JavaScript is disabled in your browser. Please enable JavaScript to view this website.
AB279657

Anti-Ki67 antibody [B56] - BSA and Azide free

5

(2 Reviews)

|

(6 Publications)

Anti-Ki67 antibody [B56] - BSA and Azide free (ab279657) is a mouse recombinant monoclonal antibody provided in a PBS only buffer for easy conjugation detecting Ki67 in Flow Cytometry, IHC-P, ICC/IF. Suitable for Human, Mouse, Rat.

- KO validated for confirmed specificity
- BSA, sodium azide, and glycerol-free for easy conjugation
- Biophysical QC for unrivalled batch-batch consistency

View Alternative Names

Proliferation marker protein Ki-67, Antigen identified by monoclonal antibody Ki-67, Antigen KI-67, Antigen Ki67, MKI67

15 Images
Immunocytochemistry/ Immunofluorescence - Anti-Ki67 antibody [B56] - BSA and Azide free (AB279657)
  • ICC/IF

Lab

Immunocytochemistry/ Immunofluorescence - Anti-Ki67 antibody [B56] - BSA and Azide free (AB279657)

This data was developed using ab279653 the same antibody clone in a different buffer formulation.

ab279653 staining Ki67 in wild-type Hap1 cells, with negative expression in Ki67 knockout Hap1 cells. The cells were fixed with 100% methanol (5 min), permeabilised with 0.1% Triton x-100 for 5 minutes and then blocked with 1% BSA/10% normal goat serum/0.3M glycine in 0.1% PBS-Tween for 1h. The cells were then incubated overnight at +4°C with ab279653 at 5 μg/ml and ab6046, Rabbit polyclonal to beta Tubulin at 1 μg/ml. Cells were then incubated with ab150081, Goat polyclonal Secondary Antibody to Rabbit IgG - H&L (Alexa Fluor® 488), pre-adsorbed at 1/1000 dilution (shown in green) and ab150119, Goat polyclonal Secondary Antibody to Mouse IgG - H&L (Alexa Fluor® 647), pre-adsorbed at 1/1000 dilution (shown in red). Nuclear DNA was labelled with DAPI (shown in blue).

Image was acquired with a confocal microscope (Leica-Microsystems TCS SP8) and a single confocal section is shown.

This product also work with 4% formaldehyde (10 min) fixation under the same testing conditions.

Immunocytochemistry/ Immunofluorescence - Anti-Ki67 antibody [B56] - BSA and Azide free (AB279657)
  • ICC/IF

Supplier Data

Immunocytochemistry/ Immunofluorescence - Anti-Ki67 antibody [B56] - BSA and Azide free (AB279657)

This data was developed using ab279653 the same antibody clone in a different buffer formulation.

Immunofluorescent analysis of 4% Paraformaldehyde-fixed, 0.1% TritonX-100 permeabilized HeLa (Human cervix adenocarcinoma epithelial cell) cells labelling Ki67 with ab279653 at 1/50 dilution (18.72 ug/ml), followed by ab150113 Goat Anti-Mouse IgG H&L (Alexa Fluor® 488) antibody at 1/1000 dilution (Green). Confocal image showing nucleolar staining in HeLa cell line. ab179513 Anti-beta Tubulin rabbit monoclonal antibody at 1/200 dilution followed by ab150080 Goat Anti-Rabbit IgG H&L (Alexa Fluor® 594) at 1/500 dilution was used to counterstain tubulin (Red). The Nuclear counterstain was DAPI (Blue).

Secondary antibody only control : Secondary antibody is ab150113 Goat Anti-Mouse IgG H&L (Alexa Fluor® 488) at 1/1000 dilution.

Immunohistochemistry (Formalin/PFA-fixed paraffin-embedded sections) - Anti-Ki67 antibody [B56] - BSA and Azide free (AB279657)
  • IHC-P

Supplier Data

Immunohistochemistry (Formalin/PFA-fixed paraffin-embedded sections) - Anti-Ki67 antibody [B56] - BSA and Azide free (AB279657)

This data was developed using ab279653 the same antibody clone in a different buffer formulation.

Immunohistochemical analysis of paraffin-embedded Human colon tissue labeling Ki67 with ab279653 at 1/1000 dilution (0.936 ug/ml) followed by a ready to use LeicaDS9800 (Bond™ Polymer Refine Detection). Nuclear staining on human colon. The section was incubated with ab279653 for 30 mins at room temperature and followed by mouse specific IgG antibody (ab125913) for 8 mins. The immunostaining was performed on a Leica Biosystems BOND® RX instrument. Counterstained with Hematoxylin.

Secondary antibody only control : Secondary antibody is a ready to use LeicaDS9800 (Bond™ Polymer Refine Detection).

Heat mediated antigen retrieval with Citrate buffer (pH 6.0, epitope retrieval solution 1) for 20 mins.

Immunocytochemistry/ Immunofluorescence - Anti-Ki67 antibody [B56] - BSA and Azide free (AB279657)
  • ICC/IF

Supplier Data

Immunocytochemistry/ Immunofluorescence - Anti-Ki67 antibody [B56] - BSA and Azide free (AB279657)

This data was developed using ab279653 the same antibody clone in a different buffer formulation.

Immunofluorescent analysis of 4% Paraformaldehyde-fixed, 0.1% TritonX-100 permeabilized wild-type HeLa (Human cervix adenocarcinoma epithelial cell) cells and KI67 KO HeLa cells labelling Ki67 with ab279653 at 1/50 dilution (18.72 ug/ml), followed by ab150113 Goat Anti-Mouse IgG H&L (Alexa Fluor® 488) antibody at 1/1000 dilution (Green). Confocal image showing nucleolar staining in Parental HeLa cell line and no staining in MKI67 HeLa KO cell line. ab179513 Anti-beta Tubulin rabbit monoclonal antibody at 1/200 dilution followed by ab150080 Goat Anti-Rabbit IgG H&L (Alexa Fluor® 594) at 1/500 dilution was used to counterstain tubulin (Red). The Nuclear counterstain was DAPI (Blue).

Secondary antibody only control : Secondary antibody is ab150113 Goat Anti-Mouse IgG H&L (Alexa Fluor® 488) at 1/1000 dilution.

Flow Cytometry (Intracellular) - Anti-Ki67 antibody [B56] - BSA and Azide free (AB279657)
  • Flow Cyt (Intra)

Supplier Data

Flow Cytometry (Intracellular) - Anti-Ki67 antibody [B56] - BSA and Azide free (AB279657)

This data was developed using ab279653 the same antibody clone in a different buffer formulation.

Flow cytometric analysis of 4% paraformaldehyde fixed 90% methanol permeabilized HeLa (Human cervix adenocarcinoma epithelial cell) cells labelling Ki67 with ab279653 at 1/1000 dilution (0.1ug)/ Right compared with a Mouse monoclonal IgG / Left isotype control. A Goat anti mouse IgG (Alexa Fluor® 488, ab150113) at 1/2000 dilution was used as the secondary antibody.

Immunohistochemistry (Formalin/PFA-fixed paraffin-embedded sections) - Anti-Ki67 antibody [B56] - BSA and Azide free (AB279657)
  • IHC-P

Supplier Data

Immunohistochemistry (Formalin/PFA-fixed paraffin-embedded sections) - Anti-Ki67 antibody [B56] - BSA and Azide free (AB279657)

This data was developed using ab279653 the same antibody clone in a different buffer formulation.

Immunohistochemical analysis of paraffin-embedded Human ovarian carcinoma tissue labeling Ki67 with ab279653 at 1/1000 dilution (0.936 ug/ml) followed by a ready to use LeicaDS9800 (Bond™ Polymer Refine Detection). Nuclear staining on human ovarian carcinoma. The section was incubated with ab279653 for 30 mins at room temperature and followed by mouse specific IgG antibody (ab125913) for 8mins. The immunostaining was performed on a Leica Biosystems BOND® RX instrument. Counterstained with Hematoxylin.

Secondary antibody only control : Secondary antibody is a ready to use LeicaDS9800 (Bond™ Polymer Refine Detection).

Heat mediated antigen retrieval with Citrate buffer (pH 6.0, epitope retrieval solution 1) for 20 mins.

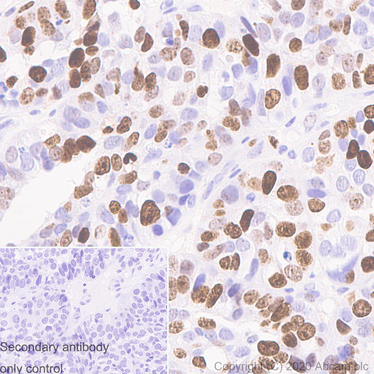
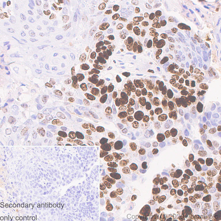
Immunohistochemistry (Formalin/PFA-fixed paraffin-embedded sections) - Anti-Ki67 antibody [B56] - BSA and Azide free (AB279657)
  • IHC-P

Lab

Immunohistochemistry (Formalin/PFA-fixed paraffin-embedded sections) - Anti-Ki67 antibody [B56] - BSA and Azide free (AB279657)

This data was developed using ab279653, the same antibody clone in a different buffer formulation.

Immunohistochemical analysis of formalin fixed paraffin embedded human colon labelling Ki67 with ab279653 at a concentration of 0.1μg/ml. The immunostaining was performed on a Ventana DISCOVERY ULTRA (Roche Tissue Diagnostics) instrument with a OptiView DAB IHC Detection Kit. Heat mediated antigen retrieval was performed with DISCOVERY cell conditioning solution (CC1) 100°C, pH8.5 for 32mins.

ab279653 Anti-Ki67 antibody [B56] was incubated for 16mins at 37°C. Sections were counterstained with Hematoxylin II. Image inset shows absence of staining in secondary antibody only control.

Customers are encouraged to optimise antigen retrieval conditions, antibody concentration, incubation times and temperature for best results in their own IHC assay workflow (automated and manual).

Immunohistochemistry (Formalin/PFA-fixed paraffin-embedded sections) - Anti-Ki67 antibody [B56] - BSA and Azide free (AB279657)
  • IHC-P

Lab

Immunohistochemistry (Formalin/PFA-fixed paraffin-embedded sections) - Anti-Ki67 antibody [B56] - BSA and Azide free (AB279657)

This data was developed using ab279653, the same antibody clone in a different buffer formulation.

Immunohistochemical analysis of paraffin-embedded Human tonsil tissue labeling Ki67 with ab279653 at 1/1000 dilution. The section was incubated with ab279653 for 60 mins at room temperature. The section was then mounted using Fluoromount®. The immunostaining was performed on a Leica Biosystems BOND® RX instrument. Image was taken with a confocal microscope (Leica-Microsystems, TCS SP8). Counterstained with DAPI. Secondary antibody only control : Goat Anti-Mouse IgG H&L (Alexa Fluor® 488) preadsorbed (ab150117) at 1/1000 dilution. Heat mediated antigen retrieval with Citrate buffer (pH 6.0, epitope retrieval solution1) for 40 mins.

Flow Cytometry (Intracellular) - Anti-Ki67 antibody [B56] - BSA and Azide free (AB279657)
  • Flow Cyt (Intra)

Supplier Data

Flow Cytometry (Intracellular) - Anti-Ki67 antibody [B56] - BSA and Azide free (AB279657)

This data was developed using ab279653 the same antibody clone in a different buffer formulation.

Flow cytometric analysis of 4% paraformaldehyde fixed 90% methanol permeabilized Parental HeLa (Human cervix adenocarcinoma epithelial cells) (Right)/ MKI67 KO HeLa cells (Left) labelling Ki67 with ab279653 at 1/1000 dilution (0.1ug) (Red) compared with a Mouse monoclonal IgG (Black) isotype control and an unlabelled control (cells without incubation with primary antibody and secondary antibody) (Blue). A Goat anti mouse IgG (Alexa Fluor® 488, ab150113) at 1/2000 dilution was used as the secondary antibody.

Immunohistochemistry (Formalin/PFA-fixed paraffin-embedded sections) - Anti-Ki67 antibody [B56] - BSA and Azide free (AB279657)
  • IHC-P

Supplier Data

Immunohistochemistry (Formalin/PFA-fixed paraffin-embedded sections) - Anti-Ki67 antibody [B56] - BSA and Azide free (AB279657)

This data was developed using ab279653 the same antibody clone in a different buffer formulation.

Immunohistochemical analysis of paraffin-embedded Mouse breast carcinoma tissue labeling Ki67 with ab279653 at 1/1000 dilution (0.936 ug/ml) followed by a ready to use LeicaDS9800 (Bond™ Polymer Refine Detection). Nuclear staining on mouse breast carcinoma. The section was incubated with ab279653 for 30 mins at room temperature and followed by mouse specific IgG antibody (ab125913) for 8 mins. The immunostaining was performed on a Leica Biosystems BOND® RX instrument. Counterstained with Hematoxylin.

Secondary antibody only control : Secondary antibody is a ready to use LeicaDS9800 (Bond™ Polymer Refine Detection).

Heat mediated antigen retrieval with Citrate buffer (pH 6.0, epitope retrieval solution 1) for 20 mins.

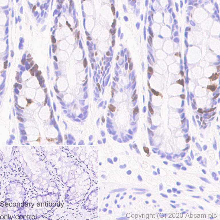
Immunohistochemistry (Formalin/PFA-fixed paraffin-embedded sections) - Anti-Ki67 antibody [B56] - BSA and Azide free (AB279657)
  • IHC-P

Lab

Immunohistochemistry (Formalin/PFA-fixed paraffin-embedded sections) - Anti-Ki67 antibody [B56] - BSA and Azide free (AB279657)

This data was developed using ab279653, the same antibody clone in a different buffer formulation.

Immunohistochemical analysis of paraffin-embedded Mouse stomach tissue labeling Ki67 with ab279653 at 1/1000 dilution. The section was incubated with ab279653 for 60 mins at room temperature. The section was then mounted using Fluoromount®. The immunostaining was performed on a Leica Biosystems BOND® RX instrument. Image was taken with a confocal microscope (Leica-Microsystems, TCS SP8). Counterstained with DAPI. Secondary antibody only control : Goat Anti-Mouse IgG H&L (Alexa Fluor® 488) preadsorbed (ab150117) at 1/1000 dilution. Heat mediated antigen retrieval with Citrate buffer (pH 6.0, epitope retrieval solution1) for 40 mins.

Immunohistochemistry (Formalin/PFA-fixed paraffin-embedded sections) - Anti-Ki67 antibody [B56] - BSA and Azide free (AB279657)
  • IHC-P

Lab

Immunohistochemistry (Formalin/PFA-fixed paraffin-embedded sections) - Anti-Ki67 antibody [B56] - BSA and Azide free (AB279657)

This data was developed using ab279653, the same antibody clone in a different buffer formulation.

Immunohistochemical analysis of paraffin-embedded Rat stomach tissue labeling Ki67 with ab279653 at 1/1000 dilution. The section was incubated with ab279653 for 60 mins at room temperature. The section was then mounted using Fluoromount®. The immunostaining was performed on a Leica Biosystems BOND® RX instrument. Image was taken with a confocal microscope (Leica-Microsystems, TCS SP8). Counterstained with DAPI. Secondary antibody only control : Goat Anti-Mouse IgG H&L (Alexa Fluor® 488) preadsorbed (ab150117) at 1/1000 dilution. Heat mediated antigen retrieval with Citrate buffer (pH 6.0, epitope retrieval solution1) for 40 mins.

Immunohistochemistry (Formalin/PFA-fixed paraffin-embedded sections) - Anti-Ki67 antibody [B56] - BSA and Azide free (AB279657)
  • IHC-P

Supplier Data

Immunohistochemistry (Formalin/PFA-fixed paraffin-embedded sections) - Anti-Ki67 antibody [B56] - BSA and Azide free (AB279657)

This data was developed using ab279653 the same antibody clone in a different buffer formulation.

Immunohistochemical analysis of paraffin-embedded Rat colon tissue labeling Ki67 with ab279653 at 1/1000 dilution (0.936 ug/ml) followed by a ready to use LeicaDS9800 (Bond™ Polymer Refine Detection). Nuclear staining on rat colon. The section was incubated with ab279653 for 30 mins at room temperature and followed by mouse specific IgG antibody (ab125913) for 8 mins. The immunostaining was performed on a Leica Biosystems BOND® RX instrument. Counterstained with Hematoxylin.

Secondary antibody only control : Secondary antibody is a ready to use LeicaDS9800 (Bond™ Polymer Refine Detection).

Heat mediated antigen retrieval with Citrate buffer (pH 6.0, epitope retrieval solution 1) for 20 mins.

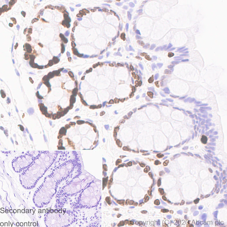
Immunohistochemistry (Formalin/PFA-fixed paraffin-embedded sections) - Anti-Ki67 antibody [B56] - BSA and Azide free (AB279657)
  • IHC-P

Supplier Data

Immunohistochemistry (Formalin/PFA-fixed paraffin-embedded sections) - Anti-Ki67 antibody [B56] - BSA and Azide free (AB279657)

This data was developed using ab279653 the same antibody clone in a different buffer formulation.

Immunohistochemical analysis of paraffin-embedded Mouse colon tissue labeling Ki67 with ab279653 at 1/1000 dilution (0.936 ug/ml) followed by a ready to use LeicaDS9800 (Bond™ Polymer Refine Detection). Nuclear staining on mouse colon. The section was incubated with ab279653 for 30 mins at room temperature and followed by mouse specific IgG antibody (ab125913) for 8 mins. The immunostaining was performed on a Leica Biosystems BOND® RX instrument. Counterstained with Hematoxylin.

Secondary antibody only control : Secondary antibody is a ready to use LeicaDS9800 (Bond™ Polymer Refine Detection).

Heat mediated antigen retrieval with Citrate buffer (pH 6.0, epitope retrieval solution 1) for 20 mins.

Immunohistochemistry (Formalin/PFA-fixed paraffin-embedded sections) - Anti-Ki67 antibody [B56] - BSA and Azide free (AB279657)
  • IHC-P

Lab

Immunohistochemistry (Formalin/PFA-fixed paraffin-embedded sections) - Anti-Ki67 antibody [B56] - BSA and Azide free (AB279657)

This data was developed using ab279653, the same antibody clone in a different buffer formulation.

Immunohistochemical analysis of paraffin-embedded Mouse cerebrum tissue labeling Ki67 with ab279653 at 1/1000 dilution. The section was incubated with ab279653 for 60 mins at room temperature. The section was then mounted using Fluoromount®. The immunostaining was performed on a Leica Biosystems BOND® RX instrument. Image was taken with a confocal microscope (Leica-Microsystems, TCS SP8). Counterstained with DAPI. Secondary antibody only control : Goat Anti-Mouse IgG H&L (Alexa Fluor® 488) preadsorbed (ab150117) at 1/1000 dilution. Heat mediated antigen retrieval with Citrate buffer (pH 6.0, epitope retrieval solution1) for 40 mins.

Key facts

Host species

Mouse

Clonality

Monoclonal

Clone number

B56

Isotype

IgG1

Light chain type

kappa

Carrier free

Yes

Reacts with

Mouse, Rat, Human

Applications

IHC-P, ICC/IF, Flow Cyt (Intra)

applications

Immunogen

The exact immunogen used to generate this antibody is proprietary information.

Reactivity data

{ "title": "Reactivity Data", "filters": { "stats": ["", "Species", "Dilution Info", "Notes"], "tabs": { "all-applications": {"fullname" : "All Applications", "shortname": "All Applications"}, "IHCP" : {"fullname" : "Immunohistochemistry (Formalin/PFA-fixed paraffin-embedded sections)", "shortname":"IHC-P"}, "ICCIF" : {"fullname" : "Immunocytochemistry/ Immunofluorescence", "shortname":"ICC/IF"}, "WB" : {"fullname" : "Western blot", "shortname":"WB"}, "FlowCytIntra" : {"fullname" : "Flow Cytometry (Intracellular)", "shortname":"Flow Cyt (Intra)"} }, "product-promise": { "all": "all", "testedAndGuaranteed": "tested", "guaranteed": "expected", "predicted": "predicted", "notRecommended": "not-recommended" } }, "values": { "Human": { "IHCP-species-checked": "testedAndGuaranteed", "IHCP-species-dilution-info": "", "IHCP-species-notes": "<p></p>", "ICCIF-species-checked": "testedAndGuaranteed", "ICCIF-species-dilution-info": "", "ICCIF-species-notes": "<p></p>", "WB-species-checked": "notRecommended", "WB-species-dilution-info": "", "WB-species-notes": "<p></p>", "FlowCytIntra-species-checked": "testedAndGuaranteed", "FlowCytIntra-species-dilution-info": "", "FlowCytIntra-species-notes": "<p></p>" }, "Mouse": { "IHCP-species-checked": "testedAndGuaranteed", "IHCP-species-dilution-info": "", "IHCP-species-notes": "<p></p>", "ICCIF-species-checked": "guaranteed", "ICCIF-species-dilution-info": "", "ICCIF-species-notes": "", "WB-species-checked": "notRecommended", "WB-species-dilution-info": "", "WB-species-notes": "<p></p>", "FlowCytIntra-species-checked": "guaranteed", "FlowCytIntra-species-dilution-info": "", "FlowCytIntra-species-notes": "" }, "Rat": { "IHCP-species-checked": "testedAndGuaranteed", "IHCP-species-dilution-info": "", "IHCP-species-notes": "<p></p>", "ICCIF-species-checked": "guaranteed", "ICCIF-species-dilution-info": "", "ICCIF-species-notes": "", "WB-species-checked": "notRecommended", "WB-species-dilution-info": "", "WB-species-notes": "<p></p>", "FlowCytIntra-species-checked": "guaranteed", "FlowCytIntra-species-dilution-info": "", "FlowCytIntra-species-notes": "" } } }

Product details

What is this antibody validated in?
Anti-Ki67 antibody [B56] - BSA and Azide free (ab279657) is a mouse recombinant monoclonal antibody and is validated for use in Flow Cytometry (Intra), Flow Cytometry (Flow Cyt), Immunohistochemistry (IHC-P), Immunocytochemistry/immunofluorescence (ICC/IF) in Human, Mouse, Rat samples.

Specificity confirmed
The specificity of Anti-Ki67 antibody [B56] - BSA and Azide free (ab279657) has been confirmed by Flow Cytometry testing in MKI67 Knockout HeLa cells.

Other related products
We have a range of other formats of antibody clone [B56] also available for your convenience: ab279653, Carrier free - ab279657, Alexa Fluor® 488 - ab283242, Alexa Fluor® 647 - ab283699

What are the advantages of a recombinant monoclonal antibody?
This product is a recombinant monoclonal antibody, which offers several advantages including:

  • - High batch-to-batch consistency and reproducibility
  • - Improved sensitivity and specificity
  • - Long-term security of supply
  • - Animal-free batch production

For more information, read more on recombinant antibodies.

Conjugation ready
Our carrier-free antibodies are typically supplied in a PBS-only formulation, purified and free of BSA, sodium azide and glycerol. This conjugation-ready format is designed for use with fluorochromes, metal isotopes, oligonucleotides, and enzymes, which makes them ideal for antibody labelling, functional and cell-based assays, flow-based assays (e.g. mass cytometry) and Multiplex Imaging applications.

Use our conjugation kits for antibody conjugates that are ready-to-use in as little as 20 minutes with 1 minute hands-on-time and 100% antibody recovery: available for fluorescent dyes, HRP, biotin and gold.

Compatibility
This product is compatible with the Maxpar® Antibody Labeling Kit from Fluidigm, without the need for antibody preparation. Maxpar® is a trademark of Fluidigm Canada Inc.

Properties and storage information

Form
Liquid
Purification technique
Affinity purification Protein A
Storage buffer
pH: 7.2 - 7.4 Constituents: PBS
Shipped at conditions
Blue Ice
Appropriate short-term storage conditions
+4°C
Appropriate long-term storage conditions
+4°C
Storage information
Do Not Freeze

Supplementary information

This supplementary information is collated from multiple sources and compiled automatically.

Ki67 is a nuclear protein often referred to as MKI67 with a molecular weight of approximately 345 kDa. This protein is strongly associated with cell proliferation. Scientists commonly use Ki67 staining techniques to identify and quantify proliferating cells in tissues. Ki67 is expressed in the nucleus during active cell cycle phases—G1 S G2 and M—but not in resting cells in G0 phase. It is detectable through methods such as Ki67 immunofluorescence and Ki67 flow cytometry which are important for analyzing cell division.
Biological function summary

The Ki67 protein plays an essential role in cellular proliferation processes. It does not form part of a stable complex but interacts transiently with other cell cycle-related proteins. Research indicates that Ki67 maintains the structure of the perichromosomal layer during mitosis impacting chromosome separation. It is particularly active in tissues with high cell turnover such as bone marrow and lymphoid organs.

Pathways

Ki67 influences several key cellular pathways that control cell proliferation and differentiation. The protein acts within the regulation of the cell cycle and the PI3K/AKT signaling pathway important for cell growth and survival. Within these pathways Ki67 interacts with proteins like cyclin-dependent kinases (CDKs) which regulate transitions between different phases of the cell cycle.

Ki67 has significant implications in oncology and can be used as a biomarker for cancer prognosis. Its expression levels help determine the aggressiveness of tumors especially in breast cancer and prostate cancer. High Ki67 levels correlate with poor prognosis as it indicates rapid cell division. In cancer Ki67 associates with p53 a protein that regulates the cell cycle and function as a tumor suppressor.

Product protocols

For this product, it's our understanding that no specific protocols are required. You can visit:

Target data

The protein expressed by the MKI67 gene is required to maintain individual mitotic chromosomes dispersed in the cytoplasm following nuclear envelope disassembly and associates with the surface of the mitotic chromosome, specifically the perichromosomal layer, covering a significant portion of the chromosome surface (PubMed : 27362226). It prevents chromosomes from collapsing into a single chromatin mass by creating a steric and electrostatic charge barrier due to its high net electrical charge, acting as a surfactant that disperses chromosomes and enables their independent motility (PubMed : 27362226). The protein binds DNA, with a preference for supercoiled and AT-rich DNA (PubMed : 10878551), and may play a role in chromatin organization, though it is unclear if it directly influences chromatin organization or if this is an indirect result of its function in maintaining dispersed mitotic chromosomes (Probable, PubMed : 24867636). This supplementary information is collated from multiple sources and compiled automatically.
See full target information MKI67

Publications (6)

Recent publications for all applications. Explore the full list and refine your search

Nature immunology 26:1182-1197 PubMed40588561

2025

Chemosensor receptors are lipid-detecting regulators of macrophage function in cancer.

Applications

Unspecified application

Species

Unspecified reactive species

Giulia Marelli,Nicolò Morina,Simone Puccio,Marta Iovino,Marta Pandini,Federica Portale,Mattia Carvetta,Divya Mishra,Elisabetta Diana,Greta Meregalli,Elvezia Paraboschi,Javier Cibella,Clelia Peano,Gianluca Basso,Gabriele De Simone,Chiara Camisaschi,Elena Magrini,Giulio Sartori,Elham Karimi,Piergiuseppe Colombo,Massimo Lazzeri,Paolo Casale,Lavinia Morosi,Giuseppe Martano,Rosanna Asselta,Eduardo Bonavita,Hiro Matsunami,Francesco Bertoni,Logan Walsh,Enrico Lugli,Diletta Di Mitri

Nature 629:426-434 PubMed38658764

2024

PGE inhibits TIL expansion by disrupting IL-2 signalling and mitochondrial function.

Applications

Unspecified application

Species

Unspecified reactive species

Matteo Morotti,Alizee J Grimm,Helen Carrasco Hope,Marion Arnaud,Mathieu Desbuisson,Nicolas Rayroux,David Barras,Maria Masid,Baptiste Murgues,Bovannak S Chap,Marco Ongaro,Ioanna A Rota,Catherine Ronet,Aspram Minasyan,Johanna Chiffelle,Sebastian B Lacher,Sara Bobisse,Clément Murgues,Eleonora Ghisoni,Khaoula Ouchen,Ribal Bou Mjahed,Fabrizio Benedetti,Naoill Abdellaoui,Riccardo Turrini,Philippe O Gannon,Khalil Zaman,Patrice Mathevet,Loic Lelievre,Isaac Crespo,Marcus Conrad,Gregory Verdeil,Lana E Kandalaft,Julien Dagher,Jesus Corria-Osorio,Marie-Agnes Doucey,Ping-Chih Ho,Alexandre Harari,Nicola Vannini,Jan P Böttcher,Denarda Dangaj Laniti,George Coukos

Cancer immunology, immunotherapy : CII 72:4441-4456 PubMed37919522

2023

Cholesterol induction in CD8 T cell exhaustion in colorectal cancer via the regulation of endoplasmic reticulum-mitochondria contact sites.

Applications

Unspecified application

Species

Unspecified reactive species

Han Shuwen,Wu Yinhang,Zhuang Jing,Yan Qiang,Jiang Yizhen,Qi Quan,Jin Yin,Liu Jiang,Yang Xi

Reproductive biology and endocrinology : RB&E 21:49 PubMed37208699

2023

Artificial ovaries constructed from biodegradable chitin-based hydrogels with the ability to restore ovarian endocrine function and alleviate osteoporosis in ovariectomized mice.

Applications

Unspecified application

Species

Unspecified reactive species

Du Xiang,Encheng Zhou,Mei Wang,Kan Wang,Shujun Zhou,Qing Ma,Zibiao Zhong,Qifa Ye,Yun Chen,Xiaoli Fan,Yanfeng Wang

Veterinary medicine and science 9:1426-1437 PubMed36920334

2023

Evaluation of the in vitro and in vivo effect of liposomal doxorubicin along with oncolytic Newcastle disease virus on 4T1 cell line: Animal preclinical research.

Applications

Unspecified application

Species

Unspecified reactive species

Pooya Faranoush,Alireza Jahandideh,Reza Nekouian,Pejman Mortazavi

Cancer medicine 10:7475-7491 PubMed34626092

2021

Positive electrostatic therapy of metastatic tumors: selective induction of apoptosis in cancer cells by pure charges.

Applications

Unspecified application

Species

Unspecified reactive species

Ashkan Zandi,Saeid Rafizadeh-Tafti,Fatemeh Shojaeian,Mohammad Ali Khayamian,Fereshteh Abbasvandi,Mohammad Faranoush,Robab Anbiaee,Sahar Najafikhoshnoo,Parisa Hoseinpour,Sepanta Assadi,Pouyan Katebi,Zahra Davari Sh,Shahriar Shalileh,Mohammad Salemizadeh Parizi,Shohreh Vanaei,Mohammadreza Ghaderinia,Hamed Abadijoo,Payam Taheri,Mohammad Reza Esmailinejad,Hassan Sanati,Mohammad Reza Rostami,Reza Sadeghian,Yasin Kordehlachin,S M Sadegh Mousavi-Kiasary,Amir Mamdouh,Seyyed Hossein Miraghaie,Hossein Baharvand,Mohammad Abdolahad
View all publications

Product promise

We are committed to supporting your work with high-quality reagents, and we're here for you every step of the way. In the unlikely event that one of our products does not perform as expected, you're protected by our Product Promise.
For full details, please see our Terms & Conditions

Please note: All products are 'FOR RESEARCH USE ONLY. NOT FOR USE IN DIAGNOSTIC OR THERAPEUTIC PROCEDURES'.

For licensing inquiries, please contact partnerships@abcam.com