JavaScript is disabled in your browser. Please enable JavaScript to view this website.
AB236748

Anti-KIF3C antibody

Be the first to review this product! Submit a review

|

(3 Publications)

Rabbit Polyclonal KIF3C antibody. Suitable for WB, IHC-P, ICC/IF and reacts with Human samples. Cited in 3 publications. Immunogen corresponding to Recombinant Fragment Protein within Human Kinesin-like protein KIF3C aa 150-300.

View Alternative Names

Kinesin-like protein KIF3C, KIF3C

3 Images
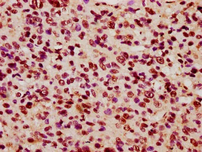
Immunohistochemistry (Formalin/PFA-fixed paraffin-embedded sections) - Anti-KIF3C antibody (AB236748)
  • IHC-P

Supplier Data

Immunohistochemistry (Formalin/PFA-fixed paraffin-embedded sections) - Anti-KIF3C antibody (AB236748)

Paraffin-embedded human glioma tissue stained for KIF3C using ab236748 at 1/600 dilution in immunohistochemical analysis.

After dewaxing and hydration, antigen retrieval was mediated by high pressure in a citrate buffer (pH 6.0). Section was blocked with 10% normal goat serum 30min at RT. Then primary antibody (1% BSA) was incubated at 4°C overnight. The primary is detected by a biotinylated secondary antibody and visualized using an HRP conjugated SP system.

Immunocytochemistry/ Immunofluorescence - Anti-KIF3C antibody (AB236748)
  • ICC/IF

Supplier Data

Immunocytochemistry/ Immunofluorescence - Anti-KIF3C antibody (AB236748)

4% formaldehyde-fixed, 0.2% Triton X-100 permeabilized A549 (human lung carcinoma cell line) cells labeling KIF3C (green) using ab236748 at 1/200 dilution in ICC/IFF, follwed by Alexa Fluor 488-congugated Goat Anti-Rabbit IgG (H+L) secondary antibody. Counterstained with DAPI (blue).

Western blot - Anti-KIF3C antibody (AB236748)
  • WB

Supplier Data

Western blot - Anti-KIF3C antibody (AB236748)

All lanes:

Western blot - Anti-KIF3C antibody (ab236748) at 1/500 dilution

Lane 1:

HeLa (human epithelial cell line from cervix adenocarcinoma) whole cell lysate

Lane 2:

K562 (human chronic myelogenous leukemia cell line from bone marrow) whole cell lysate

Secondary

All lanes:

Goat polyclonal to rabbit IgG at 1/500 dilution

Predicted band size: 89 kDa

false

Key facts

Host species

Rabbit

Clonality

Polyclonal

Isotype

IgG

Carrier free

No

Reacts with

Human

Applications

IHC-P, ICC/IF, WB

applications

Immunogen

Recombinant Fragment Protein within Human Kinesin-like protein KIF3C aa 150-300. The exact immunogen used to generate this antibody is proprietary information.

O14782

Reactivity data

{ "title": "Reactivity Data", "filters": { "stats": ["", "Species", "Dilution Info", "Notes"], "tabs": { "all-applications": {"fullname" : "All Applications", "shortname": "All Applications"}, "WB" : {"fullname" : "Western blot", "shortname":"WB"}, "IHCP" : {"fullname" : "Immunohistochemistry (Formalin/PFA-fixed paraffin-embedded sections)", "shortname":"IHC-P"}, "ICCIF" : {"fullname" : "Immunocytochemistry/ Immunofluorescence", "shortname":"ICC/IF"} }, "product-promise": { "all": "all", "testedAndGuaranteed": "tested", "guaranteed": "expected", "predicted": "predicted", "notRecommended": "not-recommended" } }, "values": { "Human": { "WB-species-checked": "testedAndGuaranteed", "WB-species-dilution-info": "1/500 - 1/5000", "WB-species-notes": "<p></p>", "IHCP-species-checked": "testedAndGuaranteed", "IHCP-species-dilution-info": "1/500 - 1/1000", "IHCP-species-notes": "<p></p>", "ICCIF-species-checked": "testedAndGuaranteed", "ICCIF-species-dilution-info": "1/200 - 1/500", "ICCIF-species-notes": "<p></p>" }, "Mouse": { "WB-species-checked": "predicted", "WB-species-dilution-info": "", "WB-species-notes": "", "IHCP-species-checked": "predicted", "IHCP-species-dilution-info": "", "IHCP-species-notes": "", "ICCIF-species-checked": "predicted", "ICCIF-species-dilution-info": "", "ICCIF-species-notes": "" }, "Rat": { "WB-species-checked": "predicted", "WB-species-dilution-info": "", "WB-species-notes": "", "IHCP-species-checked": "predicted", "IHCP-species-dilution-info": "", "IHCP-species-notes": "", "ICCIF-species-checked": "predicted", "ICCIF-species-dilution-info": "", "ICCIF-species-notes": "" }, "Cow": { "WB-species-checked": "predicted", "WB-species-dilution-info": "", "WB-species-notes": "", "IHCP-species-checked": "predicted", "IHCP-species-dilution-info": "", "IHCP-species-notes": "", "ICCIF-species-checked": "predicted", "ICCIF-species-dilution-info": "", "ICCIF-species-notes": "" }, "Orangutan": { "WB-species-checked": "predicted", "WB-species-dilution-info": "", "WB-species-notes": "", "IHCP-species-checked": "predicted", "IHCP-species-dilution-info": "", "IHCP-species-notes": "", "ICCIF-species-checked": "predicted", "ICCIF-species-dilution-info": "", "ICCIF-species-notes": "" } } }

Properties and storage information

Form
Liquid
Purification technique
Affinity purification Protein G
Purification notes
Purity >95%
Storage buffer
pH: 7.4 Preservative: 0.03% Proclin 300 Constituents: PBS, 50% Glycerol (glycerin, glycerine)
Shipped at conditions
Blue Ice
Appropriate short-term storage duration
1-2 weeks
Appropriate short-term storage conditions
+4°C
Appropriate long-term storage conditions
-20°C
Aliquoting information
Upon delivery aliquot
Storage information
Avoid freeze / thaw cycle

Product protocols

For this product, it's our understanding that no specific protocols are required. You can visit:

Target data

Microtubule-based anterograde translocator for membranous organelles.
See full target information Kinesin-like protein KIF3C

Publications (3)

Recent publications for all applications. Explore the full list and refine your search

Frontiers in immunology 15:1420847 PubMed38975339

2024

Integrating single-cell and spatial transcriptomic analysis to unveil heterogeneity in high-grade serous ovarian cancer.

Applications

Unspecified application

Species

Unspecified reactive species

Haixia Luo,Kunyu Wang,Bin Li

Journal of experimental & clinical cancer research : CR 43:68 PubMed38439082

2024

MUC20 regulated by extrachromosomal circular DNA attenuates proteasome inhibitor resistance of multiple myeloma by modulating cuproptosis.

Applications

Unspecified application

Species

Unspecified reactive species

Xiaobin Wang,Yingqing Shi,Hua Shi,Xiaoyu Liu,Aijun Liao,Zhuogang Liu,Robert Z Orlowski,Rui Zhang,Huihan Wang

Bioengineered 12:3077-3088 PubMed34193018

2021

Kinesin family member 3C (KIF3C) is a novel non-small cell lung cancer (NSCLC) oncogene whose expression is modulated by microRNA-150-5p (miR-150-5p) and microRNA-186-3p (miR-186-3p).

Applications

Unspecified application

Species

Unspecified reactive species

Haiwang Liu,Ran Liu,Meiling Hao,Xing Zhao,Chunhui Li
View all publications

Product promise

We are committed to supporting your work with high-quality reagents, and we're here for you every step of the way. In the unlikely event that one of our products does not perform as expected, you're protected by our Product Promise.
For full details, please see our Terms & Conditions

Please note: All products are 'FOR RESEARCH USE ONLY. NOT FOR USE IN DIAGNOSTIC OR THERAPEUTIC PROCEDURES'.

For licensing inquiries, please contact partnerships@abcam.com