JavaScript is disabled in your browser. Please enable JavaScript to view this website.
AB216968

Anti-KLF4 antibody

Be the first to review this product! Submit a review

|

(1 Publication)

Rabbit Polyclonal KLF4 antibody. Suitable for IHC-P, WB and reacts with Human samples. Cited in 1 publication. Immunogen corresponding to Synthetic Peptide within Human KLF4 aa 400-500 conjugated to Keyhole Limpet Haemocyanin.

View Alternative Names

EZF, GKLF, KLF4, Krueppel-like factor 4, Epithelial zinc finger protein EZF, Gut-enriched krueppel-like factor

2 Images
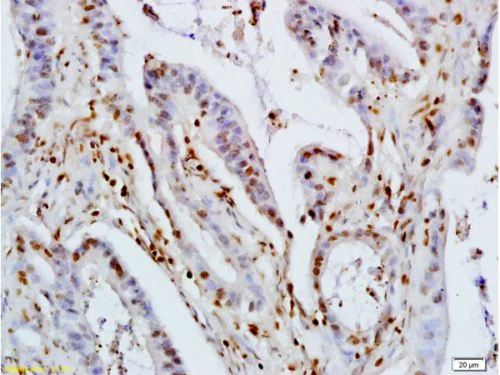
Immunohistochemistry (Formalin/PFA-fixed paraffin-embedded sections) - Anti-KLF4 antibody (AB216968)
  • IHC-P

Supplier Data

Immunohistochemistry (Formalin/PFA-fixed paraffin-embedded sections) - Anti-KLF4 antibody (AB216968)

Immunohistochemical analysis of formalin-fixed paraffin-embedded Human colon carcinoma tissue, labeling KLF4 using ab216968 at a 1/200 dilution, followed by conjugation to the secondary antibody and DAB staining.

Western blot - Anti-KLF4 antibody (AB216968)
  • WB

Supplier Data

Western blot - Anti-KLF4 antibody (AB216968)

All lanes:

Western blot - Anti-KLF4 antibody (ab216968) at 1/200 dilution

Lane 1:

rat kidney lysate

Lane 2:

Human colon carcinoma lysate

Secondary

All lanes:

Goat Anti-Rabbit IgG Antibody (H+L), HRP Conjugated at 1/3000 dilution

Predicted band size: 54 kDa

Observed band size: 56 kDa

true

Key facts

Host species

Rabbit

Clonality

Polyclonal

Isotype

IgG

Carrier free

No

Reacts with

Human

Applications

WB, IHC-P

applications

Immunogen

Synthetic Peptide within Human KLF4 aa 400-500 conjugated to Keyhole Limpet Haemocyanin. The exact immunogen used to generate this antibody is proprietary information.

O43474

Reactivity data

{ "title": "Reactivity Data", "filters": { "stats": ["", "Species", "Dilution Info", "Notes"], "tabs": { "all-applications": {"fullname" : "All Applications", "shortname": "All Applications"}, "IHCP" : {"fullname" : "Immunohistochemistry (Formalin/PFA-fixed paraffin-embedded sections)", "shortname":"IHC-P"}, "WB" : {"fullname" : "Western blot", "shortname":"WB"} }, "product-promise": { "all": "all", "testedAndGuaranteed": "tested", "guaranteed": "expected", "predicted": "predicted", "notRecommended": "not-recommended" } }, "values": { "Human": { "IHCP-species-checked": "testedAndGuaranteed", "IHCP-species-dilution-info": "1/100 - 1/500", "IHCP-species-notes": "<p></p> Perform heat-mediated antigen retrieval with citrate buffer pH 6 before commencing with IHC staining protocol.", "WB-species-checked": "testedAndGuaranteed", "WB-species-dilution-info": "", "WB-species-notes": "<p></p>" }, "Mouse": { "IHCP-species-checked": "predicted", "IHCP-species-dilution-info": "", "IHCP-species-notes": "", "WB-species-checked": "predicted", "WB-species-dilution-info": "", "WB-species-notes": "" } } }

Properties and storage information

Form
Liquid
Purification technique
Affinity purification Protein A
Storage buffer
pH: 7.4 Preservative: 0.02% Proclin 300 Constituents: 50% Glycerol (glycerin, glycerine), 48.98% TBS, 1X, 1% BSA
Shipped at conditions
Blue Ice
Appropriate short-term storage duration
1-2 weeks
Appropriate short-term storage conditions
+4°C
Appropriate long-term storage conditions
-20°C
Aliquoting information
Upon delivery aliquot
Storage information
Avoid freeze / thaw cycle

Supplementary information

This supplementary information is collated from multiple sources and compiled automatically.

KLF4 also known as Kruppel-like factor 4 acts as a transcription factor involved in the regulation of gene expression. It has a molecular weight of approximately 55-60 kDa. Researchers often find KLF4 expressed in epithelial tissues such as the skin and gastrointestinal tract. It regulates cellular processes like differentiation proliferation and apoptosis playing a role in maintaining homeostasis and cell identity.
Biological function summary

KLF4 impacts cell differentiation and proliferation through its role as a transcription factor. It functions within several cellular complexes and interacts with other transcription factors to modulate gene expression. KLF4 regulates stem cell maintenance by influencing gene networks involved in self-renewal and differentiation contributing particularly to pluripotency in embryonic stem cells.

Pathways

The transcriptional activity of KLF4 integrates into key signaling pathways like the Wnt/β-catenin and Notch pathways. Within the Wnt/β-catenin pathway KLF4 may cooperate with β-catenin and TCF/LEF transcription factors to modulate gene targets. Similarly in the Notch signaling pathway KLF4 interacts with pathway components to influence cell fate decisions. These interactions highlight KLF4's central role in orchestrating complex signaling networks.

Mutations or dysregulated expression of KLF4 associates with various conditions including colorectal cancer and skin disorders like atopic dermatitis. In colorectal cancer KLF4 often interacts with other oncogenes and tumor suppressor proteins such as p53 to influence tumorigenesis. In skin disorders altered KLF4 expression can impact skin barrier function and inflammatory responses connecting it with proteins involved in immune response regulation.

Product protocols

For this product, it's our understanding that no specific protocols are required. You can visit:

Target data

Transcription factor; can act both as activator and as repressor. Binds the 5'-CACCC-3' core sequence. Binds to the promoter region of its own gene and can activate its own transcription. Regulates the expression of key transcription factors during embryonic development. Plays an important role in maintaining embryonic stem cells, and in preventing their differentiation. Required for establishing the barrier function of the skin and for postnatal maturation and maintenance of the ocular surface. Involved in the differentiation of epithelial cells and may also function in skeletal and kidney development. Contributes to the down-regulation of p53/TP53 transcription.
See full target information KLF4

Publications (1)

Recent publications for all applications. Explore the full list and refine your search

Bioengineered 13:8101-8114 PubMed35313782

2022

Neuropeptide Y in the amygdala contributes to neuropathic pain-like behaviors in rats the neuropeptide Y receptor type 2/mitogen-activated protein kinase axis.

Applications

Unspecified application

Species

Unspecified reactive species

Wenhui Yan,Wuchao Liu,Junlu Wu,Lipei Wu,Shihai Xuan,Weiwei Wang,Anquan Shang
View all publications

Product promise

We are committed to supporting your work with high-quality reagents, and we're here for you every step of the way. In the unlikely event that one of our products does not perform as expected, you're protected by our Product Promise.
For full details, please see our Terms & Conditions

Please note: All products are 'FOR RESEARCH USE ONLY. NOT FOR USE IN DIAGNOSTIC OR THERAPEUTIC PROCEDURES'.

For licensing inquiries, please contact partnerships@abcam.com