JavaScript is disabled in your browser. Please enable JavaScript to view this website.
AB218815

Anti-Keap1 antibody

Be the first to review this product! Submit a review

|

(20 Publications)

Rabbit Polyclonal KEAP1 antibody. Suitable for IHC-P, ICC/IF and reacts with Human samples. Cited in 20 publications. Immunogen corresponding to Recombinant Fragment Protein within Human KEAP1 aa 1-150.

View Alternative Names

INRF2, KIAA0132, KLHL19, KEAP1, Kelch-like ECH-associated protein 1, Cytosolic inhibitor of Nrf2, Kelch-like protein 19, INrf2

5 Images
Immunohistochemistry (Formalin/PFA-fixed paraffin-embedded sections) - Anti-Keap1 antibody (AB218815)
  • IHC-P

Supplier Data

Immunohistochemistry (Formalin/PFA-fixed paraffin-embedded sections) - Anti-Keap1 antibody (AB218815)

Immunohistochemical analysis of human Fallopian tube tissue labeling Keap1 in the cytoplasm of glandular cells with ab218815 at a 1/200 dilution.

Performed heat mediated antigen retrieval with citrate buffer pH 6 before commencing with IHC staining protocol.

Immunohistochemistry (Formalin/PFA-fixed paraffin-embedded sections) - Anti-Keap1 antibody (AB218815)
  • IHC-P

Supplier Data

Immunohistochemistry (Formalin/PFA-fixed paraffin-embedded sections) - Anti-Keap1 antibody (AB218815)

Immunohistochemical analysis of human skeletal muscle tissue labeling Keap1 in the cytoplasm of myocytes with ab218815 at a 1/200 dilution.

Performed heat mediated antigen retrieval with citrate buffer pH 6 before commencing with IHC staining protocol.

Immunocytochemistry/ Immunofluorescence - Anti-Keap1 antibody (AB218815)
  • ICC/IF

Supplier Data

Immunocytochemistry/ Immunofluorescence - Anti-Keap1 antibody (AB218815)

Immunocytochemical analysis of U-251 MG (formally U-373 MG) (Human brain glioma cell line) whole cells labeling Keap1 (green) in the nucleoplasm, cytosol and microtubule organizing center with ab218815 at 2 μg/mL.

Immunohistochemistry (Formalin/PFA-fixed paraffin-embedded sections) - Anti-Keap1 antibody (AB218815)
  • IHC-P

Supplier Data

Immunohistochemistry (Formalin/PFA-fixed paraffin-embedded sections) - Anti-Keap1 antibody (AB218815)

Immunohistochemical analysis of human cerebral cortex tissue labeling Keap1 in the cytoplasm of neurons with ab218815 at a 1/200 dilution.

Performed heat mediated antigen retrieval with citrate buffer pH 6 before commencing with IHC staining protocol.

Immunohistochemistry (Formalin/PFA-fixed paraffin-embedded sections) - Anti-Keap1 antibody (AB218815)
  • IHC-P

Supplier Data

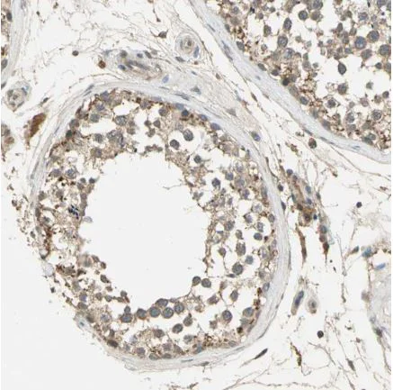
Immunohistochemistry (Formalin/PFA-fixed paraffin-embedded sections) - Anti-Keap1 antibody (AB218815)

Immunohistochemical analysis of human testis tissue labeling Keap1 in the cytoplasm of cells in seminiferous ducts with ab218815 at a 1/200 dilution.

Performed heat mediated antigen retrieval with citrate buffer pH 6 before commencing with IHC staining protocol.

Key facts

Host species

Rabbit

Clonality

Polyclonal

Isotype

IgG

Carrier free

No

Reacts with

Human

Applications

IHC-P, ICC/IF

applications

Immunogen

Recombinant Fragment Protein within Human KEAP1 aa 1-150. The exact immunogen used to generate this antibody is proprietary information.

Q14145

Reactivity data

{ "title": "Reactivity Data", "filters": { "stats": ["", "Species", "Dilution Info", "Notes"], "tabs": { "all-applications": {"fullname" : "All Applications", "shortname": "All Applications"}, "IHCP" : {"fullname" : "Immunohistochemistry (Formalin/PFA-fixed paraffin-embedded sections)", "shortname":"IHC-P"}, "ICCIF" : {"fullname" : "Immunocytochemistry/ Immunofluorescence", "shortname":"ICC/IF"} }, "product-promise": { "all": "all", "testedAndGuaranteed": "tested", "guaranteed": "expected", "predicted": "predicted", "notRecommended": "not-recommended" } }, "values": { "Human": { "IHCP-species-checked": "testedAndGuaranteed", "IHCP-species-dilution-info": "1/200 - 1/500", "IHCP-species-notes": "<p></p> Perform heat-mediated antigen retrieval with citrate buffer pH 6 before commencing with IHC staining protocol.", "ICCIF-species-checked": "testedAndGuaranteed", "ICCIF-species-dilution-info": "0.25-2 µg/mL", "ICCIF-species-notes": "<p>Fixation/Permeabilization: PFA/Triton X-100</p>" }, "Mouse": { "IHCP-species-checked": "predicted", "IHCP-species-dilution-info": "", "IHCP-species-notes": "", "ICCIF-species-checked": "predicted", "ICCIF-species-dilution-info": "", "ICCIF-species-notes": "" }, "Rat": { "IHCP-species-checked": "predicted", "IHCP-species-dilution-info": "", "IHCP-species-notes": "", "ICCIF-species-checked": "predicted", "ICCIF-species-dilution-info": "", "ICCIF-species-notes": "" }, "Orangutan": { "IHCP-species-checked": "predicted", "IHCP-species-dilution-info": "", "IHCP-species-notes": "", "ICCIF-species-checked": "predicted", "ICCIF-species-dilution-info": "", "ICCIF-species-notes": "" }, "Pig": { "IHCP-species-checked": "predicted", "IHCP-species-dilution-info": "", "IHCP-species-notes": "", "ICCIF-species-checked": "predicted", "ICCIF-species-dilution-info": "", "ICCIF-species-notes": "" } } }

Properties and storage information

Form
Liquid
Purification technique
Affinity purification Immunogen
Storage buffer
pH: 7.2 Preservative: 0.02% Sodium azide Constituents: PBS, 40% Glycerol (glycerin, glycerine)
Shipped at conditions
Blue Ice
Appropriate short-term storage duration
1-2 weeks
Appropriate short-term storage conditions
+4°C
Appropriate long-term storage conditions
-20°C
Aliquoting information
Upon delivery aliquot
Storage information
Avoid freeze / thaw cycle

Supplementary information

This supplementary information is collated from multiple sources and compiled automatically.

Keap1 also known as Kelch-like ECH-associated protein 1 plays an important role in regulating the NRF2 protein. Keap1 has a molecular weight of around 70 kDa. It expresses widely throughout mammalian tissues reflecting its significance in cellular functions. As a substrate adaptor protein for the cullin-3-based E3 ubiquitin ligase complex its main function involves the promotion of NRF2 degradation. Keap1 recognizes and binds to specific motifs on NRF2 tagging it for ubiquitination and subsequent proteasomal degradation under homeostatic conditions.
Biological function summary

Keap1 serves as a sensor for oxidative stress within the cell. It constitutes part of a larger biological complex that includes the NRF2 protein and the cullin-3-based E3 ligase complex. In the presence of oxidative or electrophilic stress modifications in Keap1 cysteine thiol groups lead to conformational changes inhibiting Keap1’s ability to target NRF2 for degradation. This results in the accumulation and activation of NRF2 which migrates to the nucleus where it promotes the expression of antioxidant response element (ARE)-driven genes important for cellular defense mechanisms.

Pathways

Keap1 plays a central role in the NRF2-ARE signaling pathway a major player in the antioxidant response of cells. This pathway connects to various processes including detoxification and the regulation of oxidative stress. Keap1 interacts with other proteins such as cullin-3 which is vital for ubiquitin tagging of NRF2. Additionally Keap1 influences the WNT signaling pathway through its interactions with other proteins impacting processes related to cellular proliferation and differentiation.

Keap1 relates prominently to certain cancers and neurodegenerative diseases. Mutations or dysregulations in Keap1 or its pathway can lead to abnormal accumulation of NRF2 potentially resulting in enhanced cell survival and proliferation which is characteristic of some cancer types. Moreover Keap1 has been linked to neurodegenerative disorders like Alzheimer's disease where oxidative stress and disrupted NRF2 signaling play contributory roles. Connections within these conditions often involve proteins like NRF2 which interacts closely with Keap1 in the context of pathophysiological cellular responses.

Product protocols

For this product, it's our understanding that no specific protocols are required. You can visit:

Target data

Substrate-specific adapter of a BCR (BTB-CUL3-RBX1) E3 ubiquitin ligase complex that regulates the response to oxidative stress by targeting NFE2L2/NRF2 for ubiquitination (PubMed : 14585973, PubMed : 15379550, PubMed : 15572695, PubMed : 15601839, PubMed : 15983046, PubMed : 37339955). KEAP1 acts as a key sensor of oxidative and electrophilic stress : in normal conditions, the BCR(KEAP1) complex mediates ubiquitination and degradation of NFE2L2/NRF2, a transcription factor regulating expression of many cytoprotective genes (PubMed : 15601839, PubMed : 16006525). In response to oxidative stress, different electrophile metabolites trigger non-enzymatic covalent modifications of highly reactive cysteine residues in KEAP1, leading to inactivate the ubiquitin ligase activity of the BCR(KEAP1) complex, promoting NFE2L2/NRF2 nuclear accumulation and expression of phase II detoxifying enzymes (PubMed : 16006525, PubMed : 17127771, PubMed : 18251510, PubMed : 19489739, PubMed : 29590092). In response to selective autophagy, KEAP1 is sequestered in inclusion bodies following its interaction with SQSTM1/p62, leading to inactivation of the BCR(KEAP1) complex and activation of NFE2L2/NRF2 (PubMed : 20452972). The BCR(KEAP1) complex also mediates ubiquitination of SQSTM1/p62, increasing SQSTM1/p62 sequestering activity and degradation (PubMed : 28380357). The BCR(KEAP1) complex also targets BPTF and PGAM5 for ubiquitination and degradation by the proteasome (PubMed : 15379550, PubMed : 17046835).
See full target information KEAP1

Publications (20)

Recent publications for all applications. Explore the full list and refine your search

Materials today. Bio 33:101995 PubMed40688680

2025

Inhibition of gastric adenocarcinoma proliferation by WSGC@MS: Role of KEAP1/NRF2 signaling pathway and autophagy regulation.

Applications

Unspecified application

Species

Unspecified reactive species

Dongjian Song,Qiuliang Liu,Zechen Yan,Qi Wang,Meng Su,Hui Zhang,Longyan Shi,Yingzhong Fan,Qian Zhang,Heying Yang,Da Zhang

Cell death discovery 11:242 PubMed40393974

2025

Mitochondrial SLC25A10 promotes prostate cancer progression by inhibiting ferritinophagy.

Applications

Unspecified application

Species

Unspecified reactive species

Guopeng Yu,Kailei Chen,Bin Xu,Qi Cao

Redox biology 80:103508 PubMed39908863

2025

Hsa-miR-532-3p protects human decidual mesenchymal stem cells from oxidative stress in recurrent spontaneous abortion via targeting KEAP1.

Applications

Unspecified application

Species

Unspecified reactive species

Hong Zhou,Jiaxin Zhou,ShanShan Liu,Jing Niu,Jinghua Pan,Ruiman Li

Chemistry & biodiversity 22:e202401424 PubMed39676557

2024

Bawei Chenxiang Powder Protects Cardiomyocytes From Myocardial Ischemia/Reperfusion Injury via the PI3K-AKT Pathway.

Applications

Unspecified application

Species

Unspecified reactive species

Baihui Gong,Xingfang Zhang,Dongfang Yue,Chunxiu Ma,Yiying Kou,Yongfang Li

BMC gastroenterology 23:333 PubMed37759163

2023

Zerumbone ameliorates the inflammatory response and organ damage in severe acute pancreatitis via the ROS/NF-κB pathway.

Applications

Unspecified application

Species

Unspecified reactive species

Fengmei Zhang,Dongjia Xu

Drug design, development and therapy 15:4339-4358 PubMed34703210

2021

Maackiain Protects the Kidneys of Type 2 Diabetic Rats via Modulating the Nrf2/HO-1 and TLR4/NF-κB/Caspase-3 Pathways.

Applications

Unspecified application

Species

Unspecified reactive species

Jiahong Guo,Junying Li,Hua Wei,Zhaozhi Liang

Journal of microbiology and biotechnology 31:1163-1174 PubMed34226415

2021

Antioxidant Activity of Novel Casein-Derived Peptides with Microbial Proteases as Characterized via Keap1-Nrf2 Pathway in HepG2 Cells.

Applications

Unspecified application

Species

Unspecified reactive species

Xiao Zhao,Ya-Juan Cui,Sha-Sha Bai,Zhi-Jie Yang, Miao-Cai,Sarah Megrous,Tariq Aziz,Abid Sarwar,Dong Li,Zhen-Nai Yang

Asian-Australasian journal of animal sciences : PubMed33152220

2020

Zearalenone regulates key factors of the Keap1-Nrf2 signaling pathway in duodenum of post-weaning gilts.

Applications

Unspecified application

Species

Unspecified reactive species

Qun Cheng,Shu Zhen Jiang,Li Bo Huang,Wei Ren Yang,Zai Bin Yang

Journal of animal science 98: PubMed32161959

2020

Illicium verum extracts and probiotics with added glucose oxidase promote antioxidant capacity through upregulating hepatic and jejunal Nrf2/Keap1 of weaned piglets.

Applications

Unspecified application

Species

Unspecified reactive species

Jian Zhang,Yanjun Liu,Zaibin Yang,Weiren Yang,Libo Huang,Chang Xu,Mei Liu,Jinshan Ge,Yuxi Wang,Shuzhen Jiang

Oncology reports 43:1547-1557 PubMed32323805

2020

p62 promotes proliferation, apoptosis‑resistance and invasion of prostate cancer cells through the Keap1/Nrf2/ARE axis.

Applications

Unspecified application

Species

Unspecified reactive species

Ganggang Jiang,Xue Liang,Yiqiao Huang,Ziquan Lan,Zhiming Zhang,Zhengming Su,Zhiyuan Fang,Yuxiong Lai,Wenxia Yao,Ting Liu,La Hu,Fen Wang,Hai Huang,Leyuan Liu,Xianhan Jiang
View all publications

Product promise

We are committed to supporting your work with high-quality reagents, and we're here for you every step of the way. In the unlikely event that one of our products does not perform as expected, you're protected by our Product Promise.
For full details, please see our Terms & Conditions

Please note: All products are 'FOR RESEARCH USE ONLY. NOT FOR USE IN DIAGNOSTIC OR THERAPEUTIC PROCEDURES'.

For licensing inquiries, please contact partnerships@abcam.com