JavaScript is disabled in your browser. Please enable JavaScript to view this website.
AB264265

Anti-KHSRP antibody

Be the first to review this product! Submit a review

|

(1 Publication)

Rabbit Polyclonal KHSRP antibody. Suitable for IP, IHC-P and reacts with Human samples. Cited in 1 publication. Immunogen corresponding to Synthetic Peptide within Human KHSRP aa 650 to C-terminus.

View Alternative Names

FUBP2, KHSRP, Far upstream element-binding protein 2, FUSE-binding protein 2, KH type-splicing regulatory protein, p75, KSRP

2 Images
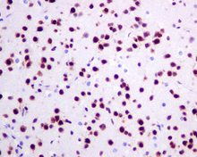
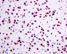
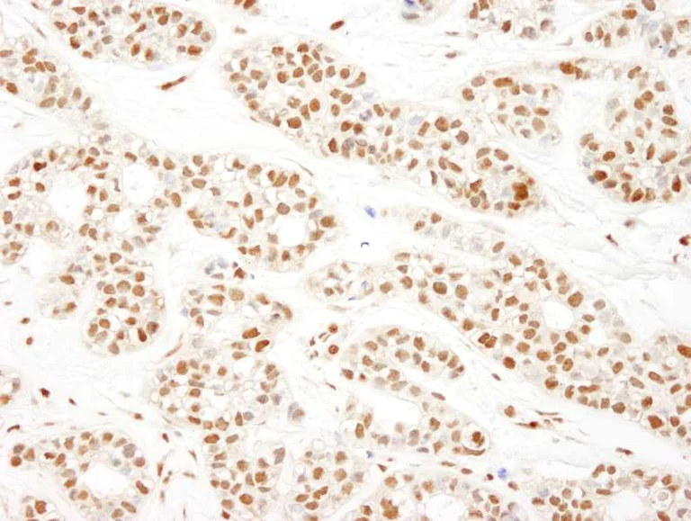
Immunohistochemistry (Formalin/PFA-fixed paraffin-embedded sections) - Anti-KHSRP antibody (AB264265)
  • IHC-P

Unknown

Immunohistochemistry (Formalin/PFA-fixed paraffin-embedded sections) - Anti-KHSRP antibody (AB264265)

Formalin-fixed, paraffin-embedded human breast carcinoma tissue stained for KHSRP using ab264265 at 1/1000 dilution in immunohistochemical analysis. DAB staining.

Epitope retrieval with Tris-EDTA pH 9.0 is recommended for FFPE tissue sections.

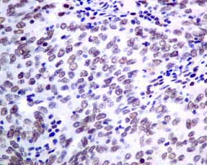
Immunoprecipitation - Anti-KHSRP antibody (AB264265)
  • IP

Ap

Immunoprecipitation - Anti-KHSRP antibody (AB264265)

KHSRP was immunoprecipitated from HeLa (human epithelial cell line from cervix adenocarcinoma) whole cell lysate (1.0 mg per IP reaction; 20% of IP loaded) using ab264265 at 3 μg/mg lysate. Western blot was performed on the immunoprecipitates using a different KHSRP antibody at 1 μg/ml.

Lane 1 : ab264265 IP in HeLa whole cell lysate.

Lane 2 : Control IgG IP in Hela whole cell lysate.

Exposure time : 3 seconds.

All lanes:

Immunoprecipitation - Anti-KHSRP antibody (ab264265)

Predicted band size: 73 kDa

false

Key facts

Host species

Rabbit

Clonality

Polyclonal

Isotype

IgG

Carrier free

No

Reacts with

Human

Applications

IHC-P, IP

applications

Immunogen

Synthetic Peptide within Human KHSRP aa 650 to C-terminus. The exact immunogen used to generate this antibody is proprietary information.

Q92945

Reactivity data

{ "title": "Reactivity Data", "filters": { "stats": ["", "Species", "Dilution Info", "Notes"], "tabs": { "all-applications": {"fullname" : "All Applications", "shortname": "All Applications"}, "IP" : {"fullname" : "Immunoprecipitation", "shortname":"IP"}, "IHCP" : {"fullname" : "Immunohistochemistry (Formalin/PFA-fixed paraffin-embedded sections)", "shortname":"IHC-P"} }, "product-promise": { "all": "all", "testedAndGuaranteed": "tested", "guaranteed": "expected", "predicted": "predicted", "notRecommended": "not-recommended" } }, "values": { "Human": { "IP-species-checked": "testedAndGuaranteed", "IP-species-dilution-info": "2-5 µg/mg of lysate", "IP-species-notes": "<p></p>", "IHCP-species-checked": "testedAndGuaranteed", "IHCP-species-dilution-info": "1/500 - 1/2000", "IHCP-species-notes": "<p></p>" } } }

Properties and storage information

Form
Liquid
Purification technique
Affinity purification Immunogen
Storage buffer
pH: 7 - 8 Preservative: 0.09% Sodium azide Constituents: Tris citrate/phosphate
Shipped at conditions
Blue Ice
Appropriate short-term storage duration
1-2 weeks
Appropriate short-term storage conditions
+4°C
Appropriate long-term storage conditions
-20°C
Aliquoting information
Upon delivery aliquot
Storage information
Avoid freeze / thaw cycle

Product protocols

For this product, it's our understanding that no specific protocols are required. You can visit:

Target data

Binds to the dendritic targeting element and may play a role in mRNA trafficking (By similarity). Part of a ternary complex that binds to the downstream control sequence (DCS) of the pre-mRNA. Mediates exon inclusion in transcripts that are subject to tissue-specific alternative splicing. May interact with single-stranded DNA from the far-upstream element (FUSE). May activate gene expression. Also involved in degradation of inherently unstable mRNAs that contain AU-rich elements (AREs) in their 3'-UTR, possibly by recruiting degradation machinery to ARE-containing mRNAs.
See full target information KHSRP

Publications (1)

Recent publications for all applications. Explore the full list and refine your search

Cell death discovery 9:150 PubMed37156809

2023

GATA4-activated lncRNA MALAT1 promotes osteogenic differentiation through inhibiting NEDD4-mediated RUNX1 degradation.

Applications

Unspecified application

Species

Unspecified reactive species

Xianzhe Huang,Shuo Jie,Wenzhao Li,Chan Liu
View all publications

Product promise

We are committed to supporting your work with high-quality reagents, and we're here for you every step of the way. In the unlikely event that one of our products does not perform as expected, you're protected by our Product Promise.
For full details, please see our Terms & Conditions

Please note: All products are 'FOR RESEARCH USE ONLY. NOT FOR USE IN DIAGNOSTIC OR THERAPEUTIC PROCEDURES'.

For licensing inquiries, please contact partnerships@abcam.com