Jan 2024, QC testing of replenishment batches of this polyclonal changed. All tested and expected application and reactive species combinations are still covered by our Abcam product promise. However, we no longer test all applications. For more information on a specific batch, please contact our Scientific Support who will be happy to help.

Reactivity data

{ "title": "Reactivity Data", "filters": { "stats": ["", "Species", "Dilution Info", "Notes"], "tabs": { "all-applications": {"fullname" : "All Applications", "shortname": "All Applications"}, "IHCP" : {"fullname" : "Immunohistochemistry (Formalin/PFA-fixed paraffin-embedded sections)", "shortname":"IHC-P"}, "ICCIF" : {"fullname" : "Immunocytochemistry/ Immunofluorescence", "shortname":"ICC/IF"} }, "product-promise": { "all": "all", "testedAndGuaranteed": "tested", "guaranteed": "expected", "predicted": "predicted", "notRecommended": "not-recommended" } }, "values": { "Human": { "IHCP-species-checked": "testedAndGuaranteed", "IHCP-species-dilution-info": "5 µg/mL", "IHCP-species-notes": "<p></p>", "ICCIF-species-checked": "guaranteed", "ICCIF-species-dilution-info": "", "ICCIF-species-notes": "<p></p>" }, "Mouse": { "IHCP-species-checked": "predicted", "IHCP-species-dilution-info": "", "IHCP-species-notes": "", "ICCIF-species-checked": "predicted", "ICCIF-species-dilution-info": "", "ICCIF-species-notes": "" } } }

Product details

What is this antibody validated in?
Anti-KDM6B / JMJD3 antibody (ab38113) is a rabbit polyclonal antibody and is validated for use in Immunohistochemistry (IHC-P), Immunocytochemistry/immunofluorescence (ICC/IF) in Human samples.

Trusted by the scientific community
Anti-KDM6B / JMJD3 (ab38113) was first used in a scientific publication in 2007 and has been cited over 50 times in peer-reviewed journals.

Reviewed by scientists
Anti-KDM6B / JMJD3 (ab38113) has over 10 independent reviews from customers.

Properties and storage information

Form
Liquid
Purification technique
Affinity purification Immunogen
Storage buffer
pH: 7.4 Preservative: 0.02% Sodium azide Constituents: PBS, 1% BSA
Shipped at conditions
Blue Ice
Appropriate short-term storage duration
1-2 weeks
Appropriate short-term storage conditions
+4°C
Appropriate long-term storage conditions
-20°C
Aliquoting information
Upon delivery aliquot
Storage information
Avoid freeze / thaw cycle

Product protocols

For this product, it's our understanding that no specific protocols are required. You can visit:

Target data

Histone demethylase that specifically demethylates 'Lys-27' of histone H3, thereby playing a central role in histone code (PubMed : 17713478, PubMed : 17825402, PubMed : 17851529, PubMed : 18003914). Demethylates trimethylated and dimethylated H3 'Lys-27' (PubMed : 17713478, PubMed : 17825402, PubMed : 17851529, PubMed : 18003914). Plays a central role in regulation of posterior development, by regulating HOX gene expression (PubMed : 17851529). Involved in inflammatory response by participating in macrophage differentiation in case of inflammation by regulating gene expression and macrophage differentiation (PubMed : 17825402). Plays a demethylase-independent role in chromatin remodeling to regulate T-box family member-dependent gene expression by acting as a link between T-box factors and the SMARCA4-containing SWI/SNF remodeling complex (By similarity).
See full target information KDM6B

Publications (61)

Recent publications for all applications. Explore the full list and refine your search

Journal of Cancer 16:3629-3642 PubMed40959109

2025

KDM6B enhances anti-PD-L1 immunotherapy efficacy by increasing CD8 T-cell infiltration in colorectal cancer.

Applications

Unspecified application

Species

Unspecified reactive species

Jing Xun,Zehan Liu,Bin Liu,Xiaolin Jiang,Huichao Yang,Jinjin Liu,Botao Wang,Ruifang Gao,Aimin Zhang,Xueliang Wu,Qing Xi,Xiangyang Yu,Qi Zhang

Fluids and barriers of the CNS 22:76 PubMed40671131

2025

Imatinib prevents blood-spinal cord barrier disruption by inhibiting PDGFR-mediated JMJD3 expression and activation after spinal cord injury.

Applications

Unspecified application

Species

Unspecified reactive species

Chan Sol Park,Jee Youn Lee,Tae Young Yune

Nucleic acids research 52:8165-8183 PubMed38842922

2024

Increased transcriptional elongation and RNA stability of GPCR ligand binding genes unveiled via RNA polymerase II degradation.

Applications

Unspecified application

Species

Unspecified reactive species

Lijun Bao,Junyi Zhu,Tingxin Shi,Yongpeng Jiang,Boyuan Li,Jie Huang,Xiong Ji

Neuron 112:1265-1285.e10 PubMed38377990

2024

Sustained antidepressant effects of ketamine metabolite involve GABAergic inhibition-mediated molecular dynamics in aPVT glutamatergic neurons.

Applications

Unspecified application

Species

Unspecified reactive species

Ayako Kawatake-Kuno,Haiyan Li,Hiromichi Inaba,Momoka Hikosaka,Erina Ishimori,Takatoshi Ueki,Yury Garkun,Hirofumi Morishita,Shuh Narumiya,Naoya Oishi,Gen Ohtsuki,Toshiya Murai,Shusaku Uchida

Communications biology 7:206 PubMed38378967

2024

NIPBL-mediated RAD21 facilitates tumorigenicity by the PI3K pathway in non-small-cell lung cancer.

Applications

Unspecified application

Species

Unspecified reactive species

Xiaoling Xu,Ding Wang,Weizhen Xu,Huihui Li,Ning Chen,Na Li,Qifeng Yao,Wei Chen,Jianxiang Zhong,Weimin Mao

Cancer cell international 24:56 PubMed38317193

2024

Targeting of H19/cell adhesion molecules circuitry by GSK-J4 epidrug inhibits metastatic progression in prostate cancer.

Applications

Unspecified application

Species

Unspecified reactive species

Valeria Pecci,Fabiola Troisi,Aurora Aiello,Sara De Martino,Angela Carlino,Vincenzo Fiorentino,Cristian Ripoli,Dante Rotili,Francesco Pierconti,Maurizio Martini,Manuela Porru,Francesco Pinto,Antonello Mai,Pier Francesco Bassi,Claudio Grassi,Carlo Gaetano,Alfredo Pontecorvi,Lidia Strigari,Antonella Farsetti,Simona Nanni

Science advances 9:eadh2708 PubMed38019914

2023

KDM6B drives epigenetic reprogramming associated with lymphoid stromal cell early commitment and immune properties.

Applications

Unspecified application

Species

Unspecified reactive species

Marvin Sylvestre,Nicolas Barbier,Vonick Sibut,Saba Nayar,Céline Monvoisin,Simon Leonard,Julien Saint-Vanne,Ansie Martin,Marion Guirriec,Maëlle Latour,Florence Jouan,Sylvain Baulande,Mylène Bohec,Léa Verdière,Fatima Mechta-Grigoriou,Frédéric Mourcin,Nicolas Bertheuil,Francesca Barone,Karin Tarte,David Roulois

ACS nano 17:3153-3167 PubMed36715347

2023

Dual-Targeted Nanodiscs Revealing the Cross-Talk between Osteogenic Differentiation of Mesenchymal Stem Cells and Macrophages.

Applications

Unspecified application

Species

Unspecified reactive species

Lang Chen,Chenyan Yu,Wanting Xu,Yuan Xiong,Peng Cheng,Ze Lin,Zhenhe Zhang,Leonard Knoedler,Adriana C Panayi,Samuel Knoedler,Junqing Wang,Bobin Mi,Guohui Liu

Cell death & disease 13:1068 PubMed36564369

2022

KDM6B promotes gastric carcinogenesis and metastasis via upregulation of CXCR4 expression.

Applications

Unspecified application

Species

Unspecified reactive species

Fen Liu,Yue Wang,Zongcheng Yang,Xiujie Cui,Lixin Zheng,Yue Fu,Wei Shao,Lu Zhang,Qing Yang,Jihui Jia

PeerJ 10:e13759 PubMed35855897

2022

JMJD3 suppresses tumor progression in oral tongue squamous cell carcinoma patients receiving surgical resection.

Applications

Unspecified application

Species

Unspecified reactive species

Yen-Hao Chen,Chang-Han Chen,Chih-Yen Chien,Yan-Ye Su,Sheng-Dean Luo,Shau-Hsuan Li
View all publications

Product promise

We are committed to supporting your work with high-quality reagents, and we're here for you every step of the way. In the unlikely event that one of our products does not perform as expected, you're protected by our Product Promise.
For full details, please see our Terms & Conditions

Please note: All products are 'FOR RESEARCH USE ONLY. NOT FOR USE IN DIAGNOSTIC OR THERAPEUTIC PROCEDURES'.

For licensing inquiries, please contact partnerships@abcam.com