JavaScript is disabled in your browser. Please enable JavaScript to view this website.
AB150966

Anti-KIF26A antibody

Be the first to review this product! Submit a review

|

(2 Publications)

Rabbit Polyclonal KIF26A antibody. Suitable for IHC-P, ICC/IF and reacts with Human samples. Cited in 2 publications. Immunogen corresponding to Recombinant Fragment Protein within Human KIF26A aa 950-1050.

View Alternative Names

KIAA1236, KIF26A, Kinesin-like protein KIF26A

2 Images
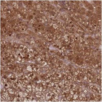
Immunohistochemistry (Formalin/PFA-fixed paraffin-embedded sections) - Anti-KIF26A antibody (AB150966)
  • IHC-P

Unknown

Immunohistochemistry (Formalin/PFA-fixed paraffin-embedded sections) - Anti-KIF26A antibody (AB150966)

Immunohistochemical analysis of paraffin-embedded Human adrenal gland tissue labelling KIF26A with ab150966 at 1/500 dilution.

Immunocytochemistry/ Immunofluorescence - Anti-KIF26A antibody (AB150966)
  • ICC/IF

Unknown

Immunocytochemistry/ Immunofluorescence - Anti-KIF26A antibody (AB150966)

Immunofluorescent staining of Human cell line A-431 shows positivity in plasma membrane. Recommended concentration of ab150966 1-4 µg/ml. Cells treated with PFA/Triton X-100.

Key facts

Host species

Rabbit

Clonality

Polyclonal

Isotype

IgG

Carrier free

No

Reacts with

Human

Applications

IHC-P, ICC/IF

applications

Immunogen

Recombinant Fragment Protein within Human KIF26A aa 950-1050. The exact immunogen used to generate this antibody is proprietary information.

Q9ULI4

Reactivity data

{ "title": "Reactivity Data", "filters": { "stats": ["", "Species", "Dilution Info", "Notes"], "tabs": { "all-applications": {"fullname" : "All Applications", "shortname": "All Applications"}, "IHCP" : {"fullname" : "Immunohistochemistry (Formalin/PFA-fixed paraffin-embedded sections)", "shortname":"IHC-P"}, "ICCIF" : {"fullname" : "Immunocytochemistry/ Immunofluorescence", "shortname":"ICC/IF"} }, "product-promise": { "all": "all", "testedAndGuaranteed": "tested", "guaranteed": "expected", "predicted": "predicted", "notRecommended": "not-recommended" } }, "values": { "Human": { "IHCP-species-checked": "testedAndGuaranteed", "IHCP-species-dilution-info": "1/500 - 1/1000", "IHCP-species-notes": "<p></p> Perform heat-mediated antigen retrieval with citrate buffer pH 6 before commencing with IHC staining protocol.", "ICCIF-species-checked": "testedAndGuaranteed", "ICCIF-species-dilution-info": "0.25-2 µg/mL", "ICCIF-species-notes": "<p></p>" } } }

Product details

The antibody solution should be gently mixed before use.

Properties and storage information

Form
Liquid
Purification technique
Affinity purification Immunogen
Storage buffer
pH: 7.2 Preservative: 0.02% Sodium azide Constituents: 59% PBS, 40% Glycerol (glycerin, glycerine)
Shipped at conditions
Blue Ice
Appropriate short-term storage conditions
+4°C
Appropriate long-term storage conditions
-20°C
Aliquoting information
Upon delivery aliquot
Storage information
Avoid freeze / thaw cycle

Product protocols

For this product, it's our understanding that no specific protocols are required. You can visit:

Target data

Atypical kinesin that plays a key role in enteric neuron development. Acts by repressing a cell growth signaling pathway in the enteric nervous system development, possibly via its interaction with GRB2 that prevents GRB2-binding to SHC, thereby attenating the GDNF-Ret signaling (By similarity). Binds to microtubules but lacks microtubule-based motility due to the absence of ATPase activity (By similarity). Plays a critical role in cerebral cortical development. It probably acts as a microtubule stabilizer that regulates neurite growth and radial migration of cortical excitatory neurons (PubMed : 36228617).
See full target information KIF26A

Publications (2)

Recent publications for all applications. Explore the full list and refine your search

Frontiers in oncology 10:530933 PubMed33505901

2021

E2F1 Induces KIF26A Transcription and Promotes Cell Cycle Progression CDK-RB-E2Fs Feedback Loop in Breast Cancer.

Applications

Unspecified application

Species

Unspecified reactive species

Jing Xu,Lei Liu,Ranran Ma,Yawen Wang,Xu Chen,Haiting Liu,Youxin Ji,Tiantian Liu,Peng Gao

Disease models & mechanisms : PubMed33318051

2020

Hearing impairment due to mutations suggests both loss and gain of function effects.

Applications

Unspecified application

Species

Unspecified reactive species

Morag A Lewis,Francesca Di Domenico,Neil J Ingham,Haydn M Prosser,Karen P Steel
View all publications

Product promise

We are committed to supporting your work with high-quality reagents, and we're here for you every step of the way. In the unlikely event that one of our products does not perform as expected, you're protected by our Product Promise.
For full details, please see our Terms & Conditions

Please note: All products are 'FOR RESEARCH USE ONLY. NOT FOR USE IN DIAGNOSTIC OR THERAPEUTIC PROCEDURES'.

For licensing inquiries, please contact partnerships@abcam.com