JavaScript is disabled in your browser. Please enable JavaScript to view this website.
AB219971

Anti-KK-LC-1 antibody [CL4762]

Be the first to review this product! Submit a review

|

(1 Publication)

Mouse Monoclonal KK-LC-1 antibody. Suitable for IHC-P, WB and reacts with Human samples. Cited in 1 publication. Immunogen corresponding to Recombinant Fragment Protein within Human CT83 aa 1 to C-terminus.

View Alternative Names

CXorf61, KKLC1, CT83, Kita-kyushu lung cancer antigen 1, KK-LC-1, Cancer/testis antigen 83

2 Images
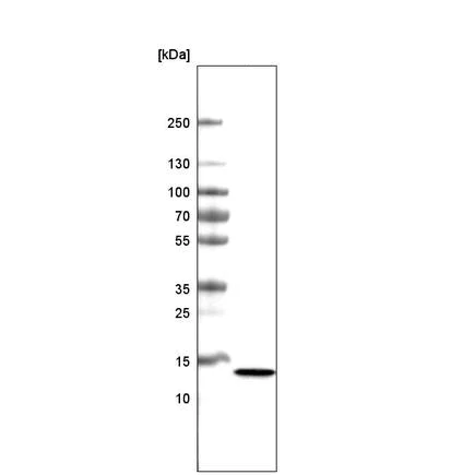
Western blot - Anti-KK-LC-1 antibody [CL4762] (AB219971)
  • WB

Supplier Data

Western blot - Anti-KK-LC-1 antibody [CL4762] (AB219971)

All lanes:

Western blot - Anti-KK-LC-1 antibody [CL4762] (ab219971) at 1/500 dilution

All lanes:

HeLa cell lysate

Predicted band size: 13 kDa

false

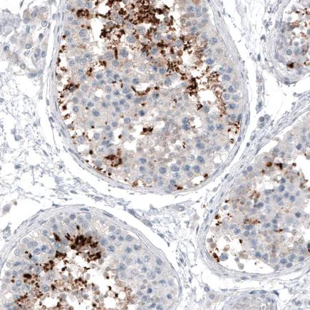
Immunohistochemistry (Formalin/PFA-fixed paraffin-embedded sections) - Anti-KK-LC-1 antibody [CL4762] (AB219971)
  • IHC-P

Supplier Data

Immunohistochemistry (Formalin/PFA-fixed paraffin-embedded sections) - Anti-KK-LC-1 antibody [CL4762] (AB219971)

Immunohistochemical analysis of paraffin-embedded human testis tissue labeling KK-LC-1 with ab219971 at 1/500 dilution.

Key facts

Host species

Mouse

Clonality

Monoclonal

Clone number

CL4762

Isotype

IgG1

Carrier free

No

Reacts with

Human

Applications

WB, IHC-P

applications

Immunogen

Recombinant Fragment Protein within Human CT83 aa 1 to C-terminus. The exact immunogen used to generate this antibody is proprietary information.

Q5H943

Epitope

Binds to an epitope located within the peptide sequence STALALVRPSSSGLI as determined by overlapping synthetic peptides.

Reactivity data

{ "title": "Reactivity Data", "filters": { "stats": ["", "Species", "Dilution Info", "Notes"], "tabs": { "all-applications": {"fullname" : "All Applications", "shortname": "All Applications"}, "IHCP" : {"fullname" : "Immunohistochemistry (Formalin/PFA-fixed paraffin-embedded sections)", "shortname":"IHC-P"}, "WB" : {"fullname" : "Western blot", "shortname":"WB"} }, "product-promise": { "all": "all", "testedAndGuaranteed": "tested", "guaranteed": "expected", "predicted": "predicted", "notRecommended": "not-recommended" } }, "values": { "Human": { "IHCP-species-checked": "testedAndGuaranteed", "IHCP-species-dilution-info": "1/500 - 1/1000", "IHCP-species-notes": "<p></p> Perform heat-mediated antigen retrieval with citrate buffer pH 6 before commencing with IHC staining protocol.", "WB-species-checked": "testedAndGuaranteed", "WB-species-dilution-info": "1/500 - 1/1000", "WB-species-notes": "<p></p>" }, "Cynomolgus monkey": { "IHCP-species-checked": "predicted", "IHCP-species-dilution-info": "", "IHCP-species-notes": "", "WB-species-checked": "predicted", "WB-species-dilution-info": "", "WB-species-notes": "" } } }

Properties and storage information

Form
Liquid
Purification technique
Affinity purification Protein A
Storage buffer
pH: 7.2 Preservative: 0.02% Sodium azide Constituents: 59% PBS, 40% Glycerol (glycerin, glycerine)
Shipped at conditions
Blue Ice
Appropriate short-term storage duration
1-2 weeks
Appropriate short-term storage conditions
+4°C
Appropriate long-term storage conditions
-20°C
Aliquoting information
Upon delivery aliquot
Storage information
Avoid freeze / thaw cycle

Product protocols

For this product, it's our understanding that no specific protocols are required. You can visit:

Publications (1)

Recent publications for all applications. Explore the full list and refine your search

Cancer science 112:4335-4345 PubMed34387029

2021

Identification of a peptide binding to cancer antigen Kita-kyushu lung cancer antigen 1 from a phage-display library.

Applications

Unspecified application

Species

Unspecified reactive species

Xiaoxiao Yu,Jiayao Yan,Xiaotong Chen,Jia Wei,Lixia Yu,Fangcen Liu,Lin Li,Baorui Liu
View all publications

Product promise

We are committed to supporting your work with high-quality reagents, and we're here for you every step of the way. In the unlikely event that one of our products does not perform as expected, you're protected by our Product Promise.
For full details, please see our Terms & Conditions

Associated Products

Select an associated product type
Alternative Product
Primary Antibodies

AB121219

Anti-KK-LC-1 antibody

primary-antibodies

kk-lc-1-antibody-ab121219

0

(0 reviews)

Please note: All products are 'FOR RESEARCH USE ONLY. NOT FOR USE IN DIAGNOSTIC OR THERAPEUTIC PROCEDURES'.

For licensing inquiries, please contact partnerships@abcam.com