JavaScript is disabled in your browser. Please enable JavaScript to view this website.
AB79171

Anti-Kir6.2/BIR antibody

3

(1 Review)

|

(10 Publications)

Rabbit Polyclonal Kir6.2/BIR antibody. Suitable for WB, IHC-P, ICC/IF and reacts with Human, Mouse samples. Cited in 10 publications.

View Alternative Names

ATP-sensitive inward rectifier potassium channel 11, IKATP, Inward rectifier K(+) channel Kir6.2, KCNJ11

4 Images
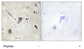
Immunohistochemistry (Formalin/PFA-fixed paraffin-embedded sections) - Anti-Kir6.2/BIR antibody (AB79171)
  • IHC-P

Unknown

Immunohistochemistry (Formalin/PFA-fixed paraffin-embedded sections) - Anti-Kir6.2/BIR antibody (AB79171)

Immunohistochemical analysis of Kir6.2/BIR in paraffin embedded human brain tissue using a 1/50 dilution of ab79171, with (right) or without (left) pre treatment with the immunizing peptide.

Immunocytochemistry/ Immunofluorescence - Anti-Kir6.2/BIR antibody (AB79171)
  • ICC/IF

Unknown

Immunocytochemistry/ Immunofluorescence - Anti-Kir6.2/BIR antibody (AB79171)

Immunofluorescence analysis of Kir6.2/BIR in HeLa cells, using a 1/500 dilution of ab79171, with (right) or without (left) pre treatment with the immunizing peptide.

Western blot - Anti-Kir6.2/BIR antibody (AB79171)
  • WB

Unknown

Western blot - Anti-Kir6.2/BIR antibody (AB79171)

All lanes:

Western blot - Anti-Kir6.2/BIR antibody (ab79171) at 1/500 dilution

Lane 1:

extracts from HeLa cells treated with heat shock at 20 µg

Lane 2:

extracts from NIH3T3 cells treated with heat shock at 20 µg

Lane 3:

extracts from NIH3T3 cells treated with heat shock at 20 µg with immunizing peptide

Predicted band size: 44 kDa

Observed band size: 44 kDa

false

Western blot - Anti-Kir6.2/BIR antibody (AB79171)
  • WB

CiteAb

Western blot - Anti-Kir6.2/BIR antibody (AB79171)

Kir6.2/BIR western blot using anti-Kir6.2/BIR antibody ab79171. Publication image and figure legend from Gong, X. G., Sun, H. M., et al., 2015, Evid Based Complement Alternat Med, PubMed 25610480.

ab79171 was used in this publication in western blot. This may not be the same as the application(s) guaranteed by Abcam. For a full list of applications guaranteed by Abcam for ab79171 please see the product overview.

Effects of decoctions on protein levels of SUR1 (a) and Kir6.2 (b) measured by Western blot. Density values for each band were first normalized to loading control (β-actin) and then to the control group. Data are expressed as mean ± SEM (N = 5, *p < 0.05 versus control group, △p < 0.05 versus model group). DBYW : Da-Bu-Yin-Wan; QZS : Qian-Zheng-San; CD : combined decoction.

false

Key facts

Host species

Rabbit

Clonality

Polyclonal

Isotype

IgG

Carrier free

No

Reacts with

Mouse, Human

Applications

ICC/IF, WB, IHC-P

applications

Immunogen

The exact immunogen used to generate this antibody is proprietary information.

Reactivity data

{ "title": "Reactivity Data", "filters": { "stats": ["", "Species", "Dilution Info", "Notes"], "tabs": { "all-applications": {"fullname" : "All Applications", "shortname": "All Applications"}, "WB" : {"fullname" : "Western blot", "shortname":"WB"}, "IHCP" : {"fullname" : "Immunohistochemistry (Formalin/PFA-fixed paraffin-embedded sections)", "shortname":"IHC-P"}, "ICCIF" : {"fullname" : "Immunocytochemistry/ Immunofluorescence", "shortname":"ICC/IF"} }, "product-promise": { "all": "all", "testedAndGuaranteed": "tested", "guaranteed": "expected", "predicted": "predicted", "notRecommended": "not-recommended" } }, "values": { "Human": { "WB-species-checked": "testedAndGuaranteed", "WB-species-dilution-info": "1/500 - 1/1000", "WB-species-notes": "<p></p>", "IHCP-species-checked": "testedAndGuaranteed", "IHCP-species-dilution-info": "1/50 - 1/100", "IHCP-species-notes": "<p></p>", "ICCIF-species-checked": "testedAndGuaranteed", "ICCIF-species-dilution-info": "1/500 - 1/1000", "ICCIF-species-notes": "<p></p>" }, "Mouse": { "WB-species-checked": "testedAndGuaranteed", "WB-species-dilution-info": "1/500 - 1/1000", "WB-species-notes": "<p></p>", "IHCP-species-checked": "guaranteed", "IHCP-species-dilution-info": "", "IHCP-species-notes": "", "ICCIF-species-checked": "guaranteed", "ICCIF-species-dilution-info": "", "ICCIF-species-notes": "" } } }

Properties and storage information

Form
Liquid
Purification technique
Affinity purification Immunogen
Purification notes
The antibody was affinity purified from rabbit antiserum by affinity chromatography using epitope specific immunogen.
Storage buffer
pH: 7.4 Preservative: 0.02% Sodium azide Constituents: PBS, 50% Glycerol (glycerin, glycerine), 0.87% Sodium chloride
Shipped at conditions
Blue Ice
Appropriate short-term storage conditions
+4°C
Appropriate long-term storage conditions
-20°C
Aliquoting information
Upon delivery aliquot
Storage information
Avoid freeze / thaw cycle

Supplementary information

This supplementary information is collated from multiple sources and compiled automatically.

Kir6.2 also known by alternate names KCNJ11 and 2BIR is part of the ATP-sensitive potassium channel (K-ATP channel) complex specifically the pore-forming subunit. This protein has a molecular mass of approximately 43 kDa. Expression of Kir6.2 occurs in various tissues most notably in pancreatic beta cells cardiac muscle and neuronal tissues. These channels play an important role in cell membrane potential regulation and excitability modulating insulin release and muscle contraction by responding to intracellular levels of ATP and ADP.
Biological function summary

Kir6.2 functions by coupling cellular metabolic states to electrical activity via its role in the K-ATP channel complex. This complex integrates Kir6.2 with the sulfonylurea receptor SUR1 or SUR2 forming an important connection between cellular metabolism and membrane excitability. Kir6.2 helps manage glucose-induced insulin secretion in pancreatic beta cells contributing to the temporal burst of insulin after meals. Its function in neurons and muscle fibers includes balancing cellular energy levels and physiological processes such as neurotransmitter release and muscle contraction.

Pathways

Kir6.2 plays a significant role in insulin secretion and cardiac muscle contraction pathways. It interacts closely with various proteins including SUR1 in the insulin release pathway and SUR2 in cardiovascular regulation. The activity of Kir6.2 links it with processes such as glucose-stimulated insulin secretion where its modulation significantly impacts the entry of calcium ions through voltage-dependent calcium channels further altering the exocytosis of insulin granules. The reactivity to intracellular ATP levels means Kir6.2 acts as a metabolic sensor influencing these pathways accordingly.

Kir6.2 is linked to conditions such as neonatal diabetes mellitus and congenital hyperinsulinism. Mutations in the gene encoding Kir6.2 can disrupt normal K-ATP channel functioning leading to these diseases. In neonatal diabetes Kir6.2 alterations impair insulin secretion due to disrupted ATP binding or channel closure while in congenital hyperinsulinism dysfunction of Kir6.2 in hyperactive channels results in excessive insulin production. This exposes strong connections with proteins like insulin within these conditions highlighting its important influence on glucose metabolism and energy homeostasis.

Product protocols

For this product, it's our understanding that no specific protocols are required. You can visit:

Target data

This receptor is controlled by G proteins. Inward rectifier potassium channels are characterized by a greater tendency to allow potassium to flow into the cell rather than out of it. Their voltage dependence is regulated by the concentration of extracellular potassium; as external potassium is raised, the voltage range of the channel opening shifts to more positive voltages. The inward rectification is mainly due to the blockage of outward current by internal magnesium. Can be blocked by extracellular barium (By similarity). Subunit of ATP-sensitive potassium channels (KATP). Can form cardiac and smooth muscle-type KATP channels with ABCC9. KCNJ11 forms the channel pore while ABCC9 is required for activation and regulation.
See full target information KCNJ11

Publications (10)

Recent publications for all applications. Explore the full list and refine your search

Advanced biology 8:e2400117 PubMed38548667

2024

Tas1R3 Dependent and Independent Recognition of Sugars in the Urethra and the Role of Tuft Cells in this Process.

Applications

Unspecified application

Species

Unspecified reactive species

Patricia Schmidt,Alexander Perniss,Martin Bodenbenner-Tuerich,Silke Wiegand,Loic Briand,Klaus Deckmann

Immunity, inflammation and disease 12:e1194 PubMed38501544

2024

Sodium butyrate activates the K channels to regulate the mechanism of Parkinson's disease microglia model inflammation.

Applications

Unspecified application

Species

Unspecified reactive species

Ye Xu,Laofu Wen,Yunyi Tang,Zhenqiang Zhao,Miaojing Xu,Tan Wang,Zhibin Chen

Frontiers in pharmacology 14:1115543 PubMed37180726

2023

Immunohistochemical, pharmacovigilance, and omics analyses reveal the involvement of ATP-sensitive K channel subunits in cancers: role in drug-disease interactions.

Applications

Unspecified application

Species

Unspecified reactive species

Fatima Maqoud,Nicola Zizzo,Marcella Attimonelli,Antonella Tinelli,Giuseppe Passantino,Marina Antonacci,Girolamo Ranieri,Domenico Tricarico

Endocrine connections 12: PubMed36398885

2022

The reversible effects of free fatty acids on sulfonylurea-stimulated insulin secretion are related to the expression and dynamin-mediated endocytosis of KATP channels in pancreatic β cells.

Applications

Unspecified application

Species

Unspecified reactive species

Chenmin Wei,Zichen Zhang,Qi Fu,Yunqiang He,Tao Yang,Min Sun

The EMBO journal 41:e106825 PubMed35023164

2022

Hypophosphorylated pRb knock-in mice exhibit hallmarks of aging and vitamin C-preventable diabetes.

Applications

Unspecified application

Species

Unspecified reactive species

Zhe Jiang,Huiqin Li,Stephanie A Schroer,Veronique Voisin,YoungJun Ju,Marek Pacal,Natalie Erdmann,Wei Shi,Philip E D Chung,Tao Deng,Nien-Jung Chen,Giovanni Ciavarra,Alessandro Datti,Tak W Mak,Lea Harrington,Frederick A Dick,Gary D Bader,Rod Bremner,Minna Woo,Eldad Zacksenhaus

Science advances 7: PubMed33741588

2021

Pain induces stable, active microcircuits in the somatosensory cortex that provide a therapeutic target.

Applications

Unspecified application

Species

Unspecified reactive species

Takuya Okada,Daisuke Kato,Yuki Nomura,Norihiko Obata,Xiangyu Quan,Akihito Morinaga,Hajime Yano,Zhongtian Guo,Yuki Aoyama,Yoshihisa Tachibana,Andrew J Moorhouse,Osamu Matoba,Tetsuya Takiguchi,Satoshi Mizobuchi,Hiroaki Wake

Cardiovascular drugs and therapy 35:87-101 PubMed33057968

2020

Glucagon-Like Peptide-1 Analog Liraglutide Attenuates Pressure-Overload Induced Cardiac Hypertrophy and Apoptosis through Activating ATP Sensitive Potassium Channels.

Applications

Unspecified application

Species

Unspecified reactive species

Xiao-Jie Bai,Jun-Tao Hao,Rong-Hua Zheng,Cai-Ping Yan,Jin Wang,Cai-Hong Yang,Wei-Fang Zhang,Zhi-Qing Zhao

EBioMedicine 54:102723 PubMed32259713

2020

Identification, clinical manifestation and structural mechanisms of mutations in AMPK associated cardiac glycogen storage disease.

Applications

Unspecified application

Species

Unspecified reactive species

Dan Hu,Dong Hu,Liwen Liu,Daniel Barr,Yang Liu,Norma Balderrabano-Saucedo,Bo Wang,Feng Zhu,Yumei Xue,Shulin Wu,BaoLiang Song,Heather McManus,Katherine Murphy,Katherine Loes,Arnon Adler,Lorenzo Monserrat,Charles Antzelevitch,Michael H Gollob,Perry M Elliott,Hector Barajas-Martinez

Evidence-based complementary and alternative medic 2014:729195 PubMed25610480

2014

Da-bu-yin-wan and qian-zheng-san to neuroprotect the mouse model of Parkinson's disease.

Applications

WB

Species

Unspecified reactive species

Xiao-Gang Gong,Hong-Mei Sun,Yi Zhang,Shu-Jing Zhang,Yu-Shan Gao,Jing Feng,Jing-Hong Hu,Cong Gai,Zhen-Yu Guo,Hong Xu,Ling Ma

Journal of the American College of Cardiology 59:390-6 PubMed22133355

2011

Increased expression of adenosine triphosphate-sensitive K+ channels in mitral dysfunction: mechanically stimulated transcription and hypoxia-induced protein stability?

Applications

Unspecified application

Species

Unspecified reactive species

Véronique Raeis-Dauvé,Pierre Philip-Couderc,Giuseppe Faggian,Maddalena Tessari,Angela Roatti,Aldo D Milano,Marie-Luce Bochaton-Piallat,Alex J Baertschi
View all publications

Product promise

We are committed to supporting your work with high-quality reagents, and we're here for you every step of the way. In the unlikely event that one of our products does not perform as expected, you're protected by our Product Promise.
For full details, please see our Terms & Conditions

Please note: All products are 'FOR RESEARCH USE ONLY. NOT FOR USE IN DIAGNOSTIC OR THERAPEUTIC PROCEDURES'.

For licensing inquiries, please contact partnerships@abcam.com