JavaScript is disabled in your browser. Please enable JavaScript to view this website.
AB204583

Anti-Keratinocyte differentiation associated protein antibody

Be the first to review this product! Submit a review

|

(2 Publications)

Rabbit Polyclonal Keratinocyte differentiation associated protein antibody. Suitable for IHC-P and reacts with Human samples. Cited in 2 publications. Immunogen corresponding to Recombinant Fragment Protein within Human KRTDAP aa 1 to C-terminus.

View Alternative Names

KDAP, UNQ467/PRO826, KRTDAP, Keratinocyte differentiation-associated protein

4 Images
Immunohistochemistry (Formalin/PFA-fixed paraffin-embedded sections) - Anti-Keratinocyte differentiation associated protein antibody (AB204583)
  • IHC-P

Supplier Data

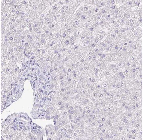
Immunohistochemistry (Formalin/PFA-fixed paraffin-embedded sections) - Anti-Keratinocyte differentiation associated protein antibody (AB204583)

Paraffin embedded human liver tissue stained for Keratinocyte differentiation associated protein using ab204583 at 1/2500 dilution in immunohistochemical analysis. Shows no positivity in hepatocytes cells as expected.

Heat mediated antigen retrieval was performed with citrate buffer pH 6 before the IHC staining protocol.

Immunohistochemistry (Formalin/PFA-fixed paraffin-embedded sections) - Anti-Keratinocyte differentiation associated protein antibody (AB204583)
  • IHC-P

Supplier Data

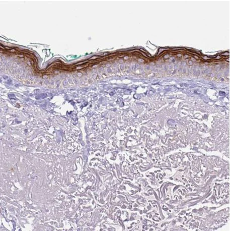
Immunohistochemistry (Formalin/PFA-fixed paraffin-embedded sections) - Anti-Keratinocyte differentiation associated protein antibody (AB204583)

Paraffin embedded human skin tissue stained for Keratinocyte differentiation associated protein using ab204583 at 1/2500 dilution in immunohistochemical analysis.

Heat mediated antigen retrieval was performed with citrate buffer pH 6 before the IHC staining protocol.

Immunohistochemistry (Formalin/PFA-fixed paraffin-embedded sections) - Anti-Keratinocyte differentiation associated protein antibody (AB204583)
  • IHC-P

Supplier Data

Immunohistochemistry (Formalin/PFA-fixed paraffin-embedded sections) - Anti-Keratinocyte differentiation associated protein antibody (AB204583)

Paraffin embedded human cervix tissue stained for Keratinocyte differentiation associated protein using ab204583 at 1/2500 dilution in immunohistochemical analysis.

Heat mediated antigen retrieval was performed with citrate buffer pH 6 before the IHC staining protocol.

Immunohistochemistry (Formalin/PFA-fixed paraffin-embedded sections) - Anti-Keratinocyte differentiation associated protein antibody (AB204583)
  • IHC-P

Supplier Data

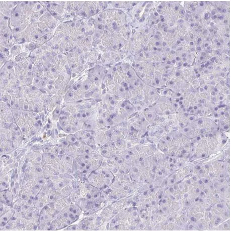
Immunohistochemistry (Formalin/PFA-fixed paraffin-embedded sections) - Anti-Keratinocyte differentiation associated protein antibody (AB204583)

Paraffin embedded human pancreas tissue stained for Keratinocyte differentiation associated protein using ab204583 at 1/2500 dilution in immunohistochemical analysis. Shows no positivity in exocrine glandular cells as expected.

Heat mediated antigen retrieval was performed with citrate buffer pH 6 before the IHC staining protocol.

Key facts

Host species

Rabbit

Clonality

Polyclonal

Isotype

IgG

Carrier free

No

Reacts with

Human

Applications

IHC-P

applications

Immunogen

Recombinant Fragment Protein within Human KRTDAP aa 1 to C-terminus. The exact immunogen used to generate this antibody is proprietary information.

P60985

Reactivity data

{ "title": "Reactivity Data", "filters": { "stats": ["", "Species", "Dilution Info", "Notes"], "tabs": { "all-applications": {"fullname" : "All Applications", "shortname": "All Applications"}, "IHCP" : {"fullname" : "Immunohistochemistry (Formalin/PFA-fixed paraffin-embedded sections)", "shortname":"IHC-P"} }, "product-promise": { "all": "all", "testedAndGuaranteed": "tested", "guaranteed": "expected", "predicted": "predicted", "notRecommended": "not-recommended" } }, "values": { "Human": { "IHCP-species-checked": "testedAndGuaranteed", "IHCP-species-dilution-info": "1/1000 - 1/2500", "IHCP-species-notes": "<p></p> Perform heat-mediated antigen retrieval with citrate buffer pH 6 before commencing with IHC staining protocol." } } }

Properties and storage information

Form
Liquid
Purification technique
Affinity purification Immunogen
Storage buffer
pH: 7.2 Preservative: 0.02% Sodium azide Constituents: PBS, 40% Glycerol (glycerin, glycerine)
Shipped at conditions
Blue Ice
Appropriate short-term storage duration
1-2 weeks
Appropriate short-term storage conditions
+4°C
Appropriate long-term storage conditions
-20°C
Aliquoting information
Upon delivery aliquot
Storage information
Avoid freeze / thaw cycle

Supplementary information

This supplementary information is collated from multiple sources and compiled automatically.

Keratinocyte differentiation associated protein also known as KDAP is a protein integral to the process of skin cell differentiation. This protein has a mass of around 25 kDa and is expressed predominantly in the epidermis where keratinocytes reside. KDAP plays a role in the regulation of keratinocyte function and the formation of the outermost layer of skin the stratum corneum. The presence of KDAP has been observed across various layers of the epidermis suggesting its involvement in the progressive stages of keratinocyte maturation.
Biological function summary

This protein enhances the differentiation process of keratinocytes important for maintaining skin barrier function and homeostasis. KDAP does not operate as part of a larger complex but independently regulates specific signaling pathways pivotal for keratinocyte histology. It participates in cellular activities that drive keratinocyte image formation ensuring orderly stratification and keratin composition. These functions are critical for developing functional and resilient skin.

Pathways

KDAP is a significant player in pathways associated with skin development and repair. One essential pathway includes the Notch signaling pathway which involves linked proteins like Notch receptors that influence cell fate determination and differentiation. Another pathway is the epidermal growth factor receptor (EGFR) pathway where KDAP's activity connects to related proteins like EGFR that regulate cell proliferation and survival. These pathways highlight KDAP's role in maintaining the balance between proliferation and differentiation integral to healthy skin formation and response to damage.

KDAP shows associations with skin-related conditions such as psoriasis and atopic dermatitis. Psoriasis involves abnormal keratinocyte proliferation which could be linked to KDAP's regulatory functions. The protein's dysregulation could also affect atopic dermatitis a disorder associated with skin barrier dysfunction. In these cases proteins such as filaggrin a vital component of the skin barrier interact within the same framework suggesting that KDAP may influence or reflect changes in these conditions.

Product protocols

For this product, it's our understanding that no specific protocols are required. You can visit:

Target data

May act as a soluble regulator of keratinocyte differentiation. May play an important role in embryonic skin morphogenesis.
See full target information KRTDAP

Publications (2)

Recent publications for all applications. Explore the full list and refine your search

Oncology letters 21:289 PubMed33732365

2021

PSMC2, ORC5 and KRTDAP are specific biomarkers for HPV-negative head and neck squamous cell carcinoma.

Applications

Unspecified application

Species

Unspecified reactive species

Yushen Su,Zhirui Zeng,Dongyun Rong,Yushi Yang,Bei Wu,Yu Cao

Biology of reproduction 100:561-572 PubMed30295753

2018

Murine PAIP1 stimulates translation of spermiogenic mRNAs stored by YBX2 via its interaction with YBX2†.

Applications

Unspecified application

Species

Unspecified reactive species

Yue He,Yu Lin,Yu Zhu,Ping Ping,Guishuan Wang,Fei Sun
View all publications

Product promise

We are committed to supporting your work with high-quality reagents, and we're here for you every step of the way. In the unlikely event that one of our products does not perform as expected, you're protected by our Product Promise.
For full details, please see our Terms & Conditions

Please note: All products are 'FOR RESEARCH USE ONLY. NOT FOR USE IN DIAGNOSTIC OR THERAPEUTIC PROCEDURES'.

For licensing inquiries, please contact partnerships@abcam.com