JavaScript is disabled in your browser. Please enable JavaScript to view this website.
AB106629

Anti-KLF4 antibody

5

(4 Reviews)

|

(47 Publications)

Rabbit Polyclonal KLF4 antibody. Suitable for WB, IHC-P and reacts with Human, Mouse, Rat samples. Cited in 47 publications. Immunogen corresponding to Synthetic Peptide within Human KLF4.

View Alternative Names

EZF, GKLF, KLF4, Krueppel-like factor 4, Epithelial zinc finger protein EZF, Gut-enriched krueppel-like factor

4 Images
Immunohistochemistry (Formalin/PFA-fixed paraffin-embedded sections) - Anti-KLF4 antibody (AB106629)
  • IHC-P

Supplier Data

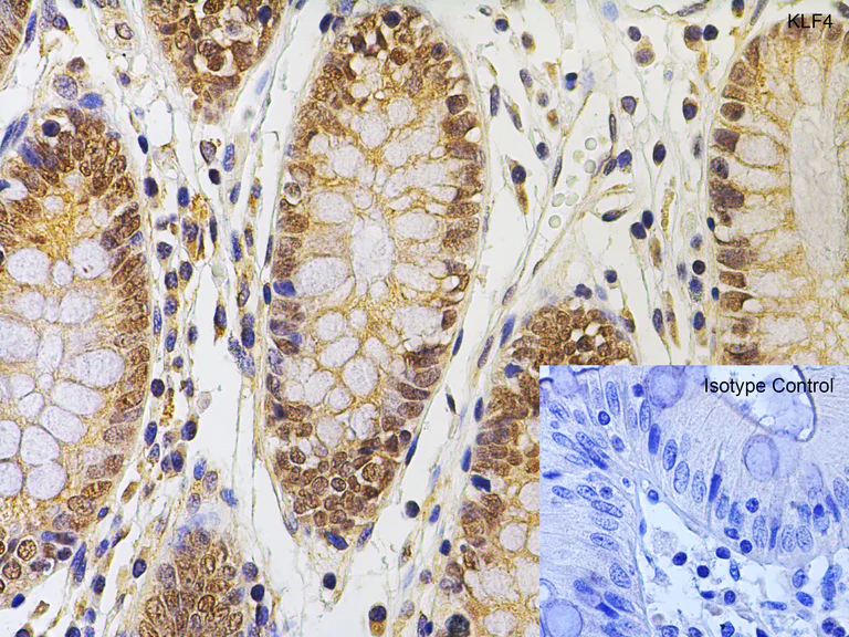
Immunohistochemistry (Formalin/PFA-fixed paraffin-embedded sections) - Anti-KLF4 antibody (AB106629)

Immunohistochemical analysis of paraffin-embedded human colon tissue labeling KLF4 with ab106629 at 2 µg/mL. Tissue was fixed with formaldehyde and blocked with 10% serum for 1 h at RT; antigen retrieval was by heat mediation with a citrate buffer (pH 6). Samples were incubated with primary antibody overnight at 4°C. A goat anti-rabbit IgG H&L (HRP) at 1/250 was used as secondary. Counter stained with Hematoxylin.

Immunohistochemistry (Formalin/PFA-fixed paraffin-embedded sections) - Anti-KLF4 antibody (AB106629)
  • IHC-P

Supplier Data

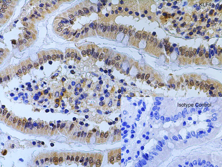
Immunohistochemistry (Formalin/PFA-fixed paraffin-embedded sections) - Anti-KLF4 antibody (AB106629)

Immunohistochemical analysis of paraffin-embedded rat colon tissue labeling KLF4 with ab106629 at 2 µg/mL. Tissue was fixed with formaldehyde and blocked with 10% serum for 1 h at RT; antigen retrieval was by heat mediation with a citrate buffer (pH 6). Samples were incubated with primary antibody overnight at 4°C. A goat anti-rabbit IgG H&L (HRP) at 1/250 was used as secondary. Counter stained with Hematoxylin.

Immunohistochemistry (Formalin/PFA-fixed paraffin-embedded sections) - Anti-KLF4 antibody (AB106629)
  • IHC-P

Supplier Data

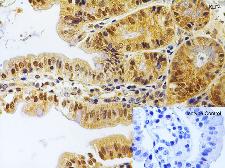
Immunohistochemistry (Formalin/PFA-fixed paraffin-embedded sections) - Anti-KLF4 antibody (AB106629)

Immunohistochemical analysis of paraffin-embedded mouse colon tissue labeling KLF4 with ab106629 at 2 µg/mL. Tissue was fixed with formaldehyde and blocked with 10% serum for 1 h at RT; antigen retrieval was by heat mediation with a citrate buffer (pH 6). Samples were incubated with primary antibody overnight at 4°C. A goat anti-rabbit IgG H&L (HRP) at 1/250 was used as secondary. Counter stained with Hematoxylin.

Western blot - Anti-KLF4 antibody (AB106629)
  • WB

Supplier Data

Western blot - Anti-KLF4 antibody (AB106629)

1 h incubation at RT in 5% NFDM/TBST. ab106629 detected the expression of KLF4 in MCF-7 cells, but not in Jurkat cells, which matches the RNA expression pattern in these two cell lines based on Human Protein Atlas data.

All lanes:

Western blot - Anti-KLF4 antibody (ab106629) at 1 µg/mL

Lane 1:

MCF-7 cell lysate at 15 µg

Lane 2:

Jurkat cell lysate at 15 µg

Secondary

All lanes:

Goat Anti-Rabbit IgG HRP conjugate at 1/10000 dilution

false

Key facts

Host species

Rabbit

Clonality

Polyclonal

Isotype

IgG

Carrier free

No

Reacts with

Human, Mouse, Rat

Applications

IHC-P, WB

applications

Immunogen

Synthetic Peptide within Human KLF4. The exact immunogen used to generate this antibody is proprietary information.

O43474

Specificity

ab106629 will detect all three known isoforms. It does not cross-react with other KLF members.

Reactivity data

{ "title": "Reactivity Data", "filters": { "stats": ["", "Species", "Dilution Info", "Notes"], "tabs": { "all-applications": {"fullname" : "All Applications", "shortname": "All Applications"}, "WB" : {"fullname" : "Western blot", "shortname":"WB"}, "IHCP" : {"fullname" : "Immunohistochemistry (Formalin/PFA-fixed paraffin-embedded sections)", "shortname":"IHC-P"} }, "product-promise": { "all": "all", "testedAndGuaranteed": "tested", "guaranteed": "expected", "predicted": "predicted", "notRecommended": "not-recommended" } }, "values": { "Human": { "WB-species-checked": "testedAndGuaranteed", "WB-species-dilution-info": "1-2 µg/mL", "WB-species-notes": "<p></p>", "IHCP-species-checked": "testedAndGuaranteed", "IHCP-species-dilution-info": "5 µg/mL", "IHCP-species-notes": "<p></p>" }, "Mouse": { "WB-species-checked": "guaranteed", "WB-species-dilution-info": "", "WB-species-notes": "", "IHCP-species-checked": "testedAndGuaranteed", "IHCP-species-dilution-info": "2 µg/mL", "IHCP-species-notes": "<p></p>" }, "Rat": { "WB-species-checked": "guaranteed", "WB-species-dilution-info": "", "WB-species-notes": "", "IHCP-species-checked": "testedAndGuaranteed", "IHCP-species-dilution-info": "2 µg/mL", "IHCP-species-notes": "<p></p>" } } }

Product details

For information on sample preparation for western blot, please refer here.

Properties and storage information

Form
Liquid
Purification technique
Affinity purification Immunogen
Purification notes
ab106629 is purified by affinity chromatography via a peptide column.
Storage buffer
pH: 7.2 Preservative: 0.02% Sodium azide Constituents: PBS
Shipped at conditions
Blue Ice
Appropriate short-term storage duration
Up to 12 months
Appropriate short-term storage conditions
+4°C
Appropriate long-term storage conditions
-20°C

Supplementary information

This supplementary information is collated from multiple sources and compiled automatically.

KLF4 also known as Kruppel-like factor 4 acts as a transcription factor involved in the regulation of gene expression. It has a molecular weight of approximately 55-60 kDa. Researchers often find KLF4 expressed in epithelial tissues such as the skin and gastrointestinal tract. It regulates cellular processes like differentiation proliferation and apoptosis playing a role in maintaining homeostasis and cell identity.
Biological function summary

KLF4 impacts cell differentiation and proliferation through its role as a transcription factor. It functions within several cellular complexes and interacts with other transcription factors to modulate gene expression. KLF4 regulates stem cell maintenance by influencing gene networks involved in self-renewal and differentiation contributing particularly to pluripotency in embryonic stem cells.

Pathways

The transcriptional activity of KLF4 integrates into key signaling pathways like the Wnt/β-catenin and Notch pathways. Within the Wnt/β-catenin pathway KLF4 may cooperate with β-catenin and TCF/LEF transcription factors to modulate gene targets. Similarly in the Notch signaling pathway KLF4 interacts with pathway components to influence cell fate decisions. These interactions highlight KLF4's central role in orchestrating complex signaling networks.

Mutations or dysregulated expression of KLF4 associates with various conditions including colorectal cancer and skin disorders like atopic dermatitis. In colorectal cancer KLF4 often interacts with other oncogenes and tumor suppressor proteins such as p53 to influence tumorigenesis. In skin disorders altered KLF4 expression can impact skin barrier function and inflammatory responses connecting it with proteins involved in immune response regulation.

Product protocols

For this product, it's our understanding that no specific protocols are required. You can visit:

Target data

Transcription factor; can act both as activator and as repressor. Binds the 5'-CACCC-3' core sequence. Binds to the promoter region of its own gene and can activate its own transcription. Regulates the expression of key transcription factors during embryonic development. Plays an important role in maintaining embryonic stem cells, and in preventing their differentiation. Required for establishing the barrier function of the skin and for postnatal maturation and maintenance of the ocular surface. Involved in the differentiation of epithelial cells and may also function in skeletal and kidney development. Contributes to the down-regulation of p53/TP53 transcription.
See full target information KLF4

Publications (47)

Recent publications for all applications. Explore the full list and refine your search

Acta histochemica et cytochemica 58:45-57 PubMed40535470

2025

Calmodulin-Like Protein 5 (CALML5) Expression in Squamous Cell Carcinoma of Esophagus and Oropharynx.

Applications

Unspecified application

Species

Unspecified reactive species

Mashio Taniwaki,Riko Kitazawa,Ryuma Haraguchi,Teruyuki Ono,Yuki Takaoka,Sohei Kitazawa

Frontiers in pharmacology 16:1548660 PubMed40365315

2025

DC. Alleviates adenine-induced chronic kidney disease by regulating ferroptosis in C57BL/6 mice.

Applications

Unspecified application

Species

Unspecified reactive species

Jong Min Kim,Yiseul Kim,Hyun-Jin Na,Haeng Jeon Hur,Sang-Hee Lee,Mi Jeong Sung

Nature aging 4:546-567 PubMed38553564

2024

Restoration of neuronal progenitors by partial reprogramming in the aged neurogenic niche.

Applications

Unspecified application

Species

Unspecified reactive species

Lucy Xu,Julliana Ramirez-Matias,Max Hauptschein,Eric D Sun,Judith C Lunger,Matthew T Buckley,Anne Brunet

Pharmacology 109:34-42 PubMed38011839

2023

Impairment of Autophagy Mediates the Uric-Acid-Induced Phenotypic Transformation of Vascular Smooth Muscle Cells.

Applications

Unspecified application

Species

Unspecified reactive species

Yan Lu,Hanlin Zhang,Min Han,Ping Wang,Liping Meng

Nature communications 14:5360 PubMed37660071

2023

FAM3A reshapes VSMC fate specification in abdominal aortic aneurysm by regulating KLF4 ubiquitination.

Applications

Unspecified application

Species

Unspecified reactive species

Chuxiang Lei,Haoxuan Kan,Xiangyu Xian,Wenlin Chen,Wenxuan Xiang,Xiaohong Song,Jianqiang Wu,Dan Yang,Yuehong Zheng

iScience 25:105194 PubMed36217548

2022

Oncofetal protein IGF2BP1 regulates IQGAP3 expression to maintain stem cell potential in cancer.

Applications

Unspecified application

Species

Unspecified reactive species

Khine Myint,Linda Shyue Huey Chuang,Yu Xuan Teh,Nur Astiana Mawan,Edward Jizhong Shi,Michelle Meng Huang Mok,Napat Nuttonmanit,Junichi Matsuo,Ying Li,Henry Yang,Atsushi Okabe,Atsushi Kaneda,Motomi Osato,Jimmy Bok-Yan So,Wei Peng Yong,Patrick Tan,Khay Guan Yeoh,Yoshiaki Ito

Bioactive materials 21:69-85 PubMed36017070

2022

An esterase-responsive ibuprofen nano-micelle pre-modified embryo derived nucleus pulposus progenitor cells promote the regeneration of intervertebral disc degeneration.

Applications

Unspecified application

Species

Unspecified reactive species

Kai-Shun Xia,Dong-Dong Li,Cheng-Gui Wang,Li-Wei Ying,Jing-Kai Wang,Biao Yang,Jia-Wei Shu,Xian-Peng Huang,Yu-Ang Zhang,Chao Yu,Xiao-Peng Zhou,Fang-Cai Li,Nigel K H Slater,Jian-Bin Tang,Qi-Xin Chen,Cheng-Zhen Liang

Cell reports 40:111240 PubMed36001968

2022

Krüppel-like factor 5 rewires NANOG regulatory network to activate human naive pluripotency specific LTR7Ys and promote naive pluripotency.

Applications

Unspecified application

Species

Unspecified reactive species

Zhipeng Ai,Xinyu Xiang,Yangquan Xiang,Iwona Szczerbinska,Yuli Qian,Xiao Xu,Chenyang Ma,Yaqi Su,Bing Gao,Hao Shen,Muhammad Nadzim Bin Ramli,Di Chen,Yue Liu,Jia-Jie Hao,Huck Hui Ng,Dan Zhang,Yun-Shen Chan,Wanlu Liu,Hongqing Liang

Gene 842:146800 PubMed35961432

2022

Epigenetic remodeling of downstream enhancer regions is linked to selective expression of the IL1F10 gene in differentiated human keratinocytes.

Applications

Unspecified application

Species

Unspecified reactive species

Dominique Talabot-Ayer,Alejandro Diaz-Barreiro,Ali Modarressi,Gaby Palmer

Cell death discovery 8:166 PubMed35383144

2022

DUB3/KLF4 combats tumor growth and chemoresistance in hepatocellular carcinoma.

Applications

Unspecified application

Species

Unspecified reactive species

Xuebing Jia,Lei Li,Fan Wang,Ying Xue,Tongde Wu,Qianqian Jia,Yunhui Li,Chenming Wu,Yuping Chen,Jinhuan Wu,Yang Su,Xinshu Wang,Tao Zhuang,Xiao Dong,Jing Ling,Jian Yuan,Qi Li
View all publications

Product promise

We are committed to supporting your work with high-quality reagents, and we're here for you every step of the way. In the unlikely event that one of our products does not perform as expected, you're protected by our Product Promise.
For full details, please see our Terms & Conditions

Please note: All products are 'FOR RESEARCH USE ONLY. NOT FOR USE IN DIAGNOSTIC OR THERAPEUTIC PROCEDURES'.

For licensing inquiries, please contact partnerships@abcam.com