JavaScript is disabled in your browser. Please enable JavaScript to view this website.
AB230460

Anti-Ki67 antibody

Be the first to review this product! Submit a review

|

(2 Publications)

Anti-Ki67 antibody (ab230460) is a rabbit polyclonal antibody detecting Ki67 in IHC-P. Suitable for Human.

View Alternative Names

Proliferation marker protein Ki-67, Antigen identified by monoclonal antibody Ki-67, Antigen KI-67, Antigen Ki67, MKI67

1 Images
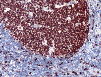
Immunohistochemistry (Formalin/PFA-fixed paraffin-embedded sections) - Anti-Ki67 antibody (AB230460)
  • IHC-P

Supplier Data

Immunohistochemistry (Formalin/PFA-fixed paraffin-embedded sections) - Anti-Ki67 antibody (AB230460)

Formalin-fixed, paraffin-embedded human tonsil tissue stained for Ki67 using ab230460 at 1/300 dilution in immunohistochemical analysis.

Key facts

Host species

Rabbit

Clonality

Polyclonal

Isotype

IgG

Carrier free

No

Reacts with

Human

Applications

IHC-P

applications

Immunogen

The exact immunogen used to generate this antibody is proprietary information.

Specificity

From Mar 2024, QC testing of replenishment batches of this polyclonal changed. All tested and expected application and reactive species combinations are still covered by our Abcam product promise. However, we no longer test all applications. For more information on a specific batch, please contact our Scientific Support who will be happy to help. You may also be interested in our alternative recombinant antibody, ab92742.

Reactivity data

{ "title": "Reactivity Data", "filters": { "stats": ["", "Species", "Dilution Info", "Notes"], "tabs": { "all-applications": {"fullname" : "All Applications", "shortname": "All Applications"}, "IHCP" : {"fullname" : "Immunohistochemistry (Formalin/PFA-fixed paraffin-embedded sections)", "shortname":"IHC-P"} }, "product-promise": { "all": "all", "testedAndGuaranteed": "tested", "guaranteed": "expected", "predicted": "predicted", "notRecommended": "not-recommended" } }, "values": { "Human": { "IHCP-species-checked": "testedAndGuaranteed", "IHCP-species-dilution-info": "1/100", "IHCP-species-notes": "<p>Incubate with primary antibody for 10 minutes at room temperature.</p>" }, "Cow": { "IHCP-species-checked": "predicted", "IHCP-species-dilution-info": "", "IHCP-species-notes": "" } } }

Product details

What is this antibody validated in?
Anti-Ki67 antibody (ab230460) is a rabbit polyclonal antibody and is validated for use in Immunohistochemistry (IHC-P) in Human samples.

Properties and storage information

Form
Liquid
Purification technique
Affinity purification Immunogen
Storage buffer
pH: 7.6 Preservative: 0.1% Sodium azide Constituents: Tris buffered saline, 1% BSA
Shipped at conditions
Blue Ice
Appropriate short-term storage duration
1-2 weeks
Appropriate short-term storage conditions
+4°C
Appropriate long-term storage conditions
-20°C
Aliquoting information
Upon delivery aliquot
Storage information
Avoid freeze / thaw cycle

Supplementary information

This supplementary information is collated from multiple sources and compiled automatically.

Ki67 is a nuclear protein often referred to as MKI67 with a molecular weight of approximately 345 kDa. This protein is strongly associated with cell proliferation. Scientists commonly use Ki67 staining techniques to identify and quantify proliferating cells in tissues. Ki67 is expressed in the nucleus during active cell cycle phases—G1 S G2 and M—but not in resting cells in G0 phase. It is detectable through methods such as Ki67 immunofluorescence and Ki67 flow cytometry which are important for analyzing cell division.
Biological function summary

The Ki67 protein plays an essential role in cellular proliferation processes. It does not form part of a stable complex but interacts transiently with other cell cycle-related proteins. Research indicates that Ki67 maintains the structure of the perichromosomal layer during mitosis impacting chromosome separation. It is particularly active in tissues with high cell turnover such as bone marrow and lymphoid organs.

Pathways

Ki67 influences several key cellular pathways that control cell proliferation and differentiation. The protein acts within the regulation of the cell cycle and the PI3K/AKT signaling pathway important for cell growth and survival. Within these pathways Ki67 interacts with proteins like cyclin-dependent kinases (CDKs) which regulate transitions between different phases of the cell cycle.

Ki67 has significant implications in oncology and can be used as a biomarker for cancer prognosis. Its expression levels help determine the aggressiveness of tumors especially in breast cancer and prostate cancer. High Ki67 levels correlate with poor prognosis as it indicates rapid cell division. In cancer Ki67 associates with p53 a protein that regulates the cell cycle and function as a tumor suppressor.

Product protocols

For this product, it's our understanding that no specific protocols are required. You can visit:

Target data

The protein expressed by the MKI67 gene is required to maintain individual mitotic chromosomes dispersed in the cytoplasm following nuclear envelope disassembly and associates with the surface of the mitotic chromosome, specifically the perichromosomal layer, covering a significant portion of the chromosome surface (PubMed : 27362226). It prevents chromosomes from collapsing into a single chromatin mass by creating a steric and electrostatic charge barrier due to its high net electrical charge, acting as a surfactant that disperses chromosomes and enables their independent motility (PubMed : 27362226). The protein binds DNA, with a preference for supercoiled and AT-rich DNA (PubMed : 10878551), and may play a role in chromatin organization, though it is unclear if it directly influences chromatin organization or if this is an indirect result of its function in maintaining dispersed mitotic chromosomes (Probable, PubMed : 24867636). This supplementary information is collated from multiple sources and compiled automatically.
See full target information MKI67

Publications (2)

Recent publications for all applications. Explore the full list and refine your search

Oncology letters 29:155 PubMed39911153

2025

Construction of a lung adenocarcinoma prognostic model based on KEAP1/NRF2/HO‑1 mutation‑mediated upregulated genes and bioinformatic analysis.

Applications

Unspecified application

Species

Unspecified reactive species

Wei Zhu,Ye Zhang,Lingyun Yang,Lu Chen,Chaobo Chen,Qifeng Shi,Zipeng Xu

Redox report : communications in free radical research 28:2279813 PubMed38010093

2023

Obstructive sleep apnea promotes the progression of lung cancer by modulating cancer cell invasion and cancer-associated fibroblast activation via TGFβ signaling.

Applications

Unspecified application

Species

Unspecified reactive species

Zhilei Cui,Zhengshang Ruan,Meigui Li,Rongrong Ren,Yizong Ma,Junxiang Zeng,Jinyuan Sun,Wenjing Ye,Weiguo Xu,Xuejun Guo,Dengfei Xu,Linlin Zhang
View all publications

Product promise

We are committed to supporting your work with high-quality reagents, and we're here for you every step of the way. In the unlikely event that one of our products does not perform as expected, you're protected by our Product Promise.
For full details, please see our Terms & Conditions

Please note: All products are 'FOR RESEARCH USE ONLY. NOT FOR USE IN DIAGNOSTIC OR THERAPEUTIC PROCEDURES'.

For licensing inquiries, please contact partnerships@abcam.com