JavaScript is disabled in your browser. Please enable JavaScript to view this website.
AB243805

Anti-KLHL32 antibody

Be the first to review this product! Submit a review

|

(0 Publication)

Rabbit Polyclonal KLHL32 antibody. Suitable for IHC-P and reacts with Human samples. Immunogen corresponding to Recombinant Fragment Protein within Human KLHL32 aa 200-300.

View Alternative Names

BKLHD5, KIAA1900, KLHL32, Kelch-like protein 32, BTB and kelch domain-containing protein 5

2 Images
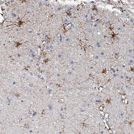
Immunohistochemistry (Formalin/PFA-fixed paraffin-embedded sections) - Anti-KLHL32 antibody (AB243805)
  • IHC-P

Supplier Data

Immunohistochemistry (Formalin/PFA-fixed paraffin-embedded sections) - Anti-KLHL32 antibody (AB243805)

Formalin-fixed, paraffin-embedded human cerebral cortex tissue stained for KLHL32 using ab243805 at 1/200 dilution in immunohistochemical analysis.

Immunohistochemistry (Formalin/PFA-fixed paraffin-embedded sections) - Anti-KLHL32 antibody (AB243805)
  • IHC-P

Supplier Data

Immunohistochemistry (Formalin/PFA-fixed paraffin-embedded sections) - Anti-KLHL32 antibody (AB243805)

Formalin-fixed, paraffin-embedded human tonsil tissue stained for KLHL32 using ab243805 at 1/200 dilution in immunohistochemical analysis. Low expression, as expected.

Key facts

Host species

Rabbit

Clonality

Polyclonal

Isotype

IgG

Carrier free

No

Reacts with

Human

Applications

IHC-P

applications

Immunogen

Recombinant Fragment Protein within Human KLHL32 aa 200-300. The exact immunogen used to generate this antibody is proprietary information.

Q96NJ5

Reactivity data

{ "title": "Reactivity Data", "filters": { "stats": ["", "Species", "Dilution Info", "Notes"], "tabs": { "all-applications": {"fullname" : "All Applications", "shortname": "All Applications"}, "IHCP" : {"fullname" : "Immunohistochemistry (Formalin/PFA-fixed paraffin-embedded sections)", "shortname":"IHC-P"} }, "product-promise": { "all": "all", "testedAndGuaranteed": "tested", "guaranteed": "expected", "predicted": "predicted", "notRecommended": "not-recommended" } }, "values": { "Human": { "IHCP-species-checked": "testedAndGuaranteed", "IHCP-species-dilution-info": "1/200 - 1/500", "IHCP-species-notes": "<p></p> Perform heat-mediated antigen retrieval with citrate buffer pH 6 before commencing with IHC staining protocol." } } }

Properties and storage information

Form
Liquid
Purification technique
Affinity purification Immunogen
Storage buffer
pH: 7.2 Preservative: 0.02% Sodium azide Constituents: PBS, 40% Glycerol (glycerin, glycerine)
Shipped at conditions
Blue Ice
Appropriate short-term storage duration
1-2 weeks
Appropriate short-term storage conditions
+4°C
Appropriate long-term storage conditions
-20°C
Aliquoting information
Upon delivery aliquot
Storage information
Avoid freeze / thaw cycle

Supplementary information

This supplementary information is collated from multiple sources and compiled automatically.

KLHL32 also known as Kelch-like protein 32 functions as a part of the Kelch-like protein family characterized by Kelch repeats. This protein exhibits a mass of approximately 63 kDa. KLHL32 plays a significant role in substrate recognition and ubiquitination as it functions as an adaptor in a Cullin-RING E3 ubiquitin ligase complex. This protein is mainly found in various tissues with significant expression noted in muscle tissue and the nervous system hinting at its involvement in critical biological processes.
Biological function summary

KLHL32 associates with the regulation of protein degradation impacting cellular homeostasis and response to stress. This protein forms part of the complex networks involved in targeting specific substrates for ubiquitination. By promoting protein turnover KLHL32 influences various cellular processes notably including cell cycle progression and signal transduction. The protein's ability to guide ubiquitin-mediated proteolysis highlights its involvement in maintaining a balance between protein synthesis and degradation.

Pathways

KLHL32 participates in the ubiquitin-proteasome system and relates to the signaling pathways involved in cell cycle control and apoptosis. Its interaction with proteins such as Cullin-3 in the E3 ligase complex positions KLHL32 as an influencer of cellular growth and differentiation processes. This connection positions KLHL32 within essential pathways including the regulation of NF-kB signaling and the MAPK signaling pathways highlighting its role in cellular response mechanisms to stress and DNA damage.

Alterations in KLHL32 expression and function have been linked to neurodegenerative disorders and muscular dystrophies. Abnormalities in its function or regulation could potentially disrupt the balance of protein turnover leading to disease pathology. In certain conditions KLHL32 may associate with malfunctioning of proteins like Dysferlin in muscular dystrophies or Tau in neurodegenerative diseases. Understanding KLHL32's interactions and its impact on disease mechanisms could further facilitate the development of targeted therapies for related conditions.

Product protocols

For this product, it's our understanding that no specific protocols are required. You can visit:

Product promise

We are committed to supporting your work with high-quality reagents, and we're here for you every step of the way. In the unlikely event that one of our products does not perform as expected, you're protected by our Product Promise.
For full details, please see our Terms & Conditions

Please note: All products are 'FOR RESEARCH USE ONLY. NOT FOR USE IN DIAGNOSTIC OR THERAPEUTIC PROCEDURES'.

For licensing inquiries, please contact partnerships@abcam.com