JavaScript is disabled in your browser. Please enable JavaScript to view this website.
AB273146

Anti-Keratin 77 antibody [KRTL/4440R] - BSA and Azide free

Be the first to review this product! Submit a review

|

(0 Publication)

Rabbit Recombinant Monoclonal K2C1B antibody. Carrier free. Suitable for IHC-P and reacts with Human samples. Immunogen corresponding to Synthetic Peptide within Human KRT77 aa 100-200.

View Alternative Names

KRT1B, KRT77, Cytokeratin-1B, Keratin-77, Type-II keratin Kb39, CK-1B, K77

2 Images
Immunohistochemistry (Formalin/PFA-fixed paraffin-embedded sections) - Anti-Keratin 77 antibody [KRTL/4440R] - BSA and Azide free (AB273146)
  • IHC-P

Supplier Data

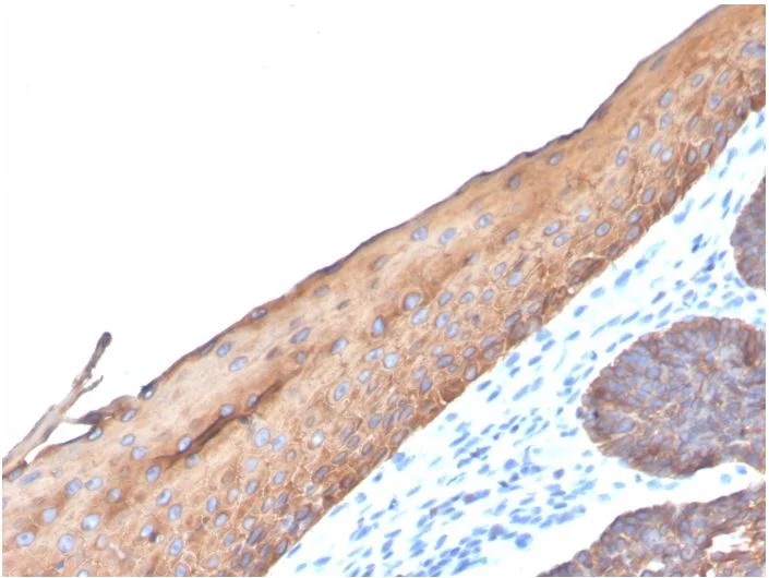
Immunohistochemistry (Formalin/PFA-fixed paraffin-embedded sections) - Anti-Keratin 77 antibody [KRTL/4440R] - BSA and Azide free (AB273146)

Paraffin embedded human colon carcinoma tissue stained for Cytokeratin type I using ab273139 at 2 μg/ml in immunohistochemical analysis.

This data was developed using the same antibody clone in a different buffer formulation containing PBS, BSA, glycerol, and sodium azide (ab273139).

Immunohistochemistry (Formalin/PFA-fixed paraffin-embedded sections) - Anti-Keratin 77 antibody [KRTL/4440R] - BSA and Azide free (AB273146)
  • IHC-P

Supplier Data

Immunohistochemistry (Formalin/PFA-fixed paraffin-embedded sections) - Anti-Keratin 77 antibody [KRTL/4440R] - BSA and Azide free (AB273146)

Paraffin embedded human colon carcinoma tissue stained for Cytokeratin type I using ab273139 at 2 μg/ml in immunohistochemical analysis.

This data was developed using the same antibody clone in a different buffer formulation containing PBS, BSA, glycerol, and sodium azide (ab273139).

Key facts

Host species

Rabbit

Clonality

Monoclonal

Clone number

KRTL/4440R

Isotype

IgG

Carrier free

Yes

Reacts with

Human

Applications

IHC-P

applications

Immunogen

Synthetic Peptide within Human KRT77 aa 100-200. The exact immunogen used to generate this antibody is proprietary information.

Q7Z794

Reactivity data

{ "title": "Reactivity Data", "filters": { "stats": ["", "Species", "Dilution Info", "Notes"], "tabs": { "all-applications": {"fullname" : "All Applications", "shortname": "All Applications"}, "IHCP" : {"fullname" : "Immunohistochemistry (Formalin/PFA-fixed paraffin-embedded sections)", "shortname":"IHC-P"} }, "product-promise": { "all": "all", "testedAndGuaranteed": "tested", "guaranteed": "expected", "predicted": "predicted", "notRecommended": "not-recommended" } }, "values": { "Human": { "IHCP-species-checked": "testedAndGuaranteed", "IHCP-species-dilution-info": "1-2 µg/mL", "IHCP-species-notes": "<p></p> Perform heat-mediated antigen retrieval with Tris/EDTA buffer pH 9.0 before commencing with IHC staining protocol." } } }

Product details

ab273146 is the carrier-free version of ab273139.

Conjugation ready
Our carrier-free antibodies are typically supplied in a PBS-only formulation, purified and free of BSA, sodium azide and glycerol. This conjugation-ready format is designed for use with fluorochromes, metal isotopes, oligonucleotides, and enzymes, which makes them ideal for antibody labelling, functional and cell-based assays, flow-based assays (e.g. mass cytometry) and Multiplex Imaging applications.

Use our conjugation kits for antibody conjugates that are ready-to-use in as little as 20 minutes with 1 minute hands-on-time and 100% antibody recovery: available for fluorescent dyes, HRP, biotin and gold.

Properties and storage information

Form
Liquid
Purification technique
Affinity purification Protein A/G
Storage buffer
pH: 7.2 - 7.4 Constituents: PBS
Shipped at conditions
Blue Ice
Appropriate short-term storage duration
1-2 weeks
Appropriate short-term storage conditions
+4°C
Appropriate long-term storage conditions
-20°C
Aliquoting information
Upon delivery aliquot
Storage information
Avoid freeze / thaw cycle

Supplementary information

This supplementary information is collated from multiple sources and compiled automatically.

Keratin 77 also known as KRT77 or CYK17 is a type of keratin protein that plays a structural role in epithelial cells. This protein weighs approximately 56 kDa and is mainly expressed in the suprabasal layers of the epidermis and in hair follicles where it contributes to the formation and maintenance of cellular integrity. Keratin 77 belongs to the type II keratin family which pairs with type I keratins to form intermediate filaments essential for cell stability and resilience against mechanical stress.
Biological function summary

Keratin 77 functions as a critical component in skin barrier function and keratinocyte differentiation. It integrates into complex networks of intermediate filaments that provide tensile strength to cells. This keratin participates in maintaining the rigidity and elasticity of the skin by combining with other keratins like KRT5 and KRT14 constituting a keratin filament complex necessary for proper skin function. The presence of keratin 77 in hair follicles also suggests a role in hair structure and growth.

Pathways

Keratin 77 is deeply involved in several skin differentiation and repair pathways. It interacts with proteins such as filaggrin and loricrin in the epidermal differentiation complex supporting the skin barrier's protective function. In the wound healing pathway keratin 77 modulates cellular response and organization within the epidermis working alongside proteins like involucrin to facilitate skin repair processes.

Mutations or deficiencies in keratin 77 have associations with skin-related conditions including dermatitis and pachyonychia congenita. In dermatitis abnormal keratin 77 expression affects skin barrier function potentially exacerbating inflammatory responses. Additionally the role of keratin 77 in pachyonychia congenita links it to nail dystrophies where it interacts with keratins such as KRT16 and KRT6A contributing to the clinical manifestations of this disorder.

Product protocols

For this product, it's our understanding that no specific protocols are required. You can visit:

Product promise

We are committed to supporting your work with high-quality reagents, and we're here for you every step of the way. In the unlikely event that one of our products does not perform as expected, you're protected by our Product Promise.
For full details, please see our Terms & Conditions

Please note: All products are 'FOR RESEARCH USE ONLY. NOT FOR USE IN DIAGNOSTIC OR THERAPEUTIC PROCEDURES'.

For licensing inquiries, please contact partnerships@abcam.com