JavaScript is disabled in your browser. Please enable JavaScript to view this website.
AB222100

Anti-KIR3DL1 + KIR3DS1 antibody [EPR22876-121]

Be the first to review this product! Submit a review

|

(1 Publication)

Rabbit Recombinant Monoclonal KIR3DL1 antibody. Suitable for WB, IHC-P and reacts with Transfected cell lysate, Human samples. Cited in 1 publication.

View Alternative Names

CD158e, CD158E, NKAT3, NKB1, KIR3DL1, Killer cell immunoglobulin-like receptor 3DL1, CD158 antigen-like family member E, HLA-BW4-specific inhibitory NK cell receptor, Natural killer-associated transcript 3, p70 natural killer cell receptor clones CL-2/CL-11, NKAT-3, p70 NK receptor CL-2/CL-11

3 Images
Immunohistochemistry (Formalin/PFA-fixed paraffin-embedded sections) - Anti-KIR3DL1 + KIR3DS1 antibody [EPR22876-121] (AB222100)
  • IHC-P

Unknown

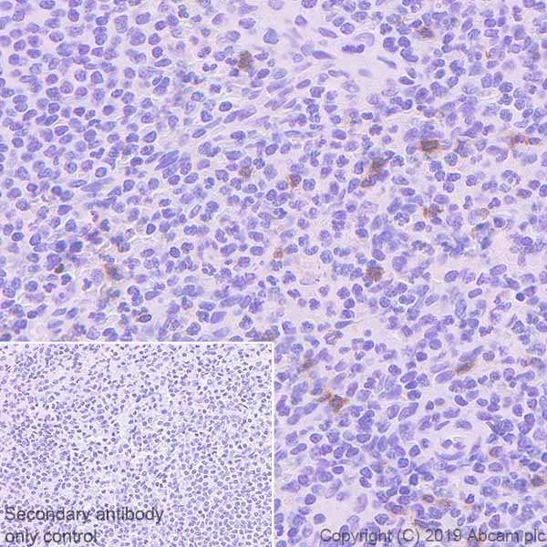
Immunohistochemistry (Formalin/PFA-fixed paraffin-embedded sections) - Anti-KIR3DL1 + KIR3DS1 antibody [EPR22876-121] (AB222100)

Immunohistochemical analysis of paraffin-embedded human spleen tissue labeling KIR3DL1+KIR3DS1 with ab222100 at 1/500 dilution (1.438 μg/ml) followed by a ready to use Rabbit specific IHC polymer detection kit HRP/DAB (ab209101). Cytoplasmic staining in some lymphocytes of human spleen (PMID : 22140359) is observed. The section was incubated with ab222100 for 15 mins at RT. The immunostaining was performed on a Leica Biosystems BOND® RX instrument. Counterstained with hematoxylin.

Secondary antibody only control : Secondary antibody is a ready to use Rabbit specific IHC polymer detection kit HRP/DAB (ab209101).

Heat mediated antigen retrieval with Tris-EDTA buffer (pH 9.0, epitope retrieval solution 2) for 20 mins.

Immunohistochemistry (Formalin/PFA-fixed paraffin-embedded sections) - Anti-KIR3DL1 + KIR3DS1 antibody [EPR22876-121] (AB222100)
  • IHC-P

Unknown

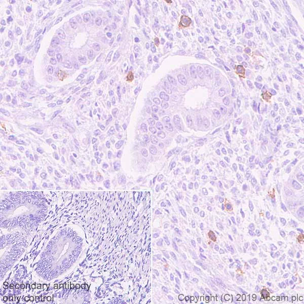
Immunohistochemistry (Formalin/PFA-fixed paraffin-embedded sections) - Anti-KIR3DL1 + KIR3DS1 antibody [EPR22876-121] (AB222100)

Immunohistochemical analysis of paraffin-embedded human endometrium tissue labeling KIR3DL1+KIR3DS1 with ab222100 at 1/500 dilution (1.438 μg/ml) followed by a ready to use Rabbit specific IHC polymer detection kit HRP/DAB (ab209101). Positive staining in some stromal cells of human endometrium (PMID : 22140359) is observed. The section was incubated with ab222100 for 15 mins at RT. The immunostaining was performed on a Leica Biosystems BOND® RX instrument. Counterstained with hematoxylin.

Secondary antibody only control : Secondary antibody is a ready to use Rabbit specific IHC polymer detection kit HRP/DAB (ab209101).

Heat mediated antigen retrieval with Tris-EDTA buffer (pH 9.0, epitope retrieval solution 2) for 20 mins.

Western blot - Anti-KIR3DL1 + KIR3DS1 antibody [EPR22876-121] (AB222100)
  • WB

Lab

Western blot - Anti-KIR3DL1 + KIR3DS1 antibody [EPR22876-121] (AB222100)

Blocking and Dilution Buffer and concentration : 5% NFDM/TBST. KIR3DL1 and KIR3DS1 are glycoproteins. The molecular weight observed are consistent with what have been described in the literature (PMID : 17202323, PMID : 16423035).

All lanes:

Western blot - Anti-KIR3DL1 + KIR3DS1 antibody [EPR22876-121] (ab222100) at 1/1000 dilution

Lane 1:

HEK-293T (human embryonic kidney) transfected with an empty vector (vector control), containing a myc-His-tag®, whole cell lysate at 20 µg

Lane 2:

HEK-293T transfected with KIR3DL1 expression vector containing a myc-His-tag®, whole cell lysate at 20 µg

Lanes 3 and 5:

HEK-293T transfected with an empty vector (vector control), containing a myc-His-tag®, whole cell lysate at 20 µg

Lane 4:

HEK-293T transfected with KIR3DL2 expression vector containing a myc-His-tag®, whole cell lysate at 20 µg

Lane 6:

HEK-293T transfected with KIR3DS1 expression vector containing a myc-His-tag®, whole cell lysate at 20 µg

Secondary

All lanes:

Western blot - Goat Anti-Rabbit IgG H&L (HRP) (<a href='/en-us/products/secondary-antibodies/goat-rabbit-igg-h-l-hrp-ab97051'>ab97051</a>) at 1/100000 dilution

Observed band size: 60 kDa,60-80 kDa

false

Exposure time: 1s

  • Carrier free

    Anti-KIR3DL1 + KIR3DS1 antibody [EPR22876-121] - BSA and Azide free

Key facts

Host species

Rabbit

Clonality

Monoclonal

Clone number

EPR22876-121

Isotype

IgG

Carrier free

No

Reacts with

Human

Applications

IHC-P, WB

applications

Immunogen

The exact immunogen used to generate this antibody is proprietary information.

Reactivity data

{ "title": "Reactivity Data", "filters": { "stats": ["", "Species", "Dilution Info", "Notes"], "tabs": { "all-applications": {"fullname" : "All Applications", "shortname": "All Applications"}, "IP" : {"fullname" : "Immunoprecipitation", "shortname":"IP"}, "FlowCyt" : {"fullname" : "Flow Cytometry", "shortname":"Flow Cyt"}, "WB" : {"fullname" : "Western blot", "shortname":"WB"}, "ICCIF" : {"fullname" : "Immunocytochemistry/ Immunofluorescence", "shortname":"ICC/IF"}, "IHCP" : {"fullname" : "Immunohistochemistry (Formalin/PFA-fixed paraffin-embedded sections)", "shortname":"IHC-P"} }, "product-promise": { "all": "all", "testedAndGuaranteed": "tested", "guaranteed": "expected", "predicted": "predicted", "notRecommended": "not-recommended" } }, "values": { "Human": { "IP-species-checked": "notRecommended", "IP-species-dilution-info": "", "IP-species-notes": "<p></p>", "FlowCyt-species-checked": "notRecommended", "FlowCyt-species-dilution-info": "", "FlowCyt-species-notes": "<p></p>", "WB-species-checked": "guaranteed", "WB-species-dilution-info": "", "WB-species-notes": "", "ICCIF-species-checked": "notRecommended", "ICCIF-species-dilution-info": "", "ICCIF-species-notes": "<p></p>", "IHCP-species-checked": "testedAndGuaranteed", "IHCP-species-dilution-info": "1/500", "IHCP-species-notes": "<p></p>" }, "Transfected cell lysate": { "IP-species-checked": "notRecommended", "IP-species-dilution-info": "", "IP-species-notes": "", "FlowCyt-species-checked": "notRecommended", "FlowCyt-species-dilution-info": "", "FlowCyt-species-notes": "", "WB-species-checked": "testedAndGuaranteed", "WB-species-dilution-info": "1/1000", "WB-species-notes": "<p></p>", "ICCIF-species-checked": "notRecommended", "ICCIF-species-dilution-info": "", "ICCIF-species-notes": "", "IHCP-species-checked": "notRecommended", "IHCP-species-dilution-info": "", "IHCP-species-notes": "" } } }

Product details

Patented technology
Our RabMAb® technology is a patented hybridoma-based technology for making rabbit monoclonal antibodies. For details on our patents, please refer to RabMAb® patents.

What are the advantages of a recombinant monoclonal antibody?
This product is a recombinant monoclonal antibody, which offers several advantages including:

  • - High batch-to-batch consistency and reproducibility
  • - Improved sensitivity and specificity
  • - Long-term security of supply
  • - Animal-free batch production

For more information, read more on recombinant antibodies.

Properties and storage information

Form
Liquid
Purification technique
Affinity purification Protein A
Storage buffer
pH: 7.2 - 7.4 Preservative: 0.01% Sodium azide Constituents: PBS, 40% Glycerol (glycerin, glycerine), 0.05% BSA
Shipped at conditions
Blue Ice
Appropriate short-term storage duration
1-2 weeks
Appropriate short-term storage conditions
+4°C
Appropriate long-term storage conditions
-20°C
Aliquoting information
Upon delivery aliquot
Storage information
Avoid freeze / thaw cycle

Product protocols

For this product, it's our understanding that no specific protocols are required. You can visit:

Target data

Receptor on natural killer (NK) cells for HLA Bw4 allele. Inhibits the activity of NK cells thus preventing cell lysis.
See full target information KIR3DL1

Publications (1)

Recent publications for all applications. Explore the full list and refine your search

Frontiers in pharmacology 12:771818 PubMed34987396

2021

Organic Anion Transporting Polypeptide 2B1 in Human Fetal Membranes: A Novel Gatekeeper for Drug Transport During Pregnancy?

Applications

Unspecified application

Species

Unspecified reactive species

Esha Ganguly,Ananth Kumar Kammala,Meagan Benson,Lauren S Richardson,Arum Han,Ramkumar Menon
View all publications

Product promise

We are committed to supporting your work with high-quality reagents, and we're here for you every step of the way. In the unlikely event that one of our products does not perform as expected, you're protected by our Product Promise.
For full details, please see our Terms & Conditions

Please note: All products are 'FOR RESEARCH USE ONLY. NOT FOR USE IN DIAGNOSTIC OR THERAPEUTIC PROCEDURES'.

For licensing inquiries, please contact partnerships@abcam.com