JavaScript is disabled in your browser. Please enable JavaScript to view this website.
AB282820

Anti-KIF1A antibody [EPR24329-6] - BSA and Azide free

Be the first to review this product! Submit a review

|

(0 Publication)

Rabbit Recombinant Monoclonal KIF1A antibody. Carrier free. Suitable for ICC/IF, WB and reacts with Mouse, Recombinant fragment - Mouse, Rat samples.

View Alternative Names

Atsv, Kif1, Kif1a, Kinesin-like protein KIF1A, Axonal transporter of synaptic vesicles

3 Images
Immunocytochemistry/ Immunofluorescence - Anti-KIF1A antibody [EPR24329-6] - BSA and Azide free (AB282820)
  • ICC/IF

Supplier Data

Immunocytochemistry/ Immunofluorescence - Anti-KIF1A antibody [EPR24329-6] - BSA and Azide free (AB282820)

This data was developed using ab271047, the same antibody clone in a different buffer formulation.

Immunofluorescent analysis of 4% Paraformaldehyde-fixed, 0.1% TritonX-100 permeabilized mouse primary neuron cells labelling KIF1A with ab271047 at 1/50 (10.5 ug/ml) dilution, followed by ab150081 Goat Anti-Rabbit IgG H&L (Alexa Fluor® 488) preadsorbed antibody at 1/1000 (2 ug/ml) dilution (Green). Confocal image showing positive staining in mouse primary neuron.

Negative control : mouse spleen cell (PMID : 7539720) is observed.

ab11267 Anti-MAP2 mouse monoclonal antibody was used to counterstain tubulin at 1/500 (4 ug/ml) dilution (Red). The Nuclear counterstain was DAPI (Blue).

Secondary antibody only control : Secondary antibody is ab150081 Goat Anti-Rabbit IgG H&L (Alexa Fluor® 488) preadsorbed at 1/1000 (2ug/ml) dilution.

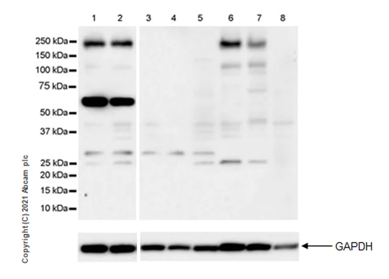
Western blot - Anti-KIF1A antibody [EPR24329-6] - BSA and Azide free (AB282820)
  • WB

Lab

Western blot - Anti-KIF1A antibody [EPR24329-6] - BSA and Azide free (AB282820)

This data was developed using ab271047, the same antibody clone in a different buffer formulation.

Blocking and diluting buffer and concentration : 5% NFDM/TBST

Negative control : spleen, testis, kidney (PMID : 7539720).

Nonspecifc bands under 100 kDa are observed.

Exposure time : 48 seconds

All lanes:

Western blot - Anti-KIF1A antibody [EPR24329-6] (<a href='/en-us/products/primary-antibodies/kif1a-antibody-epr24329-6-ab271047'>ab271047</a>) at 1/1000 dilution

Lane 1:

Mouse brain tissue lysate at 20 µg

Lane 2:

Mouse cerebral cortex tissue lysate at 20 µg

Lane 3:

Mouse spleen tissue lysate at 20 µg

Lane 4:

Mouse testis tissue lysate at 20 µg

Lane 5:

Mouse kidney tissue lysate at 20 µg

Lane 6:

Rat brain tissue lysate at 20 µg

Lane 7:

Rat spinal cord tissue lysate at 20 µg

Lane 8:

Rat spleen tissue lysate at 20 µg

Secondary

All lanes:

Western blot - Goat Anti-Rabbit IgG H&L (HRP) (<a href='/en-us/products/secondary-antibodies/goat-rabbit-igg-h-l-hrp-ab97051'>ab97051</a>) at 1/50000 dilution

Predicted band size: 191 kDa

Observed band size: 200 kDa

false

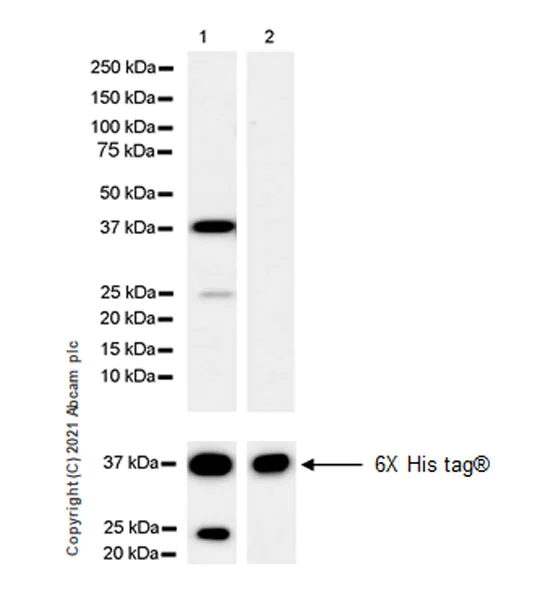
Western blot - Anti-KIF1A antibody [EPR24329-6] - BSA and Azide free (AB282820)
  • WB

Lab

Western blot - Anti-KIF1A antibody [EPR24329-6] - BSA and Azide free (AB282820)

This data was developed using ab271047, the same antibody clone in a different buffer formulation.

Blocking and diluting buffer and concentration : 5% NFDM/TBST

Exposure time : 48 seconds

All lanes:

Western blot - Anti-KIF1A antibody [EPR24329-6] (<a href='/en-us/products/primary-antibodies/kif1a-antibody-epr24329-6-ab271047'>ab271047</a>) at 1/1000 dilution

Lane 1:

His-tagged mouse KIF1A recombinant protein (aa2-355) at 0.01 µg

Lane 2:

His-tagged mouse KIF1B recombinant protein (aa2-355) at 0.01 µg

Secondary

All lanes:

Western blot - Goat Anti-Rabbit IgG H&L (HRP) (<a href='/en-us/products/secondary-antibodies/goat-rabbit-igg-h-l-hrp-ab97051'>ab97051</a>) at 1/100000 dilution

Predicted band size: 191 kDa

Observed band size: 37 kDa

false

Key facts

Host species

Rabbit

Clonality

Monoclonal

Clone number

EPR24329-6

Isotype

IgG

Carrier free

Yes

Reacts with

Rat, Mouse

Applications

WB, ICC/IF

applications

Immunogen

The exact immunogen used to generate this antibody is proprietary information.

Reactivity data

{ "title": "Reactivity Data", "filters": { "stats": ["", "Species", "Dilution Info", "Notes"], "tabs": { "all-applications": {"fullname" : "All Applications", "shortname": "All Applications"}, "ICCIF" : {"fullname" : "Immunocytochemistry/ Immunofluorescence", "shortname":"ICC/IF"}, "IP" : {"fullname" : "Immunoprecipitation", "shortname":"IP"}, "WB" : {"fullname" : "Western blot", "shortname":"WB"}, "IHCP" : {"fullname" : "Immunohistochemistry (Formalin/PFA-fixed paraffin-embedded sections)", "shortname":"IHC-P"}, "FlowCytIntra" : {"fullname" : "Flow Cytometry (Intracellular)", "shortname":"Flow Cyt (Intra)"} }, "product-promise": { "all": "all", "testedAndGuaranteed": "tested", "guaranteed": "expected", "predicted": "predicted", "notRecommended": "not-recommended" } }, "values": { "Human": { "ICCIF-species-checked": "notRecommended", "ICCIF-species-dilution-info": "", "ICCIF-species-notes": "", "IP-species-checked": "notRecommended", "IP-species-dilution-info": "", "IP-species-notes": "", "WB-species-checked": "notRecommended", "WB-species-dilution-info": "", "WB-species-notes": "<p></p>", "IHCP-species-checked": "notRecommended", "IHCP-species-dilution-info": "", "IHCP-species-notes": "<p></p>", "FlowCytIntra-species-checked": "notRecommended", "FlowCytIntra-species-dilution-info": "", "FlowCytIntra-species-notes": "" }, "Mouse": { "ICCIF-species-checked": "testedAndGuaranteed", "ICCIF-species-dilution-info": "", "ICCIF-species-notes": "<p></p>", "IP-species-checked": "notRecommended", "IP-species-dilution-info": "", "IP-species-notes": "<p></p>", "WB-species-checked": "testedAndGuaranteed", "WB-species-dilution-info": "", "WB-species-notes": "<p></p>", "IHCP-species-checked": "notRecommended", "IHCP-species-dilution-info": "", "IHCP-species-notes": "<p></p>", "FlowCytIntra-species-checked": "notRecommended", "FlowCytIntra-species-dilution-info": "", "FlowCytIntra-species-notes": "<p></p>" }, "Rat": { "ICCIF-species-checked": "notRecommended", "ICCIF-species-dilution-info": "", "ICCIF-species-notes": "<p></p>", "IP-species-checked": "notRecommended", "IP-species-dilution-info": "", "IP-species-notes": "<p></p>", "WB-species-checked": "testedAndGuaranteed", "WB-species-dilution-info": "", "WB-species-notes": "<p></p>", "IHCP-species-checked": "notRecommended", "IHCP-species-dilution-info": "", "IHCP-species-notes": "<p></p>", "FlowCytIntra-species-checked": "notRecommended", "FlowCytIntra-species-dilution-info": "", "FlowCytIntra-species-notes": "<p></p>" }, "Recombinant fragment - Mouse": { "ICCIF-species-checked": "notRecommended", "ICCIF-species-dilution-info": "", "ICCIF-species-notes": "", "IP-species-checked": "notRecommended", "IP-species-dilution-info": "", "IP-species-notes": "", "WB-species-checked": "testedAndGuaranteed", "WB-species-dilution-info": "", "WB-species-notes": "<p></p>", "IHCP-species-checked": "notRecommended", "IHCP-species-dilution-info": "", "IHCP-species-notes": "", "FlowCytIntra-species-checked": "notRecommended", "FlowCytIntra-species-dilution-info": "", "FlowCytIntra-species-notes": "" } } }

Product details

ab282820 is the carrier-free version of ab271047.

Patented technology
Our RabMAb® technology is a patented hybridoma-based technology for making rabbit monoclonal antibodies. For details on our patents, please refer to RabMAb® patents.

What are the advantages of a recombinant monoclonal antibody?
This product is a recombinant monoclonal antibody, which offers several advantages including:

  • - High batch-to-batch consistency and reproducibility
  • - Improved sensitivity and specificity
  • - Long-term security of supply
  • - Animal-free batch production

For more information, read more on recombinant antibodies.

Want a custom formulation?
This antibody clone is manufactured by Abcam. If you require a custom buffer formulation or conjugation for your experiments, please contact orders@abcam.com

Conjugation ready
Our carrier-free antibodies are typically supplied in a PBS-only formulation, purified and free of BSA, sodium azide and glycerol. This conjugation-ready format is designed for use with fluorochromes, metal isotopes, oligonucleotides, and enzymes, which makes them ideal for antibody labelling, functional and cell-based assays, flow-based assays (e.g. mass cytometry) and Multiplex Imaging applications.

Use our conjugation kits for antibody conjugates that are ready-to-use in as little as 20 minutes with 1 minute hands-on-time and 100% antibody recovery: available for fluorescent dyes, HRP, biotin and gold.

Compatibility
This product is compatible with the Maxpar® Antibody Labeling Kit from Fluidigm, without the need for antibody preparation. Maxpar® is a trademark of Fluidigm Canada Inc.

Properties and storage information

Form
Liquid
Purification technique
Affinity purification Protein A
Storage buffer
pH: 7.2 - 7.4 Constituents: PBS
Shipped at conditions
Blue Ice
Appropriate short-term storage conditions
+4°C
Appropriate long-term storage conditions
+4°C

Product protocols

For this product, it's our understanding that no specific protocols are required. You can visit:

Target data

Motor for anterograde axonal transport of synaptic vesicle precursors (Probable). Also required for neuronal dense core vesicles (DCVs) transport to the dendritic spines and axons. The interaction calcium-dependent with CALM1 increases vesicle motility and interaction with the scaffolding proteins PPFIA2 and TANC2 recruits DCVs to synaptic sites (By similarity).
See full target information Kif1a

Product promise

We are committed to supporting your work with high-quality reagents, and we're here for you every step of the way. In the unlikely event that one of our products does not perform as expected, you're protected by our Product Promise.
For full details, please see our Terms & Conditions

Please note: All products are 'FOR RESEARCH USE ONLY. NOT FOR USE IN DIAGNOSTIC OR THERAPEUTIC PROCEDURES'.

For licensing inquiries, please contact partnerships@abcam.com