JavaScript is disabled in your browser. Please enable JavaScript to view this website.
AB255806

Anti-KIR2DL1 + KIR2DL2 antibody [EPR22492-2] - BSA and Azide free

Be the first to review this product! Submit a review

|

(0 Publication)

Rabbit Recombinant Monoclonal KIR2DL1 antibody. Carrier free. Suitable for Flow Cyt, IHC-P and reacts with Human samples.

View Alternative Names

CD158a, CD158A, NKAT1, KIR2DL1, Killer cell immunoglobulin-like receptor 2DL1, CD158 antigen-like family member A, Natural killer-associated transcript 1, p58 natural killer cell receptor clones CL-42/47.11, p58.1 MHC class-I-specific NK receptor, NKAT-1, p58 NK receptor CL-42/47.11

2 Images
Flow Cytometry - Anti-KIR2DL1 + KIR2DL2 antibody [EPR22492-2] - BSA and Azide free (AB255806)
  • Flow Cyt

Unknown

Flow Cytometry - Anti-KIR2DL1 + KIR2DL2 antibody [EPR22492-2] - BSA and Azide free (AB255806)

Flow cytometric analysis of human PBMCs (peripheral blood mononuclear cells) labeling KIR2DL1 + KIR2DL2 with ab224696 at 1/60 dilution (Right) compared with Recombinant Rabbit IgG, monoclonal [EPR25A] - Isotype Control (ab172730) (Left).

Goat Anti-Rabbit IgG Fc (Alexa Fluor® 488) preadsorbed (ab150097), at 1/5000 dilution was used as the secondary antibody.

Cells were stained with rabbit IgG (Left) or ab224696 (Right). Then stained with anti-CD56 conjugated to BV421.

Gated on viable cells.

This data was developed using the same antibody clone in a different buffer formulation containing PBS, BSA, glycerol, and sodium azide (ab224696).

Immunohistochemistry (Formalin/PFA-fixed paraffin-embedded sections) - Anti-KIR2DL1 + KIR2DL2 antibody [EPR22492-2] - BSA and Azide free (AB255806)
  • IHC-P

Unknown

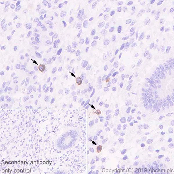
Immunohistochemistry (Formalin/PFA-fixed paraffin-embedded sections) - Anti-KIR2DL1 + KIR2DL2 antibody [EPR22492-2] - BSA and Azide free (AB255806)

Immunohistochemical analysis of paraffin-embedded human endometrium tissue labeling KIR2DL1 + KIR2DL2 with ab224696 at 1/1000 dilution, followed by Goat Anti-Rabbit IgG H&L (HRP) ready to use. Positive staining in natural killer (NK) cells in human endometrium (PMID : 7749980) is observed. Counterstained with hematoxylin.

Secondary antibody only control : Used PBS instead of primary antibody, secondary antibody is Goat Anti-Rabbit IgG H&L (HRP) ready to use.

Heat mediated antigen retrieval using ab93684 (Tris/EDTA buffer, pH 9.0).

This data was developed using the same antibody clone in a different buffer formulation containing PBS, BSA, glycerol, and sodium azide (ab224696).

Key facts

Host species

Rabbit

Clonality

Monoclonal

Clone number

EPR22492-2

Isotype

IgG

Carrier free

Yes

Reacts with

Human

Applications

IHC-P, Flow Cyt

applications

Immunogen

The exact immunogen used to generate this antibody is proprietary information.

Reactivity data

{ "title": "Reactivity Data", "filters": { "stats": ["", "Species", "Dilution Info", "Notes"], "tabs": { "all-applications": {"fullname" : "All Applications", "shortname": "All Applications"}, "FlowCyt" : {"fullname" : "Flow Cytometry", "shortname":"Flow Cyt"}, "IHCP" : {"fullname" : "Immunohistochemistry (Formalin/PFA-fixed paraffin-embedded sections)", "shortname":"IHC-P"}, "WB" : {"fullname" : "Western blot", "shortname":"WB"} }, "product-promise": { "all": "all", "testedAndGuaranteed": "tested", "guaranteed": "expected", "predicted": "predicted", "notRecommended": "not-recommended" } }, "values": { "Human": { "FlowCyt-species-checked": "testedAndGuaranteed", "FlowCyt-species-dilution-info": "", "FlowCyt-species-notes": "<p></p> Perform heat-mediated antigen retrieval with Tris/EDTA buffer pH 9.0 before commencing with IHC staining protocol.", "IHCP-species-checked": "testedAndGuaranteed", "IHCP-species-dilution-info": "", "IHCP-species-notes": "<p></p> Perform heat-mediated antigen retrieval with Tris/EDTA buffer pH 9.0 before commencing with IHC staining protocol.", "WB-species-checked": "notRecommended", "WB-species-dilution-info": "", "WB-species-notes": "<p></p>" } } }

Product details

ab255806 is the carrier-free version of ab224696.

Patented technology
Our RabMAb® technology is a patented hybridoma-based technology for making rabbit monoclonal antibodies. For details on our patents, please refer to RabMAb® patents.

What are the advantages of a recombinant monoclonal antibody?
This product is a recombinant monoclonal antibody, which offers several advantages including:

  • - High batch-to-batch consistency and reproducibility
  • - Improved sensitivity and specificity
  • - Long-term security of supply
  • - Animal-free batch production

For more information, read more on recombinant antibodies.

Conjugation ready
Our carrier-free antibodies are typically supplied in a PBS-only formulation, purified and free of BSA, sodium azide and glycerol. This conjugation-ready format is designed for use with fluorochromes, metal isotopes, oligonucleotides, and enzymes, which makes them ideal for antibody labelling, functional and cell-based assays, flow-based assays (e.g. mass cytometry) and Multiplex Imaging applications.

Use our conjugation kits for antibody conjugates that are ready-to-use in as little as 20 minutes with 1 minute hands-on-time and 100% antibody recovery: available for fluorescent dyes, HRP, biotin and gold.

Compatibility
This product is compatible with the Maxpar® Antibody Labeling Kit from Fluidigm, without the need for antibody preparation. Maxpar® is a trademark of Fluidigm Canada Inc.

Properties and storage information

Form
Liquid
Purification technique
Affinity purification Protein A
Storage buffer
pH: 7.2 - 7.4 Constituents: PBS
Shipped at conditions
Blue Ice
Appropriate short-term storage conditions
+4°C
Appropriate long-term storage conditions
+4°C
Storage information
Do Not Freeze

Product protocols

For this product, it's our understanding that no specific protocols are required. You can visit:

Target data

Receptor on natural killer (NK) cells for some HLA-C alleles such as w4 and w6. Inhibits the activity of NK cells thus preventing cell lysis.
See full target information KIR2DL1

Additional targets

KIR2DL2

Product promise

We are committed to supporting your work with high-quality reagents, and we're here for you every step of the way. In the unlikely event that one of our products does not perform as expected, you're protected by our Product Promise.
For full details, please see our Terms & Conditions

Please note: All products are 'FOR RESEARCH USE ONLY. NOT FOR USE IN DIAGNOSTIC OR THERAPEUTIC PROCEDURES'.

For licensing inquiries, please contact partnerships@abcam.com