JavaScript is disabled in your browser. Please enable JavaScript to view this website.
AB133537

Anti-KIFAP3 antibody [EPR5600]

Be the first to review this product! Submit a review

|

(2 Publications)

Rabbit Recombinant Monoclonal KIFAP3 antibody. Suitable for IHC-P, WB and reacts with Human, Rat samples. Cited in 2 publications.

View Alternative Names

KIF3AP, SMAP, KIFAP3, Kinesin-associated protein 3, KAP-3, KAP3, Smg GDS-associated protein

3 Images
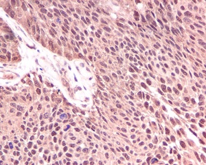
Immunohistochemistry (Formalin/PFA-fixed paraffin-embedded sections) - Anti-KIFAP3 antibody [EPR5600] (AB133537)
  • IHC-P

Unknown

Immunohistochemistry (Formalin/PFA-fixed paraffin-embedded sections) - Anti-KIFAP3 antibody [EPR5600] (AB133537)

Immunohistochemistry analysis of Paraffin Embedded Human kidney tissue labelling KIFAP3 with ab133537 at 1/50

Perform heat mediated antigen retrieval before commencing with IHC staining protocol.

Western blot - Anti-KIFAP3 antibody [EPR5600] (AB133537)
  • WB

Unknown

Western blot - Anti-KIFAP3 antibody [EPR5600] (AB133537)

All lanes:

Western blot - Anti-KIFAP3 antibody [EPR5600] (ab133537) at 1/10000 dilution

Lane 1:

HeLa cell lysate at 10 µg

Lane 2:

SH-SY5Y cell lysate at 10 µg

Lane 3:

C6 cell lysate at 10 µg

Lane 4:

293T (Human embryonic kidney epithelial cell) cell lysate at 10 µg

Secondary

All lanes:

HRP labelled goat anti-rabbit at 1/2000 dilution

Predicted band size: 91 kDa

Observed band size: 100 kDa

false

OI-RD Scanning - Anti-KIFAP3 antibody [EPR5600] (AB133537)
  • OI-RD Scanning

Unknown

OI-RD Scanning - Anti-KIFAP3 antibody [EPR5600] (AB133537)

We have systematically measured KD (the equilibrium dissociation constant between the antibody and its antigen), of more than 840 recombinant antibodies to assess not only their individual KD values but also to see the average affinity of antibody. Based on the comparison with published literature values for mouse monoclonal antibodies, Recombinant antibodies appear to be on average 1-2 order of magnitude higher affinity.

  • Carrier free

    Anti-KIFAP3 antibody [EPR5600] - BSA and Azide free

Key facts

Host species

Rabbit

Clonality

Monoclonal

Clone number

EPR5600

Isotype

IgG

Carrier free

No

Reacts with

Rat, Human

Applications

WB, IHC-P

applications

Immunogen

The exact immunogen used to generate this antibody is proprietary information.

Reactivity data

{ "title": "Reactivity Data", "filters": { "stats": ["", "Species", "Dilution Info", "Notes"], "tabs": { "all-applications": {"fullname" : "All Applications", "shortname": "All Applications"}, "IHCP" : {"fullname" : "Immunohistochemistry (Formalin/PFA-fixed paraffin-embedded sections)", "shortname":"IHC-P"}, "IP" : {"fullname" : "Immunoprecipitation", "shortname":"IP"}, "WB" : {"fullname" : "Western blot", "shortname":"WB"} }, "product-promise": { "all": "all", "testedAndGuaranteed": "tested", "guaranteed": "expected", "predicted": "predicted", "notRecommended": "not-recommended" } }, "values": { "Human": { "IHCP-species-checked": "testedAndGuaranteed", "IHCP-species-dilution-info": "1/50 - 1/100", "IHCP-species-notes": "<p></p>", "IP-species-checked": "notRecommended", "IP-species-dilution-info": "", "IP-species-notes": "<p></p>", "WB-species-checked": "testedAndGuaranteed", "WB-species-dilution-info": "1/10000 - 1/50000", "WB-species-notes": "<p></p>" }, "Mouse": { "IHCP-species-checked": "predicted", "IHCP-species-dilution-info": "", "IHCP-species-notes": "", "IP-species-checked": "notRecommended", "IP-species-dilution-info": "", "IP-species-notes": "", "WB-species-checked": "predicted", "WB-species-dilution-info": "", "WB-species-notes": "" }, "Rat": { "IHCP-species-checked": "guaranteed", "IHCP-species-dilution-info": "", "IHCP-species-notes": "", "IP-species-checked": "notRecommended", "IP-species-dilution-info": "", "IP-species-notes": "<p></p>", "WB-species-checked": "testedAndGuaranteed", "WB-species-dilution-info": "1/10000 - 1/50000", "WB-species-notes": "<p></p>" } } }

Product details

Patented technology
Our RabMAb® technology is a patented hybridoma-based technology for making rabbit monoclonal antibodies. For details on our patents, please refer to RabMAb® patents.

What are the advantages of a recombinant monoclonal antibody?
This product is a recombinant monoclonal antibody, which offers several advantages including:

  • - High batch-to-batch consistency and reproducibility
  • - Improved sensitivity and specificity
  • - Long-term security of supply
  • - Animal-free batch production

For more information, read more on recombinant antibodies.

Properties and storage information

Form
Liquid
Purification technique
Affinity purification Protein A
Storage buffer
pH: 7.2 - 7.4 Preservative: 0.05% Sodium azide Constituents: 50% Tissue culture supernatant, 40% Glycerol (glycerin, glycerine), 9.85% Tris glycine
Shipped at conditions
Blue Ice
Appropriate short-term storage conditions
+4°C
Appropriate long-term storage conditions
-20°C
Storage information
Stable for 12 months at -20°C

Product protocols

For this product, it's our understanding that no specific protocols are required. You can visit:

Target data

Involved in tethering the chromosomes to the spindle pole and in chromosome movement. Binds to the tail domain of the KIF3A/KIF3B heterodimer to form a heterotrimeric KIF3 complex and may regulate the membrane binding of this complex (By similarity).
See full target information KIFAP3

Publications (2)

Recent publications for all applications. Explore the full list and refine your search

eLife 9: PubMed33112235

2020

Functional exploration of heterotrimeric kinesin-II in IFT and ciliary length control in .

Applications

Unspecified application

Species

Unspecified reactive species

Shufen Li,Kirsty Y Wan,Wei Chen,Hui Tao,Xin Liang,Junmin Pan

Molecular medicine reports 17:2402-2414 PubMed29207079

2017

Molecular basis of coronary artery dilation and aneurysms in patients with Kawasaki disease based on differential protein expression.

Applications

Unspecified application

Species

Unspecified reactive species

Wanting Liu,Chaowu Liu,Li Zhang,Xiaofei Xie,Xiaoqiong Gu,Chuanlan Sang,Mingguo Xu,Weijun Xu,Hongling Jia
View all publications

Product promise

We are committed to supporting your work with high-quality reagents, and we're here for you every step of the way. In the unlikely event that one of our products does not perform as expected, you're protected by our Product Promise.
For full details, please see our Terms & Conditions

Please note: All products are 'FOR RESEARCH USE ONLY. NOT FOR USE IN DIAGNOSTIC OR THERAPEUTIC PROCEDURES'.

For licensing inquiries, please contact partnerships@abcam.com