JavaScript is disabled in your browser. Please enable JavaScript to view this website.
AB283661

Anti-KIF5A + KIF5B + KIF5C antibody [EPR24325-98] - BSA and Azide free

Be the first to review this product! Submit a review

|

(0 Publication)

Rabbit Recombinant Monoclonal KIF5A antibody. Carrier free. Suitable for ICC/IF, IP, WB, Flow Cyt (Intra) and reacts with Mouse, Rat, Human samples.

View Alternative Names

Kiaa4086, Kif5, Nkhc1, Kif5a, Kinesin heavy chain isoform 5A, Kinesin heavy chain neuron-specific 1, Neuronal kinesin heavy chain, NKHC

12 Images
Flow Cytometry (Intracellular) - Anti-KIF5A + KIF5B + KIF5C antibody [EPR24325-98] - BSA and Azide free (AB283661)
  • Flow Cyt (Intra)

Supplier Data

Flow Cytometry (Intracellular) - Anti-KIF5A + KIF5B + KIF5C antibody [EPR24325-98] - BSA and Azide free (AB283661)

This data was developed using ab271049, the same antibody clone in a different buffer formulation.

Flow cytometric analysis of 4% paraformaldehyde fixed 90% methanol permeabilized SH-SY5Y (Human neuroblastoma epithelial cell) cells labelling KIF5A + KIF5B + KIF5C with ab271049 at 1/500 dilution (0.1ug) (Red) compared with a Rabbit monoclonal IgG (ab172730) (Black) isotype control and an unlabelled control (cells without incubation with primary antibody and secondary antibody) (Blue). A Goat F(ab')2 Anti-Rabbit IgG(DyLight® 488, ab98507) at 1/500 dilution was used as the secondary antibody.

Immunocytochemistry/ Immunofluorescence - Anti-KIF5A + KIF5B + KIF5C antibody [EPR24325-98] - BSA and Azide free (AB283661)
  • ICC/IF

Supplier Data

Immunocytochemistry/ Immunofluorescence - Anti-KIF5A + KIF5B + KIF5C antibody [EPR24325-98] - BSA and Azide free (AB283661)

This data was developed using ab271049, the same antibody clone in a different buffer formulation.

Immunofluorescent analysis of 4% Paraformaldehyde-fixed, 0.1% TritonX-100 permeabilized SH-SY5Y cells labelling KIF5A + KIF5B + KIF5C with ab271049 at 1/50 (9.72 ug/ml) dilution, followed by ab150080 Goat Anti-Rabbit IgG H&L (Alexa Fluor® 594) antibody at 1/500 (4 ug/ml) dilution (Green). Confocal image showing cytoplasmic staining in SH-SY5Y cell line. is observed. ab195889 Anti-alpha Tubulin mouse monoclonal antibody - Microtubule Marker (Alexa Fluor® 594) was used to counterstain tubulin at 1/200 (2.5 ug/ml) dilution (Red). The Nuclear counterstain was DAPI (Blue).

Secondary antibody only control : Secondary antibody is ab150080 Goat Anti-Rabbit IgG H&L (Alexa Fluor® 594) at 1/500 (4 ug/ml) dilution.

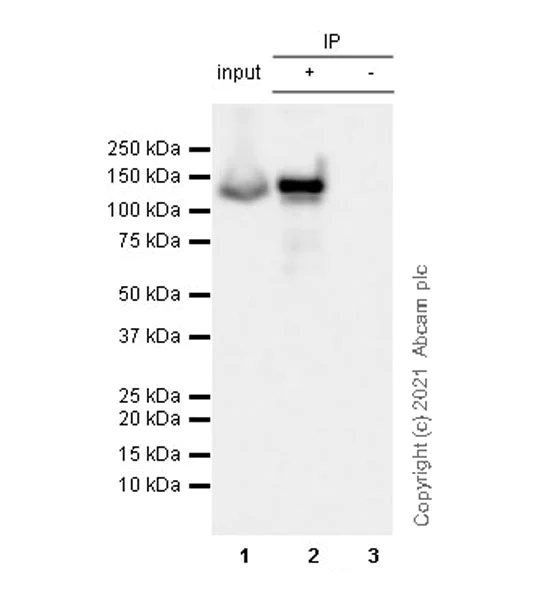
Immunoprecipitation - Anti-KIF5A + KIF5B + KIF5C antibody [EPR24325-98] - BSA and Azide free (AB283661)
  • IP

Supplier Data

Immunoprecipitation - Anti-KIF5A + KIF5B + KIF5C antibody [EPR24325-98] - BSA and Azide free (AB283661)

This data was developed using ab271049, the same antibody clone in a different buffer formulation.

KIF5A + KIF5B + KIF5C was immunoprecipitated from 0.35 mg SH-SY5Y (human neuroblastoma epithelial cell) whole cell lysate 10 ug with ab271049 at 1/30 dilution (2ug in 0.35mg lysates). Western blot was performed on the immunoprecipitate using ab271049 at 1/1000 dilution. VeriBlot for IP secondary antibody(HRP)(ab131366) was used at 1/5000 dilution.

Lane 1 : SH-SY5Y (human neuroblastoma epithelial cell) whole cell lysate 10 ug

Lane 2 : ab271049 IP in SH-SY5Y whole cell lysate

Lane 3 : Rabbit monoclonal IgG (ab172730) instead of ab271049 in SH-SY5Y whole cell lysate

Blocking and dilution buffer and concentration : 5% NFDM/TBST.

Exposure time : 3 seconds

All lanes:

Immunoprecipitation - Anti-KIF5A + KIF5B + KIF5C antibody [EPR24325-98] (<a href='/en-us/products/primary-antibodies/kif5a-kif5b-kif5c-antibody-epr24325-98-ab271049'>ab271049</a>)

Observed band size: 117 kDa

false

Flow Cytometry (Intracellular) - Anti-KIF5A + KIF5B + KIF5C antibody [EPR24325-98] - BSA and Azide free (AB283661)
  • Flow Cyt (Intra)

Supplier Data

Flow Cytometry (Intracellular) - Anti-KIF5A + KIF5B + KIF5C antibody [EPR24325-98] - BSA and Azide free (AB283661)

This data was developed using ab271049, the same antibody clone in a different buffer formulation.

Flow cytometric analysis of 4% paraformaldehyde fixed 90% methanol permeabilized C6 (Rat glial tumor glial cell) cells labelling KIF5A + KIF5B + KIF5C with ab271049 at 1/500 dilution (0.1ug) (Red) compared with a Rabbit monoclonal IgG (ab172730) (Black) isotype control and an unlabelled control (cells without incubation with primary antibody and secondary antibody) (Blue). A Goat Anti-Rabbit IgG (Alexa Fluor® 488, ab150081) at 1/2000 dilution was used as the secondary antibody.

Immunocytochemistry/ Immunofluorescence - Anti-KIF5A + KIF5B + KIF5C antibody [EPR24325-98] - BSA and Azide free (AB283661)
  • ICC/IF

Supplier Data

Immunocytochemistry/ Immunofluorescence - Anti-KIF5A + KIF5B + KIF5C antibody [EPR24325-98] - BSA and Azide free (AB283661)

This data was developed using ab271049, the same antibody clone in a different buffer formulation.

Immunofluorescent analysis of 4% Paraformaldehyde-fixed, 0.1% TritonX-100 permeabilized mouse primary neuron cells labelling KIF5A + KIF5B + KIF5C with ab271049 at 1/50 (9.72 ug/ml) dilution, followed by ab150080 Goat Anti-Rabbit IgG H&L (Alexa Fluor® 594) antibody at 1/500 (4 ug/ml) dilution (Green). Confocal image showing cytoplasmic staining in mouse primary neuron. Confocal scanning Z step was set as 0.3 μm followed by image processing with maximum Z projection. ab195889 Anti-alpha Tubulin mouse monoclonal antibody - Microtubule Marker (Alexa Fluor® 594) was used to counterstain tubulin at 1/200 (2.5 ug/ml) dilution (Red). The Nuclear counterstain was DAPI (Blue).

Secondary antibody only control : Secondary antibody is ab150080 Goat Anti-Rabbit IgG H&L (Alexa Fluor® 594) at 1/500 (4 ug/ml) dilution.

Flow Cytometry (Intracellular) - Anti-KIF5A + KIF5B + KIF5C antibody [EPR24325-98] - BSA and Azide free (AB283661)
  • Flow Cyt (Intra)

Supplier Data

Flow Cytometry (Intracellular) - Anti-KIF5A + KIF5B + KIF5C antibody [EPR24325-98] - BSA and Azide free (AB283661)

This data was developed using ab271049, the same antibody clone in a different buffer formulation.

Flow cytometric analysis of 4% paraformaldehyde fixed 90% methanol permeabilized Neuro-2a (Mouse neuroblastoma neuroblast) cells labelling KIF5A + KIF5B + KIF5C with ab271049 at 1/500 dilution (0.1ug) (Red) compared with a Rabbit monoclonal IgG (ab172730) (Black) isotype control and an unlabelled control (cells without incubation with primary antibody and secondary antibody) (Blue). A Goat Anti-Rabbit IgG (Alexa Fluor® 488, ab150081) at 1/2000 dilution was used as the secondary antibody.

Immunocytochemistry/ Immunofluorescence - Anti-KIF5A + KIF5B + KIF5C antibody [EPR24325-98] - BSA and Azide free (AB283661)
  • ICC/IF

Supplier Data

Immunocytochemistry/ Immunofluorescence - Anti-KIF5A + KIF5B + KIF5C antibody [EPR24325-98] - BSA and Azide free (AB283661)

This data was developed using ab271049, the same antibody clone in a different buffer formulation.

Immunofluorescent analysis of 4% Paraformaldehyde-fixed, 0.1% TritonX-100 permeabilized rat primary neuron cells labelling KIF5A + KIF5B + KIF5C with ab271049 at 1/50 (9.72 ug/ml) dilution, followed by ab150080 Goat Anti-Rabbit IgG H&L (Alexa Fluor® 594) antibody at 1/500 (4 ug/ml) dilution (Green). Confocal image showing cytoplasmic staining in rat primary neuron. Confocal scanning Z step was set as 0.3 μm followed by image processing with maximum Z projection ab11267 Anti-MAP2 mouse monoclonal antibody was used to counterstain tubulin at 1/500 (4 ug/ml) dilution (Red). The Nuclear counterstain was DAPI (Blue).

Secondary antibody only control : Secondary antibody is ab150080 Goat Anti-Rabbit IgG H&L (Alexa Fluor® 594) at 1/500 (4 ug/ml) dilution.

Immunoprecipitation - Anti-KIF5A + KIF5B + KIF5C antibody [EPR24325-98] - BSA and Azide free (AB283661)
  • IP

Supplier Data

Immunoprecipitation - Anti-KIF5A + KIF5B + KIF5C antibody [EPR24325-98] - BSA and Azide free (AB283661)

This data was developed using ab271049, the same antibody clone in a different buffer formulation.

KIF5A + KIF5B + KIF5C was immunoprecipitated from 0.35 mg Neuro-2a (mouse neuroblastoma neuroblast) whole cell lysate 10 ug with ab271049 at 1/30 dilution (2ug in 0.35mg lysates). Western blot was performed on the immunoprecipitate using ab271049 at 1/1000 dilution. VeriBlot for IP secondary antibody(HRP)(ab131366) was used at 1/5000 dilution.

Lane 1 : Neuro-2a (mouse neuroblastoma neuroblast) whole cell lysate 10 ug

Lane 2 : ab271049 IP in Neuro-2a whole cell lysate

Lane 3 : Rabbit monoclonal IgG (ab172730) instead of ab271049 in Neuro-2a whole cell lysate

Blocking and dilution buffer and concentration : 5% NFDM/TBST.

Exposure time : 3 seconds

All lanes:

Immunoprecipitation - Anti-KIF5A + KIF5B + KIF5C antibody [EPR24325-98] (<a href='/en-us/products/primary-antibodies/kif5a-kif5b-kif5c-antibody-epr24325-98-ab271049'>ab271049</a>)

Observed band size: 117 kDa

false

Western blot - Anti-KIF5A + KIF5B + KIF5C antibody [EPR24325-98] - BSA and Azide free (AB283661)
  • WB

Lab

Western blot - Anti-KIF5A + KIF5B + KIF5C antibody [EPR24325-98] - BSA and Azide free (AB283661)

This data was developed using ab271049, the same antibody clone in a different buffer formulation.

Blocking and diluting buffer and concentration : 5% NFDM/TBST

Exposure time : 10 seconds

All lanes:

Western blot - Anti-KIF5A + KIF5B + KIF5C antibody [EPR24325-98] (<a href='/en-us/products/primary-antibodies/kif5a-kif5b-kif5c-antibody-epr24325-98-ab271049'>ab271049</a>) at 1/1000 dilution

Lane 1:

Neuro-2a (mouse neuroblastoma neuroblast), whole cell lysate at 20 µg

Lane 2:

C2C12 (mouse myoblasts myoblast), whole cell lysate at 20 µg

Lane 3:

U-87 MG (human glioblastoma-astrocytoma epithelial cell), whole cell lysate at 20 µg

Lane 4:

SH-SY5Y (human neuroblastoma epithelial cell), whole cell lysate at 20 µg

Lane 5:

Rat brain cortex tissue lysate at 20 µg

Lane 6:

C6 (rat glial tumor glial cell), whole cell lysate at 20 µg

Secondary

All lanes:

Goat Anti-Rabbit IgG, (H+L), Peroxidase conjugated (<a href='/en-us/products/secondary-antibodies/goat-rabbit-igg-h-l-hrp-ab97051'>ab97051</a>) at 1/100000 dilution

Predicted band size: 117 kDa

Observed band size: 117 kDa

false

Western blot - Anti-KIF5A + KIF5B + KIF5C antibody [EPR24325-98] - BSA and Azide free (AB283661)
  • WB

Lab

Western blot - Anti-KIF5A + KIF5B + KIF5C antibody [EPR24325-98] - BSA and Azide free (AB283661)

This data was developed using ab271049, the same antibody clone in a different buffer formulation.

Blocking and diluting buffer and concentration : 5% NFDM/TBST

Degraded fragment (107 KD) has also been described (PMID : 11144355)

Exposure time : 10 seconds

All lanes:

Western blot - Anti-KIF5A + KIF5B + KIF5C antibody [EPR24325-98] (<a href='/en-us/products/primary-antibodies/kif5a-kif5b-kif5c-antibody-epr24325-98-ab271049'>ab271049</a>) at 1/1000 dilution

Lane 1:

Human cerebellum tissue lysate at 20 µg

Lane 2:

Human hypothalamus tissue lysate at 20 µg

Secondary

All lanes:

VeriBlot for IP secondary antibody(HRP)(<a href='/en-us/products/reagents/veriblot-for-ip-detection-reagent-hrp-ab131366'>ab131366</a>) at 1/1000 dilution

Predicted band size: 117 kDa

Observed band size: 107 kDa,117 kDa

false

Western blot - Anti-KIF5A + KIF5B + KIF5C antibody [EPR24325-98] - BSA and Azide free (AB283661)
  • WB

Lab

Western blot - Anti-KIF5A + KIF5B + KIF5C antibody [EPR24325-98] - BSA and Azide free (AB283661)

This data was developed using ab271049, the same antibody clone in a different buffer formulation.

Blocking and diluting buffer and concentration : 5% NFDM/TBST

Degraded fragment (107 KD) has also been described (PMID : 11144355)

Exposure time : 10 seconds

All lanes:

Western blot - Anti-KIF5A + KIF5B + KIF5C antibody [EPR24325-98] (<a href='/en-us/products/primary-antibodies/kif5a-kif5b-kif5c-antibody-epr24325-98-ab271049'>ab271049</a>) at 1/1000 dilution

Lane 1:

Mouse brain tissue lysate at 20 µg

Lane 2:

Mouse cerebral cortex tissue lysate at 20 µg

Lane 3:

Mouse cerebellum tissue lysate at 20 µg

Lane 4:

Rat brain tissue lysate at 20 µg

Lane 5:

Rat cerebellum tissue lysate at 20 µg

Secondary

All lanes:

Goat Anti-Rabbit IgG, (H+L), Peroxidase conjugated (<a href='/en-us/products/secondary-antibodies/goat-rabbit-igg-h-l-hrp-ab97051'>ab97051</a>) at 1/100000 dilution

Predicted band size: 117 kDa

Observed band size: 107 kDa,117 kDa

false

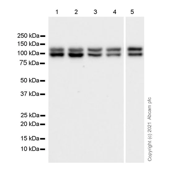
Western blot - Anti-KIF5A + KIF5B + KIF5C antibody [EPR24325-98] - BSA and Azide free (AB283661)
  • WB

Lab

Western blot - Anti-KIF5A + KIF5B + KIF5C antibody [EPR24325-98] - BSA and Azide free (AB283661)

This data was developed using ab271049, the same antibody clone in a different buffer formulation.

Blocking and diluting buffer and concentration : 5% NFDM/TBST

Exposure time : 3 seconds

All lanes:

Western blot - Anti-KIF5A + KIF5B + KIF5C antibody [EPR24325-98] (<a href='/en-us/products/primary-antibodies/kif5a-kif5b-kif5c-antibody-epr24325-98-ab271049'>ab271049</a>) at 1/5000 dilution

Lane 1:

HEK-293T (human embryonic kidney) transfected with KIF5A expression vector containing a myc-His-tag®, whole cell lysate at 2 µg

Lane 2:

HEK-293T transfected with KIF5B expression vector containing a myc-His-tag®, whole cell lysate at 2 µg

Lane 3:

HEK-293T transfected with KIF5C expression vector containing a myc-His-tag®, whole cell lysate at 2 µg

Secondary

All lanes:

Goat Anti-Rabbit IgG, (H+L), Peroxidase conjugated (<a href='/en-us/products/secondary-antibodies/goat-rabbit-igg-h-l-hrp-ab97051'>ab97051</a>) at 1/100000 dilution

Predicted band size: 117 kDa

false

  • Unconjugated

    Anti-KIF5A + KIF5B + KIF5C antibody [EPR24325-98]

Key facts

Host species

Rabbit

Clonality

Monoclonal

Clone number

EPR24325-98

Isotype

IgG

Carrier free

Yes

Reacts with

Human, Rat, Mouse

Applications

WB, IP, Flow Cyt (Intra), ICC/IF

applications

Immunogen

The exact immunogen used to generate this antibody is proprietary information.

Reactivity data

{ "title": "Reactivity Data", "filters": { "stats": ["", "Species", "Dilution Info", "Notes"], "tabs": { "all-applications": {"fullname" : "All Applications", "shortname": "All Applications"}, "ICCIF" : {"fullname" : "Immunocytochemistry/ Immunofluorescence", "shortname":"ICC/IF"}, "IP" : {"fullname" : "Immunoprecipitation", "shortname":"IP"}, "WB" : {"fullname" : "Western blot", "shortname":"WB"}, "IHCP" : {"fullname" : "Immunohistochemistry (Formalin/PFA-fixed paraffin-embedded sections)", "shortname":"IHC-P"}, "FlowCytIntra" : {"fullname" : "Flow Cytometry (Intracellular)", "shortname":"Flow Cyt (Intra)"} }, "product-promise": { "all": "all", "testedAndGuaranteed": "tested", "guaranteed": "expected", "predicted": "predicted", "notRecommended": "not-recommended" } }, "values": { "Human": { "ICCIF-species-checked": "testedAndGuaranteed", "ICCIF-species-dilution-info": "", "ICCIF-species-notes": "<p></p>", "IP-species-checked": "testedAndGuaranteed", "IP-species-dilution-info": "", "IP-species-notes": "<p></p>", "WB-species-checked": "testedAndGuaranteed", "WB-species-dilution-info": "", "WB-species-notes": "<p></p>", "IHCP-species-checked": "notRecommended", "IHCP-species-dilution-info": "", "IHCP-species-notes": "<p></p>", "FlowCytIntra-species-checked": "testedAndGuaranteed", "FlowCytIntra-species-dilution-info": "", "FlowCytIntra-species-notes": "<p></p>" }, "Mouse": { "ICCIF-species-checked": "testedAndGuaranteed", "ICCIF-species-dilution-info": "", "ICCIF-species-notes": "<p></p>", "IP-species-checked": "testedAndGuaranteed", "IP-species-dilution-info": "", "IP-species-notes": "<p></p>", "WB-species-checked": "testedAndGuaranteed", "WB-species-dilution-info": "", "WB-species-notes": "<p></p>", "IHCP-species-checked": "notRecommended", "IHCP-species-dilution-info": "", "IHCP-species-notes": "<p></p>", "FlowCytIntra-species-checked": "testedAndGuaranteed", "FlowCytIntra-species-dilution-info": "", "FlowCytIntra-species-notes": "<p></p>" }, "Rat": { "ICCIF-species-checked": "testedAndGuaranteed", "ICCIF-species-dilution-info": "", "ICCIF-species-notes": "<p></p>", "IP-species-checked": "guaranteed", "IP-species-dilution-info": "", "IP-species-notes": "", "WB-species-checked": "testedAndGuaranteed", "WB-species-dilution-info": "", "WB-species-notes": "<p></p>", "IHCP-species-checked": "notRecommended", "IHCP-species-dilution-info": "", "IHCP-species-notes": "<p></p>", "FlowCytIntra-species-checked": "testedAndGuaranteed", "FlowCytIntra-species-dilution-info": "", "FlowCytIntra-species-notes": "<p></p>" } } }

Product details

ab283661 is the carrier-free version of ab271049.

Conjugation ready
Our carrier-free antibodies are typically supplied in a PBS-only formulation, purified and free of BSA, sodium azide and glycerol. This conjugation-ready format is designed for use with fluorochromes, metal isotopes, oligonucleotides, and enzymes, which makes them ideal for antibody labelling, functional and cell-based assays, flow-based assays (e.g. mass cytometry) and Multiplex Imaging applications.

Use our conjugation kits for antibody conjugates that are ready-to-use in as little as 20 minutes with 1 minute hands-on-time and 100% antibody recovery: available for fluorescent dyes, HRP, biotin and gold.

Compatibility
This product is compatible with the Maxpar® Antibody Labeling Kit from Fluidigm, without the need for antibody preparation. Maxpar® is a trademark of Fluidigm Canada Inc.

Properties and storage information

Form
Liquid
Purification technique
Affinity purification Protein A
Storage buffer
pH: 7.2 - 7.4 Constituents: PBS
Shipped at conditions
Blue Ice
Appropriate short-term storage conditions
+4°C
Appropriate long-term storage conditions
+4°C

Product protocols

For this product, it's our understanding that no specific protocols are required. You can visit:

Target data

Microtubule-dependent motor required for slow axonal transport of neurofilament proteins (NFH, NFM and NFL) (PubMed : 12682084). Can induce formation of neurite-like membrane protrusions in non-neuronal cells in a ZFYVE27-dependent manner. The ZFYVE27-KIF5A complex contributes to the vesicular transport of VAPA, VAPB, SURF4, RAB11A, RAB11B and RTN3 proteins in neurons (PubMed : 21976701). Required for anterograde axonal transportation of MAPK8IP3/JIP3 which is essential for MAPK8IP3/JIP3 function in axon elongation (By similarity).
See full target information Kif5a

Additional targets

,

Product promise

We are committed to supporting your work with high-quality reagents, and we're here for you every step of the way. In the unlikely event that one of our products does not perform as expected, you're protected by our Product Promise.
For full details, please see our Terms & Conditions

Please note: All products are 'FOR RESEARCH USE ONLY. NOT FOR USE IN DIAGNOSTIC OR THERAPEUTIC PROCEDURES'.

For licensing inquiries, please contact partnerships@abcam.com