JavaScript is disabled in your browser. Please enable JavaScript to view this website.
AB233780

Anti-KIR3DL1 antibody [2C3B6]

Be the first to review this product! Submit a review

|

(1 Publication)

Mouse Monoclonal KIR3DL1 antibody. Suitable for Flow Cyt, WB, IHC-P and reacts with Human samples. Cited in 1 publication. Immunogen corresponding to Recombinant Fragment Protein within Human KIR3DL1 aa 200-350.

View Alternative Names

CD158e, CD158E, NKAT3, NKB1, KIR3DL1, Killer cell immunoglobulin-like receptor 3DL1, CD158 antigen-like family member E, HLA-BW4-specific inhibitory NK cell receptor, Natural killer-associated transcript 3, p70 natural killer cell receptor clones CL-2/CL-11, NKAT-3, p70 NK receptor CL-2/CL-11

4 Images
Flow Cytometry - Anti-KIR3DL1 antibody [2C3B6] (AB233780)
  • Flow Cyt

Supplier Data

Flow Cytometry - Anti-KIR3DL1 antibody [2C3B6] (AB233780)

Flow cytometric analysis of HL-60 (human promyelocytic leukemia cell line) cells labeling KIR3DL1 with ab233780 at 1/200 dilution (green) compared with a negative control (red).

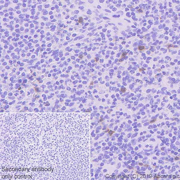
Immunohistochemistry (Formalin/PFA-fixed paraffin-embedded sections) - Anti-KIR3DL1 antibody [2C3B6] (AB233780)
  • IHC-P

Supplier Data

Immunohistochemistry (Formalin/PFA-fixed paraffin-embedded sections) - Anti-KIR3DL1 antibody [2C3B6] (AB233780)

Paraffin-embedded human cervical cancer tissue stained for KIR3DL1 using ab233780 at 1/200 dilution in immunohistochemical analysis. DAB staining.

Western blot - Anti-KIR3DL1 antibody [2C3B6] (AB233780)
  • WB

Supplier Data

Western blot - Anti-KIR3DL1 antibody [2C3B6] (AB233780)

Expected MW is 40.5 kDa.

All lanes:

Western blot - Anti-KIR3DL1 antibody [2C3B6] (ab233780) at 1/500 dilution

All lanes:

Recombinant human KIR3DL1 (aa 206-340) protein

Predicted band size: 49 kDa

false

Western blot - Anti-KIR3DL1 antibody [2C3B6] (AB233780)
  • WB

Unknown

Western blot - Anti-KIR3DL1 antibody [2C3B6] (AB233780)

All lanes:

Western blot - Anti-KIR3DL1 antibody [2C3B6] (ab233780) at 1/500 dilution

Lane 1:

Untransfected HEK-293 (human epithelial cell line from embryonic kidney) cell lysate

Lane 2:

Human KIR3DL1 (aa 206-340)-hIgG-Fc-transfected HEK-293 cell lysate

Predicted band size: 49 kDa

false

Key facts

Host species

Mouse

Clonality

Monoclonal

Clone number

2C3B6

Isotype

IgG1

Carrier free

No

Reacts with

Human

Applications

WB, IHC-P, Flow Cyt

applications

Immunogen

Recombinant Fragment Protein within Human KIR3DL1 aa 200-350. The exact immunogen used to generate this antibody is proprietary information.

P43629

Reactivity data

{ "title": "Reactivity Data", "filters": { "stats": ["", "Species", "Dilution Info", "Notes"], "tabs": { "all-applications": {"fullname" : "All Applications", "shortname": "All Applications"}, "FlowCyt" : {"fullname" : "Flow Cytometry", "shortname":"Flow Cyt"}, "WB" : {"fullname" : "Western blot", "shortname":"WB"}, "IHCP" : {"fullname" : "Immunohistochemistry (Formalin/PFA-fixed paraffin-embedded sections)", "shortname":"IHC-P"} }, "product-promise": { "all": "all", "testedAndGuaranteed": "tested", "guaranteed": "expected", "predicted": "predicted", "notRecommended": "not-recommended" } }, "values": { "Human": { "FlowCyt-species-checked": "testedAndGuaranteed", "FlowCyt-species-dilution-info": "1/200 - 1/400", "FlowCyt-species-notes": "<p></p>", "WB-species-checked": "testedAndGuaranteed", "WB-species-dilution-info": "1/500 - 1/2000", "WB-species-notes": "<p></p>", "IHCP-species-checked": "testedAndGuaranteed", "IHCP-species-dilution-info": "1/200 - 1/1000", "IHCP-species-notes": "<p></p>" } } }

Properties and storage information

Form
Liquid
Purification technique
Affinity purification Protein G
Purification notes
Purified from tissue culture supernatant.
Storage buffer
Preservative: 0.05% Sodium azide Constituents: PBS
Shipped at conditions
Blue Ice
Appropriate short-term storage duration
1-2 weeks
Appropriate short-term storage conditions
+4°C
Appropriate long-term storage conditions
-20°C
Aliquoting information
Upon delivery aliquot
Storage information
Avoid freeze / thaw cycle

Product protocols

For this product, it's our understanding that no specific protocols are required. You can visit:

Target data

Receptor on natural killer (NK) cells for HLA Bw4 allele. Inhibits the activity of NK cells thus preventing cell lysis.
See full target information KIR3DL1

Publications (1)

Recent publications for all applications. Explore the full list and refine your search

Biomolecules & biomedicine 24:848-856 PubMed38149831

2023

Hypomethylation of the promoter region contributes to the occurrence and development of ovarian endometriosis via the AKT/mTOR/4EBP1 signaling pathway.

Applications

Unspecified application

Species

Unspecified reactive species

Yuzhen Qin,Yishuai Li,Yali Hao,Yan Li,Shan Kang
View all publications

Product promise

We are committed to supporting your work with high-quality reagents, and we're here for you every step of the way. In the unlikely event that one of our products does not perform as expected, you're protected by our Product Promise.
For full details, please see our Terms & Conditions

Please note: All products are 'FOR RESEARCH USE ONLY. NOT FOR USE IN DIAGNOSTIC OR THERAPEUTIC PROCEDURES'.

For licensing inquiries, please contact partnerships@abcam.com