JavaScript is disabled in your browser. Please enable JavaScript to view this website.
AB222235

Anti-KLF4 antibody [EPR19590] - BSA and Azide free

1

(1 Review)

|

(1 Publication)

Rabbit Recombinant Monoclonal KLF4 antibody. Carrier free. Suitable for IP, WB, ICC/IF, Flow Cyt (Intra), IHC-P, ChIP-seq and reacts with Human samples. Cited in 1 publication.

View Alternative Names

EZF, GKLF, KLF4, Krueppel-like factor 4, Epithelial zinc finger protein EZF, Gut-enriched krueppel-like factor

9 Images
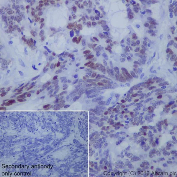
Immunohistochemistry (Formalin/PFA-fixed paraffin-embedded sections) - Anti-KLF4 antibody [EPR19590] - BSA and Azide free (AB222235)
  • IHC-P

Supplier Data

Immunohistochemistry (Formalin/PFA-fixed paraffin-embedded sections) - Anti-KLF4 antibody [EPR19590] - BSA and Azide free (AB222235)

Immunohistochemical analysis of paraffin-embedded human seminoma tissue labeling KLF4 with ab215036 at 1/2000 dilution, followed by Goat Anti-Rabbit IgG H&L (HRP) at 1/500 dilution.

Nuclear staining on tumor cells of human seminoma is observed [PMID : 17614846].

Counter stained with Hematoxylin.

Secondary antibody only control : Used PBS instead of primary antibody, secondary antibody is Goat Anti-Rabbit IgG H&L (HRP) at 1/500 dilution.

This data was developed using the same antibody clone in a different buffer formulation containing PBS, BSA, glycerol, and sodium azide (ab215036).

Perform heat mediated antigen retrieval with Tris/EDTA buffer pH 9.0 before commencing with IHC staining protocol.

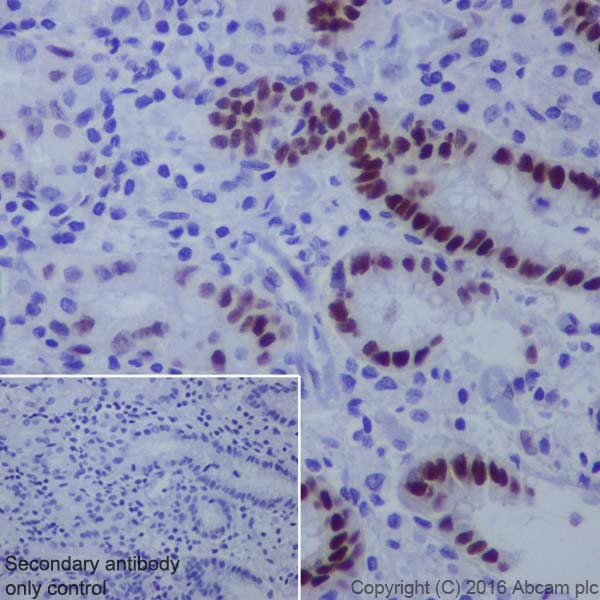
Immunohistochemistry (Formalin/PFA-fixed paraffin-embedded sections) - Anti-KLF4 antibody [EPR19590] - BSA and Azide free (AB222235)
  • IHC-P

Supplier Data

Immunohistochemistry (Formalin/PFA-fixed paraffin-embedded sections) - Anti-KLF4 antibody [EPR19590] - BSA and Azide free (AB222235)

Immunohistochemical analysis of paraffin-embedded human gastric cancer tissue labeling KLF4 with ab215036 at 1/2000 dilution, followed by Goat Anti-Rabbit IgG H&L (HRP) at 1/500 dilution.

Nuclear staining on tumor cells of human gastric cancer is observed [PMID : 17614846].

Counter stained with Hematoxylin.

Secondary antibody only control : Used PBS instead of primary antibody, secondary antibody is Goat Anti-Rabbit IgG H&L (HRP) at 1/500 dilution.

This data was developed using the same antibody clone in a different buffer formulation containing PBS, BSA, glycerol, and sodium azide (ab215036).

Perform heat mediated antigen retrieval with Tris/EDTA buffer pH 9.0 before commencing with IHC staining protocol.

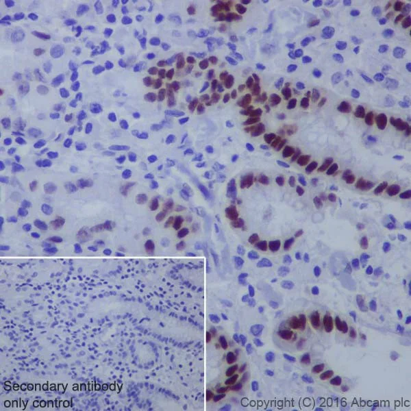
Immunohistochemistry (Formalin/PFA-fixed paraffin-embedded sections) - Anti-KLF4 antibody [EPR19590] - BSA and Azide free (AB222235)
  • IHC-P

Supplier Data

Immunohistochemistry (Formalin/PFA-fixed paraffin-embedded sections) - Anti-KLF4 antibody [EPR19590] - BSA and Azide free (AB222235)

Immunohistochemical analysis of paraffin-embedded human stomach tissue labeling KLF4 with ab215036 at 1/2000 dilution, followed by Goat Anti-Rabbit IgG H&L (HRP) at 1/500 dilution.

Nuclear staining on human stomach is observed.

Counter stained with Hematoxylin.

Secondary antibody only control : Used PBS instead of primary antibody, secondary antibody is Goat Anti-Rabbit IgG H&L (HRP) at 1/500 dilution.

This data was developed using the same antibody clone in a different buffer formulation containing PBS, BSA, glycerol, and sodium azide (ab215036).

Perform heat mediated antigen retrieval with Tris/EDTA buffer pH 9.0 before commencing with IHC staining protocol.

Flow Cytometry (Intracellular) - Anti-KLF4 antibody [EPR19590] - BSA and Azide free (AB222235)
  • Flow Cyt (Intra)

Supplier Data

Flow Cytometry (Intracellular) - Anti-KLF4 antibody [EPR19590] - BSA and Azide free (AB222235)

Intracellular flow cytometric analysis of 4% paraformaldehyde-fixed NCCIT (Human pluripotent embryonic carcinoma cell line) cells labeling KLF4 with ab215036 at 1/50 dilution (red) compared with a rabbit monoclonal IgG isotype control (ab172730; black) and an unlabelled control (cells without incubation with primary antibody and secondary antibody; blue). Goat anti rabbit IgG (Alexa Fluor® 488) at 1/2000 dilution was used as the secondary antibody.

This data was developed using the same antibody clone in a different buffer formulation containing PBS, BSA, glycerol, and sodium azide (ab215036).

Immunocytochemistry/ Immunofluorescence - Anti-KLF4 antibody [EPR19590] - BSA and Azide free (AB222235)
  • ICC/IF

Supplier Data

Immunocytochemistry/ Immunofluorescence - Anti-KLF4 antibody [EPR19590] - BSA and Azide free (AB222235)

Immunofluorescent analysis of 4% paraformaldehyde-fixed, 0.1% Triton X-100 permeabilized NCCIT (Human pluripotent embryonic carcinoma cell line) cells labeling KLF4 with ab215036 at 1/100 dilution, followed by Goat anti-rabbit IgG (Alexa Fluor® 488) (ab150077) secondary antibody at 1/1000 dilution (green).

Confocal image showing nuclear staining on NCCIT cell line.

The nuclear counterstain is DAPI (blue).

Tubulin is detected with ab195889 (Anti-alpha Tubulin antibody [DM1A] - Microtubule Marker (Alexa Fluor® 594)) at 1/200 dilution (red).

Secondary antibody only control : Used PBS instead of primary antibody, secondary antibody is Goat anti-rabbit IgG (Alexa Fluor® 488) (ab150077) at 1/1000 dilution.

This data was developed using the same antibody clone in a different buffer formulation containing PBS, BSA, glycerol, and sodium azide (ab215036).

ChIP-sequencing - Anti-KLF4 antibody [EPR19590] - BSA and Azide free (AB222235)
  • ChIP-seq

Lab

ChIP-sequencing - Anti-KLF4 antibody [EPR19590] - BSA and Azide free (AB222235)

This data was developed using the same antibody clone in a different buffer formulation (ab215036).

Chromatin was prepared from NCCIT cells. Cells were fixed with 1% formaldehyde for 10 minutes. ChIP was performed with 107 cells and 8 µg of ab215036 [EPR19590]. ChIP DNA was sequenced on the Illumina NovaSeq 6000 to a depth of 30 million reads. The input control is also shown.

ChIP-sequencing - Anti-KLF4 antibody [EPR19590] - BSA and Azide free (AB222235)
  • ChIP-seq

Lab

ChIP-sequencing - Anti-KLF4 antibody [EPR19590] - BSA and Azide free (AB222235)

This data was developed using the same antibody clone in a different buffer formulation (ab215036).

Chromatin was prepared from NCCIT cells. Cells were fixed with 1% formaldehyde for 10 minutes. ChIP was performed with 107 cells and 8 µg of ab215036 [EPR19590]. ChIP DNA was sequenced on the Illumina NovaSeq 6000 to a depth of 30 million reads. The input control is also shown.

ChIP-sequencing - Anti-KLF4 antibody [EPR19590] - BSA and Azide free (AB222235)
  • ChIP-seq

Lab

ChIP-sequencing - Anti-KLF4 antibody [EPR19590] - BSA and Azide free (AB222235)

This data was developed using the same antibody clone in a different buffer formulation (ab215036).

Chromatin was prepared from NCCIT cells. Cells were fixed with 1% formaldehyde for 10 minutes. ChIP was performed with 107 cells and 8 µg of ab215036 [EPR19590]. ChIP DNA was sequenced on the Illumina NovaSeq 6000 to a depth of 30 million reads. The input control is also shown.

Immunoprecipitation - Anti-KLF4 antibody [EPR19590] - BSA and Azide free (AB222235)
  • IP

Unknown

Immunoprecipitation - Anti-KLF4 antibody [EPR19590] - BSA and Azide free (AB222235)

ab215036 (purified) at 1/30 dilution immunoprecipitating KLF4 in NCCIT whole cell lysate.
Lane 1 (input) : NCCIT (Human pluripotent embryonic carcinoma epithelial cell) whole cell lysate 10 μg
Lane 2 (+) : ab215036 & NCCIT whole cell lysate
Lane 3 (-) : Rabbit monoclonal IgG (ab172730) instead of ab215036 in NCCIT whole cell lysate
For western blotting, ab215036 at 1/500 dilution (0.117 μg/ml) and veriBlot for IP secondary antibody (HRP) (ab131366) was used at 1/1000 dilution were used.
Blocking and diluting buffer : 5% NFDM /TBST .
This data was developed using the same antibody clone in a different buffer formulation containing PBS, BSA, glycerol, and sodium azide (ab215036)

All lanes:

Immunoprecipitation - Anti-KLF4 antibody [EPR19590] (<a href='/en-us/products/primary-antibodies/klf4-antibody-epr19590-ab215036'>ab215036</a>)

Predicted band size: 15 kDa,54 kDa

false

  • Unconjugated

    Anti-KLF4 antibody [EPR19590]

  • 665 Alexa Fluor® 647

    Alexa Fluor® 647 Anti-KLF4 antibody [EPR19590]

  • Carrier free

    Anti-KLF4 antibody [EPR19590] - BSA and Azide free (Detector)

  • Biotin

    Biotin Anti-KLF4 antibody [EPR19590] (Detector)

Key facts

Host species

Rabbit

Clonality

Monoclonal

Clone number

EPR19590

Isotype

IgG

Carrier free

Yes

Reacts with

Human

Applications

IHC-P, ICC/IF, WB, Flow Cyt (Intra), ChIP-seq, IP

applications

Immunogen

The exact immunogen used to generate this antibody is proprietary information.

Reactivity data

{ "title": "Reactivity Data", "filters": { "stats": ["", "Species", "Dilution Info", "Notes"], "tabs": { "all-applications": {"fullname" : "All Applications", "shortname": "All Applications"}, "IP" : {"fullname" : "Immunoprecipitation", "shortname":"IP"}, "WB" : {"fullname" : "Western blot", "shortname":"WB"}, "ICCIF" : {"fullname" : "Immunocytochemistry/ Immunofluorescence", "shortname":"ICC/IF"}, "FlowCytIntra" : {"fullname" : "Flow Cytometry (Intracellular)", "shortname":"Flow Cyt (Intra)"}, "IHCP" : {"fullname" : "Immunohistochemistry (Formalin/PFA-fixed paraffin-embedded sections)", "shortname":"IHC-P"}, "ChIPseq" : {"fullname" : "ChIP-sequencing", "shortname":"ChIP-seq"} }, "product-promise": { "all": "all", "testedAndGuaranteed": "tested", "guaranteed": "expected", "predicted": "predicted", "notRecommended": "not-recommended" } }, "values": { "Human": { "IP-species-checked": "testedAndGuaranteed", "IP-species-dilution-info": "", "IP-species-notes": "<p></p>", "WB-species-checked": "guaranteed", "WB-species-dilution-info": "", "WB-species-notes": "<p></p>", "ICCIF-species-checked": "testedAndGuaranteed", "ICCIF-species-dilution-info": "", "ICCIF-species-notes": "<p></p>", "FlowCytIntra-species-checked": "testedAndGuaranteed", "FlowCytIntra-species-dilution-info": "", "FlowCytIntra-species-notes": "<p></p>", "IHCP-species-checked": "testedAndGuaranteed", "IHCP-species-dilution-info": "", "IHCP-species-notes": "<p></p>", "ChIPseq-species-checked": "testedAndGuaranteed", "ChIPseq-species-dilution-info": "", "ChIPseq-species-notes": "<p></p>" } } }

Product details

ab222235 is the carrier-free version of ab215036.

Patented technology
Our RabMAb® technology is a patented hybridoma-based technology for making rabbit monoclonal antibodies. For details on our patents, please refer to RabMAb® patents.

Conjugation ready
Our carrier-free antibodies are typically supplied in a PBS-only formulation, purified and free of BSA, sodium azide and glycerol. This conjugation-ready format is designed for use with fluorochromes, metal isotopes, oligonucleotides, and enzymes, which makes them ideal for antibody labelling, functional and cell-based assays, flow-based assays (e.g. mass cytometry) and Multiplex Imaging applications.

Use our conjugation kits for antibody conjugates that are ready-to-use in as little as 20 minutes with 1 minute hands-on-time and 100% antibody recovery: available for fluorescent dyes, HRP, biotin and gold.

Compatibility
This product is compatible with the Maxpar® Antibody Labeling Kit from Fluidigm, without the need for antibody preparation. Maxpar® is a trademark of Fluidigm Canada Inc.

Properties and storage information

Form
Liquid
Purification technique
Affinity purification Protein A
Storage buffer
pH: 7.2 - 7.4 Constituents: PBS
Shipped at conditions
Blue Ice
Appropriate short-term storage conditions
+4°C
Appropriate long-term storage conditions
+4°C
Storage information
Do Not Freeze

Supplementary information

This supplementary information is collated from multiple sources and compiled automatically.

KLF4 also known as Kruppel-like factor 4 acts as a transcription factor involved in the regulation of gene expression. It has a molecular weight of approximately 55-60 kDa. Researchers often find KLF4 expressed in epithelial tissues such as the skin and gastrointestinal tract. It regulates cellular processes like differentiation proliferation and apoptosis playing a role in maintaining homeostasis and cell identity.
Biological function summary

KLF4 impacts cell differentiation and proliferation through its role as a transcription factor. It functions within several cellular complexes and interacts with other transcription factors to modulate gene expression. KLF4 regulates stem cell maintenance by influencing gene networks involved in self-renewal and differentiation contributing particularly to pluripotency in embryonic stem cells.

Pathways

The transcriptional activity of KLF4 integrates into key signaling pathways like the Wnt/β-catenin and Notch pathways. Within the Wnt/β-catenin pathway KLF4 may cooperate with β-catenin and TCF/LEF transcription factors to modulate gene targets. Similarly in the Notch signaling pathway KLF4 interacts with pathway components to influence cell fate decisions. These interactions highlight KLF4's central role in orchestrating complex signaling networks.

Mutations or dysregulated expression of KLF4 associates with various conditions including colorectal cancer and skin disorders like atopic dermatitis. In colorectal cancer KLF4 often interacts with other oncogenes and tumor suppressor proteins such as p53 to influence tumorigenesis. In skin disorders altered KLF4 expression can impact skin barrier function and inflammatory responses connecting it with proteins involved in immune response regulation.

Product protocols

For this product, it's our understanding that no specific protocols are required. You can visit:

Target data

Transcription factor; can act both as activator and as repressor. Binds the 5'-CACCC-3' core sequence. Binds to the promoter region of its own gene and can activate its own transcription. Regulates the expression of key transcription factors during embryonic development. Plays an important role in maintaining embryonic stem cells, and in preventing their differentiation. Required for establishing the barrier function of the skin and for postnatal maturation and maintenance of the ocular surface. Involved in the differentiation of epithelial cells and may also function in skeletal and kidney development. Contributes to the down-regulation of p53/TP53 transcription.
See full target information KLF4

Publications (1)

Recent publications for all applications. Explore the full list and refine your search

Oncology reports 44:1627-1637 PubMed32945512

2020

MicroRNA‑137 exerts protective effects on hypoxia‑induced cell injury by inhibiting autophagy/mitophagy and maintaining mitochondrial function in breast cancer stem‑like cells.

Applications

Unspecified application

Species

Unspecified reactive species

Qiongying Hu,Yun Yuan,Yeke Wu,Yongliang Huang,Ziyi Zhao,Chong Xiao
View all publications

Product promise

We are committed to supporting your work with high-quality reagents, and we're here for you every step of the way. In the unlikely event that one of our products does not perform as expected, you're protected by our Product Promise.
For full details, please see our Terms & Conditions

Please note: All products are 'FOR RESEARCH USE ONLY. NOT FOR USE IN DIAGNOSTIC OR THERAPEUTIC PROCEDURES'.

For licensing inquiries, please contact partnerships@abcam.com