JavaScript is disabled in your browser. Please enable JavaScript to view this website.
AB254848

Anti-KLC2 antibody

Be the first to review this product! Submit a review

|

(0 Publication)

Rabbit Polyclonal KLC2 antibody. Suitable for WB, IHC-P, ICC/IF and reacts with Mouse, Rat, Human samples. Immunogen corresponding to Recombinant Fragment Protein within Human Kinesin light chain 2 aa 1-100.

View Alternative Names

Kinesin light chain 2, KLC 2, KLC2

8 Images
Immunocytochemistry/ Immunofluorescence - Anti-KLC2 antibody (AB254848)
  • ICC/IF

Unknown

Immunocytochemistry/ Immunofluorescence - Anti-KLC2 antibody (AB254848)

PFA fixed, Triton X-100 permeabilized A-431 (Human epidermoid carcinoma cell line) cells labeling KLC2 using ab254848 at 4µg/ml (green) in ICC/IF.

Western blot - Anti-KLC2 antibody (AB254848)
  • WB

Supplier Data

Western blot - Anti-KLC2 antibody (AB254848)

All lanes:

Western blot - Anti-KLC2 antibody (ab254848) at 0.4 µg/mL

Lane 1:

NIH/3T3 cell lysate

Lane 2:

NBT-II cell lysate

Predicted band size: 69 kDa

false

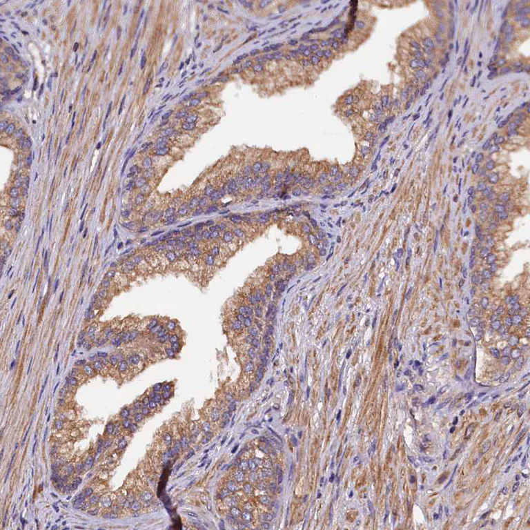
Immunohistochemistry (Formalin/PFA-fixed paraffin-embedded sections) - Anti-KLC2 antibody (AB254848)
  • IHC-P

Supplier Data

Immunohistochemistry (Formalin/PFA-fixed paraffin-embedded sections) - Anti-KLC2 antibody (AB254848)

Immunohistochemistry analysis of human prostate tissue labelling KLC2 with ab254848 at 1 : 500 dilution.

Western blot - Anti-KLC2 antibody (AB254848)
  • WB

Supplier Data

Western blot - Anti-KLC2 antibody (AB254848)

All lanes:

Western blot - Anti-KLC2 antibody (ab254848) at 0.4 µg/mL

Lane 1:

RT4 cell lysate

Lane 2:

U-251 MG cell lysate

Predicted band size: 69 kDa

false

Western blot - Anti-KLC2 antibody (AB254848)
  • WB

Supplier Data

Western blot - Anti-KLC2 antibody (AB254848)

Remaining relative intensity is presented.

Loading control : Anti-GAPDH.

All lanes:

Western blot - Anti-KLC2 antibody (ab254848) at 0.4 µg/mL

Lane 1:

siRNA control transfected U-138 MG cell lysate

Lane 2:

siRNA probe #1 transfected U-138 MG cell lysate

Lane 3:

siRNA probe #2 transfected U-138 MG cell lysate

Predicted band size: 69 kDa

false

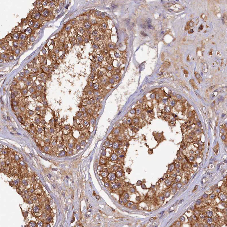
Immunohistochemistry (Formalin/PFA-fixed paraffin-embedded sections) - Anti-KLC2 antibody (AB254848)
  • IHC-P

Supplier Data

Immunohistochemistry (Formalin/PFA-fixed paraffin-embedded sections) - Anti-KLC2 antibody (AB254848)

Immunohistochemistry analysis of human testis tissue labelling KLC2 with ab254848 at 1 : 500 dilution.

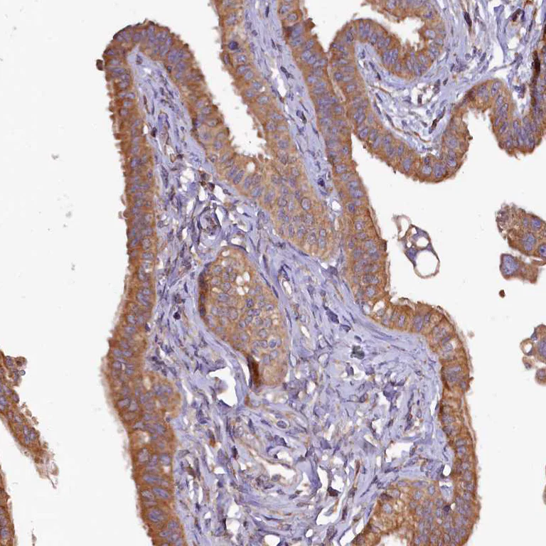
Immunohistochemistry (Formalin/PFA-fixed paraffin-embedded sections) - Anti-KLC2 antibody (AB254848)
  • IHC-P

Supplier Data

Immunohistochemistry (Formalin/PFA-fixed paraffin-embedded sections) - Anti-KLC2 antibody (AB254848)

Immunohistochemistry analysis of human fallopian tube tissue labelling KLC2 with ab254848 at 1 : 500 dilution.

Immunohistochemistry (Formalin/PFA-fixed paraffin-embedded sections) - Anti-KLC2 antibody (AB254848)
  • IHC-P

Supplier Data

Immunohistochemistry (Formalin/PFA-fixed paraffin-embedded sections) - Anti-KLC2 antibody (AB254848)

Immunohistochemistry analysis of human cerebral cortex tissue labelling KLC2 with ab254848 at 1 : 500 dilution.

Key facts

Host species

Rabbit

Clonality

Polyclonal

Isotype

IgG

Carrier free

No

Reacts with

Mouse, Rat, Human

Applications

IHC-P, WB, ICC/IF

applications

Immunogen

Recombinant Fragment Protein within Human Kinesin light chain 2 aa 1-100. The exact immunogen used to generate this antibody is proprietary information.

Q9H0B6

Reactivity data

{ "title": "Reactivity Data", "filters": { "stats": ["", "Species", "Dilution Info", "Notes"], "tabs": { "all-applications": {"fullname" : "All Applications", "shortname": "All Applications"}, "WB" : {"fullname" : "Western blot", "shortname":"WB"}, "IHCP" : {"fullname" : "Immunohistochemistry (Formalin/PFA-fixed paraffin-embedded sections)", "shortname":"IHC-P"}, "ICCIF" : {"fullname" : "Immunocytochemistry/ Immunofluorescence", "shortname":"ICC/IF"} }, "product-promise": { "all": "all", "testedAndGuaranteed": "tested", "guaranteed": "expected", "predicted": "predicted", "notRecommended": "not-recommended" } }, "values": { "Human": { "WB-species-checked": "testedAndGuaranteed", "WB-species-dilution-info": "0.04-0.4 µg/mL", "WB-species-notes": "<p></p>", "IHCP-species-checked": "testedAndGuaranteed", "IHCP-species-dilution-info": "", "IHCP-species-notes": "<p></p>", "ICCIF-species-checked": "testedAndGuaranteed", "ICCIF-species-dilution-info": "0.25-2 µg/mL", "ICCIF-species-notes": "<p>Fixation/Permeabilization: PFA/Triton X-100.</p>" }, "Mouse": { "WB-species-checked": "testedAndGuaranteed", "WB-species-dilution-info": "0.04-0.4 µg/mL", "WB-species-notes": "<p></p>", "IHCP-species-checked": "guaranteed", "IHCP-species-dilution-info": "", "IHCP-species-notes": "", "ICCIF-species-checked": "guaranteed", "ICCIF-species-dilution-info": "", "ICCIF-species-notes": "" }, "Rat": { "WB-species-checked": "testedAndGuaranteed", "WB-species-dilution-info": "0.04-0.4 µg/mL", "WB-species-notes": "<p></p>", "IHCP-species-checked": "guaranteed", "IHCP-species-dilution-info": "", "IHCP-species-notes": "", "ICCIF-species-checked": "guaranteed", "ICCIF-species-dilution-info": "", "ICCIF-species-notes": "" } } }

Properties and storage information

Form
Liquid
Purification technique
Affinity purification Immunogen
Storage buffer
pH: 7.2 Preservative: 0.02% Sodium azide Constituents: PBS, 40% Glycerol (glycerin, glycerine)
Shipped at conditions
Blue Ice
Appropriate short-term storage duration
1-2 weeks
Appropriate short-term storage conditions
+4°C
Appropriate long-term storage conditions
-20°C
Aliquoting information
Upon delivery aliquot
Storage information
Avoid freeze / thaw cycle

Product protocols

For this product, it's our understanding that no specific protocols are required. You can visit:

Target data

Kinesin is a microtubule-associated force-producing protein that plays a role in organelle transport. The light chain functions in coupling of cargo to the heavy chain or in the modulation of its ATPase activity (Probable). Through binding with PLEKHM2 and ARL8B, recruits kinesin-1 to lysosomes and hence direct lysosomes movement toward microtubule plus ends (PubMed : 22172677).
See full target information Kinesin light chain 2

Product promise

We are committed to supporting your work with high-quality reagents, and we're here for you every step of the way. In the unlikely event that one of our products does not perform as expected, you're protected by our Product Promise.
For full details, please see our Terms & Conditions

Please note: All products are 'FOR RESEARCH USE ONLY. NOT FOR USE IN DIAGNOSTIC OR THERAPEUTIC PROCEDURES'.

For licensing inquiries, please contact partnerships@abcam.com