JavaScript is disabled in your browser. Please enable JavaScript to view this website.
AB154405

Anti-ketohexokinase antibody

Be the first to review this product! Submit a review

|

(3 Publications)

Rabbit Polyclonal ketohexokinase antibody. Suitable for IHC-P, WB and reacts with Mouse, Human samples. Cited in 3 publications. Immunogen corresponding to Recombinant Fragment Protein within Human Ketohexokinase aa 1-250.

View Alternative Names

Ketohexokinase, Hepatic fructokinase, KHK

6 Images
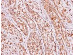
Immunohistochemistry (Formalin/PFA-fixed paraffin-embedded sections) - Anti-ketohexokinase antibody (AB154405)
  • IHC-P

Supplier Data

Immunohistochemistry (Formalin/PFA-fixed paraffin-embedded sections) - Anti-ketohexokinase antibody (AB154405)

Immunohistochemical analysis of paraffin-embedded A549 xenograft labeling ketohexokinase using ab154405 at 1/500 dilution.

Immunohistochemistry (Formalin/PFA-fixed paraffin-embedded sections) - Anti-ketohexokinase antibody (AB154405)
  • IHC-P

Supplier Data

Immunohistochemistry (Formalin/PFA-fixed paraffin-embedded sections) - Anti-ketohexokinase antibody (AB154405)

Immunohistochemical analysis of paraffin-embedded mouse liver tissue stained for Ketohexokinase protein at cytoplasm with ab154405 at a 1/500 dilution.

Antigen retrieval : Citrate buffer, pH 6.0, 15 min

Immunohistochemistry (Formalin/PFA-fixed paraffin-embedded sections) - Anti-ketohexokinase antibody (AB154405)
  • IHC-P

Supplier Data

Immunohistochemistry (Formalin/PFA-fixed paraffin-embedded sections) - Anti-ketohexokinase antibody (AB154405)

Immunohistochemical analysis of paraffin-embedded mouse kidney tissue stained for Ketohexokinase protein at cytoplasm and nucleus with ab154405 at a 1/500 dilution.

Antigen retrieval : Citrate buffer, pH 6.0, 15 min

Western blot - Anti-ketohexokinase antibody (AB154405)
  • WB

Supplier Data

Western blot - Anti-ketohexokinase antibody (AB154405)

Samples were separated by 12% SDS-PAGE.

All lanes:

Western blot - Anti-ketohexokinase antibody (ab154405) at 1/1000 dilution

Lane 1:

HeLa whole cell extracts at 30 µg

Lane 2:

HepG2 whole cell extracts at 30 µg

Secondary

All lanes:

HRP-conjugated anti-rabbit IgG

Predicted band size: 33 kDa

false

Western blot - Anti-ketohexokinase antibody (AB154405)
  • WB

Supplier Data

Western blot - Anti-ketohexokinase antibody (AB154405)

Samples were separated by 12% SDS-PAGE. The signal was developed with Trident ECL plus-Enhanced. Corresponding RNA expression data for the same cell lines are based on Human Protein Atlas program.

All lanes:

Western blot - Anti-ketohexokinase antibody (ab154405) at 1/1000 dilution

Lane 1:

HeLa whole cell extracts at 30 µg

Lane 2:

HepG2 whole cell extracts at 30 µg

Secondary

All lanes:

HRP-conjugated anti-rabbit IgG

Predicted band size: 33 kDa

true

Western blot - Anti-ketohexokinase antibody (AB154405)
  • WB

Unknown

Western blot - Anti-ketohexokinase antibody (AB154405)

12% SDS PAGE

All lanes:

Western blot - Anti-ketohexokinase antibody (ab154405) at 1/10000 dilution

All lanes:

mouse liver tissue lysate at 20 µg

Predicted band size: 33 kDa

false

Key facts

Host species

Rabbit

Clonality

Polyclonal

Isotype

IgG

Carrier free

No

Reacts with

Mouse, Human

Applications

WB, IHC-P

applications

Immunogen

Recombinant Fragment Protein within Human Ketohexokinase aa 1-250. The exact immunogen used to generate this antibody is proprietary information.

P50053

Reactivity data

{ "title": "Reactivity Data", "filters": { "stats": ["", "Species", "Dilution Info", "Notes"], "tabs": { "all-applications": {"fullname" : "All Applications", "shortname": "All Applications"}, "IHCP" : {"fullname" : "Immunohistochemistry (Formalin/PFA-fixed paraffin-embedded sections)", "shortname":"IHC-P"}, "WB" : {"fullname" : "Western blot", "shortname":"WB"} }, "product-promise": { "all": "all", "testedAndGuaranteed": "tested", "guaranteed": "expected", "predicted": "predicted", "notRecommended": "not-recommended" } }, "values": { "Human": { "IHCP-species-checked": "testedAndGuaranteed", "IHCP-species-dilution-info": "1/100 - 1/1000", "IHCP-species-notes": "<p>Tris-EDTA buffer (pH 8.0) can also be used.</p> Perform heat-mediated antigen retrieval with citrate buffer pH 6 before commencing with IHC staining protocol.", "WB-species-checked": "testedAndGuaranteed", "WB-species-dilution-info": "1/1000 - 1/10000", "WB-species-notes": "<p></p>" }, "Mouse": { "IHCP-species-checked": "testedAndGuaranteed", "IHCP-species-dilution-info": "1/100 - 1/1000", "IHCP-species-notes": "<p>Tris-EDTA buffer (pH 8.0) can also be used.</p> Perform heat-mediated antigen retrieval with citrate buffer pH 6 before commencing with IHC staining protocol.", "WB-species-checked": "testedAndGuaranteed", "WB-species-dilution-info": "1/1000 - 1/10000", "WB-species-notes": "<p></p>" } } }

Properties and storage information

Form
Liquid
Purification technique
Affinity purification Immunogen
Storage buffer
pH: 7 Preservative: 0.025% Proclin 300 Constituents: PBS, 20% Glycerol (glycerin, glycerine), 1% BSA
Shipped at conditions
Blue Ice
Appropriate short-term storage conditions
+4°C
Appropriate long-term storage conditions
-20°C
Aliquoting information
Upon delivery aliquot
Storage information
Avoid freeze / thaw cycle

Supplementary information

This supplementary information is collated from multiple sources and compiled automatically.

Ketohexokinase also known as KHK or fructokinase is an enzyme that catalyzes the phosphorylation of fructose to fructose-1-phosphate utilizing ATP in the process. This enzyme has two isoforms: KHK-C and KHK-A with the cytosolic form (KHK-C) being approximately 35 kDa in mass. KHK is expressed at high levels in the liver kidney cortex and small intestine showing its importance for fructose metabolism in these tissues. The liver in particular exhibits extensive expression which facilitates the initial step in fructose metabolism.
Biological function summary

Ketohexokinase plays a significant role in the initial stage of fructose metabolism by converting fructose to fructose-1-phosphate. This reaction is a part of the fructose metabolic pathway enabling the use of fructose as an energy source especially in hepatocytes. KHK operates as a monomer and does not form part of any larger protein complex. The enzyme importantly controls the rate of fructose utilization preventing accumulation of free fructose which could lead to metabolic issues.

Pathways

Ketohexokinase belongs to the fructose metabolism pathway which is a subset of the larger carbohydrate metabolism. This enzyme's product fructose-1-phosphate subsequently interacts with aldolase B which is involved in further steps of the glycolysis and gluconeogenesis pathways. Besides aldolase B ketohexokinase's activity influences the balance between fructose and glucose metabolism connecting fructolysis with glycolytic and gluconeogenic pathways.

Dysfunction of ketohexokinase has been linked to hereditary fructose intolerance a condition resulting from a deficiency of aldolase B where the accumulation of fructose-1-phosphate can cause liver damage and hypoglycemia. KHK has also been implicated in metabolic syndrome where excessive fructose consumption exacerbates conditions like insulin resistance and fatty liver disease. The relationship of KHK with metabolic syndrome highlights its interaction with insulin pathways which involves proteins such as insulin receptor substrates that are affected by altered fructose metabolism.

Product protocols

For this product, it's our understanding that no specific protocols are required. You can visit:

Target data

Catalyzes the phosphorylation of the ketose sugar fructose to fructose-1-phosphate.
See full target information Ketohexokinase

Publications (3)

Recent publications for all applications. Explore the full list and refine your search

Experimental dermatology 33:e15186 PubMed39367569

2024

Inhibition of Ubiquitin C-Terminal Hydrolase L1 Facilitates Cutaneous Wound Healing via Activating TGF-β/Smad Signalling Pathway in Fibroblasts.

Applications

Unspecified application

Species

Unspecified reactive species

Huihui Pan,Jinru Song,Qing An,Junyi Chen,Wenyue Zheng,Litian Zhang,Jingjing Gu,Chengcheng Deng,Bin Yang

Cell metabolism 33:145-159.e6 PubMed33357456

2020

High Fructose Drives the Serine Synthesis Pathway in Acute Myeloid Leukemic Cells.

Applications

Unspecified application

Species

Unspecified reactive species

Sangmoo Jeong,Angela Maria Savino,Rachel Chirayil,Ersilia Barin,Yuanming Cheng,Sun-Mi Park,Alexandra Schurer,Edouard Mullarky,Lewis C Cantley,Michael G Kharas,Kayvan R Keshari

American journal of physiology. Endocrinology and metabolism 315:E386-E393 PubMed29870677

2018

Ketohexokinase knockout mice, a model for essential fructosuria, exhibit altered fructose metabolism and are protected from diet-induced metabolic defects.

Applications

Unspecified application

Species

Unspecified reactive species

Corin O Miller,Xiaodong Yang,Ku Lu,Jin Cao,Kithsiri Herath,Thomas W Rosahl,Roger Askew,Guillaume Pavlovic,Gaochao Zhou,Cai Li,Taro E Akiyama
View all publications

Product promise

We are committed to supporting your work with high-quality reagents, and we're here for you every step of the way. In the unlikely event that one of our products does not perform as expected, you're protected by our Product Promise.
For full details, please see our Terms & Conditions

Please note: All products are 'FOR RESEARCH USE ONLY. NOT FOR USE IN DIAGNOSTIC OR THERAPEUTIC PROCEDURES'.

For licensing inquiries, please contact partnerships@abcam.com