JavaScript is disabled in your browser. Please enable JavaScript to view this website.
AB314868

Anti-KIR3DL1+KIR2DL3+KIR3DL2 antibody [EPR27252-40]

  • BOND RX™ Validated
  • 20ul selling size
  • RabMAb
  • Recombinant
  • What is this?

Be the first to review this product! Submit a review

|

(0 Publication)

Rabbit Recombinant Monoclonal KIR3DL1 antibody. Suitable for IHC-P and reacts with Human, Transfected cell line - Human samples.

View Alternative Names

CD158e, CD158E, NKAT3, NKB1, KIR3DL1, Killer cell immunoglobulin-like receptor 3DL1, CD158 antigen-like family member E, HLA-BW4-specific inhibitory NK cell receptor, Natural killer-associated transcript 3, p70 natural killer cell receptor clones CL-2/CL-11, NKAT-3, p70 NK receptor CL-2/CL-11

5 Images
Immunohistochemistry (Formalin/PFA-fixed paraffin-embedded sections) - Anti-KIR3DL1+KIR2DL3+KIR3DL2 antibody [EPR27252-40] (AB314868)
  • IHC-P

Supplier Data

Immunohistochemistry (Formalin/PFA-fixed paraffin-embedded sections) - Anti-KIR3DL1+KIR2DL3+KIR3DL2 antibody [EPR27252-40] (AB314868)

Immunohistochemical analysis of paraffin-embedded (A) HEK-293T (human embryonic kidney epithelial cell) transfected with a human KIR3DL1 expression vector containing a his tag. (B) HEK-293T transfected with a human KIR2DL3 expression vector containing a his tag. (C) HEK-293T transfected with a human KIR3DL2 expression vector containing a his tag. (D) HEK-293T transfected with a human KIR3DS1 expression vector containing a his tag. (E) HEK-293T transfected with empty vector containing a His tag. tissue labeling KIR3DL1+KIR2DL3+KIR3DL2 with ab314868 at 1/4000 (0.129 ug/ml) followed by a ready to use LeicaDS9800 (Bond™ Polymer Refine Detection). Positive staining on (A) HEK-293T transfected with a human KIR3DL1 expression vector containing a his tag, (B) HEK-293T transfected with a human KIR2DL3 expression vector containing a his tag, and (C) HEK-293T transfected with a human KIR3DL2 expression vector containing a his tag. No staining on (D) HEK-293T transfected with a human KIR3DS1 expression vector containing a his tag and (E) HEK-293T transfected with empty vector containing a His tag. The section was incubated with ab314868 for 30 mins at room temperature. The immunostaining was performed on a Leica Biosystems BOND® RX instrument. Counterstained with Hematoxylin.

Secondary antibody only control : Secondary antibody is a ready to use LeicaDS9800 (Bond™ Polymer Refine Detection).

Heat mediated antigen retrieval was performed with Tris-EDTA buffer (pH 9.0, Epitope Retrieval Solution2) for 20 mins.

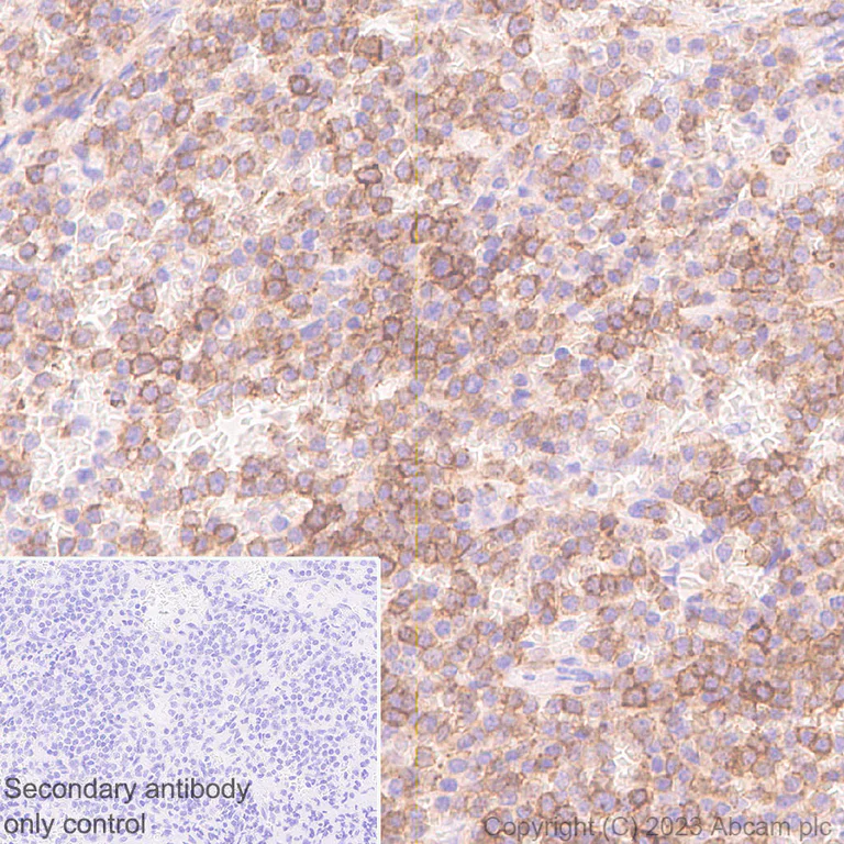
Immunohistochemistry (Formalin/PFA-fixed paraffin-embedded sections) - Anti-KIR3DL1+KIR2DL3+KIR3DL2 antibody [EPR27252-40] (AB314868)
  • IHC-P

Supplier Data

Immunohistochemistry (Formalin/PFA-fixed paraffin-embedded sections) - Anti-KIR3DL1+KIR2DL3+KIR3DL2 antibody [EPR27252-40] (AB314868)

Immunohistochemical analysis of paraffin-embedded Human NK/T cell lymphoma tissue labeling KIR3DL1+KIR2DL3+KIR3DL2 with ab314868 at 1/100 (5.14 ug/ml) followed by a ready to use LeicaDS9800 (Bond™ Polymer Refine Detection). Positive staining on human NK/T cell lymphoma. The section was incubated with ab314868 for 30 mins at room temperature. The immunostaining was performed on a Leica Biosystems BOND® RX instrument. Counterstained with Hematoxylin.

Secondary antibody only control : Secondary antibody is a ready to use LeicaDS9800 (Bond™ Polymer Refine Detection).

Heat mediated antigen retrieval was performed with Tris-EDTA buffer (pH 9.0, Epitope Retrieval Solution2) for 20 mins.

Immunohistochemistry (Formalin/PFA-fixed paraffin-embedded sections) - Anti-KIR3DL1+KIR2DL3+KIR3DL2 antibody [EPR27252-40] (AB314868)
  • IHC-P

Supplier Data

Immunohistochemistry (Formalin/PFA-fixed paraffin-embedded sections) - Anti-KIR3DL1+KIR2DL3+KIR3DL2 antibody [EPR27252-40] (AB314868)

Immunohistochemical analysis of paraffin-embedded human endometrium tissue labeling KIR3DL1+KIR2DL3+KIR3DL2 with ab314868 at 1/100 (5.14 ug/ml) followed by a ready to use LeicaDS9800 (Bond™ Polymer Refine Detection). Positive staining on immune cells of human endometrium. The section was incubated with ab314868 for 30 mins at room temperature. The immunostaining was performed on a Leica Biosystems BOND® RX instrument. Counterstained with Hematoxylin.

Secondary antibody only control : Secondary antibody is a ready to use LeicaDS9800 (Bond™ Polymer Refine Detection).

Heat mediated antigen retrieval was performed with Tris-EDTA buffer (pH 9.0, Epitope Retrieval Solution2) for 20 mins.

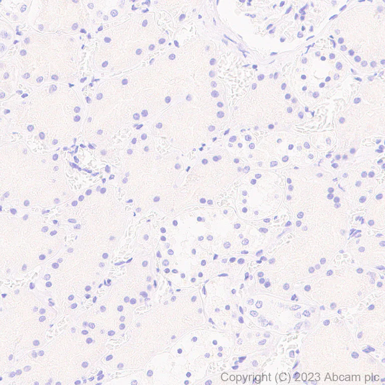
Immunohistochemistry (Formalin/PFA-fixed paraffin-embedded sections) - Anti-KIR3DL1+KIR2DL3+KIR3DL2 antibody [EPR27252-40] (AB314868)
  • IHC-P

Supplier Data

Immunohistochemistry (Formalin/PFA-fixed paraffin-embedded sections) - Anti-KIR3DL1+KIR2DL3+KIR3DL2 antibody [EPR27252-40] (AB314868)

Immunohistochemical analysis of paraffin-embedded human kidney tissue labeling KIR3DL1+KIR2DL3+KIR3DL2 with ab314868 at 1/100 (5.14 ug/ml) followed by a ready to use LeicaDS9800 (Bond™ Polymer Refine Detection). Negative control : no staining on human kidney. The section was incubated with ab314868 for 30 mins at room temperature. The immunostaining was performed on a Leica Biosystems BOND® RX instrument. Counterstained with Hematoxylin.

Secondary antibody only control : Secondary antibody is a ready to use LeicaDS9800 (Bond™ Polymer Refine Detection).

Heat mediated antigen retrieval was performed with Tris-EDTA buffer (pH 9.0, Epitope Retrieval Solution2) for 20 mins.

Immunohistochemistry (Formalin/PFA-fixed paraffin-embedded sections) - Anti-KIR3DL1+KIR2DL3+KIR3DL2 antibody [EPR27252-40] (AB314868)
  • IHC-P

Supplier Data

Immunohistochemistry (Formalin/PFA-fixed paraffin-embedded sections) - Anti-KIR3DL1+KIR2DL3+KIR3DL2 antibody [EPR27252-40] (AB314868)

Immunohistochemical analysis of paraffin-embedded human cerebrum tissue labeling KIR3DL1+KIR2DL3+KIR3DL2 with ab314868 at 1/100 (5.14 ug/ml) followed by a ready to use LeicaDS9800 (Bond™ Polymer Refine Detection). Negative control : no staining on human cerebrum. The section was incubated with ab314868 for 30 mins at room temperature. The immunostaining was performed on a Leica Biosystems BOND® RX instrument. Counterstained with Hematoxylin.

Secondary antibody only control : Secondary antibody is a ready to use LeicaDS9800 (Bond™ Polymer Refine Detection).

Heat mediated antigen retrieval was performed with Tris-EDTA buffer (pH 9.0, Epitope Retrieval Solution2) for 20 mins.

Key facts

Host species

Rabbit

Clonality

Monoclonal

Clone number

EPR27252-40

Isotype

IgG

Carrier free

No

Reacts with

Human

Applications

IHC-P

applications

Immunogen

The exact immunogen used to generate this antibody is proprietary information.

Reactivity data

{ "title": "Reactivity Data", "filters": { "stats": ["", "Species", "Dilution Info", "Notes"], "tabs": { "all-applications": {"fullname" : "All Applications", "shortname": "All Applications"}, "IHCP" : {"fullname" : "Immunohistochemistry (Formalin/PFA-fixed paraffin-embedded sections)", "shortname":"IHC-P"}, "FlowCytIntra" : {"fullname" : "Flow Cytometry (Intracellular)", "shortname":"Flow Cyt (Intra)"}, "WB" : {"fullname" : "Western blot", "shortname":"WB"}, "IP" : {"fullname" : "Immunoprecipitation", "shortname":"IP"}, "ICCIF" : {"fullname" : "Immunocytochemistry/ Immunofluorescence", "shortname":"ICC/IF"} }, "product-promise": { "all": "all", "testedAndGuaranteed": "tested", "guaranteed": "expected", "predicted": "predicted", "notRecommended": "not-recommended" } }, "values": { "Human": { "IHCP-species-checked": "testedAndGuaranteed", "IHCP-species-dilution-info": "1/100", "IHCP-species-notes": "<p></p> Perform heat-mediated antigen retrieval with Tris/EDTA buffer pH 9.0 before commencing with IHC staining protocol.", "FlowCytIntra-species-checked": "notRecommended", "FlowCytIntra-species-dilution-info": "", "FlowCytIntra-species-notes": "<p></p>", "WB-species-checked": "notRecommended", "WB-species-dilution-info": "", "WB-species-notes": "<p></p>", "IP-species-checked": "notRecommended", "IP-species-dilution-info": "", "IP-species-notes": "<p></p>", "ICCIF-species-checked": "notRecommended", "ICCIF-species-dilution-info": "", "ICCIF-species-notes": "<p></p>" }, "Mouse": { "IHCP-species-checked": "notRecommended", "IHCP-species-dilution-info": "", "IHCP-species-notes": "<p></p>", "FlowCytIntra-species-checked": "notRecommended", "FlowCytIntra-species-dilution-info": "", "FlowCytIntra-species-notes": "", "WB-species-checked": "notRecommended", "WB-species-dilution-info": "", "WB-species-notes": "<p></p>", "IP-species-checked": "notRecommended", "IP-species-dilution-info": "", "IP-species-notes": "", "ICCIF-species-checked": "notRecommended", "ICCIF-species-dilution-info": "", "ICCIF-species-notes": "" }, "Rat": { "IHCP-species-checked": "notRecommended", "IHCP-species-dilution-info": "", "IHCP-species-notes": "<p></p>", "FlowCytIntra-species-checked": "notRecommended", "FlowCytIntra-species-dilution-info": "", "FlowCytIntra-species-notes": "", "WB-species-checked": "notRecommended", "WB-species-dilution-info": "", "WB-species-notes": "<p></p>", "IP-species-checked": "notRecommended", "IP-species-dilution-info": "", "IP-species-notes": "", "ICCIF-species-checked": "notRecommended", "ICCIF-species-dilution-info": "", "ICCIF-species-notes": "" }, "Transfected cell line - Human": { "IHCP-species-checked": "testedAndGuaranteed", "IHCP-species-dilution-info": "1/4000", "IHCP-species-notes": "<p></p> Perform heat-mediated antigen retrieval with Tris/EDTA buffer pH 9.0 before commencing with IHC staining protocol.", "FlowCytIntra-species-checked": "notRecommended", "FlowCytIntra-species-dilution-info": "", "FlowCytIntra-species-notes": "", "WB-species-checked": "notRecommended", "WB-species-dilution-info": "", "WB-species-notes": "", "IP-species-checked": "notRecommended", "IP-species-dilution-info": "", "IP-species-notes": "", "ICCIF-species-checked": "notRecommended", "ICCIF-species-dilution-info": "", "ICCIF-species-notes": "" } } }

Product details

Patented technology
Our RabMAb® technology is a patented hybridoma-based technology for making rabbit monoclonal antibodies. For details on our patents, please refer to RabMAb® patents.

What are the advantages of a recombinant monoclonal antibody?
This product is a recombinant monoclonal antibody, which offers several advantages including:

  • - High batch-to-batch consistency and reproducibility
  • - Improved sensitivity and specificity
  • - Long-term security of supply
  • - Animal-free batch production

For more information, read more on recombinant antibodies.

Properties and storage information

Form
Liquid
Purification technique
Affinity purification Protein A
Storage buffer
pH: 7.2 - 7.4 Preservative: 0.01% Sodium azide Constituents: PBS, 40% Glycerol (glycerin, glycerine), 0.05% BSA
Shipped at conditions
Blue Ice
Appropriate short-term storage duration
1-2 weeks
Appropriate short-term storage conditions
+4°C
Appropriate long-term storage conditions
-20°C
Aliquoting information
Upon delivery aliquot
Storage information
Avoid freeze / thaw cycle

Product protocols

For this product, it's our understanding that no specific protocols are required. You can visit:

Target data

Receptor on natural killer (NK) cells for HLA Bw4 allele. Inhibits the activity of NK cells thus preventing cell lysis.
See full target information KIR3DL1

Additional targets

KIR3DL2,KIR2DL3

Product promise

We are committed to supporting your work with high-quality reagents, and we're here for you every step of the way. In the unlikely event that one of our products does not perform as expected, you're protected by our Product Promise.
For full details, please see our Terms & Conditions

Please note: All products are 'FOR RESEARCH USE ONLY. NOT FOR USE IN DIAGNOSTIC OR THERAPEUTIC PROCEDURES'.

For licensing inquiries, please contact partnerships@abcam.com