JavaScript is disabled in your browser. Please enable JavaScript to view this website.
AB245380

Anti-KMT1A / SUV39H1 antibody

Be the first to review this product! Submit a review

|

(2 Publications)

Rabbit Polyclonal KMT1A / SUV39H1 antibody. Suitable for IP, WB and reacts with Human samples. Cited in 2 publications. Immunogen corresponding to Synthetic Peptide within Human SUV39H1 aa 1-100.

View Alternative Names

KMT1A, SUV39H, SUV39H1, Histone-lysine N-methyltransferase SUV39H1, Histone H3-K9 methyltransferase 1, Lysine N-methyltransferase 1A, Position-effect variegation 3-9 homolog, Suppressor of variegation 3-9 homolog 1, H3-K9-HMTase 1, Su(var)3-9 homolog 1

2 Images
Immunoprecipitation - Anti-KMT1A / SUV39H1 antibody (AB245380)
  • IP

Supplier Data

Immunoprecipitation - Anti-KMT1A / SUV39H1 antibody (AB245380)

KMT1A / SUV39H1 was immunoprecipitated from HeLa (Human epithelial cell line from cervix adenocarcinoma) whole cell lysate (1 mg per IP reaction; 20% of IP loaded).

ab245380 used for IP at 10 μg/mg lysate. For WB 1 μg/ml.

Lane 1 : ab245380 IP in HeLa whole cell lysate.
Lane 2 : Control IgG IP in HeLa whole cell lysate.

Chemiluminescence detection : 30 seconds.

All lanes:

Immunoprecipitation - Anti-KMT1A / SUV39H1 antibody (ab245380)

Predicted band size: 47 kDa

false

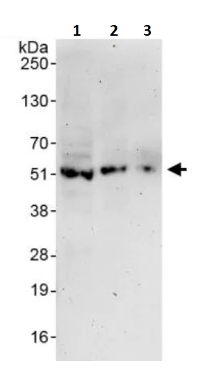
Western blot - Anti-KMT1A / SUV39H1 antibody (AB245380)
  • WB

Supplier Data

Western blot - Anti-KMT1A / SUV39H1 antibody (AB245380)

All lanes:

Western blot - Anti-KMT1A / SUV39H1 antibody (ab245380) at 0.04 µg/mL

Lane 1:

HeLa (Human epithelial cell line from cervix adenocarcinoma) whole cell lysate at 50 µg

Lane 2:

HeLa whole cell lysate at 15 µg

Lane 3:

HeLa whole cell lysate at 5 µg

Predicted band size: 47 kDa

true

Exposure time: 3min

Key facts

Host species

Rabbit

Clonality

Polyclonal

Isotype

IgG

Carrier free

No

Reacts with

Human

Applications

WB, IP

applications

Immunogen

Synthetic Peptide within Human SUV39H1 aa 1-100. The exact immunogen used to generate this antibody is proprietary information.

O43463

Reactivity data

{ "title": "Reactivity Data", "filters": { "stats": ["", "Species", "Dilution Info", "Notes"], "tabs": { "all-applications": {"fullname" : "All Applications", "shortname": "All Applications"}, "IP" : {"fullname" : "Immunoprecipitation", "shortname":"IP"}, "WB" : {"fullname" : "Western blot", "shortname":"WB"} }, "product-promise": { "all": "all", "testedAndGuaranteed": "tested", "guaranteed": "expected", "predicted": "predicted", "notRecommended": "not-recommended" } }, "values": { "Human": { "IP-species-checked": "testedAndGuaranteed", "IP-species-dilution-info": "5-10 µg/mg of lysate", "IP-species-notes": "<p></p>", "WB-species-checked": "testedAndGuaranteed", "WB-species-dilution-info": "1/2000 - 1/10000", "WB-species-notes": "<p></p>" }, "Cow": { "IP-species-checked": "predicted", "IP-species-dilution-info": "", "IP-species-notes": "", "WB-species-checked": "predicted", "WB-species-dilution-info": "", "WB-species-notes": "" }, "Orangutan": { "IP-species-checked": "predicted", "IP-species-dilution-info": "", "IP-species-notes": "", "WB-species-checked": "predicted", "WB-species-dilution-info": "", "WB-species-notes": "" } } }

Properties and storage information

Form
Liquid
Purification technique
Affinity purification Immunogen
Purification notes
ab245380 was affinity purified using an epitope specific to KMT1A immobilized on solid support.
Storage buffer
pH: 6.8 - 7.4 Preservative: 0.09% Sodium azide Constituents: Tris buffered saline, 0.1% BSA
Shipped at conditions
Blue Ice
Appropriate short-term storage duration
1-2 weeks
Appropriate short-term storage conditions
+4°C
Appropriate long-term storage conditions
+4°C
Aliquoting information
Upon delivery aliquot
Storage information
Avoid freeze / thaw cycle

Supplementary information

This supplementary information is collated from multiple sources and compiled automatically.

KMT1A also known as SUV39H1 is a well-studied histone methyltransferase responsible for trimethylating histone H3 at lysine 9 (H3K9me3) an important marker for heterochromatin formation. This enzyme plays a critical role in chromatin organization and gene regulation. KMT1A has a molecular weight of approximately 48 kDa. Researchers have observed its expression across a range of tissues including the brain heart and muscle which suggests its importance in various physiological processes.
Biological function summary

KMT1A functions as part of a Suv39H1/HP1 complex that maintains the integrity of pericentric heterochromatin essential for chromosome stability during cell division. Its influence extends over the transcriptional silencing of specific genes by modifying chromatin structure to a closed state. KMT1A also collaborates with other proteins like HP1 to silence repetitive elements and prevent genomic instability which is often important for safeguarding genomic fidelity in cells.

Pathways

Researchers identify KMT1A as a significant player in the regulation of epigenetic pathways particularly the histone methylation process. It interacts closely with other histone methyltransferases and demethylases contributing to a dynamic epigenetic landscape that controls gene expression. Additionally KMT1A is involved in the DNA damage response pathway in collaboration with proteins like ATM which coordinates repair mechanisms to maintain genetic stability and respond to cellular stress.

Researchers have linked KMT1A with cancer and neurodegenerative diseases such as Huntington’s disease. Abnormal expression or function of KMT1A can lead to disrupted heterochromatin structure and uncontrolled gene expression which contributes to tumorigenesis. Furthermore in the context of neurodegenerative conditions interactions with proteins such as HTT can exacerbate neuronal damage and cell death. Studying these associations provides insights into potential therapeutic targets for managing such diseases.

Product protocols

For this product, it's our understanding that no specific protocols are required. You can visit:

Target data

Histone methyltransferase that specifically trimethylates 'Lys-9' of histone H3 using monomethylated H3 'Lys-9' as substrate. Also weakly methylates histone H1 (in vitro). H3 'Lys-9' trimethylation represents a specific tag for epigenetic transcriptional repression by recruiting HP1 (CBX1, CBX3 and/or CBX5) proteins to methylated histones. Mainly functions in heterochromatin regions, thereby playing a central role in the establishment of constitutive heterochromatin at pericentric and telomere regions. H3 'Lys-9' trimethylation is also required to direct DNA methylation at pericentric repeats. SUV39H1 is targeted to histone H3 via its interaction with RB1 and is involved in many processes, such as repression of MYOD1-stimulated differentiation, regulation of the control switch for exiting the cell cycle and entering differentiation, repression by the PML-RARA fusion protein, BMP-induced repression, repression of switch recombination to IgA and regulation of telomere length. Component of the eNoSC (energy-dependent nucleolar silencing) complex, a complex that mediates silencing of rDNA in response to intracellular energy status and acts by recruiting histone-modifying enzymes. The eNoSC complex is able to sense the energy status of cell : upon glucose starvation, elevation of NAD(+)/NADP(+) ratio activates SIRT1, leading to histone H3 deacetylation followed by dimethylation of H3 at 'Lys-9' (H3K9me2) by SUV39H1 and the formation of silent chromatin in the rDNA locus. Recruited by the large PER complex to the E-box elements of the circadian target genes such as PER2 itself or PER1, contributes to the conversion of local chromatin to a heterochromatin-like repressive state through H3 'Lys-9' trimethylation.. (Microbial infection) Plays a role in defense against mycobacterial infections. Methylates M.tuberculosis HupB on 'Lys-140', probably methylates HupB of M.bovis also. Methylation has an inhibitory effect on mycobacterial growth in the host. Macrophages expressing about 60% SUV39H1 are slightly more susceptible to M.bovis or M.tuberculosis infection. Chaetocin (an inhibitor of this enzyme) increases macrophage survival of M.tuberculosis. This protein inhibits biofilm formation by M.tuberculosis via 'Lys-140' trimethylation.
See full target information SUV39H1

Publications (2)

Recent publications for all applications. Explore the full list and refine your search

Open life sciences 20:20251063 PubMed40092733

2025

IL-11 promotes Ang II-induced autophagy inhibition and mitochondrial dysfunction in atrial fibroblasts.

Applications

Unspecified application

Species

Unspecified reactive species

Jun Wang,Qianyu Zhang,Yunjie Han,Jun Zhang,Nan Zheng

International journal of molecular sciences 24: PubMed37629054

2023

Insights into the Mechanism of Curaxin CBL0137 Epigenetic Activity: The Induction of DNA Demethylation and the Suppression of BET Family Proteins.

Applications

Unspecified application

Species

Unspecified reactive species

Varvara Maksimova,Valeriia Popova,Anzhelika Prus,Evgeniya Lylova,Olga Usalka,Guzel Sagitova,Ekaterina Zhidkova,Julia Makus,Ekaterina Trapeznikova,Gennady Belitsky,Marianna Yakubovskaya,Kirill Kirsanov
View all publications

Product promise

We are committed to supporting your work with high-quality reagents, and we're here for you every step of the way. In the unlikely event that one of our products does not perform as expected, you're protected by our Product Promise.
For full details, please see our Terms & Conditions

Please note: All products are 'FOR RESEARCH USE ONLY. NOT FOR USE IN DIAGNOSTIC OR THERAPEUTIC PROCEDURES'.

For licensing inquiries, please contact partnerships@abcam.com