JavaScript is disabled in your browser. Please enable JavaScript to view this website.
AB322900

Anti-KIF5A antibody [EPR29540-31]

  • BOND RX™ Validated
  • Recombinant
  • 20ul selling size
  • RabMAb
  • What is this?

Be the first to review this product! Submit a review

|

(0 Publication)

Rabbit Recombinant Monoclonal KIF5A antibody. Suitable for WB, IHC-P, ICC/IF and reacts with Transfected cell lysate - Mouse, Human, Mouse, Rat samples.

View Alternative Names

Kiaa4086, Kif5, Nkhc1, Kif5a, Kinesin heavy chain isoform 5A, Kinesin heavy chain neuron-specific 1, Neuronal kinesin heavy chain, NKHC

11 Images
Immunocytochemistry/ Immunofluorescence - Anti-KIF5A antibody [EPR29540-31] (AB322900)
  • ICC/IF

Supplier Data

Immunocytochemistry/ Immunofluorescence - Anti-KIF5A antibody [EPR29540-31] (AB322900)

Immunofluorescent analysis of 4% Paraformaldehyde-fixed, 0.1% TritonX-100 permeabilized Mouse splenocytes labelling KIF5A with ab322900 at 1/50 (10.14 ug/ml) dilution, followed by ab150081 Goat Anti-Rabbit IgG H&L (Alexa Fluor® 488) preadsorbed antibody at 1/1000 (2 ug/ml) dilution (Green).

Confocal image showing no staining in mouse splenocytes (shown in green). The counterstain was observed in magenta. Nuclear DNA was labelled with DAPI (shown in blue). Image was taken with a confocal microscope (Leica-Microsystems, TCS SP8).

ab195889 Anti-alpha Tubulin mouse monoclonal antibody - Microtubule Marker (Alexa Fluor® 594) was used to counterstain tubulin at 1/200 (2.5 ug/ml) dilution (Magenta).

Secondary antibody only control : Secondary antibody is ab150081 Goat Anti-Rabbit IgG H&L (Alexa Fluor® 488) preadsorbed at 1/1000 (2 ug/ml) dilution.

Immunohistochemistry (Formalin/PFA-fixed paraffin-embedded sections) - Anti-KIF5A antibody [EPR29540-31] (AB322900)
  • IHC-P

Supplier Data

Immunohistochemistry (Formalin/PFA-fixed paraffin-embedded sections) - Anti-KIF5A antibody [EPR29540-31] (AB322900)

Immunohistochemical analysis of paraffin-embedded Rat spleen tissue labeling KIF5A with ab322900 at 1/2000 (0.254 ug/ml) dilution, followed by a ready to use LeicaDS9800 (Bond™ Polymer Refine Detection).

Negative control : no staining on rat spleen.
The section was incubated with ab322900 for 30 mins at room temperature.
The immunostaining was performed on a Leica Biosystems BOND® RX instrument

Counterstained with Hematoxylin.

Secondary antibody only control : Secondary antibody is a ready to use LeicaDS9800 (Bond™ Polymer Refine Detection).

Heat mediated antigen retrieval was performed with Tris-EDTA buffer (pH 9.0, Epitope Retrieval Solution2) for 20 mins

Immunohistochemistry (Formalin/PFA-fixed paraffin-embedded sections) - Anti-KIF5A antibody [EPR29540-31] (AB322900)
  • IHC-P

Supplier Data

Immunohistochemistry (Formalin/PFA-fixed paraffin-embedded sections) - Anti-KIF5A antibody [EPR29540-31] (AB322900)

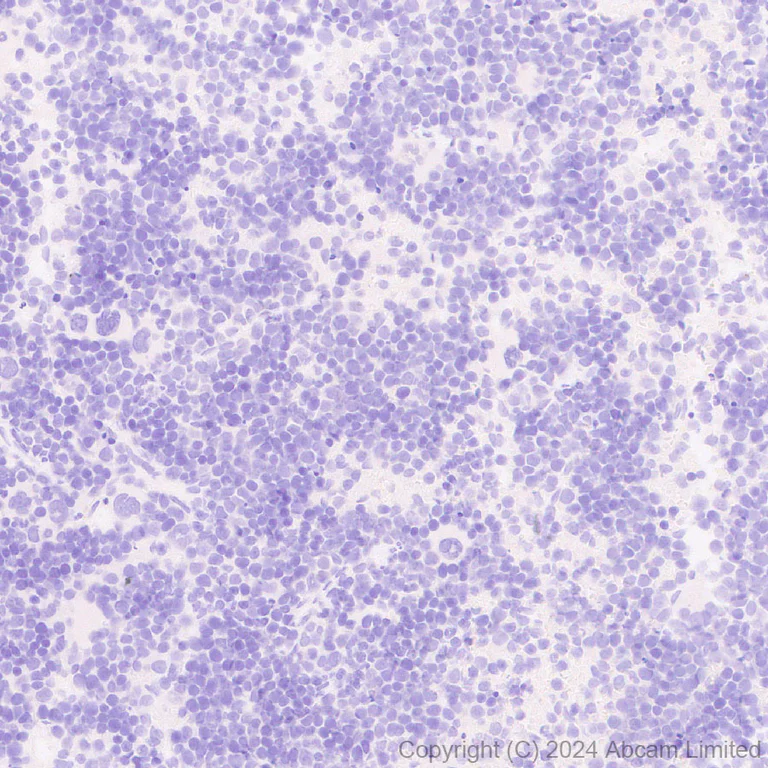
Immunohistochemical analysis of paraffin-embedded Mouse spleen tissue labeling KIF5A with ab322900 at 1/2000 (0.254 ug/ml) dilution, followed by a ready to use LeicaDS9800 (Bond™ Polymer Refine Detection).

Negative control : no staining on mouse spleen.
The section was incubated with ab322900 for 30 mins at room temperature.
The immunostaining was performed on a Leica Biosystems BOND® RX instrument

Counterstained with Hematoxylin.

Secondary antibody only control : Secondary antibody is a ready to use LeicaDS9800 (Bond™ Polymer Refine Detection).

Heat mediated antigen retrieval was performed with Tris-EDTA buffer (pH 9.0, Epitope Retrieval Solution2) for 20 mins

Immunocytochemistry/ Immunofluorescence - Anti-KIF5A antibody [EPR29540-31] (AB322900)
  • ICC/IF

Supplier Data

Immunocytochemistry/ Immunofluorescence - Anti-KIF5A antibody [EPR29540-31] (AB322900)

Immunofluorescent analysis of 4% Paraformaldehyde-fixed, 0.1% TritonX-100 permeabilized Rat splenocytes labelling KIF5A with ab322900 at 1/50 (10.14 ug/ml) dilution, followed by ab150081 Goat Anti-Rabbit IgG H&L (Alexa Fluor® 488) preadsorbed antibody at 1/1000 (2 ug/ml) dilution (Green).

Confocal image showing no staining in rat splenocyte (shown in green). The counterstain was observed in magenta. Nuclear DNA was labelled with DAPI (shown in blue). Image was taken with a confocal microscope (Leica-Microsystems, TCS SP8).

ab195889 Anti-alpha Tubulin mouse monoclonal antibody - Microtubule Marker (Alexa Fluor® 594) was used to counterstain tubulin at 1/200 (2.5 ug/ml) dilution (Magenta).

Secondary antibody only control : Secondary antibody is ab150081 Goat Anti-Rabbit IgG H&L (Alexa Fluor® 488) preadsorbed at 1/1000 (2 ug/ml) dilution.

Immunocytochemistry/ Immunofluorescence - Anti-KIF5A antibody [EPR29540-31] (AB322900)
  • ICC/IF

Supplier Data

Immunocytochemistry/ Immunofluorescence - Anti-KIF5A antibody [EPR29540-31] (AB322900)

Immunofluorescent analysis of 4% Paraformaldehyde-fixed, 0.1% TritonX-100 permeabilized mouse primary neurons labelling KIF5A with ab322900 at 1/50 (10.14 ug/ml) dilution, followed by ab150081 Goat Anti-Rabbit IgG H&L (Alexa Fluor® 488) preadsorbed antibody at 1/1000 (2 ug/ml) dilution (Green).

Confocal image showing cytoplasmic staining in mouse primary neurons (shown in green). The counterstain was observed in magenta. Nuclear DNA was labelled with DAPI (shown in blue).
Confocal scanning Z step was set as 0.3 μm followed by image processing with maximum Z projection.
Image was taken with a confocal microscope (Leica-Microsystems, TCS SP8).

ab11267 Anti-MAP2 mouse monoclonal antibody was used to counterstain tubulin at 1/500 (4 ug/ml) dilution, followed by ab150120 Goat Anti-Mouse IgG H&L (Alexa Fluor® 594) at 1/1000 (2 ug/ml) dilution (Magenta).

-ve control 1 : ab322900 at a 1/50 dilution followed by ab150120 at a 1/1000 dilution.

-ve control 2 : ab11267 at a 1/500 dilution followed by ab150081 at a 1/1000 dilution.

Immunocytochemistry/ Immunofluorescence - Anti-KIF5A antibody [EPR29540-31] (AB322900)
  • ICC/IF

Supplier Data

Immunocytochemistry/ Immunofluorescence - Anti-KIF5A antibody [EPR29540-31] (AB322900)

Immunofluorescent analysis of 4% Paraformaldehyde-fixed, 0.1% TritonX-100 permeabilized rat primary neurons labelling KIF5A with ab322900 at 1/50 (10.14 ug/ml) dilution, followed by ab150081 Goat Anti-Rabbit IgG H&L (Alexa Fluor® 488) preadsorbed antibody at 1/1000 (2 ug/ml) dilution (Green).

Confocal image showing cytoplasmic staining in rat primary neurons (shown in green). The counterstain was observed in magenta. Nuclear DNA was labelled with DAPI (shown in blue).
Confocal scanning Z step was set as 0.3 μm followed by image processing with maximum Z projection.
Image was taken with a confocal microscope (Leica-Microsystems, TCS SP8).

ab11267 Anti-MAP2 mouse monoclonal antibody was used to counterstain tubulin at 1/500 (4 ug/ml) dilution, followed by ab150120 Goat Anti-Mouse IgG H&L (Alexa Fluor® 594) at 1/1000 (2 ug/ml) dilution (Magenta).

-ve control 1 : ab322900 at a 1/50 dilution followed by ab150120 at a 1/1000 dilution.

-ve control 2 : ab11267 at a 1/500 dilution followed by ab150081 at a 1/1000 dilution.

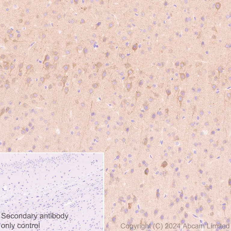
Immunohistochemistry (Formalin/PFA-fixed paraffin-embedded sections) - Anti-KIF5A antibody [EPR29540-31] (AB322900)
  • IHC-P

Supplier Data

Immunohistochemistry (Formalin/PFA-fixed paraffin-embedded sections) - Anti-KIF5A antibody [EPR29540-31] (AB322900)

Immunohistochemical analysis of paraffin-embedded Mouse cerebrum tissue labeling KIF5A with ab322900 at 1/2000 (0.254 ug/ml) dilution, followed by a ready to use LeicaDS9800 (Bond™ Polymer Refine Detection).

Positive staining on mouse cerebrum (PMID : 37258573).
The section was incubated with ab322900 for 30 mins at room temperature.
The immunostaining was performed on a Leica Biosystems BOND® RX instrument

Counterstained with Hematoxylin.

Secondary antibody only control : Secondary antibody is a ready to use LeicaDS9800 (Bond™ Polymer Refine Detection).

Heat mediated antigen retrieval was performed with Tris-EDTA buffer (pH 9.0, Epitope Retrieval Solution2) for 20 mins

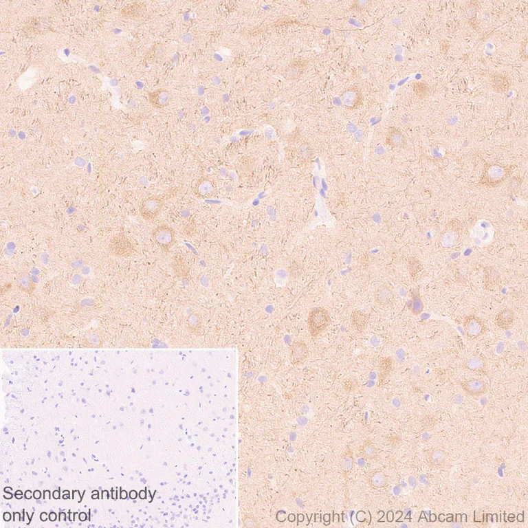
Immunohistochemistry (Formalin/PFA-fixed paraffin-embedded sections) - Anti-KIF5A antibody [EPR29540-31] (AB322900)
  • IHC-P

Supplier Data

Immunohistochemistry (Formalin/PFA-fixed paraffin-embedded sections) - Anti-KIF5A antibody [EPR29540-31] (AB322900)

Immunohistochemical analysis of paraffin-embedded Rat cerebrum tissue labeling KIF5A with ab322900 at 1/2000 (0.254 ug/ml) dilution, followed by a ready to use LeicaDS9800 (Bond™ Polymer Refine Detection).

Positive staining on rat cerebrum.
The section was incubated with ab322900 for 30 mins at room temperature.
The immunostaining was performed on a Leica Biosystems BOND® RX instrument

Counterstained with Hematoxylin.

Secondary antibody only control : Secondary antibody is a ready to use LeicaDS9800 (Bond™ Polymer Refine Detection).

Heat mediated antigen retrieval was performed with Tris-EDTA buffer (pH 9.0, Epitope Retrieval Solution2) for 20 mins

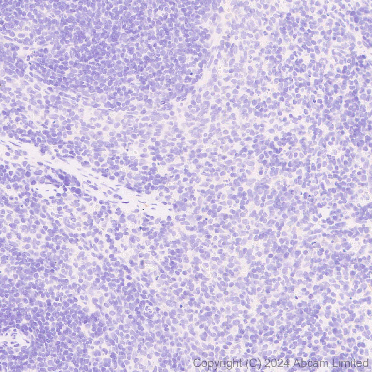
Western blot - Anti-KIF5A antibody [EPR29540-31] (AB322900)
  • WB

Supplier Data

Western blot - Anti-KIF5A antibody [EPR29540-31] (AB322900)

Blocking and diluting buffer and concentration : 5% NFDM/TBST.

Negative control : spleen (PMID 7514426).

The identity of the bands lower than 100 kDa in lane 2 are unknown.

In Western blot, Anti-GAPDH antibody [EPR16891] - Loading Control (ab181602) staining at 1/200000 dilution.

All lanes:

Western blot - Anti-KIF5A antibody [EPR29540-31] (ab322900) at 1/1000 dilution

Lane 1:

Human cerebellum tissue lysate at 20 µg

Lane 2:

Human spleen tissue lysate at 20 µg

Lane 3:

Rat brain tissue lysate at 20 µg

Lane 4:

Rat cerebral cortex tissue lysate at 20 µg

Lane 5:

Rat spleen tissue lysate at 20 µg

Secondary

All lanes:

Western blot - Goat Anti-Rabbit IgG H&L (HRP) (<a href='/en-us/products/secondary-antibodies/goat-rabbit-igg-h-l-hrp-ab97051'>ab97051</a>) at 1/100000 dilution

Observed band size: 117 kDa,36 kDa

false

Exposure time: 180s

Western blot - Anti-KIF5A antibody [EPR29540-31] (AB322900)
  • WB

Supplier Data

Western blot - Anti-KIF5A antibody [EPR29540-31] (AB322900)

Blocking and diluting buffer and concentration : 5% NFDM/TBST.

Negative control : spleen (PMID 7514426).

Low expression : A20

In Western blot, Anti-GAPDH antibody [EPR16891] - Loading Control (ab181602) staining at 1/200000 dilution.

All lanes:

Western blot - Anti-KIF5A antibody [EPR29540-31] (ab322900) at 1/1000 dilution

Lane 1:

Mouse brain tissue lysate at 20 µg

Lane 2:

Mouse cerebral cortex tissue lysate at 20 µg

Lane 3:

Mouse cerebellum tissue lysate at 20 µg

Lane 4:

Mouse spleen tissue lysate at 20 µg

Lane 5:

Neuro-2a (mouse neuroblastoma neuroblast) whole cell lysate at 20 µg

Lane 6:

A20 (mouse reticum sarcoma B lymphocyte) whole cell lysate at 20 µg

Secondary

All lanes:

Western blot - Goat Anti-Rabbit IgG H&L (HRP) (<a href='/en-us/products/secondary-antibodies/goat-rabbit-igg-h-l-hrp-ab97051'>ab97051</a>) at 1/100000 dilution

Observed band size: 117 kDa,36 kDa

false

Exposure time: 180s

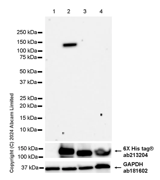
Western blot - Anti-KIF5A antibody [EPR29540-31] (AB322900)
  • WB

Supplier Data

Western blot - Anti-KIF5A antibody [EPR29540-31] (AB322900)

Blocking and diluting buffer and concentration : 5% NFDM/TBST.

This antibody does not cross-react with mouse KIF5B or KIF5C.

In Western blot, Anti-GAPDH antibody [EPR16891] - Loading Control (ab181602) staining at 1/200000 dilution.

In Western blot, Anti-6X His tag® antibody [EPR20547] - ChIP Grade (ab213204) staining at 1/5000 dilution.

All lanes:

Western blot - Anti-KIF5A antibody [EPR29540-31] (ab322900) at 1/1000 dilution

Lane 1:

293T cells transfected with an empty vector containing a myc-his tag whole cell lysate at 20 µg

Lane 2:

293T cells transfected with a mouse KIF5A expression vector containing a myc-his-tag, whole cell lysate at 20 µg

Lane 3:

293T cells transfected with a mouse KIF5B expression vector containing a myc-his-tag, whole cell lysate at 20 µg

Lane 4:

293T cells transfected with a mouse KIF5C expression vector containing a myc-his-tag, whole cell lysate at 20 µg

Secondary

All lanes:

Western blot - Goat Anti-Rabbit IgG H&L (HRP) (<a href='/en-us/products/secondary-antibodies/goat-rabbit-igg-h-l-hrp-ab97051'>ab97051</a>) at 1/100000 dilution

Observed band size: 117 kDa,36 kDa,15 kDa

false

Exposure time: 59s

  • Carrier free

    Anti-KIF5A antibody [EPR29540-31] - BSA and Azide free

Key facts

Host species

Rabbit

Clonality

Monoclonal

Clone number

EPR29540-31

Isotype

IgG

Carrier free

No

Reacts with

Mouse, Rat, Human

Applications

IHC-P, ICC/IF, WB

applications

Immunogen

The exact immunogen used to generate this antibody is proprietary information.

Specificity

Unsuitable for human IHC-P. We observed non-specific bands at 75KDa and 50KDa by WB in the following human tissues: spleen, colon, tonsil, stomach, testis.

Reactivity data

{ "title": "Reactivity Data", "filters": { "stats": ["", "Species", "Dilution Info", "Notes"], "tabs": { "all-applications": {"fullname" : "All Applications", "shortname": "All Applications"}, "WB" : {"fullname" : "Western blot", "shortname":"WB"}, "IHCP" : {"fullname" : "Immunohistochemistry (Formalin/PFA-fixed paraffin-embedded sections)", "shortname":"IHC-P"}, "ICCIF" : {"fullname" : "Immunocytochemistry/ Immunofluorescence", "shortname":"ICC/IF"} }, "product-promise": { "all": "all", "testedAndGuaranteed": "tested", "guaranteed": "expected", "predicted": "predicted", "notRecommended": "not-recommended" } }, "values": { "Human": { "WB-species-checked": "testedAndGuaranteed", "WB-species-dilution-info": "1/1000", "WB-species-notes": "<p></p>", "IHCP-species-checked": "notRecommended", "IHCP-species-dilution-info": "", "IHCP-species-notes": "<p></p>", "ICCIF-species-checked": "guaranteed", "ICCIF-species-dilution-info": "", "ICCIF-species-notes": "" }, "Mouse": { "WB-species-checked": "testedAndGuaranteed", "WB-species-dilution-info": "1/1000", "WB-species-notes": "<p></p>", "IHCP-species-checked": "testedAndGuaranteed", "IHCP-species-dilution-info": "1/2000", "IHCP-species-notes": "<p></p> Perform heat-mediated antigen retrieval with Tris/EDTA buffer pH 9.0 before commencing with IHC staining protocol.", "ICCIF-species-checked": "testedAndGuaranteed", "ICCIF-species-dilution-info": "1/50", "ICCIF-species-notes": "<p></p>" }, "Rat": { "WB-species-checked": "testedAndGuaranteed", "WB-species-dilution-info": "1/1000", "WB-species-notes": "<p></p>", "IHCP-species-checked": "testedAndGuaranteed", "IHCP-species-dilution-info": "1/2000", "IHCP-species-notes": "<p></p> Perform heat-mediated antigen retrieval with Tris/EDTA buffer pH 9.0 before commencing with IHC staining protocol.", "ICCIF-species-checked": "testedAndGuaranteed", "ICCIF-species-dilution-info": "1/50", "ICCIF-species-notes": "<p></p>" }, "Transfected cell lysate - Mouse": { "WB-species-checked": "testedAndGuaranteed", "WB-species-dilution-info": "1/1000", "WB-species-notes": "<p></p>", "IHCP-species-checked": "notRecommended", "IHCP-species-dilution-info": "", "IHCP-species-notes": "", "ICCIF-species-checked": "notRecommended", "ICCIF-species-dilution-info": "", "ICCIF-species-notes": "" } } }

Product details

Patented technology
Our RabMAb® technology is a patented hybridoma-based technology for making rabbit monoclonal antibodies. For details on our patents, please refer to RabMAb® patents.

What are the advantages of a recombinant monoclonal antibody?
This product is a recombinant monoclonal antibody, which offers several advantages including:

  • - High batch-to-batch consistency and reproducibility
  • - Improved sensitivity and specificity
  • - Long-term security of supply
  • - Animal-free batch production

For more information, read more on recombinant antibodies.

Properties and storage information

Form
Liquid
Purification technique
Affinity purification Protein A
Storage buffer
pH: 7.2 - 7.4 Preservative: 0.01% Sodium azide Constituents: PBS, 40% Glycerol (glycerin, glycerine), 0.05% BSA
Shipped at conditions
Blue Ice
Appropriate short-term storage duration
1-2 weeks
Appropriate short-term storage conditions
+4°C
Appropriate long-term storage conditions
-20°C
Aliquoting information
Upon delivery aliquot
Storage information
Avoid freeze / thaw cycle

Product protocols

For this product, it's our understanding that no specific protocols are required. You can visit:

Target data

Microtubule-dependent motor required for slow axonal transport of neurofilament proteins (NFH, NFM and NFL) (PubMed : 12682084). Can induce formation of neurite-like membrane protrusions in non-neuronal cells in a ZFYVE27-dependent manner. The ZFYVE27-KIF5A complex contributes to the vesicular transport of VAPA, VAPB, SURF4, RAB11A, RAB11B and RTN3 proteins in neurons (PubMed : 21976701). Required for anterograde axonal transportation of MAPK8IP3/JIP3 which is essential for MAPK8IP3/JIP3 function in axon elongation (By similarity).
See full target information Kif5a

Additional targets

Kif5a,KIF5A

Product promise

We are committed to supporting your work with high-quality reagents, and we're here for you every step of the way. In the unlikely event that one of our products does not perform as expected, you're protected by our Product Promise.
For full details, please see our Terms & Conditions

Please note: All products are 'FOR RESEARCH USE ONLY. NOT FOR USE IN DIAGNOSTIC OR THERAPEUTIC PROCEDURES'.

For licensing inquiries, please contact partnerships@abcam.com