JavaScript is disabled in your browser. Please enable JavaScript to view this website.
AB167429

Anti-KIF5B+KIF5C antibody [EPR10276(B)]

  • RabMAb
  • Recombinant
  • KO Validated
  • 20ul selling size
  • What is this?

4

(3 Reviews)

|

(54 Publications)

Rabbit Recombinant Monoclonal KIF5B antibody. Suitable for IHC-P, IP, WB, ICC/IF, Flow Cyt (Intra) and reacts with Human, Mouse, Rat, Recombinant fragment - Mouse samples. Cited in 54 publications.

View Alternative Names

KNS, KNS1, KIF5B, Kinesin-1 heavy chain, Conventional kinesin heavy chain, Ubiquitous kinesin heavy chain, UKHC, KIAA0531, NKHC2, KIF5C, Kinesin heavy chain isoform 5C, Kinesin heavy chain neuron-specific 2, Kinesin-1

10 Images
Immunohistochemistry (Formalin/PFA-fixed paraffin-embedded sections) - Anti-KIF5B+KIF5C antibody [EPR10276(B)] (AB167429)
  • IHC-P

Unknown

Immunohistochemistry (Formalin/PFA-fixed paraffin-embedded sections) - Anti-KIF5B+KIF5C antibody [EPR10276(B)] (AB167429)

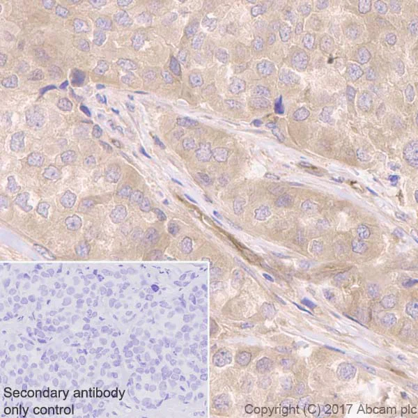
Immunohistochemistry (Formalin/PFA-fixed paraffin-embedded sections) analysis of Human breast carcinoma tissue sections labeling KIF5B with Purified ab167429 at 1 : 250 dilution (0.07 μg/ml). Heat mediated antigen retrieval was performed using ab93684 (Tris/EDTA buffer, pH 9.0). Tissue was counterstained with Hematoxylin. ImmunoHistoProbe one step HRP Polymer (ready to use) secondary antibody was used at 1 : 0 dilution. PBS instead of the primary antibody was used as the negative control.

Flow Cytometry (Intracellular) - Anti-KIF5B+KIF5C antibody [EPR10276(B)] (AB167429)
  • Flow Cyt (Intra)

Unknown

Flow Cytometry (Intracellular) - Anti-KIF5B+KIF5C antibody [EPR10276(B)] (AB167429)

Intracellular Flow Cytometry analysis of HepG2 (Human hepatocellular carcinoma epithelial cell) cells labeling KIF5B with purified ab167429 at 1/20 dilution (10μg/ml) (red). Cells were fixed with 4% Paraformaldehyde and permeabilised with 90% methanol. A Goat anti rabbit IgG (Alexa Fluor® 488) secondary antibody was used at 1/2000 dilution. Isotype control - Rabbit monoclonal IgG (Black). Unlabeled control - Cell without incubation with primary antibody and secondary antibody (Blue).

Immunocytochemistry/ Immunofluorescence - Anti-KIF5B+KIF5C antibody [EPR10276(B)] (AB167429)
  • ICC/IF

Unknown

Immunocytochemistry/ Immunofluorescence - Anti-KIF5B+KIF5C antibody [EPR10276(B)] (AB167429)

Immunofluorescence analysis of HeLa cells, labeling KIF5B using unpurified ab167429 at a 1/100 dilution.

Immunohistochemistry (Formalin/PFA-fixed paraffin-embedded sections) - Anti-KIF5B+KIF5C antibody [EPR10276(B)] (AB167429)
  • IHC-P

Unknown

Immunohistochemistry (Formalin/PFA-fixed paraffin-embedded sections) - Anti-KIF5B+KIF5C antibody [EPR10276(B)] (AB167429)

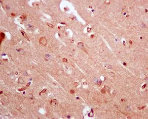
Immunohistochemical analysis of formalin-fixed, paraffin-embedded Human brain tissue, labeling KIF5B using unpurified ab167429 at a 1/100 dilution.

Perform heat mediated antigen retrieval with citrate buffer pH 6 before commencing with IHC staining protocol.

Immunocytochemistry/ Immunofluorescence - Anti-KIF5B+KIF5C antibody [EPR10276(B)] (AB167429)
  • ICC/IF

Unknown

Immunocytochemistry/ Immunofluorescence - Anti-KIF5B+KIF5C antibody [EPR10276(B)] (AB167429)

Immunocytochemistry/Immunofluorescence analysis HepG2(human hepatocellular carcinoma) labelling KIF5B with purified ab167429 at 1/500. Cells were fixed with 4% PFA and permeabilized with 0.1% Triton X-100. An Alexa Fluor® 488-conjugated goat anti-rabbit IgG (1/1000) was used as the secondary antibody (ab150077). Nuclei counterstained with DAPI (blue).

Control : PBS only

Immunoprecipitation - Anti-KIF5B+KIF5C antibody [EPR10276(B)] (AB167429)
  • IP

Lab

Immunoprecipitation - Anti-KIF5B+KIF5C antibody [EPR10276(B)] (AB167429)

ab167429 (purified) at 1 : 20 dilution (2μg) immunoprecipitating KIF5B in HeLa (Human cervix adenocarcinoma epithelial cell) whole cell lysate.

Lane 1 (input) : HeLa (Human cervix adenocarcinoma epithelial cell) whole cell lysate 10μg
Lane 2 (+) : ab167429 & HeLa (Human cervix adenocarcinoma epithelial cell) whole cell lysate
Lane 3 (-) : Rabbit monoclonal IgG (ab172730) instead of ab167429 in HeLa (Human cervix adenocarcinoma epithelial cell) whole cell lysate

For western blotting, VeriBlot for IP Detection Reagent (HRP) (ab131366) was used for detection at 1 : 1000 dilution.
Blocking and diluting buffer : 5% NFDM/TBST.

All lanes:

Immunoprecipitation - Anti-KIF5B+KIF5C antibody [EPR10276(B)] (ab167429)

Predicted band size: 110 kDa

false

Western blot - Anti-KIF5B+KIF5C antibody [EPR10276(B)] (AB167429)
  • WB

Lab

Western blot - Anti-KIF5B+KIF5C antibody [EPR10276(B)] (AB167429)

Blocking and diluting buffer : 5% NFDM/TBST

All lanes:

Western blot - Anti-KIF5B+KIF5C antibody [EPR10276(B)] (ab167429) at 1/5000 dilution

Lane 1:

Jurkat (human acute T cell leukemia) whole cell lysates at 20 µg

Lane 2:

HeLa (Human cervix adenocarcinoma epithelial cell ) whole cell lysates at 20 µg

Lane 3:

Mouse brain lysates at 20 µg

Lane 4:

Rat brain lysates at 20 µg

Secondary

All lanes:

Western blot - Goat Anti-Rabbit IgG H&L (HRP) (<a href='/en-us/products/secondary-antibodies/goat-rabbit-igg-h-l-hrp-ab97051'>ab97051</a>) at 1/20000 dilution

Predicted band size: 110 kDa

false

Western blot - Anti-KIF5B+KIF5C antibody [EPR10276(B)] (AB167429)
  • WB

Supplier Data

Western blot - Anti-KIF5B+KIF5C antibody [EPR10276(B)] (AB167429)

Lane 1 : Wild-type HAP1 whole cell lysate (20 μg)
Lane 2 : KIF5B knockout HAP1 whole cell lysate (20 μg)

Lanes 1 - 2 : Merged signal (red and green). Green - ab167429 observed at 110 kDa. Red - loading control, ab9484, observed at 37 kDa.

Unpurified ab167429 was shown to specifically react with KIF5B in wild-type cells as signal was lost in KIF5B knockout cells. Wild-type and KIF5B knockout samples were subjected to SDS-PAGE. ab167429 and ab9484 (Mouse anti-GAPDH loading control) were incubated overnight at 4°C at 1/1000 dilution and 1/20000 dilution respectively. Blots were developed with Goat anti-Rabbit IgG H&L (IRDye® 800CW) preabsorbed ab216773 and Goat anti-Mouse IgG H&L (IRDye® 680RD) preabsorbed ab216776 secondary antibodies at 1/20000 dilution for 1 hour at room temperature before imaging.

All lanes:

Western blot - Anti-KIF5B+KIF5C antibody [EPR10276(B)] (ab167429)

Predicted band size: 110 kDa

false

Western blot - Anti-KIF5B+KIF5C antibody [EPR10276(B)] (AB167429)
  • WB

Unknown

Western blot - Anti-KIF5B+KIF5C antibody [EPR10276(B)] (AB167429)

All lanes:

Western blot - Anti-KIF5B+KIF5C antibody [EPR10276(B)] (ab167429) at 1/1000 dilution

Lane 1:

Human fetal kidney lysate at 10 µg

Lane 2:

HeLa lysate at 10 µg

Lane 3:

Jurkat lysate at 10 µg

Lane 4:

HepG2 lysate at 10 µg

Secondary

All lanes:

Goat anti-rabbit HRP at 1/2000 dilution

Predicted band size: 110 kDa

false

Western blot - Anti-KIF5B+KIF5C antibody [EPR10276(B)] (AB167429)
  • WB

Lab

Western blot - Anti-KIF5B+KIF5C antibody [EPR10276(B)] (AB167429)

Blocking and diluting buffer and concentration : 5% NFDM/TBST

ab181602 was used a GAPDH loading control.

All lanes:

Western blot - Anti-KIF5B+KIF5C antibody [EPR10276(B)] (ab167429) at 1/1000 dilution

Lane 1:

293T (Human embryonic kidney epithelial cell) +OE-empty at 20 µg

Lane 2:

293T (Human embryonic kidney epithelial cell) +OE-mouse KIF5A at 20 µg

Lane 3:

293T (Human embryonic kidney epithelial cell) +OE-mouse KIF5C at 20 µg

Lane 4:

293T (Human embryonic kidney epithelial cell) +OE-mouse KIF5B at 20 µg

Secondary

All lanes:

Western blot - Goat Anti-Rabbit IgG H&L (HRP) (<a href='/en-us/products/secondary-antibodies/goat-rabbit-igg-h-l-hrp-ab97051'>ab97051</a>) at 1/20000 dilution

Observed band size: 110 kDa

false

Exposure time: 1s

  • Carrier free

    Anti-KIF5B+KIF5C antibody [EPR10276(B)] - BSA and Azide free

  • 578 PE

    PE Anti-KIF5B+KIF5C antibody [EPR10276(B)]

Key facts

Host species

Rabbit

Clonality

Monoclonal

Clone number

EPR10276(B)

Isotype

IgG

Carrier free

No

Reacts with

Mouse, Rat, Human

Applications

IHC-P, IP, ICC/IF, WB, Flow Cyt (Intra)

applications

Immunogen

The exact immunogen used to generate this antibody is proprietary information.

Specificity

The mouse and rat recommendation is based on the WB results. We do not guarantee IHC-P for mouse and rat.

Reactivity data

{ "title": "Reactivity Data", "filters": { "stats": ["", "Species", "Dilution Info", "Notes"], "tabs": { "all-applications": {"fullname" : "All Applications", "shortname": "All Applications"}, "IHCP" : {"fullname" : "Immunohistochemistry (Formalin/PFA-fixed paraffin-embedded sections)", "shortname":"IHC-P"}, "IP" : {"fullname" : "Immunoprecipitation", "shortname":"IP"}, "WB" : {"fullname" : "Western blot", "shortname":"WB"}, "ICCIF" : {"fullname" : "Immunocytochemistry/ Immunofluorescence", "shortname":"ICC/IF"}, "FlowCytIntra" : {"fullname" : "Flow Cytometry (Intracellular)", "shortname":"Flow Cyt (Intra)"} }, "product-promise": { "all": "all", "testedAndGuaranteed": "tested", "guaranteed": "expected", "predicted": "predicted", "notRecommended": "not-recommended" } }, "values": { "Human": { "IHCP-species-checked": "testedAndGuaranteed", "IHCP-species-dilution-info": "1/100 - 1/250", "IHCP-species-notes": "<p>The mouse and rat recommendation is based on the WB results. We do not guarantee IHC-P for mouse and rat.</p> Perform heat-mediated antigen retrieval with citrate buffer pH 6 before commencing with IHC staining protocol.", "IP-species-checked": "testedAndGuaranteed", "IP-species-dilution-info": "1/10 - 1/100", "IP-species-notes": "<p></p>", "WB-species-checked": "testedAndGuaranteed", "WB-species-dilution-info": "1/1000 - 1/10000", "WB-species-notes": "<p></p>", "ICCIF-species-checked": "testedAndGuaranteed", "ICCIF-species-dilution-info": "1/100 - 1/500", "ICCIF-species-notes": "<p></p>", "FlowCytIntra-species-checked": "testedAndGuaranteed", "FlowCytIntra-species-dilution-info": "", "FlowCytIntra-species-notes": "<p></p>" }, "Mouse": { "IHCP-species-checked": "notRecommended", "IHCP-species-dilution-info": "", "IHCP-species-notes": "<p></p>", "IP-species-checked": "guaranteed", "IP-species-dilution-info": "", "IP-species-notes": "", "WB-species-checked": "testedAndGuaranteed", "WB-species-dilution-info": "1/1000 - 1/10000", "WB-species-notes": "<p></p>", "ICCIF-species-checked": "guaranteed", "ICCIF-species-dilution-info": "", "ICCIF-species-notes": "", "FlowCytIntra-species-checked": "guaranteed", "FlowCytIntra-species-dilution-info": "", "FlowCytIntra-species-notes": "" }, "Rat": { "IHCP-species-checked": "notRecommended", "IHCP-species-dilution-info": "", "IHCP-species-notes": "<p></p>", "IP-species-checked": "guaranteed", "IP-species-dilution-info": "", "IP-species-notes": "", "WB-species-checked": "testedAndGuaranteed", "WB-species-dilution-info": "1/1000 - 1/10000", "WB-species-notes": "<p></p>", "ICCIF-species-checked": "guaranteed", "ICCIF-species-dilution-info": "", "ICCIF-species-notes": "", "FlowCytIntra-species-checked": "guaranteed", "FlowCytIntra-species-dilution-info": "", "FlowCytIntra-species-notes": "" }, "Recombinant fragment - Mouse": { "IHCP-species-checked": "notRecommended", "IHCP-species-dilution-info": "", "IHCP-species-notes": "", "IP-species-checked": "notRecommended", "IP-species-dilution-info": "", "IP-species-notes": "", "WB-species-checked": "testedAndGuaranteed", "WB-species-dilution-info": "1/1000", "WB-species-notes": "<p></p>", "ICCIF-species-checked": "notRecommended", "ICCIF-species-dilution-info": "", "ICCIF-species-notes": "", "FlowCytIntra-species-checked": "notRecommended", "FlowCytIntra-species-dilution-info": "", "FlowCytIntra-species-notes": "" } } }

Product details

Patented technology
Our RabMAb® technology is a patented hybridoma-based technology for making rabbit monoclonal antibodies. For details on our patents, please refer to RabMAb® patents.

What are the advantages of a recombinant monoclonal antibody?
This product is a recombinant monoclonal antibody, which offers several advantages including:

  • - High batch-to-batch consistency and reproducibility
  • - Improved sensitivity and specificity
  • - Long-term security of supply
  • - Animal-free batch production

For more information, read more on recombinant antibodies.

Properties and storage information

Form
Liquid
Purification technique
Affinity purification Protein A
Storage buffer
pH: 7.2 - 7.4 Preservative: 0.01% Sodium azide Constituents: PBS, 40% Glycerol (glycerin, glycerine), 0.21% BSA
Shipped at conditions
Blue Ice
Appropriate short-term storage duration
1-2 weeks
Appropriate short-term storage conditions
+4°C
Appropriate long-term storage conditions
-20°C
Aliquoting information
Upon delivery aliquot
Storage information
Avoid freeze / thaw cycle

Product protocols

For this product, it's our understanding that no specific protocols are required. You can visit:

Target data

Microtubule-dependent motor required for normal distribution of mitochondria and lysosomes. Can induce formation of neurite-like membrane protrusions in non-neuronal cells in a ZFYVE27-dependent manner (By similarity). Regulates centrosome and nuclear positioning during mitotic entry. During the G2 phase of the cell cycle in a BICD2-dependent manner, antagonizes dynein function and drives the separation of nuclei and centrosomes (PubMed : 20386726). Required for anterograde axonal transportation of MAPK8IP3/JIP3 which is essential for MAPK8IP3/JIP3 function in axon elongation (By similarity). Through binding with PLEKHM2 and ARL8B, directs lysosome movement toward microtubule plus ends (Probable). Involved in NK cell-mediated cytotoxicity. Drives the polarization of cytolytic granules and microtubule-organizing centers (MTOCs) toward the immune synapse between effector NK lymphocytes and target cells (PubMed : 24088571).
See full target information KIF5B

Additional targets

KIF5C

Publications (54)

Recent publications for all applications. Explore the full list and refine your search

Nature cardiovascular research 4:1501-1520 PubMed41073815

2025

Microtubule forces drive nuclear damage in LMNA cardiomyopathy.

Applications

Unspecified application

Species

Unspecified reactive species

Daria Amiad Pavlov,Julie Heffler,Carmen Suay-Corredera,Mohammad Dehghany,Kaitlyn M Shen,Noam Zuela-Sopilniak,Rani Randell,Keita Uchida,Rajan Jain,Vivek Shenoy,Jan Lammerding,Benjamin Prosser

Nature communications 16:3375 PubMed40204688

2025

Peripheral positioning of lysosomes supports melanoma aggressiveness.

Applications

Unspecified application

Species

Unspecified reactive species

Katerina Jerabkova-Roda,Marina Peralta,Kuang-Jing Huang,Antoine Mousson,Clara Bourgeat Maudru,Louis Bochler,Ignacio Busnelli,Rabia Karali,Hélène Justiniano,Lucian-Mihai Lisii,Philippe Carl,Vincent Mittelheisser,Nandini Asokan,Annabel Larnicol,Olivier Lefebvre,Hugo Lachuer,Angélique Pichot,Tristan Stemmelen,Anne Molitor,Léa Scheid,Quentin Frenger,Frédéric Gros,Aurélie Hirschler,François Delalande,Emilie Sick,Raphaël Carapito,Christine Carapito,Dan Lipsker,Kristine Schauer,Philippe Rondé,Vincent Hyenne,Jacky G Goetz

Scientific reports 15:6891 PubMed40011606

2025

High-intensity interval training alleviates STZ-induced muscle atrophy by restoration of nuclear positioning defects in C57BL/6 male mice.

Applications

Unspecified application

Species

Unspecified reactive species

Masoud Rahmati,Rohollah Nikooie

Neurospine 21:878-889 PubMed39363468

2024

Modulation of the LIMK Pathway by Myricetin: A Protective Strategy Against Neurological Impairments in Spinal Cord Injury.

Applications

Unspecified application

Species

Unspecified reactive species

Abhishek Roy,Santimoy Sen,Rudradip Das,Amit Shard,Hemant Kumar

Nature communications 15:4740 PubMed38834545

2024

Burkholderia pseudomallei BipD modulates host mitophagy to evade killing.

Applications

Unspecified application

Species

Unspecified reactive species

Dongqi Nan,Chenglong Rao,Zhiheng Tang,Wenbo Yang,Pan Wu,Jiangao Chen,Yupei Xia,Jingmin Yan,Wenzheng Liu,Ziyuan Zhang,Zhiqiang Hu,Hai Chen,Yaling Liao,Xuhu Mao,Xiaoyun Liu,Quanming Zou,Qian Li

Proceedings of the National Academy of Sciences of the United States of America 121:e2401341121 PubMed38696466

2024

The HSV-1 pUL37 protein promotes cell invasion by regulating the kinesin-1 motor.

Applications

Unspecified application

Species

Unspecified reactive species

DongHo Kim,Michael A Cianfrocco,Kristen J Verhey,Gregory A Smith

Military Medical Research 11:17 PubMed38475827

2024

Endophilin A2 controls touch and mechanical allodynia via kinesin-mediated Piezo2 trafficking.

Applications

Unspecified application

Species

Unspecified reactive species

Man-Xiu Xie,Ren-Chun Lai,Yi-Bin Xiao,Xi Zhang,Xian-Ying Cao,Xiao-Yu Tian,An-Nan Chen,Zi-Yi Chen,Yan Cao,Xiao Li,Xiao-Long Zhang

Cell 187:276-293.e23 PubMed38171360

2024

Cytoneme signaling provides essential contributions to mammalian tissue patterning.

Applications

Unspecified application

Species

Unspecified reactive species

Eric T Hall,Miriam E Dillard,Elizabeth R Cleverdon,Yan Zhang,Christina A Daly,Shariq S Ansari,Randall Wakefield,Daniel P Stewart,Shondra M Pruett-Miller,Alfonso Lavado,Alex F Carisey,Amanda Johnson,Yong-Dong Wang,Emma Selner,Michael Tanes,Young Sang Ryu,Camenzind G Robinson,Jeffrey Steinberg,Stacey K Ogden

CNS neuroscience & therapeutics 30:e14439 PubMed37641882

2023

Inhibition of HDAC6 promotes microvascular endothelial cells to phagocytize myelin debris and reduces inflammatory response to accelerate the repair of spinal cord injury.

Applications

Unspecified application

Species

Unspecified reactive species

Chengjie Wu,Yalan Pan,Lining Wang,Mengmin Liu,Pengcheng Tu,Sixian Chen,Lei Shi,Danqing Yan,Yong Ma,Yang Guo

Frontiers in cell and developmental biology 11:981425 PubMed37484914

2023

HURP localization in metaphase is the result of a multi-step process requiring its phosphorylation at Ser627 residue.

Applications

Unspecified application

Species

Unspecified reactive species

Stylianos Didaskalou,Christos Efstathiou,Sotirios Galtsidis,Ilοna Kesisova,Aliaksandr Halavatyi,Tountzai Elmali,Avgi Tsolou,Andreas Girod,Maria Koffa
View all publications

Product promise

We are committed to supporting your work with high-quality reagents, and we're here for you every step of the way. In the unlikely event that one of our products does not perform as expected, you're protected by our Product Promise.
For full details, please see our Terms & Conditions

Please note: All products are 'FOR RESEARCH USE ONLY. NOT FOR USE IN DIAGNOSTIC OR THERAPEUTIC PROCEDURES'.

For licensing inquiries, please contact partnerships@abcam.com