JavaScript is disabled in your browser. Please enable JavaScript to view this website.
AB307372

Anti-Kir6.2/BIR antibody [N363/71] - BSA and Azide free

Be the first to review this product! Submit a review

|

(0 Publication)

Mouse Recombinant Monoclonal Kir6.2/BIR antibody. Carrier free. Suitable for IHC-P and reacts with Rat, Mouse samples.

View Alternative Names

ATP-sensitive inward rectifier potassium channel 11, BIR, Inward rectifier K(+) channel Kir6.2, Kcnj11

5 Images
Immunohistochemistry - Anti-Kir6.2/BIR antibody [N363/71] - BSA and Azide free (AB307372)
  • IHC

Supplier Data

Immunohistochemistry - Anti-Kir6.2/BIR antibody [N363/71] - BSA and Azide free (AB307372)

This data was developed using ab307371, the same antibody clone in a different buffer formulation. Immunohistochemical analysis of paraffin-embedded cell pellets labeling Kir6.2/BIR with ab307371 at 1/200 dilution (4.63 µg/ml) followed by a ready to use Goat Anti-Rabbit IgG H&L (HRP polymer). Positive staining on (A) HEK-293T transfected with a mouse KCNJ11 expression vector containing a his tag; positive staining on (B) HEK-293T transfected with rat KCNJ11 expression vector containing a his tag. No staining on (C) HEK-293T cells transfected with empty vector containing a his tag. The section was incubated with ab307371 at 4°C overnight. Then incubation with the post primary antibody ab125913 at 1/1000 for 8 mins at room temperature, then incubation with the the Goat anti-Rabbit IgG H&L (HRP polymer) secondary antibody at room temperature. Counterstained with Hematoxylin. Secondary antibody only control : Secondary antibody is a ready to use Goat Anti-Rabbit IgG H&L (HRP polymer). Heat mediated antigen retrieval was performed using ab93684 (Tris/EDTA buffer, pH 9.0).

Immunohistochemistry - Anti-Kir6.2/BIR antibody [N363/71] - BSA and Azide free (AB307372)
  • IHC

Supplier Data

Immunohistochemistry - Anti-Kir6.2/BIR antibody [N363/71] - BSA and Azide free (AB307372)

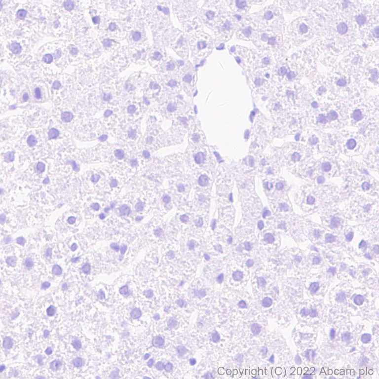
This data was developed using ab307371, the same antibody clone in a different buffer formulation. Immunohistochemical analysis of paraffin-embedded rat liver tissue labeling Kir6.2/BIR with ab307371 at 1/200 dilution (4.63 µg/ml) followed by a ready to use Goat Anti-Rabbit IgG H&L (HRP polymer). Negative control : no staining on the rat liver.  The section was incubated with ab307371 at 4°C overnight. Then incubation with the post primary antibody ab125913 at 1/1000 for 8 mins at room temperature, then incubated with the the Goat anti-Rabbit IgG H&L (HRP polymer) secondary antibody at room temperature. Counterstained with Hematoxylin. Secondary antibody only control : Secondary antibody is a ready to use Goat Anti-Rabbit IgG H&L (HRP polymer). Heat mediated antigen retrieval was performed using ab93684 (Tris/EDTA buffer, pH 9.0).

Immunohistochemistry - Anti-Kir6.2/BIR antibody [N363/71] - BSA and Azide free (AB307372)
  • IHC

Supplier Data

Immunohistochemistry - Anti-Kir6.2/BIR antibody [N363/71] - BSA and Azide free (AB307372)

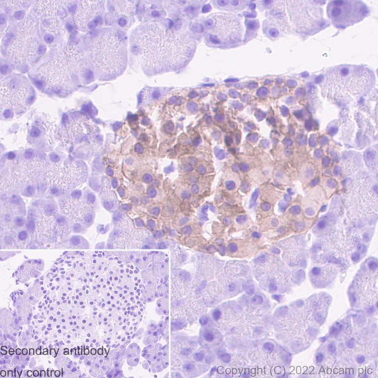
This data was developed using ab307371, the same antibody clone in a different buffer formulation. Immunohistochemical analysis of paraffin-embedded rat pancreas tissue labeling Kir6.2/BIR with ab307371 at 1/200 dilution (4.63 µg/ml) followed by a ready to use Goat Anti-Rabbit IgG H&L (HRP polymer). Positive staining on the islet in rat pancreas. The section was incubated with ab307371 at 4°C overnight. Then incubation with the post primary antibody ab125913 at 1/1000 for 8 mins at room temperature, then incubated with the the Goat anti-Rabbit IgG H&L (HRP polymer) secondary antibody at room temperature. Counterstained with Hematoxylin. Secondary antibody only control : Secondary antibody is a ready to use Goat Anti-Rabbit IgG H&L (HRP polymer). Heat mediated antigen retrieval was performed using ab93684 (Tris/EDTA buffer, pH 9.0).

Immunohistochemistry - Anti-Kir6.2/BIR antibody [N363/71] - BSA and Azide free (AB307372)
  • IHC

Supplier Data

Immunohistochemistry - Anti-Kir6.2/BIR antibody [N363/71] - BSA and Azide free (AB307372)

This data was developed using ab307371, the same antibody clone in a different buffer formulation. Immunohistochemical analysis of paraffin-embedded rat cardiac muscle tissue labeling Kir6.2/BIR with ab307371 at 1/200 dilution (4.63 µg/ml) followed by a ready to use Goat Anti-Rabbit IgG H&L (HRP polymer). Positive staining on the intercalated disc in rat cardiac muscle. The section was incubated with ab307371 at 4°C overnight. Then incubation with the post primary antibody ab125913 at 1/1000 for 8 mins at room temperature, then incubated with the the Goat anti-Rabbit IgG H&L (HRP polymer) secondary antibody at room temperature. Counterstained with Hematoxylin. Secondary antibody only control : Secondary antibody is a ready to use Goat Anti-Rabbit IgG H&L (HRP polymer). Heat mediated antigen retrieval was performed using ab93684 (Tris/EDTA buffer, pH 9.0).

Immunohistochemistry - Anti-Kir6.2/BIR antibody [N363/71] - BSA and Azide free (AB307372)
  • IHC

Supplier Data

Immunohistochemistry - Anti-Kir6.2/BIR antibody [N363/71] - BSA and Azide free (AB307372)

This data was developed using ab307371, the same antibody clone in a different buffer formulation. Immunohistochemical analysis of paraffin-embedded mouse cardiac muscle tissue labeling Kir6.2/BIR with ab307371 at 1/200 dilution (4.63 µg/ml) followed by a ready to use Goat Anti-Rabbit IgG H&L (HRP polymer). Positive staining on the intercalated disc in mouse cardiac muscle. The section was incubated with ab307371 at 4°C overnight. Then incubation with the post primary antibody ab125913 at 1/1000 for 8 mins at room temperature, then incubated with the the Goat anti-Rabbit IgG H&L (HRP polymer) secondary antibody at room temperature. Counterstained with Hematoxylin. Secondary antibody only control : Secondary antibody is a ready to use Goat Anti-Rabbit IgG H&L (HRP polymer). Heat mediated antigen retrieval was performed using ab93684 (Tris/EDTA buffer, pH 9.0).

Key facts

Host species

Mouse

Clonality

Monoclonal

Clone number

N363/71

Isotype

IgG1

Carrier free

Yes

Reacts with

Rat, Mouse

Applications

IHC-P

applications

Immunogen

The exact immunogen used to generate this antibody is proprietary information.

Reactivity data

{ "title": "Reactivity Data", "filters": { "stats": ["", "Species", "Dilution Info", "Notes"], "tabs": { "all-applications": {"fullname" : "All Applications", "shortname": "All Applications"}, "IHCP" : {"fullname" : "Immunohistochemistry (Formalin/PFA-fixed paraffin-embedded sections)", "shortname":"IHC-P"}, "ICCIF" : {"fullname" : "Immunocytochemistry/ Immunofluorescence", "shortname":"ICC/IF"}, "WB" : {"fullname" : "Western blot", "shortname":"WB"} }, "product-promise": { "all": "all", "testedAndGuaranteed": "tested", "guaranteed": "expected", "predicted": "predicted", "notRecommended": "not-recommended" } }, "values": { "Human": { "IHCP-species-checked": "notRecommended", "IHCP-species-dilution-info": "", "IHCP-species-notes": "<p></p>", "ICCIF-species-checked": "notRecommended", "ICCIF-species-dilution-info": "", "ICCIF-species-notes": "", "WB-species-checked": "notRecommended", "WB-species-dilution-info": "", "WB-species-notes": "<p></p>" }, "Mouse": { "IHCP-species-checked": "testedAndGuaranteed", "IHCP-species-dilution-info": "", "IHCP-species-notes": "<p></p>", "ICCIF-species-checked": "notRecommended", "ICCIF-species-dilution-info": "", "ICCIF-species-notes": "<p></p>", "WB-species-checked": "notRecommended", "WB-species-dilution-info": "", "WB-species-notes": "<p></p>" }, "Rat": { "IHCP-species-checked": "testedAndGuaranteed", "IHCP-species-dilution-info": "", "IHCP-species-notes": "<p></p>", "ICCIF-species-checked": "notRecommended", "ICCIF-species-dilution-info": "", "ICCIF-species-notes": "<p></p>", "WB-species-checked": "notRecommended", "WB-species-dilution-info": "", "WB-species-notes": "<p></p>" } } }

Product details

Want a custom formulation?
This antibody clone is manufactured by Abcam. If you require a custom buffer formulation or conjugation for your experiments, please contact orders@abcam.com

What are the advantages of a recombinant monoclonal antibody?
This product is a recombinant monoclonal antibody, which offers several advantages including:

  • - High batch-to-batch consistency and reproducibility
  • - Improved sensitivity and specificity
  • - Long-term security of supply
  • - Animal-free batch production

For more information, read more on recombinant antibodies.

Conjugation ready
Our carrier-free antibodies are typically supplied in a PBS-only formulation, purified and free of BSA, sodium azide and glycerol. This conjugation-ready format is designed for use with fluorochromes, metal isotopes, oligonucleotides, and enzymes, which makes them ideal for antibody labelling, functional and cell-based assays, flow-based assays (e.g. mass cytometry) and Multiplex Imaging applications.

Use our conjugation kits for antibody conjugates that are ready-to-use in as little as 20 minutes with 1 minute hands-on-time and 100% antibody recovery: available for fluorescent dyes, HRP, biotin and gold.

Compatibility
This product is compatible with the Maxpar® Antibody Labeling Kit from Fluidigm, without the need for antibody preparation. Maxpar® is a trademark of Fluidigm Canada Inc.

Properties and storage information

Form
Liquid
Purification technique
Affinity purification Protein A
Storage buffer
pH: 7.2 - 7.4 Constituents: PBS
Shipped at conditions
Blue Ice
Appropriate short-term storage conditions
+4°C
Appropriate long-term storage conditions
+4°C

Supplementary information

This supplementary information is collated from multiple sources and compiled automatically.

Kir6.2 also known by alternate names KCNJ11 and 2BIR is part of the ATP-sensitive potassium channel (K-ATP channel) complex specifically the pore-forming subunit. This protein has a molecular mass of approximately 43 kDa. Expression of Kir6.2 occurs in various tissues most notably in pancreatic beta cells cardiac muscle and neuronal tissues. These channels play an important role in cell membrane potential regulation and excitability modulating insulin release and muscle contraction by responding to intracellular levels of ATP and ADP.
Biological function summary

Kir6.2 functions by coupling cellular metabolic states to electrical activity via its role in the K-ATP channel complex. This complex integrates Kir6.2 with the sulfonylurea receptor SUR1 or SUR2 forming an important connection between cellular metabolism and membrane excitability. Kir6.2 helps manage glucose-induced insulin secretion in pancreatic beta cells contributing to the temporal burst of insulin after meals. Its function in neurons and muscle fibers includes balancing cellular energy levels and physiological processes such as neurotransmitter release and muscle contraction.

Pathways

Kir6.2 plays a significant role in insulin secretion and cardiac muscle contraction pathways. It interacts closely with various proteins including SUR1 in the insulin release pathway and SUR2 in cardiovascular regulation. The activity of Kir6.2 links it with processes such as glucose-stimulated insulin secretion where its modulation significantly impacts the entry of calcium ions through voltage-dependent calcium channels further altering the exocytosis of insulin granules. The reactivity to intracellular ATP levels means Kir6.2 acts as a metabolic sensor influencing these pathways accordingly.

Kir6.2 is linked to conditions such as neonatal diabetes mellitus and congenital hyperinsulinism. Mutations in the gene encoding Kir6.2 can disrupt normal K-ATP channel functioning leading to these diseases. In neonatal diabetes Kir6.2 alterations impair insulin secretion due to disrupted ATP binding or channel closure while in congenital hyperinsulinism dysfunction of Kir6.2 in hyperactive channels results in excessive insulin production. This exposes strong connections with proteins like insulin within these conditions highlighting its important influence on glucose metabolism and energy homeostasis.

Product protocols

For this product, it's our understanding that no specific protocols are required. You can visit:

Target data

This receptor is controlled by G proteins. Inward rectifier potassium channels are characterized by a greater tendency to allow potassium to flow into the cell rather than out of it. Their voltage dependence is regulated by the concentration of extracellular potassium; as external potassium is raised, the voltage range of the channel opening shifts to more positive voltages. The inward rectification is mainly due to the blockage of outward current by internal magnesium. Can be blocked by extracellular barium. Can form cardiac and smooth muscle-type KATP channels with ABCC9. KCNJ11 forms the channel pore while ABCC9 is required for activation and regulation (By similarity).
See full target information Kcnj11

Product promise

We are committed to supporting your work with high-quality reagents, and we're here for you every step of the way. In the unlikely event that one of our products does not perform as expected, you're protected by our Product Promise.
For full details, please see our Terms & Conditions

Please note: All products are 'FOR RESEARCH USE ONLY. NOT FOR USE IN DIAGNOSTIC OR THERAPEUTIC PROCEDURES'.

For licensing inquiries, please contact partnerships@abcam.com