JavaScript is disabled in your browser. Please enable JavaScript to view this website.
AB185627

Anti-Keratin 12/K12 antibody [EPR17882]

3

(1 Review)

|

(55 Publications)

Anti-Keratin 12/K12 antibody [EPR17882] (ab185627) is a rabbit monoclonal antibody detecting Keratin 12/K12 in Western Blot, IHC-P, ICC/IF. Suitable for Human, Mouse, Rat.

- Biophysical QC for unrivalled batch-batch consistency
- Over 30 publications

View Alternative Names

Cytokeratin-12, Keratin-12, CK-12, K12, KRT12

5 Images
Immunocytochemistry/ Immunofluorescence - Anti-Keratin 12/K12 antibody [EPR17882] (AB185627)
  • ICC/IF

Supplier Data

Immunocytochemistry/ Immunofluorescence - Anti-Keratin 12/K12 antibody [EPR17882] (AB185627)

Immunofluorescent analysis of 4% paraformaldehyde-fixed, 0.1% Triton X-100 permeabilized HeLa (Human epithelial cells from cervix adenocarcinoma) cells labeling Keratin 12/K12 with ab185627 at 1/50 dilution, followed by Goat anti-rabbit IgG (Alexa Fluor® 488) (ab150077) secondary antibody at 1/1000 dilution (green). Confocal image showing no staining on HeLa cell line.
The expression increased after transfection of Keratin 12/K12. The nuclear counterstain is DAPI (blue). Tubulin is detected with ab7291 (anti-Tubulin mouse mAb) at 1/1000 dilution and ab150120 (AlexaFluor®594 Goat anti-Mouse secondary) at 1/1000 dilution (red).

The negative controls are as follows : -

-ve control 1 : ab185627 at 1/50 dilution followed by ab150120 (AlexaFluor®594 Goat anti-Mouse secondary) at 1/1000 dilution.

-ve control 2 : ab7291 (anti-Tubulin mouse mAb) at 1/1000 dilution followed by ab150077 (Alexa Fluor®488 Goat Anti-Rabbit IgG H&L) at 1/1000 dilution.

Immunohistochemistry (Formalin/PFA-fixed paraffin-embedded sections) - Anti-Keratin 12/K12 antibody [EPR17882] (AB185627)
  • IHC-P

Supplier Data

Immunohistochemistry (Formalin/PFA-fixed paraffin-embedded sections) - Anti-Keratin 12/K12 antibody [EPR17882] (AB185627)

Immunohistochemical analysis of paraffin-embedded Rat cornea tissue labeling Keratin 12/K12 with ab185627 at 1/100 dilution, followed by Goat Anti-Rabbit IgG H&L (HRP) (ab97051) at 1/500 dilution. Cytoplasmic staining on the rat corneal epithelium is observed. Counter stained with Hematoxylin.

Secondary antibody only control : Used PBS instead of primary antibody, secondary antibody is Goat Anti-Rabbit IgG H&L (HRP) (ab97051) at 1/500 dilution.

Perform heat mediated antigen retrieval with Tris/EDTA buffer pH 9.0 before commencing with IHC staining protocol.

Immunohistochemistry (Formalin/PFA-fixed paraffin-embedded sections) - Anti-Keratin 12/K12 antibody [EPR17882] (AB185627)
  • IHC-P

Supplier Data

Immunohistochemistry (Formalin/PFA-fixed paraffin-embedded sections) - Anti-Keratin 12/K12 antibody [EPR17882] (AB185627)

Immunohistochemical analysis of paraffin-embedded Mouse cornea tissue labeling Keratin 12/K12 with ab185627 at 1/100 dilution, followed by Goat Anti-Rabbit IgG H&L (HRP) (ab97051) at 1/500 dilution. Cytoplasmic staining on the mouse corneal epithelium is observed. Counter stained with Hematoxylin.

Secondary antibody only control : Used PBS instead of primary antibody, secondary antibody is Goat Anti-Rabbit IgG H&L (HRP) (ab97051) at 1/500 dilution.

Perform heat mediated antigen retrieval with Tris/EDTA buffer pH 9.0 before commencing with IHC staining protocol.

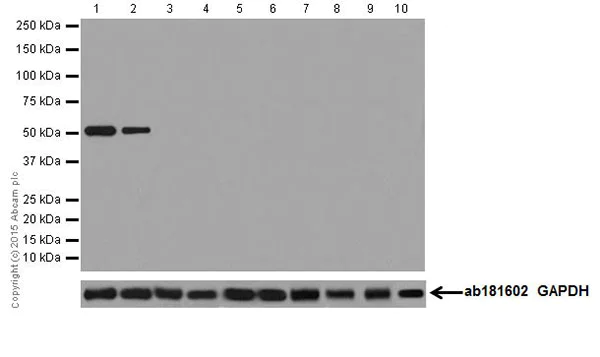
Western blot - Anti-Keratin 12/K12 antibody [EPR17882] (AB185627)
  • WB

Supplier Data

Western blot - Anti-Keratin 12/K12 antibody [EPR17882] (AB185627)

Blocking/Dilution buffer : 5% NFDM/TBST.

Keratin 12/K12 is expressed specifically in corneal epithelium (Am J Hum Genet. 1997. 61, 1268–1275).

All lanes:

Western blot - Anti-Keratin 12/K12 antibody [EPR17882] (ab185627) at 1/5000 dilution

Lane 1:

Mouse eyeball lysate at 10 µg

Lane 2:

Rat eyeball lysate at 10 µg

Lane 3:

HeLa (Human epithelial cells from cervix adenocarcinoma) whole cell lysate at 10 µg

Lane 4:

Y79 (Human retinoblastoma cell line) whole cell lysate at 10 µg

Lane 5:

C6 (Rat glial tumor cells) whole cell lysate at 10 µg

Lane 6:

PC-12 (Rat adrenal gland pheochromocytoma) whole cell lysate at 10 µg

Lane 7:

Rat brain lysate at 10 µg

Lane 8:

Rat heart lysate at 10 µg

Lane 9:

Rat kidney lysate at 10 µg

Lane 10:

Rat spleen lysate at 10 µg

Secondary

All lanes:

Western blot - Goat Anti-Rabbit IgG H&L (HRP) (<a href='/en-us/products/secondary-antibodies/goat-rabbit-igg-h-l-hrp-ab97051'>ab97051</a>) at 1/50000 dilution

Predicted band size: 54 kDa

Observed band size: 54 kDa

false

Exposure time: 10s

Western blot - Anti-Keratin 12/K12 antibody [EPR17882] (AB185627)
  • WB

Supplier Data

Western blot - Anti-Keratin 12/K12 antibody [EPR17882] (AB185627)

Blocking/Dilution buffer : 5% NFDM/TBST.

All lanes:

Western blot - Anti-Keratin 12/K12 antibody [EPR17882] (ab185627) at 1/100000 dilution

Lane 1:

Empty vector (vector control) transfected HEK-293 (Human epithelial cells from embryonic kidney) whole cell lysate at 10 µg

Lane 2:

Keratin 12/K12 transfected HEK-293 whole cell lysate at 10 µg

Secondary

All lanes:

Western blot - Goat Anti-Rabbit IgG H&L (HRP) (<a href='/en-us/products/secondary-antibodies/goat-rabbit-igg-h-l-hrp-ab97051'>ab97051</a>) at 1/50000 dilution

Predicted band size: 54 kDa

Observed band size: 54 kDa

false

Exposure time: 5s

  • 617 Alexa Fluor® 594

    Alexa Fluor® 594 Anti-Keratin 12/K12 antibody [EPR17882]

  • 565 Alexa Fluor® 555

    Alexa Fluor® 555 Anti-Keratin 12/K12 antibody [EPR17882]

  • 519 Alexa Fluor® 488

    Alexa Fluor® 488 Anti-Keratin 12/K12 antibody [EPR17882]

  • Carrier free

    Anti-Keratin 12/K12 antibody [EPR17882] - BSA and Azide free

Key facts

Host species

Rabbit

Clonality

Monoclonal

Clone number

EPR17882

Isotype

IgG

Carrier free

No

Reacts with

Mouse, Rat, Human

Applications

ICC/IF, IHC-P, WB

applications

Immunogen

The exact immunogen used to generate this antibody is proprietary information.

Reactivity data

{ "title": "Reactivity Data", "filters": { "stats": ["", "Species", "Dilution Info", "Notes"], "tabs": { "all-applications": {"fullname" : "All Applications", "shortname": "All Applications"}, "WB" : {"fullname" : "Western blot", "shortname":"WB"}, "ICCIF" : {"fullname" : "Immunocytochemistry/ Immunofluorescence", "shortname":"ICC/IF"}, "IHCP" : {"fullname" : "Immunohistochemistry (Formalin/PFA-fixed paraffin-embedded sections)", "shortname":"IHC-P"} }, "product-promise": { "all": "all", "testedAndGuaranteed": "tested", "guaranteed": "expected", "predicted": "predicted", "notRecommended": "not-recommended" } }, "values": { "Human": { "WB-species-checked": "testedAndGuaranteed", "WB-species-dilution-info": "1/5000", "WB-species-notes": "<p></p>", "ICCIF-species-checked": "testedAndGuaranteed", "ICCIF-species-dilution-info": "1/50", "ICCIF-species-notes": "<p></p>", "IHCP-species-checked": "guaranteed", "IHCP-species-dilution-info": "", "IHCP-species-notes": "" }, "Mouse": { "WB-species-checked": "testedAndGuaranteed", "WB-species-dilution-info": "1/5000", "WB-species-notes": "<p></p>", "ICCIF-species-checked": "guaranteed", "ICCIF-species-dilution-info": "", "ICCIF-species-notes": "", "IHCP-species-checked": "testedAndGuaranteed", "IHCP-species-dilution-info": "1/1000", "IHCP-species-notes": "<p>Tested in mouse and rat.</p> Perform heat-mediated antigen retrieval with Tris/EDTA buffer pH 9.0 before commencing with IHC staining protocol." }, "Rat": { "WB-species-checked": "testedAndGuaranteed", "WB-species-dilution-info": "1/5000", "WB-species-notes": "<p></p>", "ICCIF-species-checked": "guaranteed", "ICCIF-species-dilution-info": "", "ICCIF-species-notes": "", "IHCP-species-checked": "testedAndGuaranteed", "IHCP-species-dilution-info": "1/1000", "IHCP-species-notes": "<p>Tested in mouse and rat.</p> Perform heat-mediated antigen retrieval with Tris/EDTA buffer pH 9.0 before commencing with IHC staining protocol." } } }

Product details

What is this antibody validated in?
Anti-Keratin 12/K12 antibody [EPR17882] (ab185627) is a rabbit recombinant monoclonal antibody and is validated for use in Western Blot (WB), Immunohistochemistry (IHC-P), Immunocytochemistry/immunofluorescence (ICC/IF) in Human, Mouse, Rat samples.

What is the molecular weight of Keratin 12/K12?
Anti-Keratin 12/K12 [EPR17882] (ab185627) specifically detects a band for Keratin 12/K12 (UniProt: Q99456) at a molecular weight of 54kDa.

Trusted by the scientific community
Anti-Keratin 12/K12 [EPR17882] (ab185627) was first used in a scientific publication in 2015 and has been cited over 30 times in peer-reviewed journals.

Trial sizes available!
Test your antibody or perform pre-screening before committing to a larger quantity. Sold in 10µl. Discover our selection of trial-size antibodies.

Other related products
We have a range of other formats of antibody clone [EPR17882] also available for your convenience: ab185627, Alexa Fluor® 594 - ab219144, Alexa Fluor® 488 - ab222116, Alexa Fluor® 555 - ab222916, Carrier free - ab240295

Patented technology
Our RabMAb® technology is a patented hybridoma-based technology for making rabbit monoclonal antibodies. For details on our patents, please refer to RabMAb® patents.

What are the advantages of a recombinant monoclonal antibody?
This product is a recombinant monoclonal antibody, which offers several advantages including:

  • - High batch-to-batch consistency and reproducibility
  • - Improved sensitivity and specificity
  • - Long-term security of supply
  • - Animal-free batch production

For more information, read more on recombinant antibodies.

Properties and storage information

Form
Liquid
Purification technique
Affinity purification Protein A
Storage buffer
pH: 7.2 - 7.4 Preservative: 0.01% Sodium azide Constituents: PBS, 40% Glycerol (glycerin, glycerine), 0.05% BSA
Shipped at conditions
Blue Ice
Appropriate short-term storage duration
1-2 weeks
Appropriate short-term storage conditions
+4°C
Appropriate long-term storage conditions
-20°C
Aliquoting information
Upon delivery aliquot
Storage information
Avoid freeze / thaw cycle

Supplementary information

This supplementary information is collated from multiple sources and compiled automatically.

Keratin 12 (K12) also called keratin or keratin 1.12 is a type I cytokeratin protein with a mass of approximately 52 kDa. K12 is specifically expressed in the corneal epithelium an important part of the eye's outer structure. This expression is restricted making K12 a marker for corneal epithelial cells. Anti-keratin antibodies can help identify and visualize this protein in cytology studies.
Biological function summary

Keratin 12 is essential in maintaining the structural integrity and mechanical resilience of corneal epithelial cells. It forms part of the intermediate filament complex with other keratins providing a framework essential in cell stability and protection. The complex strengthens cell adhesion and maintains the corneal epithelium's hydration status enabling clear vision.

Pathways

The formation and maintenance of the corneal epithelium involve Keratin 12 in particular cellular signaling pathways. The protein takes part in the intermediate filament pathway interacting with proteins like Keratin 3. These interactions support the proper assembly and function of the cytoskeletal structure essential for cell shape and resilience significantly impacting corneal wound healing processes.

Keratin 12 mutations can lead to Meesmann corneal dystrophy which affects vision. This condition involves aberrant keratin filament assembly compromising corneal integrity. Keratin 3 often partners with K12 in maintaining corneal coherence and mutations affecting either protein can contribute to the disorder highlighting their interconnected roles in corneal health.

Product protocols

For this product, it's our understanding that no specific protocols are required. You can visit:

Target data

Involved in corneal epithelium organization, integrity and corneal keratin expression.
See full target information KRT12

Publications (55)

Recent publications for all applications. Explore the full list and refine your search

Scientific reports 15:30620 PubMed40921827

2025

MDM4 enables efficient human iPS cell generation from PBMCs using synthetic RNAs.

Applications

Unspecified application

Species

Unspecified reactive species

Masato Nakagawa,Mizuho Nogi,Hatsuki Doi,Ryuhei Hayashi,Tomohiko Katayama,Hirohisa Ohno,Megumi Mochizuki,Karin Hayashi,Hirohide Saito

Cell death discovery 11:385 PubMed40817369

2025

Protein arginine methyltransferase 1 stimulates basal cell proliferation and migration to maintain corneal epithelial homeostasis.

Applications

Unspecified application

Species

Unspecified reactive species

Jia Yang,Mingzheng Hu,Mulin Yang,Hua Ni,Jun Zhou,Dengwen Li,Jie Ran,Min Liu

Communications biology 8:1220 PubMed40813888

2025

PAX6-dependent differentiation landscape of ocular surface epithelium via single-cell RNA sequencing in hiPSC-derived ocular developmental organoid.

Applications

Unspecified application

Species

Unspecified reactive species

Rei Kamuro,Masahito Yoshihara,Susumu Hara,Takahiro Nemoto,Laura Howard,Ai Honda,Ayano Yamamoto,Toru Takigawa,Susumu Sakimoto,Koichi Baba,Andrew J Quantock,Kohji Nishida

Investigative ophthalmology & visual science 66:81 PubMed40298888

2025

Prox1 Protein in Corneal Limbal Lymphatic Vessels Maintains Limbal Stem Cell Stemness and Regulates Corneal Injury Repair.

Applications

Unspecified application

Species

Unspecified reactive species

An Wang,Zongyuan Li,Yilin Jiang,Mingxiong Chen,Hanrui Yu,Zhao Li,Shengshu Sun,Ge Bai,Qun Wang,Yifei Huang,Liqiang Wang

PloS one 20:e0321579 PubMed40257992

2025

Extracellular vesicles from adipose-derived mesenchymal stem cells promote colony formation ability and EMT of corneal limbal epithelial cells.

Applications

Unspecified application

Species

Unspecified reactive species

Xiaoqin Li,Ryuhei Hayashi,Tsutomu Imaizumi,Jodie Harrington,Yuji Kudo,Hiroshi Takayanagi,Koichi Baba,Kohji Nishida

Investigative ophthalmology & visual science 66:55 PubMed40257786

2025

Expression Distribution of Keratins in Normal and Pathological Corneas and the Regulatory Role of Krt17 on Limbal Stem Cells.

Applications

Unspecified application

Species

Unspecified reactive species

Min Wang,Rong Chen,Yao Wang,Ya Li,Qingjun Zhou,Rui Cao,Yizhou Li,Hongqi Ge,Xiaolei Wang,Lingling Yang

Scientific reports 15:12295 PubMed40210649

2025

Assessment of the toxic effect of benzalkonium chloride on human limbal stem cells.

Applications

Unspecified application

Species

Unspecified reactive species

Agnieszka Prusek,Bartosz Sikora,Aleksandra Skubis-Sikora,Piotr Czekaj

Investigative ophthalmology & visual science 65:32 PubMed39546294

2024

De-Differentiation of Corneal Epithelial Cells Into Functional Limbal Epithelial Stem Cells After the Ablation of Innate Stem Cells.

Applications

Unspecified application

Species

Unspecified reactive species

Yijian Li,Lingling Ge,Bangqi Ren,Xue Zhang,Zhiyuan Yin,Hongling Liu,Yuli Yang,Yong Liu,Haiwei Xu

Human genome variation 11:26 PubMed39013858

2024

TACSTD2 in gelatinous drop-like corneal dystrophy: variant functional analysis and expression in the cornea after limbal stem cell transplantation.

Applications

Unspecified application

Species

Unspecified reactive species

Liubov O Skorodumova,Ekaterina N Grafskaia,Daria D Kharlampieva,Dmitry I Maltsev,Tatiana V Petrova,Alexandra V Kanygina,Elena V Fedoseeva,Pavel V Makarov,Boris E Malyugin

British journal of pharmacology 181:3779-3795 PubMed38877785

2024

An agonist of the adenosine A receptor, CGS21680, promotes corneal epithelial wound healing via the YAP signalling pathway.

Applications

Unspecified application

Species

Unspecified reactive species

Qiuqin Sun,Nan Jiang,Rui Yao,Yue Song,Zewen Li,Wei Wang,Jiangfan Chen,Wei Guo
View all publications

Product promise

We are committed to supporting your work with high-quality reagents, and we're here for you every step of the way. In the unlikely event that one of our products does not perform as expected, you're protected by our Product Promise.
For full details, please see our Terms & Conditions

Please note: All products are 'FOR RESEARCH USE ONLY. NOT FOR USE IN DIAGNOSTIC OR THERAPEUTIC PROCEDURES'.

For licensing inquiries, please contact partnerships@abcam.com