JavaScript is disabled in your browser. Please enable JavaScript to view this website.
AB224697

Anti-KIR2DL3 + KIR2DL1 + KIR2DL2 antibody [EPR22541-47]

Be the first to review this product! Submit a review

|

(1 Publication)

Rabbit Recombinant Monoclonal KIR2DL1 antibody. Suitable for Flow Cyt, WB, IHC-P and reacts with Human, Recombinant fragment - Human samples. Cited in 1 publication.

View Alternative Names

CD158a, CD158A, NKAT1, KIR2DL1, Killer cell immunoglobulin-like receptor 2DL1, CD158 antigen-like family member A, Natural killer-associated transcript 1, p58 natural killer cell receptor clones CL-42/47.11, p58.1 MHC class-I-specific NK receptor, NKAT-1, p58 NK receptor CL-42/47.11

4 Images
Flow Cytometry - Anti-KIR2DL3 + KIR2DL1 + KIR2DL2 antibody [EPR22541-47] (AB224697)
  • Flow Cyt

Unknown

Flow Cytometry - Anti-KIR2DL3 + KIR2DL1 + KIR2DL2 antibody [EPR22541-47] (AB224697)

Flow cytometric analysis of human peripheral blood mononuclear cell (PBMC) cells labeling KIR2DL2+KIR2DL1+KIR2DL3 with ab224697 at 1/600 compared with a Rabbit monoclonal IgG (ab172730) / Left isotype control. Goat anti rabbit IgG (Alexa Fluor® 488, ab150097) at 1/5000 dilution was used as the secondary antibody. Cells were stained with rabbit IgG (Left) or ab224697 (Right). Then stained with anti-CD56 conjugated to BV421. Gated on viable cells.

Immunohistochemistry (Formalin/PFA-fixed paraffin-embedded sections) - Anti-KIR2DL3 + KIR2DL1 + KIR2DL2 antibody [EPR22541-47] (AB224697)
  • IHC-P

Unknown

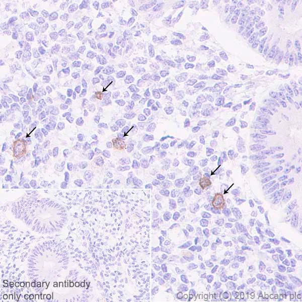
Immunohistochemistry (Formalin/PFA-fixed paraffin-embedded sections) - Anti-KIR2DL3 + KIR2DL1 + KIR2DL2 antibody [EPR22541-47] (AB224697)

Immunohistochemical analysis of paraffin-embedded human endometrium tissue labeling KIR2DL2+KIR2DL1+KIR2DL3 with ab224697 at 1/500 dilution (1.13μg/ml) followed by a ready to use Goat Anti-Rabbit IgG H&L (HRP). Positive staining in natural killer (NK) cells in human endometrium (PMID : 7749980). Counterstained with hematoxylin. Heat mediated antigen retrieval using ab93684 (Tris/EDTA buffer, pH 9.0).

Secondary antibody only control : Used PBS instead of primary antibody, secondary antibody is a ready to use Goat Anti-Rabbit IgG H&L (HRP).

Western blot - Anti-KIR2DL3 + KIR2DL1 + KIR2DL2 antibody [EPR22541-47] (AB224697)
  • WB

Supplier Data

Western blot - Anti-KIR2DL3 + KIR2DL1 + KIR2DL2 antibody [EPR22541-47] (AB224697)

Blocking and diluting buffer : 5% NFDM/TBST

The actual band size higher than predicted is mainly due to glycosylation.

The molecular weight observed is consistent with what has been described in the literatures

(PMID : 11454312 and PMID : 12370356).

All lanes:

Western blot - Anti-KIR2DL3 + KIR2DL1 + KIR2DL2 antibody [EPR22541-47] (ab224697) at 1/2000 dilution

All lanes:

HuT-78 (Human Sezary syndrome cutaneous T lymphocyte) whole cell lysate at 15 µg

Secondary

All lanes:

Western blot - Goat Anti-Rabbit IgG H&L (HRP) (<a href='/en-us/products/secondary-antibodies/goat-rabbit-igg-h-l-hrp-ab97051'>ab97051</a>) at 1/20000 dilution

Observed band size: 38-60 kDa

false

Exposure time: 40s

Western blot - Anti-KIR2DL3 + KIR2DL1 + KIR2DL2 antibody [EPR22541-47] (AB224697)
  • WB

Lab

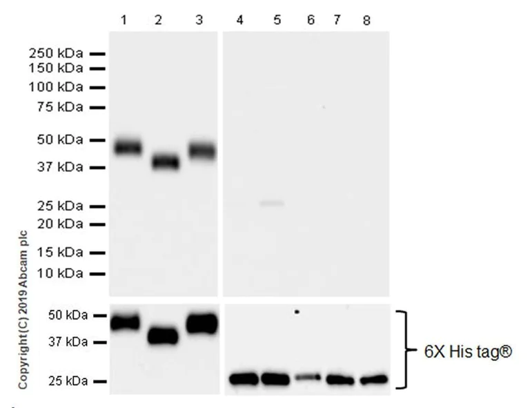
Western blot - Anti-KIR2DL3 + KIR2DL1 + KIR2DL2 antibody [EPR22541-47] (AB224697)

Blocking/Dilution buffer : 5% NFDM/TBST.

All lanes:

Western blot - Anti-KIR2DL3 + KIR2DL1 + KIR2DL2 antibody [EPR22541-47] (ab224697) at 1/1000 dilution

Lane 1:

His-tagged human KIR2DL1 recombinant protein (aa1-245)

Lane 2:

His and LIF-tagged human KIR2DL2 recombinant protein (aa26-221)

Lane 3:

His-tagged human KIR2DL3 recombinant protein (aa1-245)

Lane 4:

His-tagged human KIR2DS1 recombinant protein (aa22-221)

Lane 5:

His-tagged human KIR2DS2 recombinant protein (aa22-221)

Lane 6:

His-tagged human KIR2DS3 recombinant protein (aa22-221)

Lane 7:

His-tagged human KIR2DS4 recombinant protein (aa22-221)

Lane 8:

His-tagged human KIR2DS5 recombinant protein (aa22-221) 20 ng

Secondary

All lanes:

Western blot - Goat Anti-Rabbit IgG H&L (HRP) (<a href='/en-us/products/secondary-antibodies/goat-rabbit-igg-h-l-hrp-ab97051'>ab97051</a>) at 1/100000 dilution

false

Exposure time: 15s

  • Carrier free

    Anti-KIR2DL3 + KIR2DL1 + KIR2DL2 antibody [EPR22541-47] - BSA and Azide free

Key facts

Host species

Rabbit

Clonality

Monoclonal

Clone number

EPR22541-47

Isotype

IgG

Carrier free

No

Reacts with

Human

Applications

WB, IHC-P, Flow Cyt

applications

Immunogen

The exact immunogen used to generate this antibody is proprietary information.

Reactivity data

{ "title": "Reactivity Data", "filters": { "stats": ["", "Species", "Dilution Info", "Notes"], "tabs": { "all-applications": {"fullname" : "All Applications", "shortname": "All Applications"}, "FlowCyt" : {"fullname" : "Flow Cytometry", "shortname":"Flow Cyt"}, "WB" : {"fullname" : "Western blot", "shortname":"WB"}, "IHCP" : {"fullname" : "Immunohistochemistry (Formalin/PFA-fixed paraffin-embedded sections)", "shortname":"IHC-P"} }, "product-promise": { "all": "all", "testedAndGuaranteed": "tested", "guaranteed": "expected", "predicted": "predicted", "notRecommended": "not-recommended" } }, "values": { "Human": { "FlowCyt-species-checked": "testedAndGuaranteed", "FlowCyt-species-dilution-info": "1/600", "FlowCyt-species-notes": "<p></p>", "WB-species-checked": "testedAndGuaranteed", "WB-species-dilution-info": "1/1000", "WB-species-notes": "<p></p>", "IHCP-species-checked": "testedAndGuaranteed", "IHCP-species-dilution-info": "1/500", "IHCP-species-notes": "<p></p>" }, "Recombinant fragment - Human": { "FlowCyt-species-checked": "notRecommended", "FlowCyt-species-dilution-info": "", "FlowCyt-species-notes": "", "WB-species-checked": "testedAndGuaranteed", "WB-species-dilution-info": "1/1000", "WB-species-notes": "<p></p>", "IHCP-species-checked": "notRecommended", "IHCP-species-dilution-info": "", "IHCP-species-notes": "" } } }

Product details

Patented technology
Our RabMAb® technology is a patented hybridoma-based technology for making rabbit monoclonal antibodies. For details on our patents, please refer to RabMAb® patents.

What are the advantages of a recombinant monoclonal antibody?
This product is a recombinant monoclonal antibody, which offers several advantages including:

  • - High batch-to-batch consistency and reproducibility
  • - Improved sensitivity and specificity
  • - Long-term security of supply
  • - Animal-free batch production

For more information, read more on recombinant antibodies.

Properties and storage information

Form
Liquid
Purification technique
Affinity purification Protein A
Storage buffer
pH: 7.2 - 7.4 Preservative: 0.01% Sodium azide Constituents: PBS, 40% Glycerol (glycerin, glycerine), 0.05% BSA
Shipped at conditions
Blue Ice
Appropriate short-term storage duration
1-2 weeks
Appropriate short-term storage conditions
+4°C
Appropriate long-term storage conditions
-20°C
Aliquoting information
Upon delivery aliquot
Storage information
Avoid freeze / thaw cycle

Product protocols

For this product, it's our understanding that no specific protocols are required. You can visit:

Target data

Receptor on natural killer (NK) cells for some HLA-C alleles such as w4 and w6. Inhibits the activity of NK cells thus preventing cell lysis.
See full target information KIR2DL1

Additional targets

KIR2DL1,KIR2DL3

Publications (1)

Recent publications for all applications. Explore the full list and refine your search

Scientific reports 12:6769 PubMed35474089

2022

Blockade of inhibitory killer cell immunoglobulin-like receptors and IL-2 triggering reverses the functional hypoactivity of tumor-derived NK-cells in glioblastomas.

Applications

Unspecified application

Species

Unspecified reactive species

Cüneyt Sönmez,Johannes Wölfer,Markus Holling,Benjamin Brokinkel,Walter Stummer,Heinz Wiendl,Christian Thomas,Andreas Schulte-Mecklenbeck,Oliver M Grauer
View all publications

Product promise

We are committed to supporting your work with high-quality reagents, and we're here for you every step of the way. In the unlikely event that one of our products does not perform as expected, you're protected by our Product Promise.
For full details, please see our Terms & Conditions

Please note: All products are 'FOR RESEARCH USE ONLY. NOT FOR USE IN DIAGNOSTIC OR THERAPEUTIC PROCEDURES'.

For licensing inquiries, please contact partnerships@abcam.com