JavaScript is disabled in your browser. Please enable JavaScript to view this website.
AB249004

Anti-KIF5B antibody [EPR10277(B)] - BSA and Azide free

Be the first to review this product! Submit a review

|

(1 Publication)

Rabbit Recombinant Monoclonal KIF5B antibody. Carrier free. Suitable for IHC-P, WB, Flow Cyt (Intra) and reacts with Human samples. Cited in 1 publication.

View Alternative Names

KNS, KNS1, KIF5B, Kinesin-1 heavy chain, Conventional kinesin heavy chain, Ubiquitous kinesin heavy chain, UKHC

5 Images
Flow Cytometry (Intracellular) - Anti-KIF5B antibody [EPR10277(B)] - BSA and Azide free (AB249004)
  • Flow Cyt (Intra)

Unknown

Flow Cytometry (Intracellular) - Anti-KIF5B antibody [EPR10277(B)] - BSA and Azide free (AB249004)

This data was developed using ab151558, the same antibody clone in a different buffer formulation.

Overlay histogram showing HeLa cells stained with ab151558 (red line). The cells were fixed with 80% methanol (5 min) and then permeabilized with 0.1% PBS-Tween for 20 min. The cells were then incubated in 1x PBS / 10% normal goat serum / 0.3M glycine to block non-specific protein-protein interactions followed by the antibody (ab151558, 1/100 dilution) for 30 min at 22°C. The secondary antibody used was Alexa Fluor® 488 goat anti-rabbit IgG (H&L) (ab150077) at 1/2000 dilution for 30 min at 22°C. Isotype control antibody (black line) was rabbit IgG (monoclonal) (1µg/1x106 cells) used under the same conditions. Unlabelled sample (blue line) was also used as a control. Acquisition of >5,000 events were collected using a 20mW Argon ion laser (488nm) and 525/30 bandpass filter.

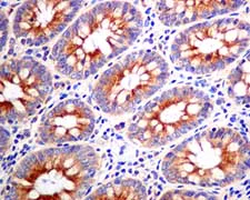
Immunohistochemistry (Formalin/PFA-fixed paraffin-embedded sections) - Anti-KIF5B antibody [EPR10277(B)] - BSA and Azide free (AB249004)
  • IHC-P

Unknown

Immunohistochemistry (Formalin/PFA-fixed paraffin-embedded sections) - Anti-KIF5B antibody [EPR10277(B)] - BSA and Azide free (AB249004)

This data was developed using ab151558, the same antibody clone in a different buffer formulation.

Immunohistochemical analysis of paraffin-embedded Human colon tissue labeling KIF5B with ab151558 at 1/50 dilution.

Perform heat mediated antigen retrieval with citrate buffer pH 6 before commencing with IHC staining protocol.

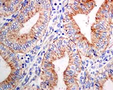
Immunohistochemistry (Formalin/PFA-fixed paraffin-embedded sections) - Anti-KIF5B antibody [EPR10277(B)] - BSA and Azide free (AB249004)
  • IHC-P

Unknown

Immunohistochemistry (Formalin/PFA-fixed paraffin-embedded sections) - Anti-KIF5B antibody [EPR10277(B)] - BSA and Azide free (AB249004)

This data was developed using ab151558, the same antibody clone in a different buffer formulation.

Immunohistochemical analysis of paraffin-embedded Human uterus tissue labeling KIF5B with ab151558 at 1/50 dilution.

Perform heat mediated antigen retrieval with citrate buffer pH 6 before commencing with IHC staining protocol.

Western blot - Anti-KIF5B antibody [EPR10277(B)] - BSA and Azide free (AB249004)
  • WB

Lab

Western blot - Anti-KIF5B antibody [EPR10277(B)] - BSA and Azide free (AB249004)

This data was developed using ab151558, the same antibody clone in a different buffer formulation.

Lane 1 : Wild-type HAP1 whole cell lysate (20 μg)

Lane 2 : KIF5B knockout HAP1 whole cell lysate (20 μg)

Lane 3 : Hek293 whole cell lysate (20 μg)

Lanes 1 - 3 : Merged signal (red and green). Green - ab151558 observed at 110 kDa. Red - loading control, ab9484, observed at 37 kDa.

ab151558 was shown to specifically react with KIF5B in wild-type cells as signal was lost in KIF5B knockout cells. Wild-type and KIF5B knockout samples were subjected to SDS-PAGE. ab151558 and ab9484 (Mouse anti-GAPDH loading control) were incubated overnight at 4°C at 1000 dilution and 1/20000 dilution respectively. Blots were developed with Goat anti-Rabbit IgG H&L (IRDye® 800CW) preabsorbed ab216773 and Goat anti-Mouse IgG H&L (IRDye® 680RD) preabsorbed ab216776 secondary antibodies at 1/20000 dilution for 1 hour at room temperature before imaging.

All lanes:

Western blot - Anti-KIF5B antibody [EPR10277(B)] (<a href='/en-us/products/primary-antibodies/kif5b-antibody-epr10277b-ab151558'>ab151558</a>)

Predicted band size: 110 kDa

false

Western blot - Anti-KIF5B antibody [EPR10277(B)] - BSA and Azide free (AB249004)
  • WB

Unknown

Western blot - Anti-KIF5B antibody [EPR10277(B)] - BSA and Azide free (AB249004)

This data was developed using ab151558, the same antibody clone in a different buffer formulation.

All lanes:

Western blot - Anti-KIF5B antibody [EPR10277(B)] (<a href='/en-us/products/primary-antibodies/kif5b-antibody-epr10277b-ab151558'>ab151558</a>) at 1/1000 dilution

Lane 1:

Jurkat cell lysate at 10 µg

Lane 2:

HeLa cell lysate at 10 µg

Lane 3:

HepG2 cell lysate at 10 µg

Predicted band size: 110 kDa

false

Key facts

Host species

Rabbit

Clonality

Monoclonal

Clone number

EPR10277(B)

Isotype

IgG

Carrier free

Yes

Reacts with

Human

Applications

Flow Cyt (Intra), WB, IHC-P

applications

Immunogen

The exact immunogen used to generate this antibody is proprietary information.

Reactivity data

{ "title": "Reactivity Data", "filters": { "stats": ["", "Species", "Dilution Info", "Notes"], "tabs": { "all-applications": {"fullname" : "All Applications", "shortname": "All Applications"}, "IHCP" : {"fullname" : "Immunohistochemistry (Formalin/PFA-fixed paraffin-embedded sections)", "shortname":"IHC-P"}, "WB" : {"fullname" : "Western blot", "shortname":"WB"}, "FlowCytIntra" : {"fullname" : "Flow Cytometry (Intracellular)", "shortname":"Flow Cyt (Intra)"} }, "product-promise": { "all": "all", "testedAndGuaranteed": "tested", "guaranteed": "expected", "predicted": "predicted", "notRecommended": "not-recommended" } }, "values": { "Human": { "IHCP-species-checked": "testedAndGuaranteed", "IHCP-species-dilution-info": "", "IHCP-species-notes": "<p></p>", "WB-species-checked": "testedAndGuaranteed", "WB-species-dilution-info": "", "WB-species-notes": "<p></p>", "FlowCytIntra-species-checked": "testedAndGuaranteed", "FlowCytIntra-species-dilution-info": "", "FlowCytIntra-species-notes": "<p><a href='/en-us/products/primary-antibodies/rabbit-igg-monoclonal-epr25a-isotype-control-ab172730'>ab172730</a> - Rabbit monoclonal IgG, is suitable for use as an isotype control with this antibody.</p>" } } }

Product details

ab249004 is the carrier-free version of ab151558.

Patented technology
Our RabMAb® technology is a patented hybridoma-based technology for making rabbit monoclonal antibodies. For details on our patents, please refer to RabMAb® patents.

What are the advantages of a recombinant monoclonal antibody?
This product is a recombinant monoclonal antibody, which offers several advantages including:

  • - High batch-to-batch consistency and reproducibility
  • - Improved sensitivity and specificity
  • - Long-term security of supply
  • - Animal-free batch production

For more information, read more on recombinant antibodies.

Conjugation ready
Our carrier-free antibodies are typically supplied in a PBS-only formulation, purified and free of BSA, sodium azide and glycerol. This conjugation-ready format is designed for use with fluorochromes, metal isotopes, oligonucleotides, and enzymes, which makes them ideal for antibody labelling, functional and cell-based assays, flow-based assays (e.g. mass cytometry) and Multiplex Imaging applications.

Use our conjugation kits for antibody conjugates that are ready-to-use in as little as 20 minutes with 1 minute hands-on-time and 100% antibody recovery: available for fluorescent dyes, HRP, biotin and gold.

Compatibility
This product is compatible with the Maxpar® Antibody Labeling Kit from Fluidigm, without the need for antibody preparation. Maxpar® is a trademark of Fluidigm Canada Inc.

Properties and storage information

Form
Liquid
Purification technique
Affinity purification Protein A
Storage buffer
pH: 7.2 - 7.4 Constituents: PBS
Shipped at conditions
Blue Ice
Appropriate short-term storage conditions
+4°C
Appropriate long-term storage conditions
+4°C
Storage information
Do Not Freeze

Product protocols

For this product, it's our understanding that no specific protocols are required. You can visit:

Target data

Microtubule-dependent motor required for normal distribution of mitochondria and lysosomes. Can induce formation of neurite-like membrane protrusions in non-neuronal cells in a ZFYVE27-dependent manner (By similarity). Regulates centrosome and nuclear positioning during mitotic entry. During the G2 phase of the cell cycle in a BICD2-dependent manner, antagonizes dynein function and drives the separation of nuclei and centrosomes (PubMed : 20386726). Required for anterograde axonal transportation of MAPK8IP3/JIP3 which is essential for MAPK8IP3/JIP3 function in axon elongation (By similarity). Through binding with PLEKHM2 and ARL8B, directs lysosome movement toward microtubule plus ends (Probable). Involved in NK cell-mediated cytotoxicity. Drives the polarization of cytolytic granules and microtubule-organizing centers (MTOCs) toward the immune synapse between effector NK lymphocytes and target cells (PubMed : 24088571).
See full target information KIF5B

Publications (1)

Recent publications for all applications. Explore the full list and refine your search

Oncology reports 50: PubMed37732539

2023

Heat shock protein B7 (HSPB7) inhibits lung adenocarcinoma progression by inhibiting glycolysis.

Applications

Unspecified application

Species

Unspecified reactive species

Zhitao Chen,Peipei Li,Lingguang Shen,Xiuyu Jiang
View all publications

Product promise

We are committed to supporting your work with high-quality reagents, and we're here for you every step of the way. In the unlikely event that one of our products does not perform as expected, you're protected by our Product Promise.
For full details, please see our Terms & Conditions

Please note: All products are 'FOR RESEARCH USE ONLY. NOT FOR USE IN DIAGNOSTIC OR THERAPEUTIC PROCEDURES'.

For licensing inquiries, please contact partnerships@abcam.com