JavaScript is disabled in your browser. Please enable JavaScript to view this website.
AB231172

Anti-Ki67 antibody [SP6] - BSA free

  • 20ul selling size
  • RabMAb
  • Advanced Validation
  • Recombinant
  • KO Validated
  • What is this?

4

(1 Review)

|

(22 Publications)

Anti-Ki67 antibody [SP6] - BSA free (ab231172) is a rabbit monoclonal antibody detecting Ki67 in Western Blot, Flow Cytometry (Intra), Flow Cytometry, IHC-P, ICC/IF, mIHC. Suitable for Human, Mouse, Rat.

- Clone SP6 is the most cited clone to Ki67
- KO validated for confirmed specificity
- BSA free for higher signal-to noise ratio
- Multiplex IHC validated on the Leica BOND® MAX using Opal reagents

View Alternative Names

Proliferation marker protein Ki-67, Antigen identified by monoclonal antibody Ki-67, Antigen KI-67, Antigen Ki67, MKI67

10 Images
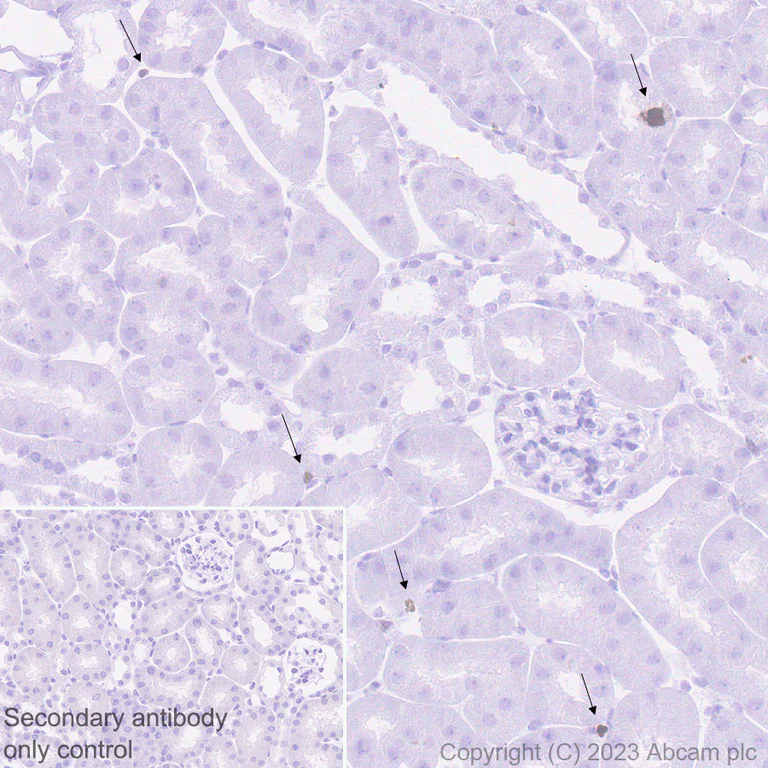
Immunohistochemistry (Formalin/PFA-fixed paraffin-embedded sections) - Anti-Ki67 antibody [SP6] - BSA free (AB231172)
  • IHC-P

Lab

Immunohistochemistry (Formalin/PFA-fixed paraffin-embedded sections) - Anti-Ki67 antibody [SP6] - BSA free (AB231172)

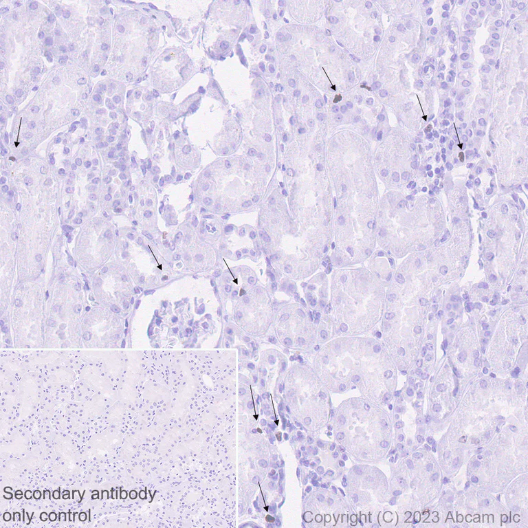
This data was developed using the same antibody clone in a different buffer formulation (ab16667). Immunohistochemical analysis of paraffin-embedded Human kidney tissue labeling Ki67 with ab16667 at 1/200 (0.145 µg/ml) followed by a ready to use LGoat Anti-Rabbit IgG H&L (HRP polymer) secondary antibody (ab214880). Low expression : positive staining only on proliferating cells (arrow) of human kidney. The section was incubated with ab16667 at 4°C overnight and counterstained with Hematoxylin. Secondary antibody only control : Secondary antibody is a ready to use Goat Anti-Rabbit IgG H&L (HRP polymer) (ab214880). Heat mediated antigen retrieval was performed using ab93678 (citrate buffer, pH 6.0).

Immunohistochemistry (Formalin/PFA-fixed paraffin-embedded sections) - Anti-Ki67 antibody [SP6] - BSA free (AB231172)
  • IHC-P

Lab

Immunohistochemistry (Formalin/PFA-fixed paraffin-embedded sections) - Anti-Ki67 antibody [SP6] - BSA free (AB231172)

This data was developed using the same antibody clone in a different buffer formulation (ab16667). Immunohistochemical analysis of paraffin-embedded Human liver tissue labeling Ki67 with ab16667 at 1/200 (0.145 µg/ml) followed by a ready to use LGoat Anti-Rabbit IgG H&L (HRP polymer) secondary antibody (ab214880). Low expression : positive staining only on proliferating cells (arrow) of human liver. The section was incubated with ab16667 at 4°C overnight and counterstained with Hematoxylin. Secondary antibody only control : Secondary antibody is a ready to use Goat Anti-Rabbit IgG H&L (HRP polymer) (ab214880). Heat mediated antigen retrieval was performed using ab93678 (citrate buffer, pH 6.0).

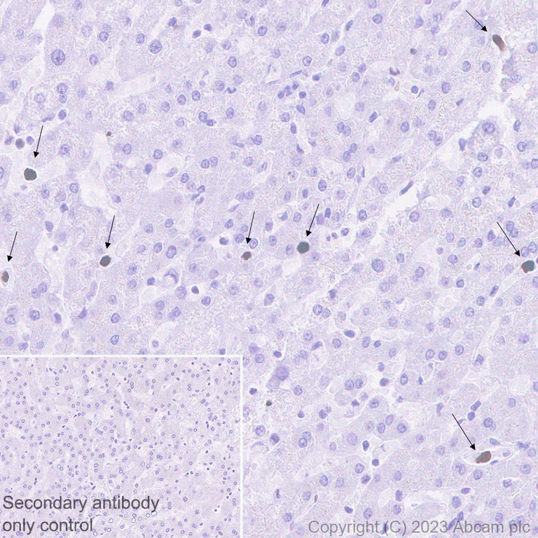
Immunohistochemistry (Formalin/PFA-fixed paraffin-embedded sections) - Anti-Ki67 antibody [SP6] - BSA free (AB231172)
  • IHC-P

Lab

Immunohistochemistry (Formalin/PFA-fixed paraffin-embedded sections) - Anti-Ki67 antibody [SP6] - BSA free (AB231172)

This data was developed using the same antibody clone in a different buffer formulation (ab16667). IHC image of ab16667 staining Ki67 in a section of formalin-fixed paraffin-embedded Human colon carcinoma tissue. The section incubated with ab16667 at 1/200 (0.145 μg/ml) dilution and ready to use Goat Anti-Rabbit IgG H&L (HRP polymer) (ab214880) was used as secondary antobody. Positive staining on human colon carcinoma. The section was incubated with ab16667 at 4°C overnight. The section was counterstained with haematoxylin. Heat mediated antigen retrieval was performed using ab93678 (citrate buffer, pH 6.0).

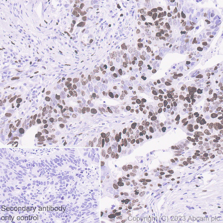
Immunohistochemistry (Formalin/PFA-fixed paraffin-embedded sections) - Anti-Ki67 antibody [SP6] - BSA free (AB231172)
  • IHC-P

Supplier Data

Immunohistochemistry (Formalin/PFA-fixed paraffin-embedded sections) - Anti-Ki67 antibody [SP6] - BSA free (AB231172)

Tissue Microarrays stained for "Anti-Ki67 antibody [SP6]” using "ab16667" at 1/200 dilution (0.145 μg/ml) in immunohistochemical analysis. This table provides a detailed overview of positive (tick mark) and negative (cross mark) staining per sample type tested. The sections were pre-treated using Heat mediated antigen retrieval using ab93678 (citrate buffer, pH 6.0). The sections were incubated with ab16667 at +4°C overnight followed by a ready to use Goat Anti-Rabbit IgG H&L (HRP polymer) (ab214880). Hematoxylin was used as the counter stain. This data was developed using the same antibody clone in a different buffer formulation (ab16667).

Immunohistochemistry (Formalin/PFA-fixed paraffin-embedded sections) - Anti-Ki67 antibody [SP6] - BSA free (AB231172)
  • IHC-P

Lab

Immunohistochemistry (Formalin/PFA-fixed paraffin-embedded sections) - Anti-Ki67 antibody [SP6] - BSA free (AB231172)

This data was developed using the same antibody clone in a different buffer formulation (ab16667). Immunohistochemical analysis of paraffin-embedded Mouse liver tissue labeling Ki67 with ab16667 at 1/200 (0.145 µg/ml) followed by a ready to use LGoat Anti-Rabbit IgG H&L (HRP polymer) secondary antibody (ab214880). Low expression : positive staining only on proliferating cells (arrow) of mouse liver. The section was incubated with ab16667 at 4°C overnight and counterstained with Hematoxylin. Secondary antibody only control : Secondary antibody is a ready to use Goat Anti-Rabbit IgG H&L (HRP polymer) (ab214880). Heat mediated antigen retrieval was performed using ab93678 (citrate buffer, pH 6.0).

Immunohistochemistry (Formalin/PFA-fixed paraffin-embedded sections) - Anti-Ki67 antibody [SP6] - BSA free (AB231172)
  • IHC-P

Lab

Immunohistochemistry (Formalin/PFA-fixed paraffin-embedded sections) - Anti-Ki67 antibody [SP6] - BSA free (AB231172)

This data was developed using the same antibody clone in a different buffer formulation (ab16667). Immunohistochemical analysis of paraffin-embedded Mouse kidney tissue labeling Ki67 with ab16667 at 1/200 (0.145 µg/ml) followed by a ready to use LGoat Anti-Rabbit IgG H&L (HRP polymer) secondary antibody (ab214880). Low expression : positive staining only on proliferating cells (arrow) of mouse kidney. The section was incubated with ab16667 at 4°C overnight and counterstained with Hematoxylin. Secondary antibody only control : Secondary antibody is a ready to use Goat Anti-Rabbit IgG H&L (HRP polymer) (ab214880). Heat mediated antigen retrieval was performed using ab93678 (citrate buffer, pH 6.0).

Western blot - Anti-Ki67 antibody [SP6] - BSA free (AB231172)
  • WB

Lab

Western blot - Anti-Ki67 antibody [SP6] - BSA free (AB231172)

This data was developed using the same antibody clone in a different buffer formulation (ab16667).

Lanes 1-3 : Merged signal (red and green). Green - ab16667 observed at 359 kDa. Red - loading control, ab130007 observed at 125 kDa.

ab16667 was shown to react with Ki67 in wild-type HeLa. Loss of signal was observed when knockout sample ab263762 was used. Wild-type and Ki67 knockout samples were subjected to SDS-PAGE. ab16667 and Anti-Vinculin antibody VIN-54] (ab130007) were incubated overnight at 4°C at 1 in 100 dilution and 1 in 20000 dilution respectively. Blots were developed with Goat anti-Rabbit IgG H&L (IRDye® 800CW) preadsorbed (ab216773) and Goat anti-Mouse IgG H&L (IRDye® 680RD) preadsorbed (ab216776) secondary antibodies at 1 in 20000 dilution for 1 hour at room temperature before imaging.

All lanes:

Western blot - Anti-Ki67 antibody [SP6] (<a href='/en-us/products/primary-antibodies/ki67-antibody-sp6-ab16667'>ab16667</a>) at 1/100 dilution

Lane 1:

Ramos cell lysate at 20 µg

Lane 2:

Wild-type HeLa cell lysate at 20 µg

Lane 3:

Western blot - Human MKI67 (Ki67) knockout HeLa cell line (<a href='/en-us/products/cell-lines/human-mki67-ki67-knockout-hela-cell-line-ab255407'>ab255407</a>) at 20 µg

Lane 3:

Western blot - Human MKI67 (Ki67) knockout HeLa cell lysate (<a href='/en-us/products/cell-lysates/human-mki67-ki67-knockout-hela-cell-lysate-ab263762'>ab263762</a>) at 20 µg

Secondary

All lanes:

Western blot - Goat anti-Rabbit IgG H&L (IRDye® 800CW) preadsorbed (<a href='/en-us/products/secondary-antibodies/goat-rabbit-igg-h-l-irdye-800cw-preadsorbed-ab216773'>ab216773</a>) at 1/20000 dilution

Predicted band size: 358 kDa

Observed band size: 124 kDa,359 kDa

false

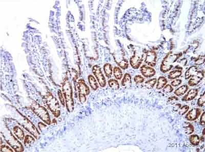
Immunohistochemistry (Formalin/PFA-fixed paraffin-embedded sections) - Anti-Ki67 antibody [SP6] - BSA free (AB231172)
  • IHC-P

AbReview23437****

Immunohistochemistry (Formalin/PFA-fixed paraffin-embedded sections) - Anti-Ki67 antibody [SP6] - BSA free (AB231172)

This data was developed using the same antibody clone in a different buffer formulation (ab16667).

ab16667 staining Ki67 in rat small intestine tissue by Immunohistochemistry (Formalin/PFA-fixed paraffin-embedded sections). Tissue was fixed with formaldehyde and a heat mediated antigen retrieval step was performed using 10 mM citrate buffer pH 6.0. Samples were then blocked with 10% serum for 20 minutes at room temperature followed by incubation with the undiluted primary antibody for 30 minutes. A biotin-conjugated goat anti-rabbit polyclonal was used as secondary antibody at a 1/2000 dilution.

This image was generated from the hybridoma version.

Image courtesy of Jing Ma by Abreview.

Immunocytochemistry/ Immunofluorescence - Anti-Ki67 antibody [SP6] - BSA free (AB231172)
  • ICC/IF

Lab

Immunocytochemistry/ Immunofluorescence - Anti-Ki67 antibody [SP6] - BSA free (AB231172)

This data was developed using the same antibody clone in a different buffer formulation (ab16667).

ab16667 staining Ki67 in wild-type HAP1 cells (top panel) and Ki67 knockout HAP1 cells (bottom panel). The cells were fixed with 100% methanol for 5 minutes, permeabilized with 0.1% Triton X-100 for 5 minutes and then blocked with 1% BSA/10% normal goat serum/0.3M glycine in 0.1% PBS-Tween for 1 hour. The cells were then incubated with ab16667 at 1/250 dilution and ab195889 at 1/250 dilution (shown in pseudo colour red) overnight at +4°C, followed by a further incubation at room temperature for 1 hour with Goat Anti-Rabbit IgG H&L (Alexa Fluor® 488) preadsorbed (ab150081) secondary antibody at 2 μg/ml (shown in green). Nuclear DNA was labelled in blue with DAPI.

Flow Cytometry (Intracellular) - Anti-Ki67 antibody [SP6] - BSA free (AB231172)
  • Flow Cyt (Intra)

Lab

Flow Cytometry (Intracellular) - Anti-Ki67 antibody [SP6] - BSA free (AB231172)

This data was developed using the same antibody clone in a different buffer formulation (ab16667).

Overlay histogram showing HAP1 wildtype (green line) and HAP1-MKI67 knockout cells (red line) stained with ab16667. The cells were fixed with 80% methanol (5 min) and then permeabilized with 0.1% PBS-Triton X-100 for 15 min. The cells were then incubated in 1x PBS / 10% normal goat serum to block non-specific protein-protein interactions followed by the antibody (ab16667, 1/1000) for 30 min at 22°C. The secondary antibody used wasGoat Anti-Rabbit IgG H&L (Alexa Fluor®488) preadsorbed (ab150081) secondary antibodyat 1/2000 dilution for 30 min at 22°C. A Rabbit IgG isotype control antibody (ab172730) was used at the same concentration and conditions as the primary antibody (HAP1 wildtype - black line, HAP1-MKI67 knockout - grey line). Unlabelled sample was also used as a control (this line is not shown for the purpose of simplicity). Acquisition of >5,000 events were collected using a 50 mW Blue laser (488nm) and 530/30 bandpass filter. This image was generated from the hybridoma version.

  • 665 Alexa Fluor® 647

    Alexa Fluor® 647 Anti-Ki67 antibody [SP6]

  • Carrier free

    Anti-Ki67 antibody [SP6] - BSA and Azide free

  • Unconjugated

    Anti-Ki67 antibody [SP6]

  • Carrier free

    Anti-Ki67 [SP6] – Chicken IgY (Chimeric) – BSA and Azide Free

  • 578 PE

    PE Anti-Ki67 antibody [SP6]

  • 519 Alexa Fluor® 488

    Alexa Fluor® 488 Anti-Ki67 antibody [SP6]

  • 660 APC

    APC Anti-Ki67 antibody [SP6]

Key facts

Host species

Rabbit

Clonality

Monoclonal

Clone number

SP6

Isotype

IgG

Carrier free

No

Reacts with

Mouse, Rat, Human

Applications

Flow Cyt (Intra), WB, ICC/IF, mIHC, IHC-P

applications

Immunogen

The exact immunogen used to generate this antibody is proprietary information.

Epitope

C-terminus

Reactivity data

{ "title": "Reactivity Data", "filters": { "stats": ["", "Species", "Dilution Info", "Notes"], "tabs": { "all-applications": {"fullname" : "All Applications", "shortname": "All Applications"}, "mIHC" : {"fullname" : "Multiplex immunohistochemistry", "shortname":"mIHC"}, "ICCIF" : {"fullname" : "Immunocytochemistry/ Immunofluorescence", "shortname":"ICC/IF"}, "WB" : {"fullname" : "Western blot", "shortname":"WB"}, "IHCP" : {"fullname" : "Immunohistochemistry (Formalin/PFA-fixed paraffin-embedded sections)", "shortname":"IHC-P"}, "FlowCytIntra" : {"fullname" : "Flow Cytometry (Intracellular)", "shortname":"Flow Cyt (Intra)"} }, "product-promise": { "all": "all", "testedAndGuaranteed": "tested", "guaranteed": "expected", "predicted": "predicted", "notRecommended": "not-recommended" } }, "values": { "Human": { "mIHC-species-checked": "testedAndGuaranteed", "mIHC-species-dilution-info": "", "mIHC-species-notes": "<p></p> Perform heat-mediated antigen retrieval with citrate buffer pH 6 before commencing with IHC staining protocol.", "ICCIF-species-checked": "testedAndGuaranteed", "ICCIF-species-dilution-info": "", "ICCIF-species-notes": "<p>Use at an assay dependent concentration.</p><p>If fixing cells in 4% PFA (20 min, room temp), it is recommended to permeabilized cells with 0.1% Triton-X for 5 min.</p>", "WB-species-checked": "testedAndGuaranteed", "WB-species-dilution-info": "", "WB-species-notes": "<p></p>", "IHCP-species-checked": "testedAndGuaranteed", "IHCP-species-dilution-info": "", "IHCP-species-notes": "<p>Use at an assay dependent concentration.</p><p>Antigen retrieval: heat mediated antigen retrieval with sodium citrate buffer (pH 6)</p>", "FlowCytIntra-species-checked": "testedAndGuaranteed", "FlowCytIntra-species-dilution-info": "", "FlowCytIntra-species-notes": "<p><a href='/en-us/products/primary-antibodies/rabbit-igg-monoclonal-epr25a-isotype-control-ab172730'>ab172730</a>, Rabbit monoclonal isotype, is suitable for use as an isotype control with this antibody.</p>" }, "Mouse": { "mIHC-species-checked": "guaranteed", "mIHC-species-dilution-info": "", "mIHC-species-notes": "", "ICCIF-species-checked": "guaranteed", "ICCIF-species-dilution-info": "", "ICCIF-species-notes": "", "WB-species-checked": "guaranteed", "WB-species-dilution-info": "", "WB-species-notes": "", "IHCP-species-checked": "testedAndGuaranteed", "IHCP-species-dilution-info": "", "IHCP-species-notes": "<p>Use at an assay dependent concentration.</p><p>Antigen retrieval: heat mediated antigen retrieval with sodium citrate buffer (pH 6)</p>", "FlowCytIntra-species-checked": "guaranteed", "FlowCytIntra-species-dilution-info": "", "FlowCytIntra-species-notes": "" }, "Rat": { "mIHC-species-checked": "guaranteed", "mIHC-species-dilution-info": "", "mIHC-species-notes": "", "ICCIF-species-checked": "guaranteed", "ICCIF-species-dilution-info": "", "ICCIF-species-notes": "", "WB-species-checked": "guaranteed", "WB-species-dilution-info": "", "WB-species-notes": "", "IHCP-species-checked": "testedAndGuaranteed", "IHCP-species-dilution-info": "", "IHCP-species-notes": "<p>Use at an assay dependent concentration.</p><p>Antigen retrieval: heat mediated antigen retrieval with sodium citrate buffer (pH 6)</p>", "FlowCytIntra-species-checked": "guaranteed", "FlowCytIntra-species-dilution-info": "", "FlowCytIntra-species-notes": "" }, "Common marmoset": { "mIHC-species-checked": "predicted", "mIHC-species-dilution-info": "", "mIHC-species-notes": "", "ICCIF-species-checked": "predicted", "ICCIF-species-dilution-info": "", "ICCIF-species-notes": "", "WB-species-checked": "predicted", "WB-species-dilution-info": "", "WB-species-notes": "", "IHCP-species-checked": "predicted", "IHCP-species-dilution-info": "", "IHCP-species-notes": "", "FlowCytIntra-species-checked": "predicted", "FlowCytIntra-species-dilution-info": "", "FlowCytIntra-species-notes": "" } } }

You may be interested in:

AB253221

Human Ki67 ELISA Kit

0

0 Reviews

View product

We recommend this product because it’s often used in the same experiment or related research.

We advise that you always check the datasheet to ensure it fits your experiments, or contact ourtechnical teamfor help.

Product details

Properties and storage information

Form
Liquid
Purification technique
Affinity purification
Storage buffer
pH: 7.2 - 7.4 Preservative: 0.02% Sodium azide Constituents: PBS
Shipped at conditions
Blue Ice
Appropriate short-term storage conditions
+4°C
Appropriate long-term storage conditions
+4°C
Storage information
Do Not Freeze

Supplementary information

This supplementary information is collated from multiple sources and compiled automatically.

Ki67 is a nuclear protein often referred to as MKI67 with a molecular weight of approximately 345 kDa. This protein is strongly associated with cell proliferation. Scientists commonly use Ki67 staining techniques to identify and quantify proliferating cells in tissues. Ki67 is expressed in the nucleus during active cell cycle phases—G1 S G2 and M—but not in resting cells in G0 phase. It is detectable through methods such as Ki67 immunofluorescence and Ki67 flow cytometry which are important for analyzing cell division.
Biological function summary

The Ki67 protein plays an essential role in cellular proliferation processes. It does not form part of a stable complex but interacts transiently with other cell cycle-related proteins. Research indicates that Ki67 maintains the structure of the perichromosomal layer during mitosis impacting chromosome separation. It is particularly active in tissues with high cell turnover such as bone marrow and lymphoid organs.

Pathways

Ki67 influences several key cellular pathways that control cell proliferation and differentiation. The protein acts within the regulation of the cell cycle and the PI3K/AKT signaling pathway important for cell growth and survival. Within these pathways Ki67 interacts with proteins like cyclin-dependent kinases (CDKs) which regulate transitions between different phases of the cell cycle.

Ki67 has significant implications in oncology and can be used as a biomarker for cancer prognosis. Its expression levels help determine the aggressiveness of tumors especially in breast cancer and prostate cancer. High Ki67 levels correlate with poor prognosis as it indicates rapid cell division. In cancer Ki67 associates with p53 a protein that regulates the cell cycle and function as a tumor suppressor.

Product protocols

For this product, it's our understanding that no specific protocols are required. You can visit:

Target data

The protein expressed by the MKI67 gene is required to maintain individual mitotic chromosomes dispersed in the cytoplasm following nuclear envelope disassembly and associates with the surface of the mitotic chromosome, specifically the perichromosomal layer, covering a significant portion of the chromosome surface (PubMed : 27362226). It prevents chromosomes from collapsing into a single chromatin mass by creating a steric and electrostatic charge barrier due to its high net electrical charge, acting as a surfactant that disperses chromosomes and enables their independent motility (PubMed : 27362226). The protein binds DNA, with a preference for supercoiled and AT-rich DNA (PubMed : 10878551), and may play a role in chromatin organization, though it is unclear if it directly influences chromatin organization or if this is an indirect result of its function in maintaining dispersed mitotic chromosomes (Probable, PubMed : 24867636). This supplementary information is collated from multiple sources and compiled automatically.
See full target information MKI67

Publications (22)

Recent publications for all applications. Explore the full list and refine your search

Nature medicine 29:2939-2953 PubMed37903863

2023

An integrated gene-to-outcome multimodal database for metabolic dysfunction-associated steatotic liver disease.

Applications

Unspecified application

Species

Unspecified reactive species

Timothy J Kendall,Maria Jimenez-Ramos,Frances Turner,Prakash Ramachandran,Jessica Minnier,Michael D McColgan,Masood Alam,Harriet Ellis,Donald R Dunbar,Gabriele Kohnen,Prakash Konanahalli,Karin A Oien,Lucia Bandiera,Filippo Menolascina,Anna Juncker-Jensen,Douglas Alexander,Charlie Mayor,Indra Neil Guha,Jonathan A Fallowfield

Nature communications 13:6203 PubMed36261437

2022

Remodelling of tumour microenvironment by microwave ablation potentiates immunotherapy of AXL-specific CAR T cells against non-small cell lung cancer.

Applications

Unspecified application

Species

Unspecified reactive species

Bihui Cao,Manting Liu,Lu Wang,Kangshun Zhu,Mingyue Cai,Xiaopei Chen,Yunfei Feng,Shuo Yang,Shengyu Fu,Cheng Zhi,Xiaodie Ye,Jian Zhang,Zhiru Zhang,Xin Yang,Ming Zhao,Qingde Wu,Linfeng Xu,Lili Yang,Hui Lian,Qi Zhao,Zhenfeng Zhang

Journal of oncology 2022:8071343 PubMed36276285

2022

miR-193a-5p Enhances the Radioresistance of Pancreatic Cancer Cells by Targeting ZFP57 and Activating the Wnt Pathway.

Applications

Unspecified application

Species

Unspecified reactive species

Lulu Tan,Zhihua Chen

Journal of clinical laboratory analysis 36:e24348 PubMed35312113

2022

CircRNA hsa_circ_0018289 exerts an oncogenic role in cervical cancer progression through miR-1294/ICMT axis.

Applications

Unspecified application

Species

Unspecified reactive species

Yujuan Li,Xiangrong Gao,Chaochao Yang,Hua Yan,Cui Li

Annals of translational medicine 10:181 PubMed35280358

2022

CMTM6 knockdown prevents glioma progression by inactivating the mTOR pathway.

Applications

Unspecified application

Species

Unspecified reactive species

Li Wei,Qianfeng Wei,Xiaojun Yang,Peng Zhou

International journal of genomics 2021:3997045 PubMed34901263

2021

circHUWE1 Exerts an Oncogenic Role in Inducing DDP-Resistant NSCLC Progression Depending on the Regulation of miR-34a-5p/TNFAIP8.

Applications

Unspecified application

Species

Unspecified reactive species

Xueliang Yang,Quan Sun,Yongming Song,Wenli Li

BMC cancer 21:1090 PubMed34627193

2021

CircCDC45 promotes the malignant progression of glioblastoma by modulating the miR-485-5p/CSF-1 axis.

Applications

Unspecified application

Species

Unspecified reactive species

Rongcai Liu,Weimin Dai,An Wu,Yunping Li

Oncology letters 22:797 PubMed34584572

2021

Targeting Mps1 in combination with paclitaxel inhibits osteosarcoma progression by modulating spindle assembly checkpoint and Akt/mTOR signaling.

Applications

Unspecified application

Species

Unspecified reactive species

Lu Lu,Yuhai Wang,Jian Chen,Ye Li,Qingyang Liang,Feng Li,Chuanchuan Zhen,Kegong Xie

Cell death & disease 12:580 PubMed34091587

2021

LncRNA LINC00473 is involved in the progression of invasive pituitary adenoma by upregulating KMT5A via ceRNA-mediated miR-502-3p evasion.

Applications

Unspecified application

Species

Unspecified reactive species

Junjun Li,Yuan Qian,Chao Zhang,Wei Wang,Yisheng Qiao,Hao Song,Liyan Li,Jiazhi Guo,Di Lu,Xingli Deng

IUBMB life 73:159-176 PubMed33220169

2020

Circ_0109046 promotes the malignancy of endometrial carcinoma cells through the microRNA-105/SOX9/Wnt/β-catenin axis.

Applications

Unspecified application

Species

Unspecified reactive species

Yanyan Li,Jinyu Liu,Jinxia Piao,Jian Ou,Xiaoyan Zhu
View all publications

Product promise

We are committed to supporting your work with high-quality reagents, and we're here for you every step of the way. In the unlikely event that one of our products does not perform as expected, you're protected by our Product Promise.
For full details, please see our Terms & Conditions

Associated Products

Select an associated product type
Alternative Product
Primary Antibodies

AB196907

Alexa Fluor® 647 Anti-Ki67 antibody [EPR3610]

primary-antibodies

alexa-fluor-647-ki67-antibody-epr3610-ab196907

5

(1 reviews)

Alternative Product
Primary Antibodies

AB197234

Alexa Fluor® 488 Anti-Ki67 antibody [EPR3610]

primary-antibodies

alexa-fluor-488-ki67-antibody-epr3610-ab197234

5

(2 reviews)

Alternative Product
Primary Antibodies

AB216709

Alexa Fluor® 594 Anti-Ki67 antibody [EPR3610]

primary-antibodies

alexa-fluor-594-ki67-antibody-epr3610-ab216709

0

(0 reviews)

Alternative Product
Primary Antibodies

AB215226

Alexa Fluor® 555 Anti-Ki67 antibody [EPR3610]

primary-antibodies

alexa-fluor-555-ki67-antibody-epr3610-ab215226

0

(0 reviews)

Alternative Product
Primary Antibodies

AB211968

Alexa Fluor® 568 Anti-Ki67 antibody [EPR3610]

primary-antibodies

alexa-fluor-568-ki67-antibody-epr3610-ab211968

0

(0 reviews)

Alternative Product
Primary Antibodies

AB92742

Anti-Ki67 antibody [EPR3610]

primary-antibodies

ki67-antibody-epr3610-ab92742

5

(12 reviews)

Alternative Product
Primary Antibodies

AB209897

Anti-Ki67 antibody [EPR3610] - BSA and Azide free

primary-antibodies

ki67-antibody-epr3610-bsa-and-azide-free-ab209897

5

(1 reviews)

Alternative Version
Primary Antibodies

AB21700

Anti-Ki67 antibody [SP6], prediluted

primary-antibodies

ki67-antibody-sp6-prediluted-ab21700

5

(3 reviews)

Alternative Version
Primary Antibodies

AB282173

PE Anti-Ki67 antibody [SP6]

primary-antibodies

pe-ki67-antibody-sp6-ab282173

0

(0 reviews)

Alternative Version
Primary Antibodies

AB281847

Alexa Fluor® 488 Anti-Ki67 antibody [SP6]

primary-antibodies

alexa-fluor-488-ki67-antibody-sp6-ab281847

5

(1 reviews)

Alternative Version
Primary Antibodies

AB314285

APC Anti-Ki67 antibody [SP6]

primary-antibodies

apc-ki67-antibody-sp6-ab314285

0

(0 reviews)

Please note: All products are 'FOR RESEARCH USE ONLY. NOT FOR USE IN DIAGNOSTIC OR THERAPEUTIC PROCEDURES'.

For licensing inquiries, please contact partnerships@abcam.com