JavaScript is disabled in your browser. Please enable JavaScript to view this website.
AB225740

Anti-KIR2DL3 antibody [EPR22192]

Be the first to review this product! Submit a review

|

(1 Publication)

Rabbit Recombinant Monoclonal KIR2DL3 antibody. Suitable for WB, IHC-P and reacts with Human samples. Cited in 1 publication.

View Alternative Names

CD158b2, CD158B2, KIRCL23, NKAT2, KIR2DL3, Killer cell immunoglobulin-like receptor 2DL3, CD158 antigen-like family member B2, KIR-023GB, Killer inhibitory receptor cl 2-3, NKAT2a, NKAT2b, Natural killer-associated transcript 2, p58 natural killer cell receptor clone CL-6, p58.2 MHC class-I-specific NK receptor, NKAT-2, p58 NK receptor CL-6

3 Images
Immunohistochemistry (Formalin/PFA-fixed paraffin-embedded sections) - Anti-KIR2DL3 antibody [EPR22192] (AB225740)
  • IHC-P

Supplier Data

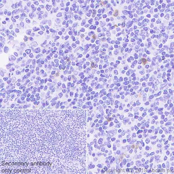
Immunohistochemistry (Formalin/PFA-fixed paraffin-embedded sections) - Anti-KIR2DL3 antibody [EPR22192] (AB225740)

Immunohistochemical analysis of paraffin-embedded human tonsil tissue labeling KIR2DL3 with ab225740 at 1/2000 dilution, followed by Goat Anti-Rabbit IgG H&L (HRP) Ready to use. Positive staining in natural killer (NK) cells in marginal zone of human tonsil (PMID : 19628706). Counter stained with hematoxylin.

Secondary antibody only control : Used PBS instead of primary antibody, secondary antibody is Goat Anti-Rabbit IgG H&L (HRP) Ready to use.

Perform heat mediated antigen retrieval with Tris/EDTA buffer pH 9.0 before commencing with IHC staining protocol.

Immunohistochemistry (Formalin/PFA-fixed paraffin-embedded sections) - Anti-KIR2DL3 antibody [EPR22192] (AB225740)
  • IHC-P

Supplier Data

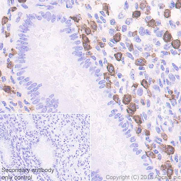
Immunohistochemistry (Formalin/PFA-fixed paraffin-embedded sections) - Anti-KIR2DL3 antibody [EPR22192] (AB225740)

Immunohistochemical analysis of paraffin-embedded human endometrium tissue labeling KIR2DL3 with ab225740 at 1/2000 dilution, followed by Goat Anti-Rabbit IgG H&L (HRP) Ready to use. Positive staining in natural killer (NK) cells in human endometrium (PMID : 19628706). Counter stained with hematoxylin.

Secondary antibody only control : Used PBS instead of primary antibody, secondary antibody is Goat Anti-Rabbit IgG H&L (HRP) Ready to use.

Perform heat mediated antigen retrieval with Tris/EDTA buffer pH 9.0 before commencing with IHC staining protocol.

Western blot - Anti-KIR2DL3 antibody [EPR22192] (AB225740)
  • WB

Supplier Data

Western blot - Anti-KIR2DL3 antibody [EPR22192] (AB225740)

Exposure time : 5.5 seconds.

Blocking/Dilution buffer : 5% NFDM/TBST.

All lanes:

Western blot - Anti-KIR2DL3 antibody [EPR22192] (ab225740) at 1/1000 dilution

Lane 1:

HEK-293T (human epithelial cell line from embryonic kidney transformed with large T antigen) transfected with an empty vector (vector control), containing a myc-His-tag®, whole cell lysate at 10 µg

Lane 2:

HEK-293T transfected with KIR2DL3 (WT) expression vector containing a myc-His-tag®, whole cell lysate at 10 µg

Secondary

All lanes:

Western blot - Goat Anti-Rabbit IgG H&L (HRP) (<a href='/en-us/products/secondary-antibodies/goat-rabbit-igg-h-l-hrp-ab97051'>ab97051</a>) at 1/100000 dilution

Predicted band size: 38 kDa

Observed band size: 50-60 kDa

false

Key facts

Host species

Rabbit

Clonality

Monoclonal

Clone number

EPR22192

Isotype

IgG

Carrier free

No

Reacts with

Human

Applications

WB, IHC-P

applications

Immunogen

The exact immunogen used to generate this antibody is proprietary information.

Specificity

The immunogen shares high homology with family members including 2DL1, 2DL2, 2DL4, 2DL5A, 2DS1, 2DS2, 2DS3, 2DS4, 2DS5, 3DL1, etc.. Potential cross-reactivity with these proteins has not been experimentally confirmed.

Reactivity data

{ "title": "Reactivity Data", "filters": { "stats": ["", "Species", "Dilution Info", "Notes"], "tabs": { "all-applications": {"fullname" : "All Applications", "shortname": "All Applications"}, "WB" : {"fullname" : "Western blot", "shortname":"WB"}, "IHCP" : {"fullname" : "Immunohistochemistry (Formalin/PFA-fixed paraffin-embedded sections)", "shortname":"IHC-P"} }, "product-promise": { "all": "all", "testedAndGuaranteed": "tested", "guaranteed": "expected", "predicted": "predicted", "notRecommended": "not-recommended" } }, "values": { "Human": { "WB-species-checked": "testedAndGuaranteed", "WB-species-dilution-info": "1/1000", "WB-species-notes": "<p></p>", "IHCP-species-checked": "testedAndGuaranteed", "IHCP-species-dilution-info": "1/2000", "IHCP-species-notes": "<p></p> Perform heat-mediated antigen retrieval with Tris/EDTA buffer pH 9.0 before commencing with IHC staining protocol." } } }

Product details

Patented technology
Our RabMAb® technology is a patented hybridoma-based technology for making rabbit monoclonal antibodies. For details on our patents, please refer to RabMAb® patents.

What are the advantages of a recombinant monoclonal antibody?
This product is a recombinant monoclonal antibody, which offers several advantages including:

  • - High batch-to-batch consistency and reproducibility
  • - Improved sensitivity and specificity
  • - Long-term security of supply
  • - Animal-free batch production

For more information, read more on recombinant antibodies.

Properties and storage information

Form
Liquid
Purification technique
Affinity purification Protein A
Storage buffer
pH: 7.2 - 7.4 Preservative: 0.01% Sodium azide Constituents: PBS, 40% Glycerol (glycerin, glycerine), 0.05% BSA
Shipped at conditions
Blue Ice
Appropriate short-term storage duration
1-2 weeks
Appropriate short-term storage conditions
+4°C
Appropriate long-term storage conditions
-20°C
Aliquoting information
Upon delivery aliquot
Storage information
Avoid freeze / thaw cycle

Product protocols

For this product, it's our understanding that no specific protocols are required. You can visit:

Target data

Receptor on natural killer (NK) cells for HLA-C alleles (HLA-Cw1, HLA-Cw3 and HLA-Cw7). Inhibits the activity of NK cells thus preventing cell lysis.
See full target information KIR2DL3

Publications (1)

Recent publications for all applications. Explore the full list and refine your search

Hepatology research : the official journal of the Japan Society of Hepatology 55:1296-1306 PubMed40515742

2025

CXCL6 Is a Novel Biliary Marker and a Downstream Target of MMP7 in Biliary Atresia.

Applications

Unspecified application

Species

Unspecified reactive species

Fanyang Kong,Jingying Jiang,Min Du,Rui Dong,Gong Chen,Shan Zheng,Junfeng Wang
View all publications

Product promise

We are committed to supporting your work with high-quality reagents, and we're here for you every step of the way. In the unlikely event that one of our products does not perform as expected, you're protected by our Product Promise.
For full details, please see our Terms & Conditions

Please note: All products are 'FOR RESEARCH USE ONLY. NOT FOR USE IN DIAGNOSTIC OR THERAPEUTIC PROCEDURES'.

For licensing inquiries, please contact partnerships@abcam.com