JavaScript is disabled in your browser. Please enable JavaScript to view this website.
AB233416

Anti-KLB antibody

Be the first to review this product! Submit a review

|

(4 Publications)

Rabbit Polyclonal KLB antibody. Suitable for IHC-P and reacts with Human samples. Cited in 4 publications. Immunogen corresponding to Recombinant Fragment Protein within Human Beta-klotho aa 500-650.

View Alternative Names

Beta-klotho, BKL, BetaKlotho, Klotho beta-like protein, KLB

3 Images
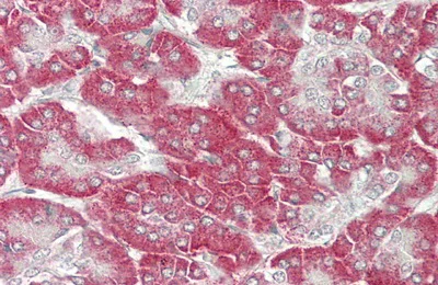
Immunohistochemistry (Formalin/PFA-fixed paraffin-embedded sections) - Anti-KLB antibody (AB233416)
  • IHC-P

Supplier Data

Immunohistochemistry (Formalin/PFA-fixed paraffin-embedded sections) - Anti-KLB antibody (AB233416)

Formalin-fixed, paraffin-embedded human pancreas tissue stained for KLB using ab233416 at 20 μg/ml in immunohistochemical analysis. AEC staining.

Immunohistochemistry (Formalin/PFA-fixed paraffin-embedded sections) - Anti-KLB antibody (AB233416)
  • IHC-P

Supplier Data

Immunohistochemistry (Formalin/PFA-fixed paraffin-embedded sections) - Anti-KLB antibody (AB233416)

Formalin-fixed, paraffin-embedded human liver tissue stained for KLB using ab233416 at 20 μg/ml in immunohistochemical analysis. DAB staining.

Immunohistochemistry (Formalin/PFA-fixed paraffin-embedded sections) - Anti-KLB antibody (AB233416)
  • IHC-P

Supplier Data

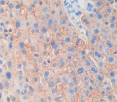
Immunohistochemistry (Formalin/PFA-fixed paraffin-embedded sections) - Anti-KLB antibody (AB233416)

Formalin-fixed, paraffin-embedded human kidney tissue stained for KLB using ab233416 at 20 μg/ml in immunohistochemical analysis. AEC staining.

Key facts

Host species

Rabbit

Clonality

Polyclonal

Isotype

IgG

Carrier free

No

Reacts with

Human

Applications

IHC-P

applications

Immunogen

Recombinant Fragment Protein within Human Beta-klotho aa 500-650. The exact immunogen used to generate this antibody is proprietary information.

Q86Z14

Reactivity data

{ "title": "Reactivity Data", "filters": { "stats": ["", "Species", "Dilution Info", "Notes"], "tabs": { "all-applications": {"fullname" : "All Applications", "shortname": "All Applications"}, "IHCP" : {"fullname" : "Immunohistochemistry (Formalin/PFA-fixed paraffin-embedded sections)", "shortname":"IHC-P"} }, "product-promise": { "all": "all", "testedAndGuaranteed": "tested", "guaranteed": "expected", "predicted": "predicted", "notRecommended": "not-recommended" } }, "values": { "Human": { "IHCP-species-checked": "testedAndGuaranteed", "IHCP-species-dilution-info": "5-20 µg/mL", "IHCP-species-notes": "<p></p>" } } }

Properties and storage information

Form
Liquid
Purification technique
Affinity purification Immunogen
Purification notes
Antigen-specific affinity chromatography followed by Protein A affinity chromatography.
Storage buffer
pH: 7.4 Preservative: 0.011% Proclin 300 Constituents: PBS, 55.77% Glycerol (glycerin, glycerine)
Shipped at conditions
Blue Ice
Appropriate short-term storage duration
1-2 weeks
Appropriate short-term storage conditions
+4°C
Appropriate long-term storage conditions
-20°C
Aliquoting information
Upon delivery aliquot
Storage information
Avoid freeze / thaw cycle

Product protocols

For this product, it's our understanding that no specific protocols are required. You can visit:

Target data

Contributes to the transcriptional repression of cholesterol 7-alpha-hydroxylase (CYP7A1), the rate-limiting enzyme in bile acid synthesis. Probably inactive as a glycosidase. Increases the ability of FGFR1 and FGFR4 to bind FGF21 (By similarity).
See full target information Beta-klotho

Publications (4)

Recent publications for all applications. Explore the full list and refine your search

Discover oncology 16:1655 PubMed40879845

2025

KLB as a potential prognostic biomarker and therapeutic target in colorectal cancer: insights from multi omics and single cell analyses.

Applications

Unspecified application

Species

Unspecified reactive species

Xiaofei Bi,Wenjin Zhang,Meimei Shen,Guicheng Wu,Chengmei Fang,Jian Gao

Cell death and differentiation 31:738-752 PubMed38594444

2024

IFI35 regulates non-canonical NF-κB signaling to maintain glioblastoma stem cells and recruit tumor-associated macrophages.

Applications

Unspecified application

Species

Unspecified reactive species

Daqi Li,Xiefeng Wang,Kexin Chen,Danyang Shan,Gaoyuan Cui,Wei Yuan,Qiankun Lin,Ryan C Gimple,Deobrat Dixit,Chenfei Lu,Danling Gu,Hao You,Jiancheng Gao,Yangqing Li,Tao Kang,Junlei Yang,Hang Yu,Kefan Song,Zhumei Shi,Xiao Fan,Qiulian Wu,Wei Gao,Zhe Zhu,Jianghong Man,Qianghu Wang,Fan Lin,Weiwei Tao,Stephen C Mack,Yun Chen,Junxia Zhang,Chaojun Li,Nu Zhang,Yongping You,Xu Qian,Kailin Yang,Jeremy N Rich,Qian Zhang,Xiuxing Wang

Frontiers in pharmacology 14:1148737 PubMed37077819

2023

Geniposide plus chlorogenic acid reverses non-alcoholic steatohepatitis regulation of gut microbiota and bile acid signaling in a mouse model .

Applications

Unspecified application

Species

Unspecified reactive species

Hongshan Li,Yingfei Xi,Xin Xin,Qin Feng,Yiyang Hu

Nutrition & metabolism 17:34 PubMed32377219

2020

Gypenosides regulate farnesoid X receptor-mediated bile acid and lipid metabolism in a mouse model of non-alcoholic steatohepatitis.

Applications

Unspecified application

Species

Unspecified reactive species

Hongshan Li,Yingfei Xi,Xin Xin,Huajie Tian,Yiyang Hu
View all publications

Product promise

We are committed to supporting your work with high-quality reagents, and we're here for you every step of the way. In the unlikely event that one of our products does not perform as expected, you're protected by our Product Promise.
For full details, please see our Terms & Conditions

Please note: All products are 'FOR RESEARCH USE ONLY. NOT FOR USE IN DIAGNOSTIC OR THERAPEUTIC PROCEDURES'.

For licensing inquiries, please contact partnerships@abcam.com