JavaScript is disabled in your browser. Please enable JavaScript to view this website.
AB279653

Anti-Ki67 antibody [B56]

4

(1 Review)

|

(95 Publications)

Anti-Ki67 antibody [B56] (ab279653) is a mouse monoclonal antibody detecting Ki67 in Flow Cytometry (Intra), Flow Cytometry, IHC-P, ICC/IF. Suitable for Human, Mouse, Rat.

- KO validated for confirmed specificity
- Biophysical QC for unrivalled batch-batch consistency
- Over 20 publications

View Alternative Names

Proliferation marker protein Ki-67, Antigen identified by monoclonal antibody Ki-67, Antigen KI-67, Antigen Ki67, MKI67

15 Images
Immunohistochemistry (Formalin/PFA-fixed paraffin-embedded sections) - Anti-Ki67 antibody [B56] (AB279653)
  • IHC-P

Supplier Data

Immunohistochemistry (Formalin/PFA-fixed paraffin-embedded sections) - Anti-Ki67 antibody [B56] (AB279653)

Immunohistochemical analysis of paraffin-embedded Mouse colon tissue labeling Ki67 with ab279653 at 1/1000 dilution (0.936 ug/ml) followed by a ready to use LeicaDS9800 (Bond™ Polymer Refine Detection). Nuclear staining on mouse colon. The section was incubated with ab279653 for 30 mins at room temperature and followed by mouse specific IgG antibody (ab125913) for 8 mins. The immunostaining was performed on a Leica Biosystems BOND® RX instrument. Counterstained with Hematoxylin.

Secondary antibody only control : Secondary antibody is a ready to use LeicaDS9800 (Bond™ Polymer Refine Detection).

Heat mediated antigen retrieval with Citrate buffer (pH 6.0, epitope retrieval solution 1) for 20 mins.

Immunocytochemistry/ Immunofluorescence - Anti-Ki67 antibody [B56] (AB279653)
  • ICC/IF

Supplier Data

Immunocytochemistry/ Immunofluorescence - Anti-Ki67 antibody [B56] (AB279653)

Immunofluorescent analysis of 4% Paraformaldehyde-fixed, 0.1% TritonX-100 permeabilized HeLa (Human cervix adenocarcinoma epithelial cell) cells labelling Ki67 with ab279653 at 1/50 (18.72 ug/ml) dilution, followed by ab150113 Goat Anti-Mouse IgG H&L (Alexa Fluor® 488) antibody at 1/1000 dilution (Green). Confocal image showing nucleolar staining in HeLa cell line ab179513 Anti-beta Tubulin rabbit monoclonal antibody was used to counterstain tubulin at 1/200 dilution (Red). The Nuclear counterstain was DAPI (Blue).

Secondary antibody only control : Secondary antibody is ab150113 Goat Anti-Mouse IgG H&L (Alexa Fluor® 488) at 1/1000 dilution.

Immunohistochemistry (Formalin/PFA-fixed paraffin-embedded sections) - Anti-Ki67 antibody [B56] (AB279653)
  • IHC-P

Supplier Data

Immunohistochemistry (Formalin/PFA-fixed paraffin-embedded sections) - Anti-Ki67 antibody [B56] (AB279653)

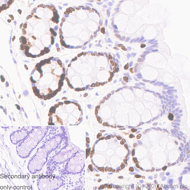
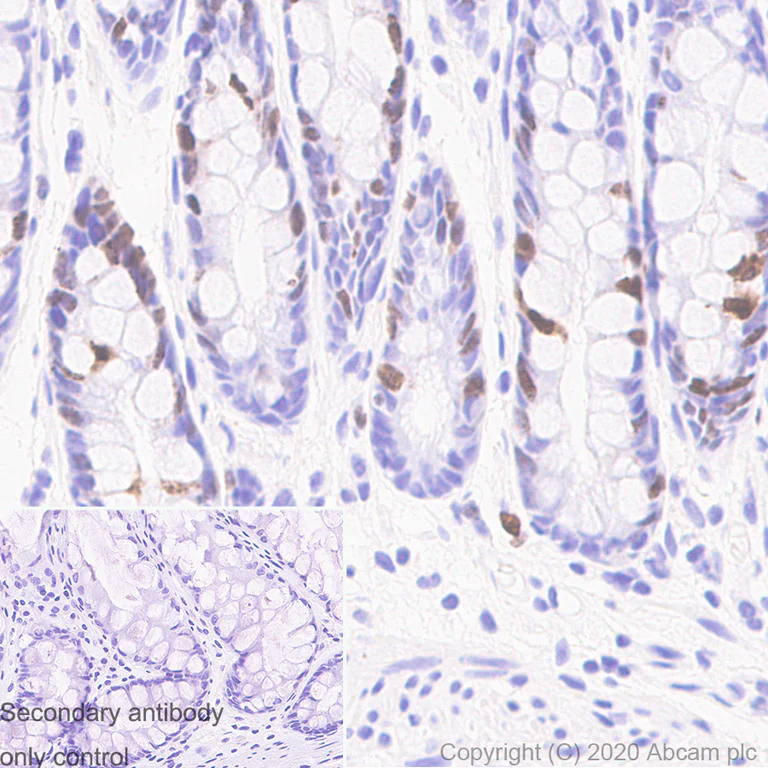
Immunohistochemical analysis of paraffin-embedded Human colon tissue labeling Ki67 with ab279653 at 1/1000 dilution (0.936 ug/ml) followed by a ready to use LeicaDS9800 (Bond™ Polymer Refine Detection). Nuclear staining on human colon. The section was incubated with ab279653 for 30 mins at room temperature and followed by mouse specific IgG antibody (ab125913) for 8 mins. The immunostaining was performed on a Leica Biosystems BOND® RX instrument. Counterstained with Hematoxylin.

Secondary antibody only control : Secondary antibody is a ready to use LeicaDS9800 (Bond™ Polymer Refine Detection).

Heat mediated antigen retrieval with Citrate buffer (pH 6.0, epitope retrieval solution 1) for 20 mins.

Immunocytochemistry/ Immunofluorescence - Anti-Ki67 antibody [B56] (AB279653)
  • ICC/IF

Supplier Data

Immunocytochemistry/ Immunofluorescence - Anti-Ki67 antibody [B56] (AB279653)

Immunofluorescent analysis of 4% Paraformaldehyde-fixed, 0.1% TritonX-100 permeabilized wild-type HeLa (Human cervix adenocarcinoma epithelial cell) cells and KI67 KO HeLa cells labelling Ki67 with ab279653 at 1/50 dilution (18.72 ug/ml), followed by ab150113 Goat Anti-Mouse IgG H&L (Alexa Fluor® 488) antibody at 1/1000 dilution (Green). Confocal image showing nucleolar staining in Parental HeLa cell line and no staining in MKI67 HeLa KO cell line. ab179513 Anti-beta Tubulin rabbit monoclonal antibody at 1/200 dilution followed by ab150080 Goat Anti-Rabbit IgG H&L (Alexa Fluor® 594) at 1/500 dilution was used to counterstain tubulin (Red). The Nuclear counterstain was DAPI (Blue).

Secondary antibody only control : Secondary antibody is ab150113 Goat Anti-Mouse IgG H&L (Alexa Fluor® 488) at 1/1000 dilution.

Flow Cytometry (Intracellular) - Anti-Ki67 antibody [B56] (AB279653)
  • Flow Cyt (Intra)

Supplier Data

Flow Cytometry (Intracellular) - Anti-Ki67 antibody [B56] (AB279653)

Flow cytometric analysis of 4% paraformaldehyde fixed 90% methanol permeabilized HeLa (Human cervix adenocarcinoma epithelial cell) cells labelling Ki67 with ab279653 at 1/1000 dilution (0.1ug)/ Right compared with a Mouse monoclonal IgG / Left isotype control. A Goat anti mouse IgG (Alexa Fluor® 488, ab150113) at 1/2000 dilution was used as the secondary antibody.

Immunohistochemistry (Formalin/PFA-fixed paraffin-embedded sections) - Anti-Ki67 antibody [B56] (AB279653)
  • IHC-P

Supplier Data

Immunohistochemistry (Formalin/PFA-fixed paraffin-embedded sections) - Anti-Ki67 antibody [B56] (AB279653)

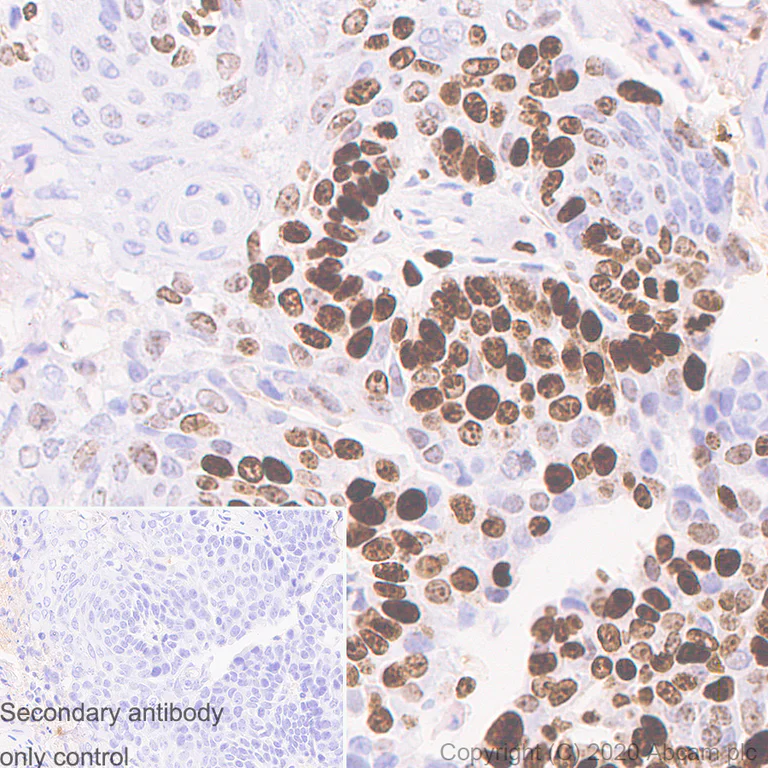
Immunohistochemical analysis of paraffin-embedded Human ovarian carcinoma tissue labeling Ki67 with ab279653 at 1/1000 dilution (0.936 ug/ml) followed by a ready to use LeicaDS9800 (Bond™ Polymer Refine Detection). Nuclear staining on human ovarian carcinoma. The section was incubated with ab279653 for 30 mins at room temperature and followed by mouse specific IgG antibody (ab125913) for 8mins. The immunostaining was performed on a Leica Biosystems BOND® RX instrument. Counterstained with Hematoxylin.

Secondary antibody only control : Secondary antibody is a ready to use LeicaDS9800 (Bond™ Polymer Refine Detection).

Heat mediated antigen retrieval with Citrate buffer (pH 6.0, epitope retrieval solution 1) for 20 mins.

Immunohistochemistry (Formalin/PFA-fixed paraffin-embedded sections) - Anti-Ki67 antibody [B56] (AB279653)
  • IHC-P

Lab

Immunohistochemistry (Formalin/PFA-fixed paraffin-embedded sections) - Anti-Ki67 antibody [B56] (AB279653)

Immunohistochemical analysis of formalin fixed paraffin embedded human colon labelling Ki67 with ab279653 at a concentration of 0.1μg/ml. The immunostaining was performed on a Ventana DISCOVERY ULTRA (Roche Tissue Diagnostics) instrument with a OptiView DAB IHC Detection Kit. Heat mediated antigen retrieval was performed with DISCOVERY cell conditioning solution (CC1) 100°C, pH8.5 for 32mins.

ab279653 Anti-Ki67 antibody [B56] was incubated for 16mins at 37°C. Sections were counterstained with Hematoxylin II. Image inset shows absence of staining in secondary antibody only control.

Customers are encouraged to optimise antigen retrieval conditions, antibody concentration, incubation times and temperature for best results in their own IHC assay workflow (automated and manual).

Immunohistochemistry (Formalin/PFA-fixed paraffin-embedded sections) - Anti-Ki67 antibody [B56] (AB279653)
  • IHC-P

Lab

Immunohistochemistry (Formalin/PFA-fixed paraffin-embedded sections) - Anti-Ki67 antibody [B56] (AB279653)

Immunohistochemical analysis of paraffin-embedded Human tonsil tissue labeling Ki67 with ab279653 at 1/1000 dilution. The section was incubated with ab279653 for 60 mins at room temperature. The section was then mounted using Fluoromount®. The immunostaining was performed on a Leica Biosystems BOND® RX instrument. Image was taken with a confocal microscope (Leica-Microsystems, TCS SP8). Counterstained with DAPI. Secondary antibody only control : Goat Anti-Mouse IgG H&L (Alexa Fluor® 488) preadsorbed (ab150117) at 1/1000 dilution. Heat mediated antigen retrieval with Citrate buffer (pH 6.0, epitope retrieval solution1) for 40 mins.

Flow Cytometry (Intracellular) - Anti-Ki67 antibody [B56] (AB279653)
  • Flow Cyt (Intra)

Supplier Data

Flow Cytometry (Intracellular) - Anti-Ki67 antibody [B56] (AB279653)

Flow cytometric analysis of 4% paraformaldehyde fixed 90% methanol permeabilized Parental HeLa (Human cervix adenocarcinoma epithelial cells) (Right)/ MKI67 KO HeLa cells (Left) labelling Ki67 with ab279653 at 1/1000 dilution (0.1ug) (Red) compared with a Mouse monoclonal IgG (Black) isotype control and an unlabelled control (cells without incubation with primary antibody and secondary antibody) (Blue). A Goat anti mouse IgG (Alexa Fluor® 488, ab150113) at 1/2000 dilution was used as the secondary antibody.

Immunohistochemistry (Formalin/PFA-fixed paraffin-embedded sections) - Anti-Ki67 antibody [B56] (AB279653)
  • IHC-P

Supplier Data

Immunohistochemistry (Formalin/PFA-fixed paraffin-embedded sections) - Anti-Ki67 antibody [B56] (AB279653)

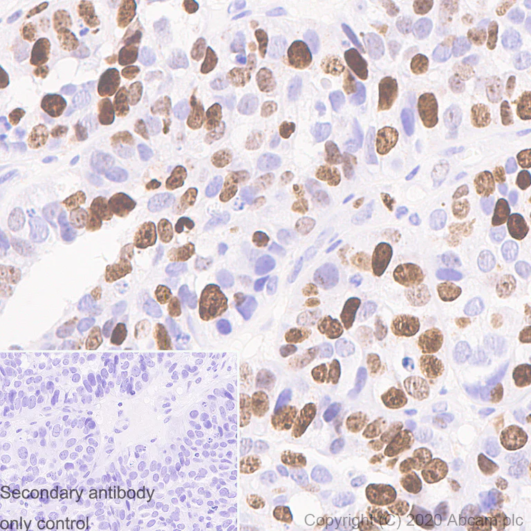
Immunohistochemical analysis of paraffin-embedded Mouse breast carcinoma tissue labeling Ki67 with ab279653 at 1/1000 dilution (0.936 ug/ml) followed by a ready to use LeicaDS9800 (Bond™ Polymer Refine Detection). Nuclear staining on mouse breast carcinoma. The section was incubated with ab279653 for 30 mins at room temperature and followed by mouse specific IgG antibody (ab125913) for 8 mins. The immunostaining was performed on a Leica Biosystems BOND® RX instrument. Counterstained with Hematoxylin.

Secondary antibody only control : Secondary antibody is a ready to use LeicaDS9800 (Bond™ Polymer Refine Detection).

Heat mediated antigen retrieval with Citrate buffer (pH 6.0, epitope retrieval solution 1) for 20 mins.

Immunohistochemistry (Formalin/PFA-fixed paraffin-embedded sections) - Anti-Ki67 antibody [B56] (AB279653)
  • IHC-P

Lab

Immunohistochemistry (Formalin/PFA-fixed paraffin-embedded sections) - Anti-Ki67 antibody [B56] (AB279653)

Immunohistochemical analysis of paraffin-embedded Rat stomach tissue labeling Ki67 with ab279653 at 1/1000 dilution. The section was incubated with ab279653 for 60 mins at room temperature. The section was then mounted using Fluoromount®. The immunostaining was performed on a Leica Biosystems BOND® RX instrument. Image was taken with a confocal microscope (Leica-Microsystems, TCS SP8). Counterstained with DAPI. Secondary antibody only control : Goat Anti-Mouse IgG H&L (Alexa Fluor® 488) preadsorbed (ab150117) at 1/1000 dilution. Heat mediated antigen retrieval with Citrate buffer (pH 6.0, epitope retrieval solution1) for 40 mins.

Immunohistochemistry (Formalin/PFA-fixed paraffin-embedded sections) - Anti-Ki67 antibody [B56] (AB279653)
  • IHC-P

Supplier Data

Immunohistochemistry (Formalin/PFA-fixed paraffin-embedded sections) - Anti-Ki67 antibody [B56] (AB279653)

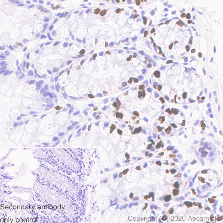
Immunohistochemical analysis of paraffin-embedded Rat colon tissue labeling Ki67 with ab279653 at 1/1000 dilution (0.936 ug/ml) followed by a ready to use LeicaDS9800 (Bond™ Polymer Refine Detection). Nuclear staining on rat colon. The section was incubated with ab279653 for 30 mins at room temperature and followed by mouse specific IgG antibody (ab125913) for 8 mins. The immunostaining was performed on a Leica Biosystems BOND® RX instrument. Counterstained with Hematoxylin.

Secondary antibody only control : Secondary antibody is a ready to use LeicaDS9800 (Bond™ Polymer Refine Detection).

Heat mediated antigen retrieval with Citrate buffer (pH 6.0, epitope retrieval solution 1) for 20 mins.

Immunohistochemistry (Formalin/PFA-fixed paraffin-embedded sections) - Anti-Ki67 antibody [B56] (AB279653)
  • IHC-P

Lab

Immunohistochemistry (Formalin/PFA-fixed paraffin-embedded sections) - Anti-Ki67 antibody [B56] (AB279653)

Immunohistochemical analysis of paraffin-embedded Mouse cerebrum tissue labeling Ki67 with ab279653 at 1/1000 dilution. The section was incubated with ab279653 for 60 mins at room temperature. The section was then mounted using Fluoromount®. The immunostaining was performed on a Leica Biosystems BOND® RX instrument. Image was taken with a confocal microscope (Leica-Microsystems, TCS SP8). Counterstained with DAPI. Secondary antibody only control : Goat Anti-Mouse IgG H&L (Alexa Fluor® 488) preadsorbed (ab150117) at 1/1000 dilution. Heat mediated antigen retrieval with Citrate buffer (pH 6.0, epitope retrieval solution1) for 40 mins.

Immunohistochemistry (Formalin/PFA-fixed paraffin-embedded sections) - Anti-Ki67 antibody [B56] (AB279653)
  • IHC-P

Lab

Immunohistochemistry (Formalin/PFA-fixed paraffin-embedded sections) - Anti-Ki67 antibody [B56] (AB279653)

Immunohistochemical analysis of paraffin-embedded Mouse stomach tissue labeling Ki67 with ab279653 at 1/1000 dilution. The section was incubated with ab279653 for 60 mins at room temperature. The section was then mounted using Fluoromount®. The immunostaining was performed on a Leica Biosystems BOND® RX instrument. Image was taken with a confocal microscope (Leica-Microsystems, TCS SP8). Counterstained with DAPI. Secondary antibody only control : Goat Anti-Mouse IgG H&L (Alexa Fluor® 488) preadsorbed (ab150117) at 1/1000 dilution. Heat mediated antigen retrieval with Citrate buffer (pH 6.0, epitope retrieval solution1) for 40 mins.

Immunocytochemistry/ Immunofluorescence - Anti-Ki67 antibody [B56] (AB279653)
  • ICC/IF

Lab

Immunocytochemistry/ Immunofluorescence - Anti-Ki67 antibody [B56] (AB279653)

ab279653 staining Ki67 in wild-type Hap1 cells, with negative expression in Ki67 knockout Hap1 cells. The cells were fixed with 100% methanol (5 min), permeabilised with 0.1% Triton x-100 for 5 minutes and then blocked with 1% BSA/10% normal goat serum/0.3M glycine in 0.1% PBS-Tween for 1h. The cells were then incubated overnight at +4°C with ab279653 at 5 μg/ml and ab6046, Rabbit polyclonal to beta Tubulin at 1 μg/ml. Cells were then incubated with ab150081, Goat polyclonal Secondary Antibody to Rabbit IgG - H&L (Alexa Fluor® 488), pre-adsorbed at 1/1000 dilution (shown in green) and ab150119, Goat polyclonal Secondary Antibody to Mouse IgG - H&L (Alexa Fluor® 647), pre-adsorbed at 1/1000 dilution (shown in red). Nuclear DNA was labelled with DAPI (shown in blue).

Image was acquired with a confocal microscope (Leica-Microsystems TCS SP8) and a single confocal section is shown.

This product also work with 4% formaldehyde (10 min) fixation under the same testing conditions.

Key facts

Host species

Mouse

Clonality

Monoclonal

Clone number

B56

Isotype

IgG1

Light chain type

kappa

Carrier free

No

Reacts with

Mouse, Rat, Human

Applications

IHC-P, Flow Cyt (Intra), ICC/IF

applications

Immunogen

The exact immunogen used to generate this antibody is proprietary information.

Reactivity data

{ "title": "Reactivity Data", "filters": { "stats": ["", "Species", "Dilution Info", "Notes"], "tabs": { "all-applications": {"fullname" : "All Applications", "shortname": "All Applications"}, "IHCP" : {"fullname" : "Immunohistochemistry (Formalin/PFA-fixed paraffin-embedded sections)", "shortname":"IHC-P"}, "ICCIF" : {"fullname" : "Immunocytochemistry/ Immunofluorescence", "shortname":"ICC/IF"}, "WB" : {"fullname" : "Western blot", "shortname":"WB"}, "FlowCytIntra" : {"fullname" : "Flow Cytometry (Intracellular)", "shortname":"Flow Cyt (Intra)"} }, "product-promise": { "all": "all", "testedAndGuaranteed": "tested", "guaranteed": "expected", "predicted": "predicted", "notRecommended": "not-recommended" } }, "values": { "Human": { "IHCP-species-checked": "testedAndGuaranteed", "IHCP-species-dilution-info": "1/1000", "IHCP-species-notes": "<p></p> Perform heat-mediated antigen retrieval with citrate buffer pH 6 before commencing with IHC staining protocol.", "ICCIF-species-checked": "testedAndGuaranteed", "ICCIF-species-dilution-info": "1/50", "ICCIF-species-notes": "<p></p>", "WB-species-checked": "notRecommended", "WB-species-dilution-info": "", "WB-species-notes": "<p></p>", "FlowCytIntra-species-checked": "testedAndGuaranteed", "FlowCytIntra-species-dilution-info": "1/1000", "FlowCytIntra-species-notes": "<p></p>" }, "Mouse": { "IHCP-species-checked": "testedAndGuaranteed", "IHCP-species-dilution-info": "1/1000", "IHCP-species-notes": "<p></p> Perform heat-mediated antigen retrieval with citrate buffer pH 6 before commencing with IHC staining protocol.", "ICCIF-species-checked": "guaranteed", "ICCIF-species-dilution-info": "", "ICCIF-species-notes": "", "WB-species-checked": "notRecommended", "WB-species-dilution-info": "", "WB-species-notes": "<p></p>", "FlowCytIntra-species-checked": "guaranteed", "FlowCytIntra-species-dilution-info": "", "FlowCytIntra-species-notes": "" }, "Rat": { "IHCP-species-checked": "testedAndGuaranteed", "IHCP-species-dilution-info": "1/1000", "IHCP-species-notes": "<p></p> Perform heat-mediated antigen retrieval with citrate buffer pH 6 before commencing with IHC staining protocol.", "ICCIF-species-checked": "guaranteed", "ICCIF-species-dilution-info": "", "ICCIF-species-notes": "", "WB-species-checked": "notRecommended", "WB-species-dilution-info": "", "WB-species-notes": "<p></p>", "FlowCytIntra-species-checked": "guaranteed", "FlowCytIntra-species-dilution-info": "", "FlowCytIntra-species-notes": "" } } }

Product details

Product Specifications

Anti-Ki67 antibody [B56] (ab279653) is a mouse recombinant monoclonal antibody and is validated for use in in human, mouse, rat samples.
Anti-Ki67 antibody [B56] (ab279653) specifically detects Ki67 (UniProt ID: P46013; Molecular weight: 359kDa) and is sold in a convenient trial size to enable initial testing (20 µg) and larger sizes for subsequent scaling up experiments (100 µg and 1 mg).

Quality and Validation

Abcam's high quality manufacturing and validation processes ensure Anti-Ki67 antibody [B56] (ab279653) has high sensitivity and specificity alongside high lot-to-lot consistency and reproducibility.
The specificity of Anti-Ki67 antibody [B56] (ab279653) has been confirmed by testing in knockout samples.
Anti-Ki67 antibody [B56] (ab279653) has been cited over 29 times in peer reviewed journals and is trusted by the scientific community.

Related Products

Conjugation-ready, carrier free format available for antibody clone B56 - ab279657.
Antibody clone B56 is also available pre-conjugated to a variety of labels for your convenience - Alexa Fluor® 488 (ab283242, ab283699).

What are the advantages of a recombinant monoclonal antibody?
This product is a recombinant monoclonal antibody, which offers several advantages including:

  • - High batch-to-batch consistency and reproducibility
  • - Improved sensitivity and specificity
  • - Long-term security of supply
  • - Animal-free batch production

For more information, read more on recombinant antibodies.

Properties and storage information

Form
Liquid
Purification technique
Affinity purification Protein A
Storage buffer
pH: 7.2 - 7.4 Preservative: 0.01% Sodium azide Constituents: 59% PBS, 40% Glycerol (glycerin, glycerine), 0.05% BSA
Shipped at conditions
Blue Ice
Appropriate short-term storage duration
1-2 weeks
Appropriate short-term storage conditions
+4°C
Appropriate long-term storage conditions
-20°C
Aliquoting information
Upon delivery aliquot
Storage information
Avoid freeze / thaw cycle

Supplementary information

This supplementary information is collated from multiple sources and compiled automatically.

Ki67 is a nuclear protein often referred to as MKI67 with a molecular weight of approximately 345 kDa. This protein is strongly associated with cell proliferation. Scientists commonly use Ki67 staining techniques to identify and quantify proliferating cells in tissues. Ki67 is expressed in the nucleus during active cell cycle phases—G1 S G2 and M—but not in resting cells in G0 phase. It is detectable through methods such as Ki67 immunofluorescence and Ki67 flow cytometry which are important for analyzing cell division.
Biological function summary

The Ki67 protein plays an essential role in cellular proliferation processes. It does not form part of a stable complex but interacts transiently with other cell cycle-related proteins. Research indicates that Ki67 maintains the structure of the perichromosomal layer during mitosis impacting chromosome separation. It is particularly active in tissues with high cell turnover such as bone marrow and lymphoid organs.

Pathways

Ki67 influences several key cellular pathways that control cell proliferation and differentiation. The protein acts within the regulation of the cell cycle and the PI3K/AKT signaling pathway important for cell growth and survival. Within these pathways Ki67 interacts with proteins like cyclin-dependent kinases (CDKs) which regulate transitions between different phases of the cell cycle.

Ki67 has significant implications in oncology and can be used as a biomarker for cancer prognosis. Its expression levels help determine the aggressiveness of tumors especially in breast cancer and prostate cancer. High Ki67 levels correlate with poor prognosis as it indicates rapid cell division. In cancer Ki67 associates with p53 a protein that regulates the cell cycle and function as a tumor suppressor.

Product protocols

For this product, it's our understanding that no specific protocols are required. You can visit:

Target data

The protein expressed by the MKI67 gene is required to maintain individual mitotic chromosomes dispersed in the cytoplasm following nuclear envelope disassembly and associates with the surface of the mitotic chromosome, specifically the perichromosomal layer, covering a significant portion of the chromosome surface (PubMed : 27362226). It prevents chromosomes from collapsing into a single chromatin mass by creating a steric and electrostatic charge barrier due to its high net electrical charge, acting as a surfactant that disperses chromosomes and enables their independent motility (PubMed : 27362226). The protein binds DNA, with a preference for supercoiled and AT-rich DNA (PubMed : 10878551), and may play a role in chromatin organization, though it is unclear if it directly influences chromatin organization or if this is an indirect result of its function in maintaining dispersed mitotic chromosomes (Probable, PubMed : 24867636). This supplementary information is collated from multiple sources and compiled automatically.
See full target information MKI67

Publications (95)

Recent publications for all applications. Explore the full list and refine your search

Medical sciences (Basel, Switzerland) 13: PubMed40981193

2025

Mast Cell Association with the Microenvironment of a Phosphaturic Mesenchymal Tumour Secreting Fibroblast Growth Factor 23.

Applications

Unspecified application

Species

Unspecified reactive species

Andrey Kostin,Alexei Lyundup,Alexander Alekhnovich,Aleksandra Prikhodko,Olga Patsap,Sofia Gronskaia,Zhanna Belaya,Olga Lesnyak,Galina Melnichenko,Natalia Mokrysheva,Igor Buchwalow,Markus Tiemann,Dmitrii Atiakshin

Basic research in cardiology : PubMed40962957

2025

Downregulation of TCF19 and ATAD2 causes endothelial cell cycle arrest at the transition from cardiac hypertrophy to heart failure.

Applications

Unspecified application

Species

Unspecified reactive species

Elias Erny,Christoph Koentges,Debanjan Mukherjee,Luisa Wirth,Christos Kamaras,Franziska Zell,Madelon Hossfeld,Olaf Groß,Achim Lother

Open biology 15:250164 PubMed40925537

2025

The E3 ligase MEX3B forms a tripartite complex with and to determine the proliferative capacity of neural progenitor cells.

Applications

Unspecified application

Species

Unspecified reactive species

Kamakshi Garg,Gourav Sharma,Sarbani Samaddar,Sourav Banerjee

BMC cancer 25:1417 PubMed40898094

2025

KRAS mutation promotes immune escape of lung adenocarcinoma via ZNF24/SLC7A5/PD-L1 axis.

Applications

Unspecified application

Species

Unspecified reactive species

Leilei Li,Qiang Feng,Ya Jiang,Lilin Yang,Hong Fang,Wenmang Xu,Yuanyuan Wang,Xinyan Pan,Julun Yang

World journal of clinical oncology 16:107208 PubMed40901330

2025

GPR81 nuclear transportation is critical for cancer growth and progression in lung and other solid cancers.

Applications

Unspecified application

Species

Unspecified reactive species

LiBang Yang,Thomas Kono,Adam Gilbertsen,Yingming Li,Bo Sun,Blake A Jacobson,Sabine Karam,Scott M Dehm,Craig A Henke,Robert A Kratzke

Scientific reports 15:31927 PubMed40883446

2025

Choline transporter-like protein 1 in tongue squamous cell carcinoma: implications for cell proliferation and differentiation.

Applications

Unspecified application

Species

Unspecified reactive species

Nao Hashimoto,Kei Nakajima,Yoshihiko Akashi,Katsutoshi Kokubun,Keisuke Sugahara,Akira Katakura,Kenichi Matsuzaka

Pharmaceutics 17: PubMed40871001

2025

Potential of Pumpkin Pulp Carotenoid Extract in the Prevention of Doxorubicin-Induced Cardiotoxicity.

Applications

Unspecified application

Species

Unspecified reactive species

Milana Bosanac,Alena Stupar,Biljana Cvetković,Dejan Miljković,Milenko Čanković,Bojana Andrejić Višnjić

Cell death discovery 11:385 PubMed40817369

2025

Protein arginine methyltransferase 1 stimulates basal cell proliferation and migration to maintain corneal epithelial homeostasis.

Applications

Unspecified application

Species

Unspecified reactive species

Jia Yang,Mingzheng Hu,Mulin Yang,Hua Ni,Jun Zhou,Dengwen Li,Jie Ran,Min Liu

Hereditas 162:156 PubMed40813717

2025

TFAP2A promotes NSCLC malignant progression by enhancing AOC1 transcription.

Applications

Unspecified application

Species

Unspecified reactive species

Xiang Miao,Hongzhen Zheng,Huimin Mo,Jing Chang,Qin Jia,Hai Zhou

Stem cell research & therapy 16:410 PubMed40722197

2025

Human umbilical cord-derived mesenchymal stromal cell exosomes ameliorate aging-associated skeletal muscle atrophy and dysfunction in SAMP10 mice.

Applications

Unspecified application

Species

Unspecified reactive species

Zhe Huang,Limei Piao,Xiangkun Meng,Aiko Inoue,Kazuhiro Hitomi,Hiroyuki Umegaki,Masafumi Kuzuya,Xian Wu Cheng
View all publications

Product promise

We are committed to supporting your work with high-quality reagents, and we're here for you every step of the way. In the unlikely event that one of our products does not perform as expected, you're protected by our Product Promise.
For full details, please see our Terms & Conditions

Please note: All products are 'FOR RESEARCH USE ONLY. NOT FOR USE IN DIAGNOSTIC OR THERAPEUTIC PROCEDURES'.

For licensing inquiries, please contact partnerships@abcam.com