JavaScript is disabled in your browser. Please enable JavaScript to view this website.
AB71155

Anti-KIF14 antibody

Be the first to review this product! Submit a review

|

(7 Publications)

Rabbit Polyclonal KIF14 antibody. Suitable for IP, WB, ICC/IF, IHC-P and reacts with Human samples. Cited in 7 publications. Immunogen corresponding to Synthetic Peptide within Human KIF14.

View Alternative Names

KIAA0042, KIF14, Kinesin-like protein KIF14

4 Images
Western blot - Anti-KIF14 antibody (AB71155)
  • WB

Unknown

Western blot - Anti-KIF14 antibody (AB71155)

All lanes:

Western blot - Anti-KIF14 antibody (ab71155) at 0.04 µg/mL

Lane 1:

Whole cell lysate from Hela cells at 50 µg

Lane 2:

Whole cell lysate from Hela cells at 15 µg

Lane 3:

Whole cell lysate from Hela cells at 5 µg

Lane 4:

Whole cell lysate from 293T cells at 50 µg

Predicted band size: 186 kDa

Observed band size: 180 kDa,190 kDa,210 kDa,60 kDa,75 kDa

false

Immunohistochemistry (Formalin/PFA-fixed paraffin-embedded sections) - Anti-KIF14 antibody (AB71155)
  • IHC-P

Unknown

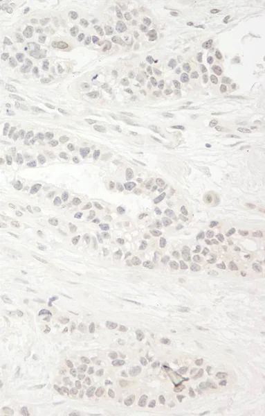
Immunohistochemistry (Formalin/PFA-fixed paraffin-embedded sections) - Anti-KIF14 antibody (AB71155)

Immunohistochemistry (Formalin/PFA-fixed paraffin-embedded sections) analysis of human breast carcinoma tissue labelling KIF14 with ab71155 at 1/200 (1µg/ml). Detection : DAB.

Immunocytochemistry/ Immunofluorescence - Anti-KIF14 antibody (AB71155)
  • ICC/IF

Unknown

Immunocytochemistry/ Immunofluorescence - Anti-KIF14 antibody (AB71155)

Immunocytochemistry/Immunofluorescence analysis of formaldelyde-fixed HeLa cells labelling KIF14 with ab71155 at 1/100 (2µg/ml). A red-fluorescent goat anti-rabbit IgG (1/100) was used as the secondary antibody.

Immunoprecipitation - Anti-KIF14 antibody (AB71155)
  • IP

Unknown

Immunoprecipitation - Anti-KIF14 antibody (AB71155)

Immunoprecipitation of HeLa whole cell lysate (1 mg) using ab71155 at 3 µg/mg lysate (lane 1) or control IgG (lane 2). 20% of immunoiprecipitate was analysed by Western blot using ab71155 at 1 µg/ml.

All lanes:

Immunoprecipitation - Anti-KIF14 antibody (ab71155)

Predicted band size: 186 kDa

false

Key facts

Host species

Rabbit

Clonality

Polyclonal

Isotype

IgG

Carrier free

No

Reacts with

Human

Applications

IHC-P, IP, WB, ICC/IF

applications

Immunogen

Synthetic Peptide within Human KIF14. The exact immunogen used to generate this antibody is proprietary information.

Q15058

Reactivity data

{ "title": "Reactivity Data", "filters": { "stats": ["", "Species", "Dilution Info", "Notes"], "tabs": { "all-applications": {"fullname" : "All Applications", "shortname": "All Applications"}, "IP" : {"fullname" : "Immunoprecipitation", "shortname":"IP"}, "WB" : {"fullname" : "Western blot", "shortname":"WB"}, "ICCIF" : {"fullname" : "Immunocytochemistry/ Immunofluorescence", "shortname":"ICC/IF"}, "IHCP" : {"fullname" : "Immunohistochemistry (Formalin/PFA-fixed paraffin-embedded sections)", "shortname":"IHC-P"} }, "product-promise": { "all": "all", "testedAndGuaranteed": "tested", "guaranteed": "expected", "predicted": "predicted", "notRecommended": "not-recommended" } }, "values": { "Human": { "IP-species-checked": "testedAndGuaranteed", "IP-species-dilution-info": "2-5 µg/mg of lysate", "IP-species-notes": "<p></p>", "WB-species-checked": "testedAndGuaranteed", "WB-species-dilution-info": "1/2000 - 1/10000", "WB-species-notes": "<p></p>", "ICCIF-species-checked": "testedAndGuaranteed", "ICCIF-species-dilution-info": "", "ICCIF-species-notes": "<p></p>", "IHCP-species-checked": "testedAndGuaranteed", "IHCP-species-dilution-info": "1/200 - 1/1000", "IHCP-species-notes": "<p></p>" }, "Chimpanzee": { "IP-species-checked": "predicted", "IP-species-dilution-info": "", "IP-species-notes": "", "WB-species-checked": "predicted", "WB-species-dilution-info": "", "WB-species-notes": "", "ICCIF-species-checked": "predicted", "ICCIF-species-dilution-info": "", "ICCIF-species-notes": "", "IHCP-species-checked": "predicted", "IHCP-species-dilution-info": "", "IHCP-species-notes": "" }, "Gorilla": { "IP-species-checked": "predicted", "IP-species-dilution-info": "", "IP-species-notes": "", "WB-species-checked": "predicted", "WB-species-dilution-info": "", "WB-species-notes": "", "ICCIF-species-checked": "predicted", "ICCIF-species-dilution-info": "", "ICCIF-species-notes": "", "IHCP-species-checked": "predicted", "IHCP-species-dilution-info": "", "IHCP-species-notes": "" } } }

Properties and storage information

Form
Liquid
Purification technique
Affinity purification Immunogen
Storage buffer
pH: 6.8 - 7.4 Preservative: 0.09% Sodium azide Constituents: Tris buffered saline, 0.1% BSA
Shipped at conditions
Blue Ice
Appropriate short-term storage conditions
+4°C
Appropriate long-term storage conditions
-20°C
Aliquoting information
Upon delivery aliquot
Storage information
Avoid freeze / thaw cycle

Product protocols

For this product, it's our understanding that no specific protocols are required. You can visit:

Target data

Microtubule motor protein that binds to microtubules with high affinity through each tubulin heterodimer and has an ATPase activity (By similarity). Plays a role in many processes like cell division, cytokinesis and also in cell proliferation and apoptosis (PubMed : 16648480, PubMed : 24784001). During cytokinesis, targets to central spindle and midbody through its interaction with PRC1 and CIT respectively (PubMed : 16431929). Regulates cell growth through regulation of cell cycle progression and cytokinesis (PubMed : 24854087). During cell cycle progression acts through SCF-dependent proteasomal ubiquitin-dependent protein catabolic process which controls CDKN1B degradation, resulting in positive regulation of cyclins, including CCNE1, CCND1 and CCNB1 (PubMed : 24854087). During late neurogenesis, regulates the cerebellar, cerebral cortex and olfactory bulb development through regulation of apoptosis, cell proliferation and cell division (By similarity). Also is required for chromosome congression and alignment during mitotic cell cycle process (PubMed : 15843429). Regulates cell spreading, focal adhesion dynamics, and cell migration through its interaction with RADIL resulting in regulation of RAP1A-mediated inside-out integrin activation by tethering RADIL on microtubules (PubMed : 23209302).
See full target information KIF14

Publications (7)

Recent publications for all applications. Explore the full list and refine your search

Bioengineered 13:4610-4620 PubMed35156510

2022

Exosomes-derived miR-154-5p attenuates esophageal squamous cell carcinoma progression and angiogenesis by targeting kinesin family member 14.

Applications

Unspecified application

Species

Unspecified reactive species

Yuwei Shou,Xiaoqian Wang,Yinghao Liang,Xiaonan Liu,Kuisheng Chen

Journal of cell science 134: PubMed34100550

2021

Goldberg-Shprintzen syndrome protein KIF1BP is a CITK interactor implicated in cytokinesis.

Applications

Unspecified application

Species

Unspecified reactive species

Gianmarco Pallavicini,Marta Gai,Giorgia Iegiani,Gaia Elena Berto,Annie Adrait,Yohann Couté,Ferdinando Di Cunto

OncoTargets and therapy 13:2235-2246 PubMed32214824

2020

MiR-154-5p Suppresses Cell Invasion and Migration Through Inhibiting KIF14 in Nasopharyngeal Carcinoma.

Applications

Unspecified application

Species

Unspecified reactive species

Jie Chen,Chengxian Ma,Yufeng Zhang,Shuai Pei,Mingyu Du,Yujie Zhang,Luxi Qian,Jianlin Wang,Li Yin,Xia He

Journal of experimental & clinical cancer research : CR 38:486 PubMed31823805

2019

Long non-coding RNA PAXIP1-AS1 facilitates cell invasion and angiogenesis of glioma by recruiting transcription factor ETS1 to upregulate KIF14 expression.

Applications

Unspecified application

Species

Unspecified reactive species

Haiyang Xu,Guifang Zhao,Yu Zhang,Hong Jiang,Weiyao Wang,Donghai Zhao,Hongquan Yu,Ling Qi

Cancer cell international 19:144 PubMed31139021

2019

The histone H3 lysine-27 demethylase UTX plays a critical role in colorectal cancer cell proliferation.

Applications

Unspecified application

Species

Unspecified reactive species

Xin Tang,Wenwei Cai,Jing Cheng,Ping Lu,Shaojun Ma,Chaoting Chen,Yi Chen,Yun Sun,Caofeng Wang,Ping Hu,Xiaomin Lv,G Sun,Yu Wang,Jing Sheng

Cancers 11: PubMed30991738

2019

Identification of KIF11 As a Novel Target in Meningioma.

Applications

Unspecified application

Species

Unspecified reactive species

Gerhard Jungwirth,Tao Yu,Mahmoud Moustafa,Carmen Rapp,Rolf Warta,Christine Jungk,Felix Sahm,Steffen Dettling,Klaus Zweckberger,Katrin Lamszus,Christian Senft,Mario Loehr,Almuth F Keßler,Ralf Ketter,Manfred Westphal,Juergen Debus,Andreas von Deimling,Matthias Simon,Andreas Unterberg,Amir Abdollahi,Christel Herold-Mende

Cellular physiology and biochemistry : internation 37:1659-70 PubMed26536004

2015

Inhibition of KIF14 Suppresses Tumor Cell Growth and Promotes Apoptosis in Human Glioblastoma.

Applications

Unspecified application

Species

Unspecified reactive species

Wei Huang,JunYu Wang,Danfeng Zhang,Wen Chen,Lijun Hou,Xiaojun Wu,Yicheng Lu
View all publications

Product promise

We are committed to supporting your work with high-quality reagents, and we're here for you every step of the way. In the unlikely event that one of our products does not perform as expected, you're protected by our Product Promise.
For full details, please see our Terms & Conditions

Please note: All products are 'FOR RESEARCH USE ONLY. NOT FOR USE IN DIAGNOSTIC OR THERAPEUTIC PROCEDURES'.

For licensing inquiries, please contact partnerships@abcam.com