JavaScript is disabled in your browser. Please enable JavaScript to view this website.
AB172620

Anti-KIFC1 antibody [11445]

Be the first to review this product! Submit a review

|

(24 Publications)

Anti-KIFC1 antibody [11445] (ab172620) is a rabbit monoclonal antibody detecting KIFC1 in Western Blot, Flow Cytometry (Intra), Flow Cytometry, IP, IHC-P, ICC/IF. Suitable for Human.

- KO validated for confirmed specificity
- Biophysical QC for unrivalled batch-batch consistency
- Over 10 publications

View Alternative Names

HSET, KNSL2, KIFC1, Kinesin-like protein KIFC1, Kinesin-like protein 2, Kinesin-related protein HSET

13 Images
Immunohistochemistry (Formalin/PFA-fixed paraffin-embedded sections) - Anti-KIFC1 antibody [11445] (AB172620)
  • IHC-P

Supplier Data

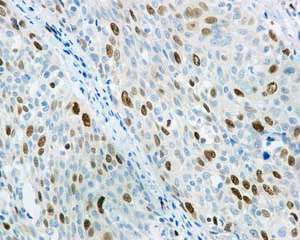
Immunohistochemistry (Formalin/PFA-fixed paraffin-embedded sections) - Anti-KIFC1 antibody [11445] (AB172620)

Immunohistochemical analysis of paraffin-embedded Human tonsil tissue laneling KIFC1 with ab172620 (unpurified) at 1/50 dilution.

Immunocytochemistry/ Immunofluorescence - Anti-KIFC1 antibody [11445] (AB172620)
  • ICC/IF

Unknown

Immunocytochemistry/ Immunofluorescence - Anti-KIFC1 antibody [11445] (AB172620)

Immunocytochemistry/ Immunofluorescence analysis of HeLa (Human cervix adenocarcinoma epithelial cell) cells labeling KIFC1 with purified ab172620 at 1/50 dilution (4.0 μg/ml). Cells were fixed in 100% Methanol. Cells were counterstained with ab195889 Anti-alpha Tubulin antibody [DM1A] - Microtubule Marker (Alexa Fluor® 594) at 1/200 (2.5 μg/ml) dilution. Goat anti rabbit IgG (Alexa Fluor® 488, ab150077) was used as the secondary antibody at 1/1000 (2 μg/ml) dilution. DAPI (blue) was used as nuclear counterstain. PBS instead of the primary antibody was used as the secondary antibody only control.

Immunocytochemistry/ Immunofluorescence - Anti-KIFC1 antibody [11445] (AB172620)
  • ICC/IF

Supplier Data

Immunocytochemistry/ Immunofluorescence - Anti-KIFC1 antibody [11445] (AB172620)

Immunofluorescent staining of HeLa cells labeling KIFC1 with ab172620 (unpurified) at 1/50 dilution.

Immunohistochemistry (Formalin/PFA-fixed paraffin-embedded sections) - Anti-KIFC1 antibody [11445] (AB172620)
  • IHC-P

Unknown

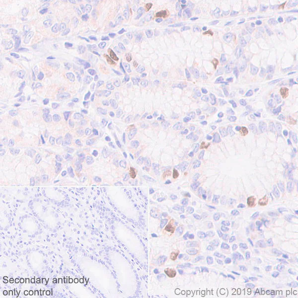
Immunohistochemistry (Formalin/PFA-fixed paraffin-embedded sections) - Anti-KIFC1 antibody [11445] (AB172620)

Immunohistochemistry (Formalin/PFA-fixed paraffin-embedded sections) analysis of Human stomach tissue sections labeling KIFC1 with purified ab172620 at 1/16000 dilution (0.01 µg/ml). Perform heat mediated antigen retrieval using ab93684 (Tris/EDTA buffer, pH 9.0). ImmunoHistoProbe one step HRP Polymer (ready to use) was used as the secondary antibody. Negative control : PBS instead of the primary antibody. Hematoxylin was used as a counterstain.

Flow Cytometry (Intracellular) - Anti-KIFC1 antibody [11445] (AB172620)
  • Flow Cyt (Intra)

Unknown

Flow Cytometry (Intracellular) - Anti-KIFC1 antibody [11445] (AB172620)

Intracellular Flow Cytometry analysis of HeLa (Human cervix adenocarcinoma epithelial cell) cells labeling KIFC1 with purified ab172620 at 1/20 dilution (10μg/ml) (red). Cells were fixed with 4% Paraformaldehyde and permeabilised with 90% Methanol. A Goat anti rabbit IgG (Alexa Fluor® 488, ab150077) secondary antibody was used at 1/2000. Isotype control - Rabbit monoclonal IgG (Black). Unlabeled control - Cell without incubation with primary antibody and secondary antibody (Blue).

Immunohistochemistry (Formalin/PFA-fixed paraffin-embedded sections) - Anti-KIFC1 antibody [11445] (AB172620)
  • IHC-P

Supplier Data

Immunohistochemistry (Formalin/PFA-fixed paraffin-embedded sections) - Anti-KIFC1 antibody [11445] (AB172620)

Immunohistochemical analysis of paraffin-embedded Human cervical carcinoma tissue labeling KIFC1 with ab172620 (unpurified) at 1/50 dilution.

Immunoprecipitation - Anti-KIFC1 antibody [11445] (AB172620)
  • IP

Unknown

Immunoprecipitation - Anti-KIFC1 antibody [11445] (AB172620)

ab172620 (purified) at 1/20 dilution (1ug) immunoprecipitating KIFC1 in Jurkat whole cell lysates.
Lane 1 : Jurkat (Human T cell leukemia T lymphocyte) whole cell lysates 10ug
Lane 2 (+) : ab172620 & Jurkat whole cell lysates
Lane 3 (-) : Rabbit monoclonal IgG (ab172730) instead of ab172620 in Jurkat whole cell lysates
For western blotting, VeriBlot for IP Detection Reagent (HRP) (ab131366) was used at 1/1000 dilution.
Blocking and diluting buffer : 5% NFDM/TBST.

All lanes:

Immunoprecipitation - Anti-KIFC1 antibody [11445] (ab172620)

Predicted band size: 74 kDa

false

Western blot - Anti-KIFC1 antibody [11445] (AB172620)
  • WB

Supplier Data

Western blot - Anti-KIFC1 antibody [11445] (AB172620)

Western blot analysis on immunoprecipitation pellet from 293T cell lysate, labeling KIFC1 with ab172620 (unpurified) at 1/10 dilution.

All lanes:

Western blot - Anti-KIFC1 antibody [11445] (ab172620)

Predicted band size: 74 kDa

false

Western blot - Anti-KIFC1 antibody [11445] (AB172620)
  • WB

Supplier Data

Western blot - Anti-KIFC1 antibody [11445] (AB172620)

Lane 1 : Wild-type HAP1 whole cell lysate (20 μg)
Lane 2 : KIFC1 knockout HAP1 whole cell lysate (20 μg)
Lane 3 : HeLa whole cell lysate (20 μg)
Lane 4 : HepG2 whole cell lysate (20 μg)

Lanes 1 - 4 : Merged signal (red and green). Green - ab172620 (purified) observed at 74 kDa. Red - loading control, ab9484, observed at 37 kDa.

ab172620 was shown to specifically react with KIFC1 in wild-type cells as signal was lost in KIFC1 knockout cells. Wild-type and KIFC1 knockout samples were subjected to SDS-PAGE. ab172620 and ab9484 (Mouse anti-GAPDH loading control) were incubated overnight at 4°C at 0.228 μg/ml and 1/20000 dilution respectively. Blots were developed with Goat anti-Rabbit IgG H&L (IRDye® 800CW) preabsorbed ab216773 and Goat anti-Mouse IgG H&L (IRDye® 680RD) preabsorbed ab216776 secondary antibodies at 1/20000 dilution for 1 hour at room temperature before imaging.

All lanes:

Western blot - Anti-KIFC1 antibody [11445] (ab172620)

Predicted band size: 74 kDa

false

Western blot - Anti-KIFC1 antibody [11445] (AB172620)
  • WB

Lab

Western blot - Anti-KIFC1 antibody [11445] (AB172620)

Western blot : Rabbit Monoclonal[11445] to KIFC1 ab172620 staining at 1/50000 dilution, shown in green; Mouse anti GAPDH (ab8245) loading control staining at 1/20,000 dilution, shown in magenta. A band was observed at 75 kDa in Wild-type A549 cell lysates with no signal observed at this size in KIFC1 knockout A549 cell line. To generate this image, samples were run on an SDS-PAGE gel then transferred onto a nitrocellulose membrane. Membranes were blocked in 3pc Milk in TBS-0.1 % Tween® 20 (TBS-T) before incubation with primary antibodies overnight at 4°C. Blots were washed four times in TBS-T, incubated with secondary antibodies for 1 h at room temperature, washed again four times then imaged. Secondary antibodies used were Goat anti-Rabbit 800CW & Goat anti-Mouse 680RD at 1/20,000 dilution.

Lanes 1 - 3:

Western blot - Anti-KIFC1 antibody [11445] (ab172620) at 1/50000 dilution

Lanes 1 - 4:

Western blot - Anti-PERK antibody [EPR19876-294] - BSA and Azide free (<a href='/en-us/products/primary-antibodies/perk-antibody-epr19876-294-bsa-and-azide-free-ab254249'>ab254249</a>) at 1/50000 dilution

Lane 1:

Wild-type A549 at 20 µg

Lane 2:

KIFC1 knockout A549 at 20 µg

Lane 2:

KIFC1 knockout A549 at 20 g

Lane 3:

U-87 MG at 20 µg

Secondary

All lanes:

Goat anti-Rabbit 800CW & Goat anti-Mouse 680RD at 1/20000 dilution

Predicted band size: 74 kDa

Observed band size: 75 kDa

false

Western blot - Anti-KIFC1 antibody [11445] (AB172620)
  • WB

Supplier Data

Western blot - Anti-KIFC1 antibody [11445] (AB172620)

All lanes:

Western blot - Anti-KIFC1 antibody [11445] (ab172620) at 1/10000 dilution

Lane 1:

HeLa lysate at 10 µg

Lane 2:

293T lysate at 10 µg

Lane 3:

HepG2 lysate at 10 µg

Predicted band size: 74 kDa

false

Western blot - Anti-KIFC1 antibody [11445] (AB172620)
  • WB

Lab

Western blot - Anti-KIFC1 antibody [11445] (AB172620)

All lanes:

Western blot - Anti-KIFC1 antibody [11445] (ab172620) at 1/50000 dilution

All lanes:

HeLa (Human cervix adenocarcinoma epithelial cell) whole cell lysates at 15 µg

Secondary

All lanes:

Western blot - Goat Anti-Rabbit IgG H&L (HRP) (<a href='/en-us/products/secondary-antibodies/goat-rabbit-igg-h-l-hrp-ab97051'>ab97051</a>) at 1/20000 dilution

Predicted band size: 74 kDa

Observed band size: 74 kDa

false

Western blot - Anti-KIFC1 antibody [11445] (AB172620)
  • WB

CiteAb

Western blot - Anti-KIFC1 antibody [11445] (AB172620)

KIFC1 western blot using anti-KIFC1 antibody [11445] ab172620. Publication image and figure legend from She, Z. Y., Pan, M. Y., et al., 2017, Oncotarget, PubMed 28430595.

ab172620 was used in this publication in western blot. This may not be the same as the application(s) guaranteed by Abcam. For a full list of applications guaranteed by Abcam for ab172620 please see the product overview.

Depletion of KIFC1 led to the disorganization and dispersal of the Golgi apparatus(A, B) HEK293T cells were transfected with the shLuc, shkifc1-1, shkifc1-2, shkifc1-3 shRNA plasmids for 90 hr and analyzed by immunofluorescence assays, respectively. shLuciferase was used for the control group. DAPI (blue), GFP (green), GM130 (red), DIC (Differential Interference Contrast). Scale bars, 5 μm. (C) Representative three dimensional images of the Golgi apparatus (GM130, red) in the shRNA transfected HEK293T cells. The zoom is the magnified view of the indicated box. Scale bars, 5 μm. (D, E) Western Blot analysis of RNAi knockdown efficiency in HEK293T cells after 90 hr. Five different kifc1 targeting shRNA plasmids were used as candidates. The first, second and fourth plasmid (1, 2, 4 designated as shkifc1-1, shkifc1-2 and shkifc1-3, respectively) were selected for this study. GAPDH was used as the loading control. (F) Quantification the ratios of cells containing normal Golgi apparatus in the transfected HEK293T cells after kifc1 knockdown assay for 90 hr. Data are represented as mean ± SEM. ns, not significant; *p < 0.05; **p < 0.01; ***p < 0.001 (Student's t-test). (G) Quantification of the ratios of disorganized Golgi apparatus (gray color) and the dispersed Golgi (black color) into vesicles after s after kifc1 knockdown assay for 90 hr. Data are represented as mean ± SEM. ns, not significant; *p < 0.05; **p < 0.01; ***p < 0.001 (Student's t-test).

false

Key facts

Host species

Rabbit

Clonality

Monoclonal

Clone number

11445

Isotype

IgG

Carrier free

No

Reacts with

Human

Applications

IHC-P, WB, ICC/IF, IP, Flow Cyt (Intra)

applications

Immunogen

The exact immunogen used to generate this antibody is proprietary information.

Reactivity data

{ "title": "Reactivity Data", "filters": { "stats": ["", "Species", "Dilution Info", "Notes"], "tabs": { "all-applications": {"fullname" : "All Applications", "shortname": "All Applications"}, "IP" : {"fullname" : "Immunoprecipitation", "shortname":"IP"}, "WB" : {"fullname" : "Western blot", "shortname":"WB"}, "ICCIF" : {"fullname" : "Immunocytochemistry/ Immunofluorescence", "shortname":"ICC/IF"}, "FlowCytIntra" : {"fullname" : "Flow Cytometry (Intracellular)", "shortname":"Flow Cyt (Intra)"}, "IHCP" : {"fullname" : "Immunohistochemistry (Formalin/PFA-fixed paraffin-embedded sections)", "shortname":"IHC-P"} }, "product-promise": { "all": "all", "testedAndGuaranteed": "tested", "guaranteed": "expected", "predicted": "predicted", "notRecommended": "not-recommended" } }, "values": { "Human": { "IP-species-checked": "testedAndGuaranteed", "IP-species-dilution-info": "1/10 - 1/100", "IP-species-notes": "<p></p>", "WB-species-checked": "testedAndGuaranteed", "WB-species-dilution-info": "1/10000 - 1/50000", "WB-species-notes": "<p></p>", "ICCIF-species-checked": "testedAndGuaranteed", "ICCIF-species-dilution-info": "1/50 - 1/100", "ICCIF-species-notes": "<p></p>", "FlowCytIntra-species-checked": "testedAndGuaranteed", "FlowCytIntra-species-dilution-info": "1/20", "FlowCytIntra-species-notes": "<p></p>", "IHCP-species-checked": "testedAndGuaranteed", "IHCP-species-dilution-info": "1/16000", "IHCP-species-notes": "<p>For unpurified use at 1/50 - 1/100.</p>" } } }

Product details

What is this antibody validated in?
Anti-KIFC1 antibody [11445] (ab172620) is a rabbit recombinant monoclonal antibody and is validated for use in Western Blot (WB), Flow Cytometry (Intra), Flow Cytometry (Flow Cyt), Immunoprecipitation (IP), Immunohistochemistry (IHC-P), Immunocytochemistry/immunofluorescence (ICC/IF) in Human samples.

What is the molecular weight of KIFC1?
Anti-KIFC1 [11445] (ab172620) specifically detects a band for KIFC1 (UniProt: Q9BW19) at a molecular weight of 74kDa.

Trusted by the scientific community
Anti-KIFC1 [11445] (ab172620) was first used in a scientific publication in 2013 and has been cited over 10 times in peer-reviewed journals.

Trial sizes available!
Test your antibody or perform pre-screening before committing to a larger quantity. Sold in 10µl. Discover our selection of trial-size antibodies.

Specificity confirmed
The specificity of Anti-KIFC1 antibody [11445] (ab172620) has been confirmed by Western blot testing in KIFC1 Knockout HAP1 cells.

Other related products
We have a range of other formats of antibody clone [11445] also available for your convenience: ab172620, Alexa Fluor® 647 - ab225237, Alexa Fluor® 488 - ab225238, Carrier free - ab235994, PE - ab306126, APC - ab306127, HRP - ab306128, Alkaline Phosphatase - ab308693, Alexa Fluor® 594 - ab310401, Alexa Fluor® 555 - ab311928, Alexa Fluor® 568 - ab312399, Alexa Fluor® 750 - ab321171

Species reactivity
Mouse, Rat: We have preliminary internal testing data to indicate this antibody may not react with these species.
Please contact us for more information.

Patented technology
Our RabMAb® technology is a patented hybridoma-based technology for making rabbit monoclonal antibodies. For details on our patents, please refer to RabMAb® patents.

What are the advantages of a recombinant monoclonal antibody?
This product is a recombinant monoclonal antibody, which offers several advantages including:

  • - High batch-to-batch consistency and reproducibility
  • - Improved sensitivity and specificity
  • - Long-term security of supply
  • - Animal-free batch production

For more information, read more on recombinant antibodies.

Properties and storage information

Form
Liquid
Purification technique
Affinity purification Protein A
Storage buffer
Preservative: 0.01% Sodium azide Constituents: PBS, 40% Glycerol (glycerin, glycerine), 0.05% BSA
Shipped at conditions
Blue Ice
Appropriate short-term storage duration
1-2 weeks
Appropriate short-term storage conditions
+4°C
Appropriate long-term storage conditions
-20°C
Aliquoting information
Upon delivery aliquot
Storage information
Avoid freeze / thaw cycle

Product protocols

For this product, it's our understanding that no specific protocols are required. You can visit:

Target data

Minus end-directed microtubule-dependent motor required for bipolar spindle formation (PubMed : 15843429). May contribute to movement of early endocytic vesicles (By similarity). Regulates cilium formation and structure (By similarity).
See full target information KIFC1

Publications (24)

Recent publications for all applications. Explore the full list and refine your search

Cell communication and signaling : CCS 23:255 PubMed40448099

2025

C/EBPβ increases tumor aggressiveness by enhancing KIFC1 expression in androgen receptor negative triple negative breast cancer.

Applications

Unspecified application

Species

Unspecified reactive species

Shriya Joshi,Chakravarthy Garlapati,Thi Nguyen,Shaligram Sharma,Darshan Shimoga Chandrashekar,Shristi Bhattarai,Sooryanarayana Varambally,Uma Krishnamurti,Xiaoxian Li,Ritu Aneja

PloS one 20:e0325016 PubMed40440343

2025

Two cancer cell lines utilize Myosin 10 and the kinesin HSET differentially to maintain mitotic spindle bipolarity.

Applications

Unspecified application

Species

Unspecified reactive species

Yang-In Yim,Xufeng Wu,Anjelika Gasilina,John A Hammer

Cancer gene therapy 31:1559-1570 PubMed39179685

2024

Identification of KIFC1 as a putative vulnerability in lung cancers with centrosome amplification.

Applications

Unspecified application

Species

Unspecified reactive species

Christopher Zhang,Benson Z Wu,Caterina Di Ciano-Oliveira,Yin Fang Wu,Sharon S Khavkine Binstock,Isabel Soria-Bretones,Nhu-An Pham,Andrew J Elia,Raj Chari,Wan L Lam,Mark R Bray,Tak W Mak,Ming-Sound Tsao,David W Cescon,Kelsie L Thu

Advanced science (Weinheim, Baden-Wurttemberg, Germany) 11:e2406333 PubMed38981044

2024

Lactylated Apolipoprotein C-II Induces Immunotherapy Resistance by Promoting Extracellular Lipolysis.

Applications

Unspecified application

Species

Unspecified reactive species

Jian Chen,Deping Zhao,Yupeng Wang,Ming Liu,Yuan Zhang,Tingting Feng,Chao Xiao,Huan Song,Rui Miao,Li Xu,Hongwei Chen,Xiaoying Qiu,Yi Xu,Jingxuan Xu,Zelin Cui,Wei Wang,Yanchun Quan,Yifeng Zhu,Chen Huang,Song Guo Zheng,Jian-Yuan Zhao,Ting Zhu,Lianhui Sun,Guangjian Fan

Cell communication and signaling : CCS 22:312 PubMed38902769

2024

A novel role for KIFC1-MYH9 interaction in triple-negative breast cancer aggressiveness and racial disparity.

Applications

Unspecified application

Species

Unspecified reactive species

Chakravarthy Garlapati,Shriya Joshi,Chunhua Yang,Darshan Shimoga Chandrashekar,Padmashree Rida,Ritu Aneja

Aging 15:12633-12650 PubMed37955677

2023

KIFC1 promotes proliferation and pseudo-bipolar division of ESCC through the transportation of Aurora B kinase.

Applications

Unspecified application

Species

Unspecified reactive species

Bin Du,Lingyu Wei,Jia Wang,Yanyan Li,Jing Huo,Jinsheng Wang,Pu Wang

The EMBO journal 42:e109738 PubMed37401899

2023

Centrosome linker diversity and its function in centrosome clustering and mitotic spindle formation.

Applications

Unspecified application

Species

Unspecified reactive species

Laura Theile,Xue Li,Hairuo Dang,Dorothee Mersch,Simon Anders,Elmar Schiebel

Computational and mathematical methods in medicine 2022:5039134 PubMed35479190

2022

The Roles of KIFC1 in the Development of Osteosarcoma: Characterization of Potential Therapeutic Targets.

Applications

Unspecified application

Species

Unspecified reactive species

Li-Yan Liang,Gui-Shi Li

Medical oncology (Northwood, London, England) 38:47 PubMed33760984

2021

High KIFC1 expression is associated with poor prognosis in prostate cancer.

Applications

Unspecified application

Species

Unspecified reactive species

Laurie G Kostecka,Athen Olseen,KiChang Kang,Gonzalo Torga,Kenneth J Pienta,Sarah R Amend

Nature communications 12:20 PubMed33397932

2021

The ATM and ATR kinases regulate centrosome clustering and tumor recurrence by targeting KIFC1 phosphorylation.

Applications

Unspecified application

Species

Unspecified reactive species

Guangjian Fan,Lianhui Sun,Ling Meng,Chen Hu,Xing Wang,Zhan Shi,Congli Hu,Yang Han,Qingqing Yang,Liu Cao,Xiaohong Zhang,Yan Zhang,Xianmin Song,Shujie Xia,Baokun He,Shengping Zhang,Chuangui Wang
View all publications

Product promise

We are committed to supporting your work with high-quality reagents, and we're here for you every step of the way. In the unlikely event that one of our products does not perform as expected, you're protected by our Product Promise.
For full details, please see our Terms & Conditions

Please note: All products are 'FOR RESEARCH USE ONLY. NOT FOR USE IN DIAGNOSTIC OR THERAPEUTIC PROCEDURES'.

For licensing inquiries, please contact partnerships@abcam.com