JavaScript is disabled in your browser. Please enable JavaScript to view this website.
AB275874

Anti-Kisspeptin antibody [EPR23770-189]

Be the first to review this product! Submit a review

|

(0 Publication)

Rabbit Recombinant Monoclonal Kisspeptin antibody. Suitable for IP, WB, IHC-P and reacts with Human samples.

View Alternative Names

PP5098, KISS1, Metastasis-suppressor KiSS-1, Kisspeptin-1

4 Images
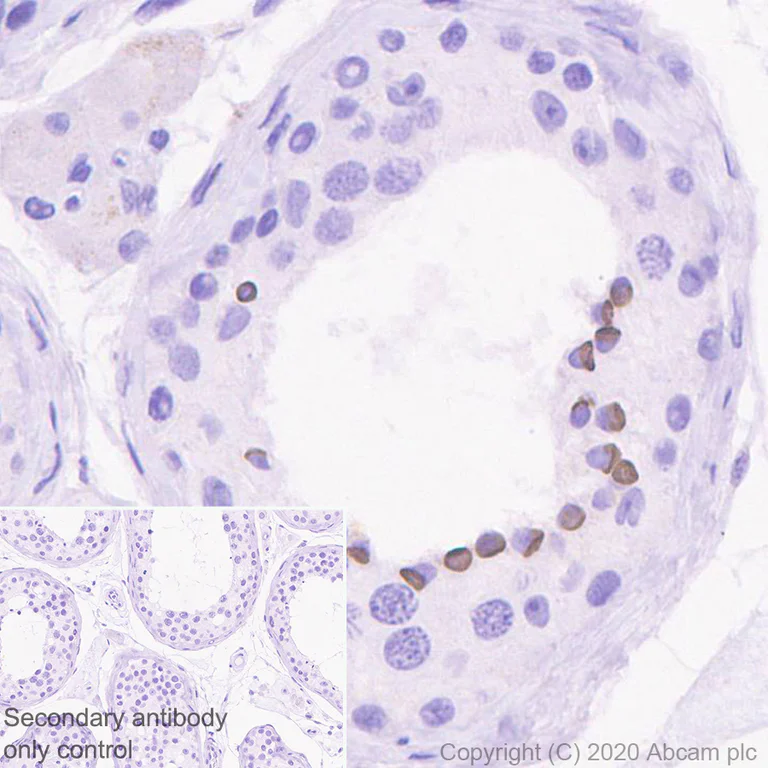
Immunohistochemistry (Formalin/PFA-fixed paraffin-embedded sections) - Anti-Kisspeptin antibody [EPR23770-189] (AB275874)
  • IHC-P

Unknown

Immunohistochemistry (Formalin/PFA-fixed paraffin-embedded sections) - Anti-Kisspeptin antibody [EPR23770-189] (AB275874)

Immunohistochemical analysis of paraffin-embedded Human testis tissue labeling Kisspeptin with ab275874 at 1/5000 (0.098 ug/ml) dilution followed by a ready to use Rabbit specific IHC polymer detection kit HRP/DAB (ab209101). Positive staining on spermatid of human testis (PMID : 11385580). The section was incubated with ab275874 for 30 mins at room temperature. The immunostaining was performed on a Leica Biosystems BOND® RX instrument. Counterstained with Hematoxylin.

Secondary antibody only control : Secondary antibody is a ready to use Rabbit specific IHC polymer detection kit HRP/DAB (ab209101).

Heat mediated antigen retrieval with Tris-EDTA buffer (pH 9.0, epitope retrieval solution2) for 20 mins.

Immunohistochemistry (Formalin/PFA-fixed paraffin-embedded sections) - Anti-Kisspeptin antibody [EPR23770-189] (AB275874)
  • IHC-P

Unknown

Immunohistochemistry (Formalin/PFA-fixed paraffin-embedded sections) - Anti-Kisspeptin antibody [EPR23770-189] (AB275874)

Immunohistochemical analysis of paraffin-embedded Human placenta tissue labeling Kisspeptin with ab275874 at 1/5000 (0.098 ug/ml) dilution followed by a ready to use Rabbit specific IHC polymer detection kit HRP/DAB (ab209101). Positive staining on human placenta. The section was incubated with ab275874 for 30 mins at room temperature. The immunostaining was performed on a Leica Biosystems BOND® RX instrument. Counterstained with Hematoxylin.

Secondary antibody only control : Secondary antibody is a ready to use Rabbit specific IHC polymer detection kit HRP/DAB (ab209101).

Heat mediated antigen retrieval with Tris-EDTA buffer (pH 9.0, epitope retrieval solution2) for 20 mins.

Immunoprecipitation - Anti-Kisspeptin antibody [EPR23770-189] (AB275874)
  • IP

Lab

Immunoprecipitation - Anti-Kisspeptin antibody [EPR23770-189] (AB275874)

Capture ab 1 : 30 dilution (2μg in 0.35mg lysates)

Blocking and diluting buffer : 5% NFDM/TBST

Primary antibody : ab275874, 1 : 1000 dilution

Secondary antibody : ab131366, VeriBlot for IP secondary antibody(HRP), 1 : 5000 dilution

Lanes 1-2 : Human placenta tissue lysate at 10 μg
Lane 3 : Rabbit monoclonal IgG (ab172730) instead of ab275874 in human placenta tissue lysate

All lanes:

Immunoprecipitation - Anti-Kisspeptin antibody [EPR23770-189] (ab275874)

Predicted band size: 15 kDa

Observed band size: 15 kDa

false

Exposure time: 32s

Western blot - Anti-Kisspeptin antibody [EPR23770-189] (AB275874)
  • WB

Lab

Western blot - Anti-Kisspeptin antibody [EPR23770-189] (AB275874)

Blocking buffer and concentration 5% NFDM/TBST
Diluting buffer and concentration 5% NFDM/TBST

All lanes:

Western blot - Anti-Kisspeptin antibody [EPR23770-189] (ab275874) at 1/1000 dilution

Lane 1:

Human placenta tissue lysate at 40 µg

Lane 2:

Human testis tissue lysate at 40 µg

Lane 3:

Human heart tissue lysate at 40 µg

Secondary

All lanes:

Goat Anti-Rabbit IgG (HRP) with minimal cross-reactivity with human IgG at 1/2000 dilution

Predicted band size: 15 kDa

Observed band size: 15 kDa

false

Exposure time: 26s

  • 665 Alexa Fluor® 647

    Alexa Fluor® 647 Anti-Kisspeptin antibody [EPR23770-189]

  • Carrier free

    Anti-Kisspeptin antibody [EPR23770-189] - BSA and Azide free

Key facts

Host species

Rabbit

Clonality

Monoclonal

Clone number

EPR23770-189

Isotype

IgG

Carrier free

No

Reacts with

Human

Applications

IHC-P, WB, IP

applications

Immunogen

The exact immunogen used to generate this antibody is proprietary information.

Reactivity data

{ "title": "Reactivity Data", "filters": { "stats": ["", "Species", "Dilution Info", "Notes"], "tabs": { "all-applications": {"fullname" : "All Applications", "shortname": "All Applications"}, "ICCIF" : {"fullname" : "Immunocytochemistry/ Immunofluorescence", "shortname":"ICC/IF"}, "IP" : {"fullname" : "Immunoprecipitation", "shortname":"IP"}, "FlowCyt" : {"fullname" : "Flow Cytometry", "shortname":"Flow Cyt"}, "WB" : {"fullname" : "Western blot", "shortname":"WB"}, "IHCP" : {"fullname" : "Immunohistochemistry (Formalin/PFA-fixed paraffin-embedded sections)", "shortname":"IHC-P"} }, "product-promise": { "all": "all", "testedAndGuaranteed": "tested", "guaranteed": "expected", "predicted": "predicted", "notRecommended": "not-recommended" } }, "values": { "Human": { "ICCIF-species-checked": "notRecommended", "ICCIF-species-dilution-info": "", "ICCIF-species-notes": "<p></p>", "IP-species-checked": "testedAndGuaranteed", "IP-species-dilution-info": "1/1000", "IP-species-notes": "<p></p>", "FlowCyt-species-checked": "notRecommended", "FlowCyt-species-dilution-info": "", "FlowCyt-species-notes": "<p></p>", "WB-species-checked": "testedAndGuaranteed", "WB-species-dilution-info": "1/1000", "WB-species-notes": "<p></p>", "IHCP-species-checked": "testedAndGuaranteed", "IHCP-species-dilution-info": "1/5000", "IHCP-species-notes": "<p></p>" }, "Mouse": { "ICCIF-species-checked": "notRecommended", "ICCIF-species-dilution-info": "", "ICCIF-species-notes": "", "IP-species-checked": "notRecommended", "IP-species-dilution-info": "", "IP-species-notes": "", "FlowCyt-species-checked": "notRecommended", "FlowCyt-species-dilution-info": "", "FlowCyt-species-notes": "", "WB-species-checked": "notRecommended", "WB-species-dilution-info": "1/1000", "WB-species-notes": "<p></p>", "IHCP-species-checked": "notRecommended", "IHCP-species-dilution-info": "1/5000", "IHCP-species-notes": "<p></p>" }, "Rat": { "ICCIF-species-checked": "notRecommended", "ICCIF-species-dilution-info": "", "ICCIF-species-notes": "", "IP-species-checked": "notRecommended", "IP-species-dilution-info": "", "IP-species-notes": "", "FlowCyt-species-checked": "notRecommended", "FlowCyt-species-dilution-info": "", "FlowCyt-species-notes": "", "WB-species-checked": "notRecommended", "WB-species-dilution-info": "1/1000", "WB-species-notes": "<p></p>", "IHCP-species-checked": "notRecommended", "IHCP-species-dilution-info": "1/5000", "IHCP-species-notes": "<p></p>" } } }

Product details

Patented technology
Our RabMAb® technology is a patented hybridoma-based technology for making rabbit monoclonal antibodies. For details on our patents, please refer to RabMAb® patents.

What are the advantages of a recombinant monoclonal antibody?
This product is a recombinant monoclonal antibody, which offers several advantages including:

  • - High batch-to-batch consistency and reproducibility
  • - Improved sensitivity and specificity
  • - Long-term security of supply
  • - Animal-free batch production

For more information, read more on recombinant antibodies.

Properties and storage information

Form
Liquid
Purification technique
Affinity purification Protein A
Storage buffer
Preservative: 0.01% Sodium azide Constituents: 59.94% PBS, 40% Glycerol (glycerin, glycerine), 0.05% BSA
Shipped at conditions
Blue Ice
Appropriate short-term storage duration
1-2 weeks
Appropriate short-term storage conditions
+4°C
Appropriate long-term storage conditions
-20°C
Aliquoting information
Upon delivery aliquot
Storage information
Avoid freeze / thaw cycle

Supplementary information

This supplementary information is collated from multiple sources and compiled automatically.

Kisspeptin also known as metastin is a peptide with significant roles in reproductive physiology. Found within the hypothalamus and several peripheral tissues it comprises a sequence of 54 amino acids and has a molecular mass of around 12.8 kDa. Kisspeptin binds to the G protein-coupled receptor GPR54 facilitating its regulatory functions. Widely expressed throughout the brain particularly in the arcuate nucleus and anteroventral periventricular nucleus it acts on neurons to influence GnRH secretion critically.
Biological function summary

Kisspeptin regulates the hypothalamic-pituitary-gonadal axis by promoting the release of gonadotropin-releasing hormone (GnRH). This stimulation enhances the synthesis and release of luteinizing hormone (LH) and follicle-stimulating hormone (FSH) from the pituitary gland key components in reproductive maturation and fertility. Kisspeptin integrates into the neuroendocrine control network interacting closely with neurotransmitters and signaling molecules to maintain reproductive homeostasis.

Pathways

Kisspeptin plays an instrumental role in the reproductive signaling cascade. It serves as a critical upstream regulator in the GnRH signaling pathway essential for the control of puberty onset and reproductive function. The kisspeptin-GPR54 axis interacts with related proteins like neurokinin B and dynorphin which modulate its effect on GnRH neurons. These interactions create an intricate regulatory network essential to reproductive hormone feedback loops.

Altered kisspeptin signaling can contribute to conditions such as hypogonadotropic hypogonadism and polycystic ovary syndrome (PCOS). Mutations or deficiencies in the kisspeptin receptor GPR54 have been linked to hypogonadotropic hypogonadism impacting sexual development and fertility. PCOS involves complex kisspeptin-related pathways alongside insulin signaling dysregulation illustrating its intersection with metabolic pathways and potential treatment targets. Kisspeptin modulation affects significant pathways related to reproductive health making it a target of interest for therapeutic intervention in these conditions.

Product protocols

For this product, it's our understanding that no specific protocols are required. You can visit:

Target data

Metastasis suppressor protein in malignant melanomas and in some breast cancers. May regulate events downstream of cell-matrix adhesion, perhaps involving cytoskeletal reorganization. Generates a C-terminally amidated peptide, metastin which functions as the endogenous ligand of the G-protein coupled receptor GPR54. Activation of the receptor inhibits cell proliferation and cell migration, key characteristics of tumor metastasis. Kp-10 is a decapeptide derived from the primary translation product, isolated in conditioned medium of first trimester trophoblast. Kp-10, but not other kisspeptins, increased intracellular Ca(2+) levels in isolated first trimester trophoblasts. Kp-10 is a paracrine/endocrine regulator in fine-tuning trophoblast invasion generated by the trophoblast itself. The receptor is also essential for normal gonadotropin-released hormone physiology and for puberty. The hypothalamic KiSS1/GPR54 system is a pivotal factor in central regulation of the gonadotropic axis at puberty and in adulthood.
See full target information KISS1

Product promise

We are committed to supporting your work with high-quality reagents, and we're here for you every step of the way. In the unlikely event that one of our products does not perform as expected, you're protected by our Product Promise.
For full details, please see our Terms & Conditions

Please note: All products are 'FOR RESEARCH USE ONLY. NOT FOR USE IN DIAGNOSTIC OR THERAPEUTIC PROCEDURES'.

For licensing inquiries, please contact partnerships@abcam.com