JavaScript is disabled in your browser. Please enable JavaScript to view this website.
AB232350

Anti-KIF5B+KIF5C antibody [EPR10276(B)] - BSA and Azide free

Be the first to review this product! Submit a review

|

(1 Publication)

Rabbit Recombinant Monoclonal KIF5B antibody. Carrier free. Suitable for IHC-P, IP, WB, ICC/IF, Flow Cyt (Intra) and reacts with Human, Mouse, Rat, Recombinant fragment - Mouse samples. Cited in 1 publication.

View Alternative Names

KNS, KNS1, KIF5B, Kinesin-1 heavy chain, Conventional kinesin heavy chain, Ubiquitous kinesin heavy chain, UKHC

8 Images
Immunocytochemistry/ Immunofluorescence - Anti-KIF5B+KIF5C antibody [EPR10276(B)] - BSA and Azide free (AB232350)
  • ICC/IF

Unknown

Immunocytochemistry/ Immunofluorescence - Anti-KIF5B+KIF5C antibody [EPR10276(B)] - BSA and Azide free (AB232350)

Immunofluorescence analysis of HeLa cells, labeling KIF5B using unpurified ab167429 at a 1/100 dilution.

This data was developed using the same antibody clone in a different buffer formulation containing PBS, BSA, glycerol, and sodium azide (ab167429).

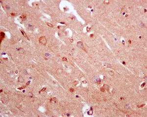
Immunohistochemistry (Formalin/PFA-fixed paraffin-embedded sections) - Anti-KIF5B+KIF5C antibody [EPR10276(B)] - BSA and Azide free (AB232350)
  • IHC-P

Unknown

Immunohistochemistry (Formalin/PFA-fixed paraffin-embedded sections) - Anti-KIF5B+KIF5C antibody [EPR10276(B)] - BSA and Azide free (AB232350)

Immunohistochemical analysis of formalin-fixed, paraffin-embedded Human brain tissue, labeling KIF5B using unpurified ab167429 at a 1/100 dilution.

This data was developed using the same antibody clone in a different buffer formulation containing PBS, BSA, glycerol, and sodium azide (ab167429).

Perform heat mediated antigen retrieval with citrate buffer pH 6 before commencing with IHC staining protocol.

Immunocytochemistry/ Immunofluorescence - Anti-KIF5B+KIF5C antibody [EPR10276(B)] - BSA and Azide free (AB232350)
  • ICC/IF

Unknown

Immunocytochemistry/ Immunofluorescence - Anti-KIF5B+KIF5C antibody [EPR10276(B)] - BSA and Azide free (AB232350)

Immunocytochemistry/Immunofluorescence analysis HepG2(human hepatocellular carcinoma) labelling KIF5B with purified ab167429 at 1/500. Cells were fixed with 4% PFA and permeabilized with 0.1% Triton X-100. An Alexa Fluor® 488-conjugated goat anti-rabbit IgG (1/1000) was used as the secondary antibody (ab150077). Nuclei counterstained with DAPI (blue).

Control : PBS only

This data was developed using the same antibody clone in a different buffer formulation containing PBS, BSA, glycerol, and sodium azide (ab167429).

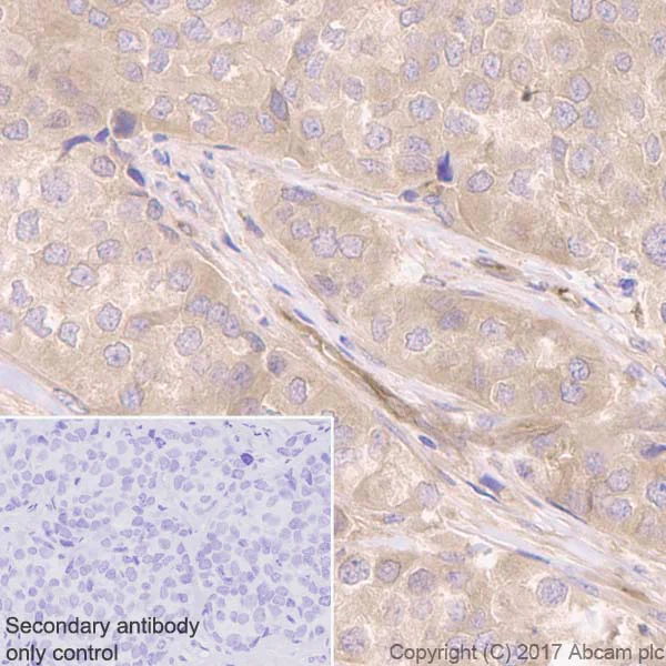
Immunohistochemistry (Formalin/PFA-fixed paraffin-embedded sections) - Anti-KIF5B+KIF5C antibody [EPR10276(B)] - BSA and Azide free (AB232350)
  • IHC-P

Unknown

Immunohistochemistry (Formalin/PFA-fixed paraffin-embedded sections) - Anti-KIF5B+KIF5C antibody [EPR10276(B)] - BSA and Azide free (AB232350)

Immunohistochemistry (Formalin/PFA-fixed paraffin-embedded sections) analysis of Human breast carcinoma tissue sections labeling KIF5B with Purified ab167429 at 1 : 250 dilution (0.07 μg/ml). Heat mediated antigen retrieval was performed using ab93684 (Tris/EDTA buffer, pH 9.0). Tissue was counterstained with Hematoxylin. ImmunoHistoProbe one step HRP Polymer (ready to use) secondary antibody was used at 1 : 0 dilution. PBS instead of the primary antibody was used as the negative control.

This data was developed using the same antibody clone in a different buffer formulation containing PBS, BSA, glycerol, and sodium azide (ab167429).

Flow Cytometry (Intracellular) - Anti-KIF5B+KIF5C antibody [EPR10276(B)] - BSA and Azide free (AB232350)
  • Flow Cyt (Intra)

Unknown

Flow Cytometry (Intracellular) - Anti-KIF5B+KIF5C antibody [EPR10276(B)] - BSA and Azide free (AB232350)

Intracellular Flow Cytometry analysis of HepG2 (Human hepatocellular carcinoma epithelial cell) cells labeling KIF5B with purified ab167429 at 1/20 dilution (10 μg/ml) (red). Cells were fixed with 4% Paraformaldehyde and permeabilised with 90% methanol. A Goat anti rabbit IgG (Alexa Fluor® 488) secondary antibody was used at 1/2000 dilution. Isotype control - Rabbit monoclonal IgG (Black). Unlabeled control - Cell without incubation with primary antibody and secondary antibody (Blue).

This data was developed using the same antibody clone in a different buffer formulation containing PBS, BSA, glycerol, and sodium azide (ab167429).

Immunoprecipitation - Anti-KIF5B+KIF5C antibody [EPR10276(B)] - BSA and Azide free (AB232350)
  • IP

Lab

Immunoprecipitation - Anti-KIF5B+KIF5C antibody [EPR10276(B)] - BSA and Azide free (AB232350)

ab167429 (purified) at 1 : 20 dilution (2μg) immunoprecipitating KIF5B in HeLa (Human cervix adenocarcinoma epithelial cell) whole cell lysate.

Lane 1 (input) : HeLa (Human cervix adenocarcinoma epithelial cell) whole cell lysate 10μg
Lane 2 (+) : ab167429 & HeLa (Human cervix adenocarcinoma epithelial cell) whole cell lysate
Lane 3 (-) : Rabbit monoclonal IgG (ab172730) instead of ab167429 in HeLa (Human cervix adenocarcinoma epithelial cell) whole cell lysate

For western blotting, VeriBlot for IP Detection Reagent (HRP) (ab131366) was used for detection at 1 : 1000 dilution.
Blocking and diluting buffer : 5% NFDM/TBST.

This data was developed using the same antibody clone in a different buffer formulation containing PBS, BSA, glycerol, and sodium azide (ab167429).

All lanes:

Immunoprecipitation - Anti-KIF5B+KIF5C antibody [EPR10276(B)] (<a href='/en-us/products/primary-antibodies/kif5bkif5c-antibody-epr10276b-ab167429'>ab167429</a>)

Predicted band size: 110 kDa

false

Western blot - Anti-KIF5B+KIF5C antibody [EPR10276(B)] - BSA and Azide free (AB232350)
  • WB

Supplier Data

Western blot - Anti-KIF5B+KIF5C antibody [EPR10276(B)] - BSA and Azide free (AB232350)

Lane 1 : Wild-type HAP1 whole cell lysate (20 μg)
Lane 2 : KIF5B knockout HAP1 whole cell lysate (20 μg)

Lanes 1 - 2 : Merged signal (red and green). Green - ab167429 observed at 110 kDa. Red - loading control, ab9484, observed at 37 kDa.

Unpurified ab167429 was shown to specifically react with KIF5B in wild-type cells as signal was lost in KIF5B knockout cells. Wild-type and KIF5B knockout samples were subjected to SDS-PAGE. ab167429 and ab9484 (Mouse anti-GAPDH loading control) were incubated overnight at 4°C at 1/1000 dilution and 1/20000 dilution respectively. Blots were developed with Goat anti-Rabbit IgG H&L (IRDye® 800CW) preabsorbed ab216773 and Goat anti-Mouse IgG H&L (IRDye® 680RD) preabsorbed ab216776 secondary antibodies at 1/20000 dilution for 1 hour at room temperature before imaging.

This data was developed using the same antibody clone in a different buffer formulation containing PBS, BSA, glycerol, and sodium azide (ab167429).

All lanes:

Western blot - Anti-KIF5B+KIF5C antibody [EPR10276(B)] (<a href='/en-us/products/primary-antibodies/kif5bkif5c-antibody-epr10276b-ab167429'>ab167429</a>)

Predicted band size: 110 kDa

false

Western blot - Anti-KIF5B+KIF5C antibody [EPR10276(B)] - BSA and Azide free (AB232350)
  • WB

Lab

Western blot - Anti-KIF5B+KIF5C antibody [EPR10276(B)] - BSA and Azide free (AB232350)

This data was developed using the same antibody clone in a different buffer formulation containing PBS, BSA, glycerol, and sodium azide (ab167429).

Blocking and diluting buffer and concentration : 5% NFDM/TBST

ab181602 was used a GAPDH loading control.

All lanes:

Western blot - Anti-KIF5B+KIF5C antibody [EPR10276(B)] (<a href='/en-us/products/primary-antibodies/kif5bkif5c-antibody-epr10276b-ab167429'>ab167429</a>) at 1/1000 dilution

Lane 1:

293T (Human embryonic kidney epithelial cell) +OE-empty at 20 µg

Lane 2:

293T (Human embryonic kidney epithelial cell) +OE-mouse KIF5A at 20 µg

Lane 3:

293T (Human embryonic kidney epithelial cell) +OE-mouse KIF5C at 20 µg

Lane 4:

293T (Human embryonic kidney epithelial cell) +OE-mouse KIF5B at 20 µg

Secondary

All lanes:

Western blot - Goat Anti-Rabbit IgG H&L (HRP) (<a href='/en-us/products/secondary-antibodies/goat-rabbit-igg-h-l-hrp-ab97051'>ab97051</a>) at 1/20000 dilution

Observed band size: 110 kDa

false

Exposure time: 1s

Key facts

Host species

Rabbit

Clonality

Monoclonal

Clone number

EPR10276(B)

Isotype

IgG

Carrier free

Yes

Reacts with

Mouse, Rat, Human

Applications

IP, Flow Cyt (Intra), ICC/IF, WB, IHC-P

applications

Immunogen

The exact immunogen used to generate this antibody is proprietary information.

Specificity

The mouse and rat recommendation is based on the WB results. We do not guarantee IHC-P for mouse and rat.

Reactivity data

{ "title": "Reactivity Data", "filters": { "stats": ["", "Species", "Dilution Info", "Notes"], "tabs": { "all-applications": {"fullname" : "All Applications", "shortname": "All Applications"}, "IHCP" : {"fullname" : "Immunohistochemistry (Formalin/PFA-fixed paraffin-embedded sections)", "shortname":"IHC-P"}, "IP" : {"fullname" : "Immunoprecipitation", "shortname":"IP"}, "WB" : {"fullname" : "Western blot", "shortname":"WB"}, "ICCIF" : {"fullname" : "Immunocytochemistry/ Immunofluorescence", "shortname":"ICC/IF"}, "FlowCytIntra" : {"fullname" : "Flow Cytometry (Intracellular)", "shortname":"Flow Cyt (Intra)"} }, "product-promise": { "all": "all", "testedAndGuaranteed": "tested", "guaranteed": "expected", "predicted": "predicted", "notRecommended": "not-recommended" } }, "values": { "Human": { "IHCP-species-checked": "testedAndGuaranteed", "IHCP-species-dilution-info": "", "IHCP-species-notes": "<p>The mouse and rat recommendation is based on the WB results. We do not guarantee IHC-P for mouse and rat.</p>", "IP-species-checked": "testedAndGuaranteed", "IP-species-dilution-info": "", "IP-species-notes": "<p></p>", "WB-species-checked": "testedAndGuaranteed", "WB-species-dilution-info": "", "WB-species-notes": "<p></p>", "ICCIF-species-checked": "testedAndGuaranteed", "ICCIF-species-dilution-info": "", "ICCIF-species-notes": "<p></p>", "FlowCytIntra-species-checked": "testedAndGuaranteed", "FlowCytIntra-species-dilution-info": "", "FlowCytIntra-species-notes": "<p></p>" }, "Mouse": { "IHCP-species-checked": "guaranteed", "IHCP-species-dilution-info": "", "IHCP-species-notes": "", "IP-species-checked": "guaranteed", "IP-species-dilution-info": "", "IP-species-notes": "", "WB-species-checked": "testedAndGuaranteed", "WB-species-dilution-info": "", "WB-species-notes": "<p></p>", "ICCIF-species-checked": "guaranteed", "ICCIF-species-dilution-info": "", "ICCIF-species-notes": "", "FlowCytIntra-species-checked": "guaranteed", "FlowCytIntra-species-dilution-info": "", "FlowCytIntra-species-notes": "" }, "Rat": { "IHCP-species-checked": "guaranteed", "IHCP-species-dilution-info": "", "IHCP-species-notes": "", "IP-species-checked": "guaranteed", "IP-species-dilution-info": "", "IP-species-notes": "", "WB-species-checked": "testedAndGuaranteed", "WB-species-dilution-info": "", "WB-species-notes": "<p></p>", "ICCIF-species-checked": "guaranteed", "ICCIF-species-dilution-info": "", "ICCIF-species-notes": "", "FlowCytIntra-species-checked": "guaranteed", "FlowCytIntra-species-dilution-info": "", "FlowCytIntra-species-notes": "" }, "Recombinant fragment - Mouse": { "IHCP-species-checked": "notRecommended", "IHCP-species-dilution-info": "", "IHCP-species-notes": "", "IP-species-checked": "notRecommended", "IP-species-dilution-info": "", "IP-species-notes": "", "WB-species-checked": "testedAndGuaranteed", "WB-species-dilution-info": "", "WB-species-notes": "<p></p>", "ICCIF-species-checked": "notRecommended", "ICCIF-species-dilution-info": "", "ICCIF-species-notes": "", "FlowCytIntra-species-checked": "notRecommended", "FlowCytIntra-species-dilution-info": "", "FlowCytIntra-species-notes": "" } } }

Product details

ab232350 is the carrier-free version of ab167429.

Patented technology
Our RabMAb® technology is a patented hybridoma-based technology for making rabbit monoclonal antibodies. For details on our patents, please refer to RabMAb® patents.

What are the advantages of a recombinant monoclonal antibody?
This product is a recombinant monoclonal antibody, which offers several advantages including:

  • - High batch-to-batch consistency and reproducibility
  • - Improved sensitivity and specificity
  • - Long-term security of supply
  • - Animal-free batch production

For more information, read more on recombinant antibodies.

Conjugation ready
Our carrier-free antibodies are typically supplied in a PBS-only formulation, purified and free of BSA, sodium azide and glycerol. This conjugation-ready format is designed for use with fluorochromes, metal isotopes, oligonucleotides, and enzymes, which makes them ideal for antibody labelling, functional and cell-based assays, flow-based assays (e.g. mass cytometry) and Multiplex Imaging applications.

Use our conjugation kits for antibody conjugates that are ready-to-use in as little as 20 minutes with 1 minute hands-on-time and 100% antibody recovery: available for fluorescent dyes, HRP, biotin and gold.

Compatibility
This product is compatible with the Maxpar® Antibody Labeling Kit from Fluidigm, without the need for antibody preparation. Maxpar® is a trademark of Fluidigm Canada Inc.

Properties and storage information

Form
Liquid
Purification technique
Affinity purification Protein A
Storage buffer
pH: 7.2 - 7.4 Constituents: PBS
Shipped at conditions
Blue Ice
Appropriate short-term storage conditions
+4°C
Appropriate long-term storage conditions
+4°C
Storage information
Do Not Freeze

Product protocols

For this product, it's our understanding that no specific protocols are required. You can visit:

Target data

Microtubule-dependent motor required for normal distribution of mitochondria and lysosomes. Can induce formation of neurite-like membrane protrusions in non-neuronal cells in a ZFYVE27-dependent manner (By similarity). Regulates centrosome and nuclear positioning during mitotic entry. During the G2 phase of the cell cycle in a BICD2-dependent manner, antagonizes dynein function and drives the separation of nuclei and centrosomes (PubMed : 20386726). Required for anterograde axonal transportation of MAPK8IP3/JIP3 which is essential for MAPK8IP3/JIP3 function in axon elongation (By similarity). Through binding with PLEKHM2 and ARL8B, directs lysosome movement toward microtubule plus ends (Probable). Involved in NK cell-mediated cytotoxicity. Drives the polarization of cytolytic granules and microtubule-organizing centers (MTOCs) toward the immune synapse between effector NK lymphocytes and target cells (PubMed : 24088571).
See full target information KIF5B

Additional targets

KIF5C

Publications (1)

Recent publications for all applications. Explore the full list and refine your search

Clinical and experimental reproductive medicine 52:275-282 PubMed40045488

2025

The role of granulocyte-macrophage colony-stimulating factor in inducing autophagy in the spermatozoa of patients with asthenoteratozoospermia.

Applications

Unspecified application

Species

Unspecified reactive species

Tahereh Gheliji,Mohammad Hosain Haidari,Marefat Ghaffari Novin,Zahra Shams Mofarahe,Mahsa Kazemi,Latif Gachkar,Pourya Raee,Bahareh Karimi,Hamid Nazarian
View all publications

Product promise

We are committed to supporting your work with high-quality reagents, and we're here for you every step of the way. In the unlikely event that one of our products does not perform as expected, you're protected by our Product Promise.
For full details, please see our Terms & Conditions

Please note: All products are 'FOR RESEARCH USE ONLY. NOT FOR USE IN DIAGNOSTIC OR THERAPEUTIC PROCEDURES'.

For licensing inquiries, please contact partnerships@abcam.com