JavaScript is disabled in your browser. Please enable JavaScript to view this website.
AB226087

Anti-Kininogen 1 antibody [EPR6097] - BSA and Azide free

Be the first to review this product! Submit a review

|

(1 Publication)

Rabbit Recombinant Monoclonal Kininogen antibody. Carrier free. Suitable for IHC-P, IP, ELISA, WB and reacts with Human, Recombinant fragment samples. Cited in 1 publication.

View Alternative Names

BDK, KNG, KNG1, Kininogen-1, Alpha-2-thiol proteinase inhibitor, Fitzgerald factor, High molecular weight kininogen, Williams-Fitzgerald-Flaujeac factor, HMWK

5 Images
Immunohistochemistry (Formalin/PFA-fixed paraffin-embedded sections) - Anti-Kininogen 1 antibody [EPR6097] - BSA and Azide free (AB226087)
  • IHC-P

Unknown

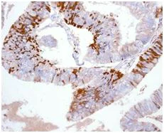
Immunohistochemistry (Formalin/PFA-fixed paraffin-embedded sections) - Anti-Kininogen 1 antibody [EPR6097] - BSA and Azide free (AB226087)

This data was developed using ab124737, the same antibody clone in a different buffer formulation.

ab124737 at 1/100 dilution staining Kininogen 1 in paraffin-embedded Human ovarian adenocarcinoma tissue by Immunohistochemistry.

Perform heat mediated antigen retrieval before commencing with IHC staining protocol.

Immunohistochemistry (Formalin/PFA-fixed paraffin-embedded sections) - Anti-Kininogen 1 antibody [EPR6097] - BSA and Azide free (AB226087)
  • IHC-P

Unknown

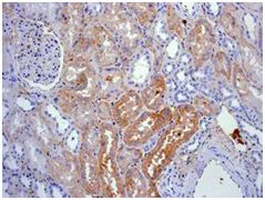
Immunohistochemistry (Formalin/PFA-fixed paraffin-embedded sections) - Anti-Kininogen 1 antibody [EPR6097] - BSA and Azide free (AB226087)

This data was developed using ab124737, the same antibody clone in a different buffer formulation.

ab124737 at 1/100 dilution staining Kininogen 1 in paraffin-embedded Human kidney tissues by Immunohistochemistry.

Perform heat mediated antigen retrieval before commencing with IHC staining protocol.

ELISA - Anti-Kininogen 1 antibody [EPR6097] - BSA and Azide free (AB226087)
  • ELISA

Unknown

ELISA - Anti-Kininogen 1 antibody [EPR6097] - BSA and Azide free (AB226087)

This data was developed using ab124737, the same antibody clone in a different buffer formulation.ELISA analysis of Human Kininogen-1 recombinant protein at 1000 ng/mL with ab124737. An Alkaline Phosphatase-conjugated AffiniPure Goat Anti-Rabbit IgG (H+L) at 1/2500 dilution was used as the secondary antibody.

Western blot - Anti-Kininogen 1 antibody [EPR6097] - BSA and Azide free (AB226087)
  • WB

Unknown

Western blot - Anti-Kininogen 1 antibody [EPR6097] - BSA and Azide free (AB226087)

This data was developed using ab124737, the same antibody clone in a different buffer formulation.

ab124737 is detecting three isoforms of Kininogen 1 : full length (120 kDa), light chain (56 kDa), and cleavage form (45 kDa).

All lanes:

Western blot - Anti-Kininogen 1 antibody [EPR6097] (<a href='/en-us/products/primary-antibodies/kininogen-1-antibody-epr6097-ab124737'>ab124737</a>) at 1/10000 dilution

Lane 1:

Human plasma at 10 µg

Lane 2:

Human platelet tissue lysate at 10 µg

Lane 3:

Human ovarian cancer tissue lysate at 10 µg

Secondary

All lanes:

Goat anti-rabbit HRP conjugated at 1/2000 dilution

Predicted band size: 71 kDa

false

OI-RD Scanning - Anti-Kininogen 1 antibody [EPR6097] - BSA and Azide free (AB226087)
  • OI-RD Scanning

Unknown

OI-RD Scanning - Anti-Kininogen 1 antibody [EPR6097] - BSA and Azide free (AB226087)

We have systematically measured KD (the equilibrium dissociation constant between the antibody and its antigen), of more than 840 recombinant antibodies to assess not only their individual KD values but also to see the average affinity of antibody. Based on the comparison with published literature values for mouse monoclonal antibodies, Recombinant antibodies appear to be on average 1-2 order of magnitude higher affinity.

Key facts

Host species

Rabbit

Clonality

Monoclonal

Clone number

EPR6097

Isotype

IgG

Carrier free

Yes

Reacts with

Human

Applications

ELISA, IHC-P, IP, WB

applications

Immunogen

The exact immunogen used to generate this antibody is proprietary information.

Specificity

This antibody detects three isoforms of Kininogen 1: full length (120 kDa), light chain (56 kDa), and cleavage form (45 kDa).

Reactivity data

{ "title": "Reactivity Data", "filters": { "stats": ["", "Species", "Dilution Info", "Notes"], "tabs": { "all-applications": {"fullname" : "All Applications", "shortname": "All Applications"}, "FlowCyt" : {"fullname" : "Flow Cytometry", "shortname":"Flow Cyt"}, "IHCP" : {"fullname" : "Immunohistochemistry (Formalin/PFA-fixed paraffin-embedded sections)", "shortname":"IHC-P"}, "IP" : {"fullname" : "Immunoprecipitation", "shortname":"IP"}, "ELISA" : {"fullname" : "ELISA", "shortname":"ELISA"}, "WB" : {"fullname" : "Western blot", "shortname":"WB"} }, "product-promise": { "all": "all", "testedAndGuaranteed": "tested", "guaranteed": "expected", "predicted": "predicted", "notRecommended": "not-recommended" } }, "values": { "Human": { "FlowCyt-species-checked": "notRecommended", "FlowCyt-species-dilution-info": "", "FlowCyt-species-notes": "<p></p>", "IHCP-species-checked": "testedAndGuaranteed", "IHCP-species-dilution-info": "", "IHCP-species-notes": "<p>For antigen retrieval, heat up to 98 °C, below boiling, and then let cool for 10-20 minutes.</p> Perform heat-mediated antigen retrieval before commencing with IHC staining protocol.", "IP-species-checked": "guaranteed", "IP-species-dilution-info": "", "IP-species-notes": "<p></p>", "ELISA-species-checked": "testedAndGuaranteed", "ELISA-species-dilution-info": "", "ELISA-species-notes": "<p></p>", "WB-species-checked": "testedAndGuaranteed", "WB-species-dilution-info": "", "WB-species-notes": "<p></p>" }, "Mouse": { "FlowCyt-species-checked": "notRecommended", "FlowCyt-species-dilution-info": "", "FlowCyt-species-notes": "", "IHCP-species-checked": "notRecommended", "IHCP-species-dilution-info": "", "IHCP-species-notes": "<p>Heat up to 98 degrees C, below boiling, and then let cool for 10-20 min</p> Perform heat-mediated antigen retrieval before commencing with IHC staining protocol.", "IP-species-checked": "notRecommended", "IP-species-dilution-info": "", "IP-species-notes": "", "ELISA-species-checked": "notRecommended", "ELISA-species-dilution-info": "", "ELISA-species-notes": "", "WB-species-checked": "notRecommended", "WB-species-dilution-info": "", "WB-species-notes": "" }, "Recombinant fragment": { "FlowCyt-species-checked": "notRecommended", "FlowCyt-species-dilution-info": "", "FlowCyt-species-notes": "", "IHCP-species-checked": "notRecommended", "IHCP-species-dilution-info": "", "IHCP-species-notes": "", "IP-species-checked": "guaranteed", "IP-species-dilution-info": "", "IP-species-notes": "<p></p>", "ELISA-species-checked": "notRecommended", "ELISA-species-dilution-info": "", "ELISA-species-notes": "", "WB-species-checked": "notRecommended", "WB-species-dilution-info": "", "WB-species-notes": "" } } }

Product details

ab226087 is the carrier-free version of ab124737.

Species reactivity
Mouse, Rat: We have preliminary internal testing data to indicate this antibody may not react with these species.
Please contact us for more information.

Patented technology
Our RabMAb® technology is a patented hybridoma-based technology for making rabbit monoclonal antibodies. For details on our patents, please refer to RabMAb® patents.

What are the advantages of a recombinant monoclonal antibody?
This product is a recombinant monoclonal antibody, which offers several advantages including:

  • - High batch-to-batch consistency and reproducibility
  • - Improved sensitivity and specificity
  • - Long-term security of supply
  • - Animal-free batch production

For more information, read more on recombinant antibodies.

Conjugation ready
Our carrier-free antibodies are typically supplied in a PBS-only formulation, purified and free of BSA, sodium azide and glycerol. This conjugation-ready format is designed for use with fluorochromes, metal isotopes, oligonucleotides, and enzymes, which makes them ideal for antibody labelling, functional and cell-based assays, flow-based assays (e.g. mass cytometry) and Multiplex Imaging applications.

Use our conjugation kits for antibody conjugates that are ready-to-use in as little as 20 minutes with 1 minute hands-on-time and 100% antibody recovery: available for fluorescent dyes, HRP, biotin and gold.

Compatibility
This product is compatible with the Maxpar® Antibody Labeling Kit from Fluidigm, without the need for antibody preparation. Maxpar® is a trademark of Fluidigm Canada Inc.

Properties and storage information

Form
Liquid
Purification technique
Affinity purification Protein A
Storage buffer
pH: 7.2 - 7.4 Constituents: PBS
Shipped at conditions
Blue Ice
Appropriate short-term storage conditions
+4°C
Appropriate long-term storage conditions
+4°C
Storage information
Do Not Freeze

Supplementary information

This supplementary information is collated from multiple sources and compiled automatically.

Kininogen 1 often referred to as kininogen-1 or high molecular weight kininogen (HMWK) is a significant protein in the body with a mass of approximately 120 kDa. It is primarily expressed in the liver and secreted into plasma. Kininogen 1 acts as a precursor for kinins vital for various physiological processes. The cleavage of kininogen releases bradykinin a potent vasodilator which suggests roles in blood pressure regulation and inflammation.
Biological function summary

Kininogen 1 influences processes such as blood coagulation and inflammation. It is a part of the kallikrein-kinin system where it helps in generating kallidin and bradykinin. These peptides play important roles in vasodilation increasing vascular permeability and pain mechanisms. Kininogen 1 serves as a cofactor for the activation of coagulation factor XII linking coagulation and inflammation pathways.

Pathways

Kininogen 1 plays a critical role in the kallikrein-kinin and contact activation pathways. Within the kallikrein-kinin pathway it works along with the kallikrein enzyme to produce kinins. In the contact activation pathway it associates with prekallikrein and factor XII influencing both coagulation and inflammatory responses in the body.

Kininogen 1 is associated with hereditary angioedema and cardiovascular disease. Its role in bradykinin generation relates to the excessive swelling seen in hereditary angioedema due to bradykinin buildup. Additionally its interactions with coagulation factors such as factor XII connect it to cardiovascular disorders where improper coagulation regulation can lead to pathological blood clotting.

Product protocols

For this product, it's our understanding that no specific protocols are required. You can visit:

Target data

Kininogens are inhibitors of thiol proteases. HMW-kininogen plays an important role in blood coagulation by helping to position optimally prekallikrein and factor XI next to factor XII; HMW-kininogen inhibits the thrombin- and plasmin-induced aggregation of thrombocytes. LMW-kininogen inhibits the aggregation of thrombocytes. LMW-kininogen is in contrast to HMW-kininogen not involved in blood clotting.. Bradykinin. The active peptide bradykinin is a potent vasodilatator that is released from HMW-kininogen shows a variety of physiological effects : (A) influence in smooth muscle contraction, (B) induction of hypotension, (C) natriuresis and diuresis, (D) decrease in blood glucose level, (E) it is a mediator of inflammation and causes (E1) increase in vascular permeability, (E2) stimulation of nociceptors (4E3) release of other mediators of inflammation (e.g. prostaglandins), (F) it has a cardioprotective effect (directly via bradykinin action, indirectly via endothelium-derived relaxing factor action).
See full target information KNG1

Publications (1)

Recent publications for all applications. Explore the full list and refine your search

Scientific reports 15:18296 PubMed40419589

2025

Comparison of the effects of fractional microneedle radiofrequency and microneedling on modulating the senescent fibroblast milieu in aged skin.

Applications

Unspecified application

Species

Unspecified reactive species

Jung Min Hwang,Soo Hyun Lee,Eun Jae Baek,Hye-Rin Charlotte Kim,Jang-Hee Oh,Ji Su Lee,Si-Hyung Lee
View all publications

Product promise

We are committed to supporting your work with high-quality reagents, and we're here for you every step of the way. In the unlikely event that one of our products does not perform as expected, you're protected by our Product Promise.
For full details, please see our Terms & Conditions

Please note: All products are 'FOR RESEARCH USE ONLY. NOT FOR USE IN DIAGNOSTIC OR THERAPEUTIC PROCEDURES'.

For licensing inquiries, please contact partnerships@abcam.com