JavaScript is disabled in your browser. Please enable JavaScript to view this website.
AB121798

Anti-KIF18B antibody

5

(1 Review)

|

(9 Publications)

Rabbit Polyclonal KIF18B antibody. Suitable for IHC-P, ICC and reacts with Human samples. Cited in 9 publications. Immunogen corresponding to Recombinant Fragment Protein within Human Kinesin-like protein KIF18B aa 1-150.

View Alternative Names

Kinesin-like protein KIF18B, KIF18B

5 Images
Immunohistochemistry (Formalin/PFA-fixed paraffin-embedded sections) - Anti-KIF18B antibody (AB121798)
  • IHC-P

Supplier Data

Immunohistochemistry (Formalin/PFA-fixed paraffin-embedded sections) - Anti-KIF18B antibody (AB121798)

Immunohistochemistry (Formalin/PFA-fixed paraffin-embedded sections) analysis of human prostate tissue labelling KIF18B with ab121798 at 1/50 dilution. Heat mediated antigen retrieval performed with citrate buffer pH 6 before commencing with IHC staining protocol.

Immunohistochemistry (Formalin/PFA-fixed paraffin-embedded sections) - Anti-KIF18B antibody (AB121798)
  • IHC-P

Supplier Data

Immunohistochemistry (Formalin/PFA-fixed paraffin-embedded sections) - Anti-KIF18B antibody (AB121798)

Immunohistochemistry (Formalin/PFA-fixed paraffin-embedded sections) analysis of human lymph node tissue labelling KIF18B with ab121798 at 1/50 dilution. Heat mediated antigen retrieval performed with citrate buffer pH 6 before commencing with IHC staining protocol.

Immunohistochemistry (Formalin/PFA-fixed paraffin-embedded sections) - Anti-KIF18B antibody (AB121798)
  • IHC-P

Supplier Data

Immunohistochemistry (Formalin/PFA-fixed paraffin-embedded sections) - Anti-KIF18B antibody (AB121798)

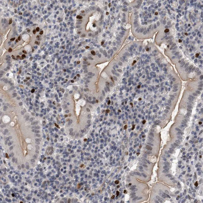
Immunohistochemistry (Formalin/PFA-fixed paraffin-embedded sections) analysis of human duodenum tissue labelling KIF18B with ab121798 at 1/50 dilution. Heat mediated antigen retrieval performed with citrate buffer pH 6 before commencing with IHC staining protocol.

Immunohistochemistry (Formalin/PFA-fixed paraffin-embedded sections) - Anti-KIF18B antibody (AB121798)
  • IHC-P

Supplier Data

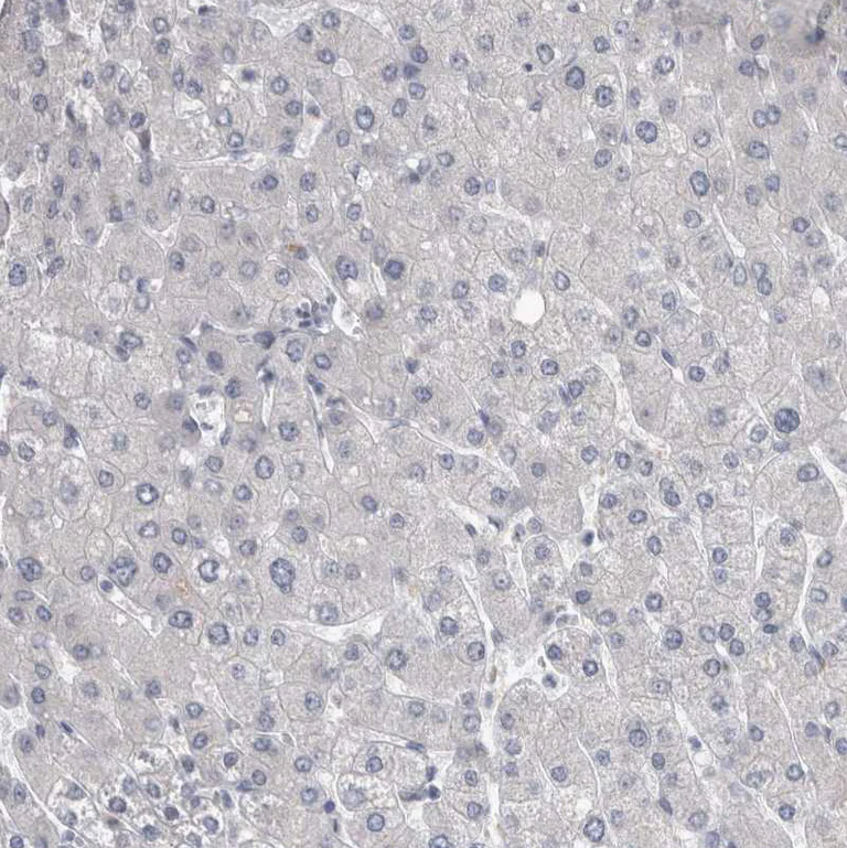
Immunohistochemistry (Formalin/PFA-fixed paraffin-embedded sections) - Anti-KIF18B antibody (AB121798)

Immunohistochemistry (Formalin/PFA-fixed paraffin-embedded sections) analysis of human liver tissue labelling KIF18B with ab121798 at 1/50 dilution. Heat mediated antigen retrieval performed with citrate buffer pH 6 before commencing with IHC staining protocol.

Immunocytochemistry - Anti-KIF18B antibody (AB121798)
  • ICC

Supplier Data

Immunocytochemistry - Anti-KIF18B antibody (AB121798)

Immunocytochemistry analysis of U-251 MG (human brain glioma cell line) cells labelling KIF18B with ab121798 at 2 μg/mL.

Key facts

Host species

Rabbit

Clonality

Polyclonal

Isotype

IgG

Carrier free

No

Reacts with

Human

Applications

ICC, IHC-P

applications

Immunogen

Recombinant Fragment Protein within Human Kinesin-like protein KIF18B aa 1-150. The exact immunogen used to generate this antibody is proprietary information.

Q86Y91

Reactivity data

{ "title": "Reactivity Data", "filters": { "stats": ["", "Species", "Dilution Info", "Notes"], "tabs": { "all-applications": {"fullname" : "All Applications", "shortname": "All Applications"}, "IHCP" : {"fullname" : "Immunohistochemistry (Formalin/PFA-fixed paraffin-embedded sections)", "shortname":"IHC-P"}, "ICC" : {"fullname" : "Immunocytochemistry", "shortname":"ICC"} }, "product-promise": { "all": "all", "testedAndGuaranteed": "tested", "guaranteed": "expected", "predicted": "predicted", "notRecommended": "not-recommended" } }, "values": { "Human": { "IHCP-species-checked": "testedAndGuaranteed", "IHCP-species-dilution-info": "1/50 - 1/200", "IHCP-species-notes": "<p></p> Perform heat-mediated antigen retrieval with citrate buffer pH 6 before commencing with IHC staining protocol.", "ICC-species-checked": "testedAndGuaranteed", "ICC-species-dilution-info": "0.25-2 µg/mL", "ICC-species-notes": "<p></p>" } } }

Properties and storage information

Form
Liquid
Purification technique
Affinity purification Immunogen
Storage buffer
pH: 7.2 Preservative: 0.02% Sodium azide Constituents: PBS, 40% Glycerol (glycerin, glycerine)
Shipped at conditions
Blue Ice
Appropriate short-term storage conditions
+4°C
Appropriate long-term storage conditions
-20°C
Aliquoting information
Upon delivery aliquot
Storage information
Avoid freeze / thaw cycle

Product protocols

For this product, it's our understanding that no specific protocols are required. You can visit:

Target data

In complex with KIF2C, constitutes the major microtubule plus-end depolymerizing activity in mitotic cells. Its major role may be to transport KIF2C and/or MAPRE1 along microtubules.
See full target information Kinesin-like protein KIF18B

Publications (9)

Recent publications for all applications. Explore the full list and refine your search

Oncology 102:354-365 PubMed37812924

2023

Kinesin Family Member B18 Is Related to Gastric Mucin Phenotype and Contributes to Gastric Cancer Progression by Regulating Epithelial-Mesenchymal Transition.

Applications

Unspecified application

Species

Unspecified reactive species

Akira Ishikawa,Ryo Yasumatsu,Takafumi Fukui,Aya Kido,Narutaka Katsuya,Kazuhiro Sentani,Kazuya Kuraoka,Naohide Oue,Takahisa Suzuki,Shiro Oka,Takahiro Kotachi,Kazuaki Tanabe,Hideki Ohdan,Hassan Ashktorab,Duane Smoot,Wataru Yasui

Frontiers in immunology 14:1258344 PubMed37744335

2023

Multi-omics analysis reveals the association between elevated KIF18B expression and unfavorable prognosis, immune evasion, and regulatory T cell activation in nasopharyngeal carcinoma.

Applications

Unspecified application

Species

Unspecified reactive species

Siqi Tang,Zhenyu Wu,Lusi Chen,Longjiang She,Weihan Zuo,Weijun Luo,Yang Zhang,Shaoqiang Liang,Guichao Liu,Biyi He,Jinfeng He,Ning Zhang

Oncology letters 23:144 PubMed35340554

2022

Identification of potential circular RNA biomarkers in lung adenocarcinoma: A bioinformatics analysis and retrospective clinical study.

Applications

Unspecified application

Species

Unspecified reactive species

Yonggang Zhu,Feng Cao,Fei Liu,Sihua Liu,Lingjiao Meng,Lina Gu,Hanjun Zhao,Meixiang Sang,Baoen Shan

Cancer discovery 11:2282-2299 PubMed33883167

2021

Selective Modulation of a Pan-Essential Protein as a Therapeutic Strategy in Cancer.

Applications

Unspecified application

Species

Unspecified reactive species

Clare F Malone,Neekesh V Dharia,Guillaume Kugener,Alexandra B Forman,Michael V Rothberg,Mai Abdusamad,Alfredo Gonzalez,Miljan Kuljanin,Amanda L Robichaud,Amy Saur Conway,Joshua M Dempster,Brenton R Paolella,Nancy Dumont,Volker Hovestadt,Joseph D Mancias,Scott T Younger,David E Root,Todd R Golub,Francisca Vazquez,Kimberly Stegmaier

Cancer management and research 12:12769-12778 PubMed33335427

2020

Kinesin Superfamily Member 18B (KIF18B) Promotes Cell Proliferation in Colon Adenocarcinoma.

Applications

Unspecified application

Species

Unspecified reactive species

Fei Zhao,Yunzhang Feng,Xueqiang Zhang,Xiaohui Liu,Aili Li

EBioMedicine 61:103056 PubMed33038765

2020

Silencing KIF18B enhances radiosensitivity: identification of a promising therapeutic target in sarcoma.

Applications

Unspecified application

Species

Unspecified reactive species

Wensi Liu,Zhaojin Yu,Haichao Tang,Xiangyi Wang,Bing Zhang,Jianhang Zhao,Xinli Liu,Jingdong Zhang,Minjie Wei

Cancer biology & medicine 17:371-386 PubMed32587775

2020

KIF18B promotes tumor progression in osteosarcoma by activating β-catenin.

Applications

Unspecified application

Species

Unspecified reactive species

Tian Gao,Ling Yu,Zhiwei Fang,Jiayong Liu,Chujie Bai,Shu Li,Ruifeng Xue,Lu Zhang,Zhichao Tan,Zhengfu Fan

Journal of cellular physiology 235:4227-4238 PubMed31875977

2019

KIF18B promotes the proliferation of pancreatic ductal adenocarcinoma via activating the expression of CDCA8.

Applications

Unspecified application

Species

Unspecified reactive species

Baoyu Li,Bin Liu,Xianglian Zhang,Hui Liu,Lijie He

Modern pathology : an official journal of the Unit 29:616-29 PubMed26965582

2016

Expression profiling of small intestinal neuroendocrine tumors identifies subgroups with clinical relevance, prognostic markers and therapeutic targets.

Applications

Unspecified application

Species

Unspecified reactive species

Ellinor Andersson,Yvonne Arvidsson,Christina Swärd,Tobias Hofving,Bo Wängberg,Erik Kristiansson,Ola Nilsson
View all publications

Product promise

We are committed to supporting your work with high-quality reagents, and we're here for you every step of the way. In the unlikely event that one of our products does not perform as expected, you're protected by our Product Promise.
For full details, please see our Terms & Conditions

Please note: All products are 'FOR RESEARCH USE ONLY. NOT FOR USE IN DIAGNOSTIC OR THERAPEUTIC PROCEDURES'.

For licensing inquiries, please contact partnerships@abcam.com