JavaScript is disabled in your browser. Please enable JavaScript to view this website.
AB312845

Anti-Kir4.1/KCNJ10 antibody [EPR27251-74] - BSA and Azide free

Be the first to review this product! Submit a review

|

(0 Publication)

Rabbit Recombinant Monoclonal Kir4.1/KCNJ10 antibody. Carrier free. Suitable for IHC-P, Flow Cyt (Intra), ICC/IF, WB, Dot and reacts with Mouse, Rat, Synthetic peptide samples.

View Alternative Names

ATP-sensitive inward rectifier potassium channel 10, Inward rectifier K(+) channel Kir4.1, Kcnj10

11 Images
Flow Cytometry (Intracellular) - Anti-Kir4.1/KCNJ10 antibody [EPR27251-74] - BSA and Azide free (AB312845)
  • Flow Cyt (Intra)

Supplier Data

Flow Cytometry (Intracellular) - Anti-Kir4.1/KCNJ10 antibody [EPR27251-74] - BSA and Azide free (AB312845)

This data was developed using ab312844, the same antibody clone in a different buffer formulation. Flow cytometric analysis of 4% paraformaldehyde fixed 90% methanol permeabilized Rat primary neural/glia cell cells labelling Kir4.1/KCNJ10 with ab312844 at 1/50 dilution (1ug)/ Right (Red) compared with a Rabbit monoclonal IgG (ab172730) / Left isotype control and an unlabelled control (cells without incubation with primary antibody and secondary antibody) (Blue). A Goat Anti-Rabbit IgG (Alexa Fluor® 488, ab150081) at 1/5000 dilution was used as the secondary antibody.

Immunohistochemistry (Formalin/PFA-fixed paraffin-embedded sections) - Anti-Kir4.1/KCNJ10 antibody [EPR27251-74] - BSA and Azide free (AB312845)
  • IHC-P

Supplier Data

Immunohistochemistry (Formalin/PFA-fixed paraffin-embedded sections) - Anti-Kir4.1/KCNJ10 antibody [EPR27251-74] - BSA and Azide free (AB312845)

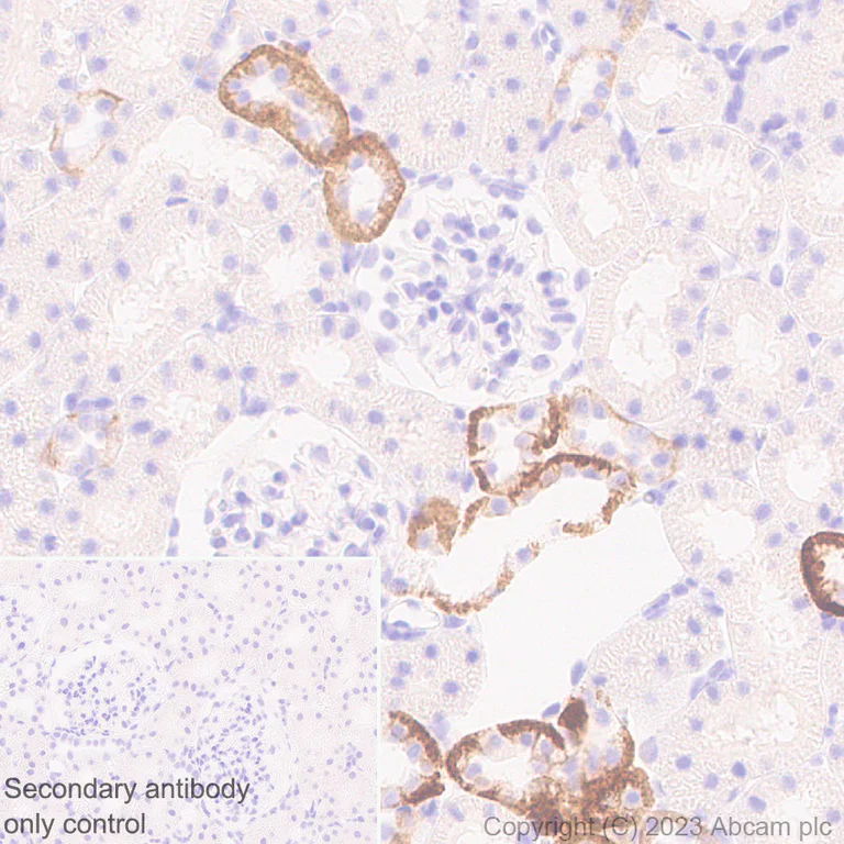
This data was developed using ab312844, the same antibody clone in a different buffer formulation. Immunohistochemical analysis of paraffin-embedded Rat kidney tissue labeling Kir4.1/KCNJ10 with ab312844 at 1/5000 (0.101 ug/ml) followed by a ready to use LeicaDS9800 (Bond™ Polymer Refine Detection). Positive staining on distal tubules in rat kidney (PMID : 8654579). The section was incubated with ab312844 for 30 mins at room temperature. The immunostaining was performed on a Leica Biosystems BOND® RX instrument. Counterstained with Hematoxylin. Secondary antibody only control : Secondary antibody is a ready to use LeicaDS9800 (Bond™ Polymer Refine Detection). Heat mediated antigen retrieval was performed with Tris-EDTA buffer (pH 9.0, Epitope Retrieval Solution2) for 20 mins.

Flow Cytometry (Intracellular) - Anti-Kir4.1/KCNJ10 antibody [EPR27251-74] - BSA and Azide free (AB312845)
  • Flow Cyt (Intra)

Supplier Data

Flow Cytometry (Intracellular) - Anti-Kir4.1/KCNJ10 antibody [EPR27251-74] - BSA and Azide free (AB312845)

This data was developed using ab312844, the same antibody clone in a different buffer formulation. Flow cytometric analysis of 4% paraformaldehyde fixed 90% methanol permeabilized Mouse primary neural/glia cell cells labelling Kir4.1/KCNJ10 with ab312844 at 1/50 dilution (1ug)/ Right (Red) compared with a Rabbit monoclonal IgG (ab172730) / Left isotype control and an unlabelled control (cells without incubation with primary antibody and secondary antibody) (Blue). A Goat Anti-Rabbit IgG (Alexa Fluor® 488, ab150081) at 1/5000 dilution was used as the secondary antibody.

Immunohistochemistry (Formalin/PFA-fixed paraffin-embedded sections) - Anti-Kir4.1/KCNJ10 antibody [EPR27251-74] - BSA and Azide free (AB312845)
  • IHC-P

Supplier Data

Immunohistochemistry (Formalin/PFA-fixed paraffin-embedded sections) - Anti-Kir4.1/KCNJ10 antibody [EPR27251-74] - BSA and Azide free (AB312845)

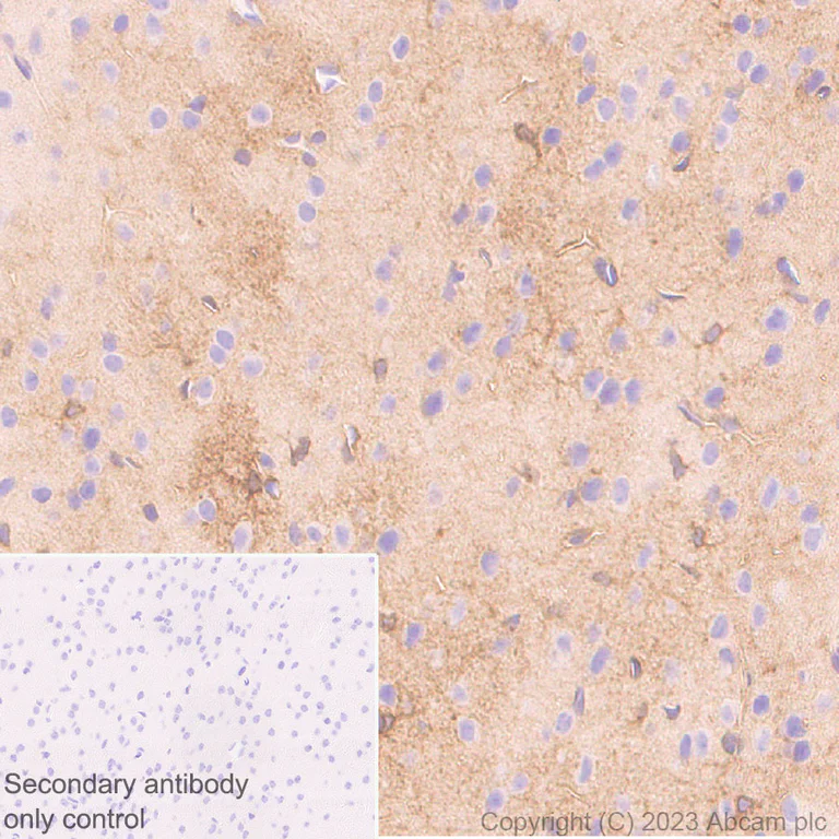
This data was developed using ab312844, the same antibody clone in a different buffer formulation. Immunohistochemical analysis of paraffin-embedded Mouse cerebrum tissue labeling Kir4.1/KCNJ10 with ab312844 at 1/5000 (0.101 ug/ml) followed by a ready to use LeicaDS9800 (Bond™ Polymer Refine Detection). Positive staining on mouse cerebrum (PMID : 11169792). The section was incubated with ab312844 for 30 mins at room temperature. The immunostaining was performed on a Leica Biosystems BOND® RX instrument. Counterstained with Hematoxylin. Secondary antibody only control : Secondary antibody is a ready to use LeicaDS9800 (Bond™ Polymer Refine Detection). Heat mediated antigen retrieval was performed with Tris-EDTA buffer (pH 9.0, Epitope Retrieval Solution2) for 20 mins.

Immunohistochemistry (Formalin/PFA-fixed paraffin-embedded sections) - Anti-Kir4.1/KCNJ10 antibody [EPR27251-74] - BSA and Azide free (AB312845)
  • IHC-P

Supplier Data

Immunohistochemistry (Formalin/PFA-fixed paraffin-embedded sections) - Anti-Kir4.1/KCNJ10 antibody [EPR27251-74] - BSA and Azide free (AB312845)

This data was developed using ab312844, the same antibody clone in a different buffer formulation. Immunohistochemical analysis of paraffin-embedded Rat cerebrum tissue labeling Kir4.1/KCNJ10 with ab312844 at 1/5000 (0.101 ug/ml) followed by a ready to use LeicaDS9800 (Bond™ Polymer Refine Detection). Positive staining on rat cerebrum. The section was incubated with ab312844 for 30 mins at room temperature. The immunostaining was performed on a Leica Biosystems BOND® RX instrument. Counterstained with Hematoxylin. Secondary antibody only control : Secondary antibody is a ready to use LeicaDS9800 (Bond™ Polymer Refine Detection). Heat mediated antigen retrieval was performed with Tris-EDTA buffer (pH 9.0, Epitope Retrieval Solution2) for 20 mins.

Immunocytochemistry/ Immunofluorescence - Anti-Kir4.1/KCNJ10 antibody [EPR27251-74] - BSA and Azide free (AB312845)
  • ICC/IF

Supplier Data

Immunocytochemistry/ Immunofluorescence - Anti-Kir4.1/KCNJ10 antibody [EPR27251-74] - BSA and Azide free (AB312845)

This data was developed using ab312844, the same antibody clone in a different buffer formulation. Immunofluorescent analysis of 4% Paraformaldehyde-fixed, 0.1% TritonX-100 permeabilized mouse primary neural/glia cell cells labelling Kir4.1/KCNJ10 with ab312844 at 1/50 (10.14 ug/ml) dilution, followed by ab150081 Goat Anti-Rabbit IgG H&L (Alexa Fluor® 488) preadsorbed antibody at 1/1000 (2 ug/ml) dilution (Green). Confocal image showing positive staining in mouse primary glia cell. Confocal scanning Z step was set as 0.3 μm followed by image processing with maximum Z projection. Image was taken with a confocal microscope(Leica-Microsystems, TCS SP8). Anti-Glial Fibrillary Acidic Protein (GFAP) mouse monoclonal antibody was used to counterstain tubulin at 1/200 (2.5ug/ml) dilution (Red). The Nuclear counterstain was DAPI (Blue). Secondary antibody only control : Secondary antibody is ab150081 Goat Anti-Rabbit IgG H&L (Alexa Fluor® 488) preadsorbed at 1/1000 (2 ug/ml) dilution.

Western blot - Anti-Kir4.1/KCNJ10 antibody [EPR27251-74] - BSA and Azide free (AB312845)
  • WB

Supplier Data

Western blot - Anti-Kir4.1/KCNJ10 antibody [EPR27251-74] - BSA and Azide free (AB312845)

This data was developed using ab312844, the same antibody clone in a different buffer formulation. Blocking and diluting buffer and concentration : 5% NFDM/TBST Kir4.1/KCNJ10 is expressed in vivo as a homotetramer (four units of KIR4.1) or a heterotetramer with KIR5.1(two units of KIR4.1 and KIR5.1). (PMID : 33348803; PMID : 15310750 ). This antibody can only detect the tetramer of Kir4.1/KCNJ10. Samples are non-boiled as boiling may cause protein aggregation. In Western blot, anti-GAPDH antibody (ab181602) loading control staining at 1/200000 dilution. Anti-Integrin alpha V (ab179475) control staining at 1/1000 dilution Exposure time : 15 seconds

All lanes:

Western blot - Anti-Kir4.1/KCNJ10 antibody [EPR27251-74] (<a href='/en-us/products/primary-antibodies/kir41-kcnj10-antibody-epr27251-74-ab312844'>ab312844</a>) at 1/1000 dilution

Lane 1:

Mouse brain non-membrane fraction at 20 µg

Lane 2:

Mouse brain membrane fraction at 20 µg

Lane 3:

Rat brain non-membrane fraction at 20 µg

Lane 4:

Rat brain membrane fraction at 20 µg

Secondary

All lanes:

Western blot - Goat Anti-Rabbit IgG H&L (HRP) (<a href='/en-us/products/secondary-antibodies/goat-rabbit-igg-h-l-hrp-ab97051'>ab97051</a>) at 1/100000 dilution

Observed band size: 250 kDa

false

Exposure time: 15s

Western blot - Anti-Kir4.1/KCNJ10 antibody [EPR27251-74] - BSA and Azide free (AB312845)
  • WB

Supplier Data

Western blot - Anti-Kir4.1/KCNJ10 antibody [EPR27251-74] - BSA and Azide free (AB312845)

This data was developed using ab312844, the same antibody clone in a different buffer formulation. Blocking and diluting buffer and concentration : 5% NFDM/TBST Negative control : heart (PMID : 11169792). Kir4.1/KCNJ10 is expressed in vivo as a homotetramer (four units of KIR4.1) or a heterotetramer with KIR5.1(two units of KIR4.1 and KIR5.1). (PMID : 33348803; PMID : 15310750 ). This antibody can only detect the tetramer of Kir4.1/KCNJ10. Samples are non-boiled as boiling may cause protein aggregation. In Western blot, anti-GAPDH antibody (ab181602) loading control staining at 1/200000 dilution. Exposure time : 15 seconds

All lanes:

Western blot - Anti-Kir4.1/KCNJ10 antibody [EPR27251-74] (<a href='/en-us/products/primary-antibodies/kir41-kcnj10-antibody-epr27251-74-ab312844'>ab312844</a>) at 1/1000 dilution

Lane 1:

Mouse cerebellum tissue lysate at 20 µg

Lane 2:

Mouse heart tissue lysate at 20 µg

Lane 3:

Rat cerebellum tissue lysate at 20 µg

Lane 4:

Rat heart tissue lysate at 20 µg

Secondary

All lanes:

Western blot - Goat Anti-Rabbit IgG H&L (HRP) (<a href='/en-us/products/secondary-antibodies/goat-rabbit-igg-h-l-hrp-ab97051'>ab97051</a>) at 1/100000 dilution

Observed band size: 250 kDa

false

Exposure time: 15s

Immunohistochemistry (Formalin/PFA-fixed paraffin-embedded sections) - Anti-Kir4.1/KCNJ10 antibody [EPR27251-74] - BSA and Azide free (AB312845)
  • IHC-P

Supplier Data

Immunohistochemistry (Formalin/PFA-fixed paraffin-embedded sections) - Anti-Kir4.1/KCNJ10 antibody [EPR27251-74] - BSA and Azide free (AB312845)

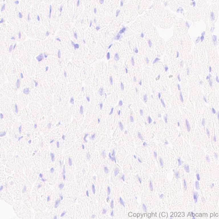
This data was developed using ab312844, the same antibody clone in a different buffer formulation. Immunohistochemical analysis of paraffin-embedded Mouse cardiac muscle tissue labeling Kir4.1/KCNJ10 with ab312844 at 1/5000 (0.101 ug/ml) followed by a ready to use LeicaDS9800 (Bond™ Polymer Refine Detection). Negative control : No staining on mouse cardiac muscle. The section was incubated with ab312844 for 30 mins at room temperature. The immunostaining was performed on a Leica Biosystems BOND® RX instrument. Counterstained with Hematoxylin. Secondary antibody only control : Secondary antibody is a ready to use LeicaDS9800 (Bond™ Polymer Refine Detection). Heat mediated antigen retrieval was performed with Tris-EDTA buffer (pH 9.0, Epitope Retrieval Solution2) for 20 mins.

Immunohistochemistry (Formalin/PFA-fixed paraffin-embedded sections) - Anti-Kir4.1/KCNJ10 antibody [EPR27251-74] - BSA and Azide free (AB312845)
  • IHC-P

Supplier Data

Immunohistochemistry (Formalin/PFA-fixed paraffin-embedded sections) - Anti-Kir4.1/KCNJ10 antibody [EPR27251-74] - BSA and Azide free (AB312845)

This data was developed using ab312844, the same antibody clone in a different buffer formulation. Immunohistochemical analysis of paraffin-embedded Rat cardiac muscle tissue labeling Kir4.1/KCNJ10 with ab312844 at 1/5000 (0.101 ug/ml) followed by a ready to use LeicaDS9800 (Bond™ Polymer Refine Detection). Negative control : No staining on rat cardiac muscle. The section was incubated with ab312844 for 30 mins at room temperature. The immunostaining was performed on a Leica Biosystems BOND® RX instrument. Counterstained with Hematoxylin. Secondary antibody only control : Secondary antibody is a ready to use LeicaDS9800 (Bond™ Polymer Refine Detection). Heat mediated antigen retrieval was performed with Tris-EDTA buffer (pH 9.0, Epitope Retrieval Solution2) for 20 mins.

Dot Blot - Anti-Kir4.1/KCNJ10 antibody [EPR27251-74] - BSA and Azide free (AB312845)
  • Dot

Supplier Data

Dot Blot - Anti-Kir4.1/KCNJ10 antibody [EPR27251-74] - BSA and Azide free (AB312845)

This data was developed using ab312844, the same antibody clone in a different buffer formulation. Dot blot analysis of Kir4.1/KCNJ10 using ab312844 at 1 : 1000 (0.507 ug/ml) followed by a Goat Anti-Rabbit IgG, (H+L), Peroxidase conjugated (ab97051) at 1 : 100,000 dilution. Lane 1 : Kir4.1/KCNJ10 peptide Lane 2 : Kir4.1/KCNJ15 peptide Lane 3 : Kir4.1/KCNJ5 peptide Exposure time : 180 seconds Blocking and diluting buffer and concentration : 5% NFDM/TBST

Key facts

Host species

Rabbit

Clonality

Monoclonal

Clone number

EPR27251-74

Isotype

IgG

Carrier free

Yes

Reacts with

Rat, Mouse

Applications

ICC/IF, Dot, IHC-P, WB, Flow Cyt (Intra)

applications

Immunogen

The exact immunogen used to generate this antibody is proprietary information.

Reactivity data

{ "title": "Reactivity Data", "filters": { "stats": ["", "Species", "Dilution Info", "Notes"], "tabs": { "all-applications": {"fullname" : "All Applications", "shortname": "All Applications"}, "IHCP" : {"fullname" : "Immunohistochemistry (Formalin/PFA-fixed paraffin-embedded sections)", "shortname":"IHC-P"}, "FlowCytIntra" : {"fullname" : "Flow Cytometry (Intracellular)", "shortname":"Flow Cyt (Intra)"}, "ICCIF" : {"fullname" : "Immunocytochemistry/ Immunofluorescence", "shortname":"ICC/IF"}, "WB" : {"fullname" : "Western blot", "shortname":"WB"}, "Dot" : {"fullname" : "Dot Blot", "shortname":"Dot"}, "IP" : {"fullname" : "Immunoprecipitation", "shortname":"IP"}, "IHCFr" : {"fullname" : "Immunohistochemistry (Frozen sections)", "shortname":"IHC-Fr"} }, "product-promise": { "all": "all", "testedAndGuaranteed": "tested", "guaranteed": "expected", "predicted": "predicted", "notRecommended": "not-recommended" } }, "values": { "Human": { "IHCP-species-checked": "notRecommended", "IHCP-species-dilution-info": "", "IHCP-species-notes": "<p></p>", "FlowCytIntra-species-checked": "notRecommended", "FlowCytIntra-species-dilution-info": "", "FlowCytIntra-species-notes": "", "ICCIF-species-checked": "notRecommended", "ICCIF-species-dilution-info": "", "ICCIF-species-notes": "", "WB-species-checked": "notRecommended", "WB-species-dilution-info": "", "WB-species-notes": "<p></p>", "Dot-species-checked": "notRecommended", "Dot-species-dilution-info": "", "Dot-species-notes": "", "IP-species-checked": "notRecommended", "IP-species-dilution-info": "", "IP-species-notes": "", "IHCFr-species-checked": "notRecommended", "IHCFr-species-dilution-info": "", "IHCFr-species-notes": "" }, "Mouse": { "IHCP-species-checked": "testedAndGuaranteed", "IHCP-species-dilution-info": "", "IHCP-species-notes": "<p></p>", "FlowCytIntra-species-checked": "testedAndGuaranteed", "FlowCytIntra-species-dilution-info": "", "FlowCytIntra-species-notes": "<p></p>", "ICCIF-species-checked": "testedAndGuaranteed", "ICCIF-species-dilution-info": "", "ICCIF-species-notes": "<p></p>", "WB-species-checked": "testedAndGuaranteed", "WB-species-dilution-info": "", "WB-species-notes": "<p></p>", "Dot-species-checked": "guaranteed", "Dot-species-dilution-info": "", "Dot-species-notes": "", "IP-species-checked": "notRecommended", "IP-species-dilution-info": "", "IP-species-notes": "<p></p>", "IHCFr-species-checked": "notRecommended", "IHCFr-species-dilution-info": "", "IHCFr-species-notes": "<p></p>" }, "Rat": { "IHCP-species-checked": "testedAndGuaranteed", "IHCP-species-dilution-info": "", "IHCP-species-notes": "<p></p>", "FlowCytIntra-species-checked": "testedAndGuaranteed", "FlowCytIntra-species-dilution-info": "", "FlowCytIntra-species-notes": "<p></p>", "ICCIF-species-checked": "notRecommended", "ICCIF-species-dilution-info": "", "ICCIF-species-notes": "<p></p>", "WB-species-checked": "testedAndGuaranteed", "WB-species-dilution-info": "", "WB-species-notes": "<p></p>", "Dot-species-checked": "guaranteed", "Dot-species-dilution-info": "", "Dot-species-notes": "", "IP-species-checked": "notRecommended", "IP-species-dilution-info": "", "IP-species-notes": "", "IHCFr-species-checked": "notRecommended", "IHCFr-species-dilution-info": "", "IHCFr-species-notes": "<p></p>" }, "Synthetic peptide": { "IHCP-species-checked": "notRecommended", "IHCP-species-dilution-info": "", "IHCP-species-notes": "", "FlowCytIntra-species-checked": "notRecommended", "FlowCytIntra-species-dilution-info": "", "FlowCytIntra-species-notes": "", "ICCIF-species-checked": "notRecommended", "ICCIF-species-dilution-info": "", "ICCIF-species-notes": "", "WB-species-checked": "notRecommended", "WB-species-dilution-info": "", "WB-species-notes": "", "Dot-species-checked": "testedAndGuaranteed", "Dot-species-dilution-info": "", "Dot-species-notes": "<p></p>", "IP-species-checked": "notRecommended", "IP-species-dilution-info": "", "IP-species-notes": "", "IHCFr-species-checked": "notRecommended", "IHCFr-species-dilution-info": "", "IHCFr-species-notes": "" } } }

Product details

Properties and storage information

Form
Liquid
Purification technique
Affinity purification Protein A
Storage buffer
pH: 7.2 - 7.4 Constituents: 100% PBS
Shipped at conditions
Blue Ice
Appropriate short-term storage conditions
+4°C
Appropriate long-term storage conditions
+4°C

Supplementary information

This supplementary information is collated from multiple sources and compiled automatically.

Kir4.1 also known as KCNJ10 is an inwardly rectifying potassium channel. It is a protein with a mass of approximately 45 kDa. Kir4.1 facilitates the movement of potassium ions across the cell membrane helping maintain the membrane potential in certain cells. This channel prominently expresses in the brain kidney and inner ear. In glial cells of the central nervous system it plays an important role in maintaining potassium homeostasis. This is important for the correct functioning of neurons and other glial cells.
Biological function summary

The potassium channel Kir4.1 functions to balance potassium levels in the extracellular space which is important for nerve impulse propagation and muscle contraction. Kir4.1 frequently forms a complex with another potassium channel Kir5.1 (KCNJ16). Together these complexes contribute to fine-tuning the electrochemical gradient impacting various cell types. Its distribution and activity affect neuronal signaling renal function and endolymph generation in the ear.

Pathways

Kir4.1 plays essential roles in neural signaling pathways and renal reabsorption processes. This target interacts with proteins like AQP4 in the brain influencing water transport and ion homeostasis. Its functionality is part of the regulatory mechanisms within the distal convoluted tubule of the kidney impacting water and salt balance. These interactions facilitate proper electrical signaling and osmoregulation in the body.

Kir4.1 has associations with disorders such as epilepsy and EAST syndrome. Defects or dysregulation in the Kir4.1 channel can disrupt potassium ion balance which may lead to abnormal neuronal excitability manifesting as epilepsy. Additionally mutations in this channel can contribute to EAST syndrome a condition involving epilepsy ataxia sensorineural deafness and renal tubulopathy. Related proteins like AQP4 can also be implicated highlighting the complexity of physiological processes involving Kir4.1.

Product protocols

For this product, it's our understanding that no specific protocols are required. You can visit:

Target data

May be responsible for potassium buffering action of glial cells in the brain (By similarity). Inward rectifier potassium channels are characterized by a greater tendency to allow potassium to flow into the cell rather than out of it. Their voltage dependence is regulated by the concentration of extracellular potassium; as external potassium is raised, the voltage range of the channel opening shifts to more positive voltages. The inward rectification is mainly due to the blockage of outward current by internal magnesium. Can be blocked by extracellular barium and cesium (By similarity). In the kidney, together with KCNJ16, mediates basolateral K(+) recycling in distal tubules; this process is critical for Na(+) reabsorption at the tubules (By similarity).
See full target information Kir4.1/KCNJ10

Product promise

We are committed to supporting your work with high-quality reagents, and we're here for you every step of the way. In the unlikely event that one of our products does not perform as expected, you're protected by our Product Promise.
For full details, please see our Terms & Conditions

Associated Products

Select an associated product type
Alternative Version
Primary Antibodies

AB312844

Anti-Kir4.1/KCNJ10 antibody [EPR27251-74]

primary-antibodies

kir41-kcnj10-antibody-epr27251-74-ab312844

0

(0 reviews)

Please note: All products are 'FOR RESEARCH USE ONLY. NOT FOR USE IN DIAGNOSTIC OR THERAPEUTIC PROCEDURES'.

For licensing inquiries, please contact partnerships@abcam.com