JavaScript is disabled in your browser. Please enable JavaScript to view this website.
AB319035

Anti-KMT2B / MLL4 antibody [EPR27970-7] - C-terminal

  • Advanced Validation
  • 20ul selling size
  • Recombinant
  • RabMAb
  • What is this?

Be the first to review this product! Submit a review

|

(0 Publication)

Anti-KMT2B / MLL4 antibody [EPR27970-7] is a Rabbit Monoclonal antibody that is used in KMT2B / MLL4 ChIP-seq, Dot Blot, Western Blot. Suitable for Human, Mouse, Rat samples.

KMT2B (MLL4) is a histone methyltransferase that specifically methylates histone H3 at lysine 4 (H3K4), playing a key role in gene regulation. It is involved in chromatin remodeling and is essential for the regulation of developmental genes and stem cell differentiation. Mutations in KMT2B have been linked to various cancers and developmental disorders

View Alternative Names

HRX2, KIAA0304, MLL2, MLL4, TRX2, WBP7, KMT2B, Histone-lysine N-methyltransferase 2B, Lysine N-methyltransferase 2B, Myeloid/lymphoid or mixed-lineage leukemia protein 4, Trithorax homolog 2, WW domain-binding protein 7, WBP-7

6 Images
ChIP-sequencing - Anti-KMT2B / MLL4 antibody [EPR27970-7] - C-terminal (AB319035)
  • ChIP-seq

Lab

ChIP-sequencing - Anti-KMT2B / MLL4 antibody [EPR27970-7] - C-terminal (AB319035)

Chromatin was prepared from ES-D3 cells. Cells were fixed with 1% formaldehyde for 10 minutes. ChIP was performed with 107 cells and 8 μg of ab319035 [EPR27970-7]. ChIP DNA was sequenced on the Illumina NovaSeq 6000 to a depth of 30 million reads.

The Input control is also shown.

ChIP-sequencing - Anti-KMT2B / MLL4 antibody [EPR27970-7] - C-terminal (AB319035)
  • ChIP-seq

Lab

ChIP-sequencing - Anti-KMT2B / MLL4 antibody [EPR27970-7] - C-terminal (AB319035)

Chromatin was prepared from ES-D3 cells. Cells were fixed with 1% formaldehyde for 10 minutes. ChIP was performed with 107 cells and 8 µg of ab319035 [EPR27970-7]. ChIP DNA was sequenced on the Illumina NovaSeq 6000 to a depth of 30 million reads.

The Input control is also shown.

ChIP-sequencing - Anti-KMT2B / MLL4 antibody [EPR27970-7] - C-terminal (AB319035)
  • ChIP-seq

Lab

ChIP-sequencing - Anti-KMT2B / MLL4 antibody [EPR27970-7] - C-terminal (AB319035)

Chromatin was prepared from ES-D3 cells. Cells were fixed with 1% formaldehyde for 10 minutes. ChIP was performed with 107 cells and 8 μg of ab319035 [EPR27970-7]. ChIP DNA was sequenced on the Illumina NovaSeq 6000 to a depth of 30 million reads.

The Input control is also shown.

Western blot - Anti-KMT2B / MLL4 antibody [EPR27970-7] - C-terminal (AB319035)
  • WB

Supplier Data

Western blot - Anti-KMT2B / MLL4 antibody [EPR27970-7] - C-terminal (AB319035)

Blocking and diluting buffer and concentration : 5% NFDM/TBST.

Negative control : HCT 116.

The identity of the lower MW band at approximately 60 kDa is unknown.

Lysates were freshly made and used immediately to minimize protein degradation.

In Western blot, Anti-GAPDH antibody [EPR16891] - Loading Control (ab181602) staining at 1/200000 dilution.

Exposure time : Lanes 1-3 : 180 seconds; Lane 4 : 15 seconds; Lanes 5-12 : 103 seconds

All lanes:

Western blot - Anti-KMT2B / MLL4 antibody [EPR27970-7] - C-terminal (ab319035) at 1/1000 dilution

Lane 1:

NCCIT (human pluripotent embryonic carcinoma epithelial cell) whole cell lysate at 20 µg

Lane 2:

HCT 116 (human colorectal carcinoma epithelial cell) whole cell lysate at 20 µg

Lane 3:

HepG2 (human hepatocellular carcinoma epithelial cell) whole cell lysate at 20 µg

Lane 4:

ES-D3 D3  (mouse blastocyst-derived embryonic stem cell) whole cell lysate at 20 µg

Lane 5:

HeLa (human cervical adenocarcinoma epithelial cell) whole cell lysate at 20 µg

Lane 6:

293T (human embryonic kidney epithelial cell) whole cell lysate at 20 µg

Lane 7:

NIH/3T3 (mouse embryonic fibroblast) whole cell lysate at 20 µg

Lane 8:

PC-12 (rat adrenal gland pheochromocytoma cell) whole cell lysate at 20 µg

Lane 9:

C6 (rat glial tumor glial cell) whole cell lysate at 20 µg

Lane 10:

Neuro-2a (mouse neuroblastoma neuroblast) whole cell lysate at 20 µg

Lane 11:

U-87 MG (human glioblastoma-astrocytoma epithelial cell) whole cell lysate at 20 µg

Lane 12:

SH-SY5Y (human neuroblastoma epithelial cell) whole cell lysate at 20 µg

Secondary

All lanes:

Western blot - Goat Anti-Rabbit IgG H&L (HRP) (<a href='/en-us/products/secondary-antibodies/goat-rabbit-igg-h-l-hrp-ab97051'>ab97051</a>) at 1/20000 dilution

Observed band size: 80 kDa,36 kDa

false

Dot Blot - Anti-KMT2B / MLL4 antibody [EPR27970-7] - C-terminal (AB319035)
  • Dot

Supplier Data

Dot Blot - Anti-KMT2B / MLL4 antibody [EPR27970-7] - C-terminal (AB319035)

Dot blot analysis of KMT2B / MLL4 - C-terminal using ab319035 at 1 : 1000 (0.512 ug/ml) followed by a Goat Anti-Rabbit IgG, (H+L), Peroxidase conjugated (ab97051) at 1 : 100,000 dilution.

Lane1 : His-tagged human KMT2B / MLL4 fragment
Lane2 : His-tagged human KMT2A / MLL fragment

Blocking and diluting buffer and concentration : 5% NFDM/TBST.

This antibody does not cross-react with human KMT2A / MLL.
In dot blot, anti-6X His tag® antibody [EPR20547] - ChIP Grade (ab213204) staining at 1/5000 dilution.

All lanes:

Dot Blot - Anti-KMT2B / MLL4 antibody [EPR27970-7] - C-terminal (ab319035) at 1/1000 dilution

Lane 1:

His-tagged human KMT2B / MLL4 fragment

Lane 2:

His-tagged human KMT2A / MLL fragment

Secondary

All lanes:

Dot Blot - Goat Anti-Rabbit IgG H&L (HRP) (<a href='/en-us/products/secondary-antibodies/goat-rabbit-igg-h-l-hrp-ab97051'>ab97051</a>) at 1/100000 dilution

false

Exposure time: 180s

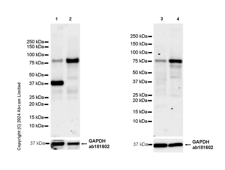
Western blot - Anti-KMT2B / MLL4 antibody [EPR27970-7] - C-terminal (AB319035)
  • WB

Supplier Data

Western blot - Anti-KMT2B / MLL4 antibody [EPR27970-7] - C-terminal (AB319035)

Blocking and diluting buffer and concentration : 5% NFDM/TBST.

Low expression : liver (PMID : 10409430).

The identity of the lower MW band at approximately 37 kDa in Lane 1 is unknown.

Lysates were freshly made and used immediately to minimize protein degradation.

In Western blot, Anti-GAPDH antibody [EPR16891] - Loading Control (ab181602) staining at 1/200000 dilution.

All lanes:

Western blot - Anti-KMT2B / MLL4 antibody [EPR27970-7] - C-terminal (ab319035) at 1/1000 dilution

Lane 1:

Mouse liver tissue lysate at 20 µg

Lane 2:

Mouse testis tissue lysate at 20 µg

Lane 3:

Rat liver tissue lysate at 20 µg

Lane 4:

Rat testis tissue lysate at 20 µg

Secondary

All lanes:

Western blot - Goat Anti-Rabbit IgG H&L (HRP) (<a href='/en-us/products/secondary-antibodies/goat-rabbit-igg-h-l-hrp-ab97051'>ab97051</a>) at 1/20000 dilution

Observed band size: 80 kDa,36 kDa

false

Exposure time: 180s

Key facts

Host species

Rabbit

Clonality

Monoclonal

Clone number

EPR27970-7

Isotype

IgG

Carrier free

No

Reacts with

Human, Mouse, Rat

Applications

ChIP-seq, WB, Dot

applications

Immunogen

The exact immunogen used to generate this antibody is proprietary information.

Reactivity data

{ "title": "Reactivity Data", "filters": { "stats": ["", "Species", "Dilution Info", "Notes"], "tabs": { "all-applications": {"fullname" : "All Applications", "shortname": "All Applications"}, "Dot" : {"fullname" : "Dot Blot", "shortname":"Dot"}, "WB" : {"fullname" : "Western blot", "shortname":"WB"}, "IP" : {"fullname" : "Immunoprecipitation", "shortname":"IP"}, "IHCP" : {"fullname" : "Immunohistochemistry (Formalin/PFA-fixed paraffin-embedded sections)", "shortname":"IHC-P"}, "ICCIF" : {"fullname" : "Immunocytochemistry/ Immunofluorescence", "shortname":"ICC/IF"}, "FlowCytIntra" : {"fullname" : "Flow Cytometry (Intracellular)", "shortname":"Flow Cyt (Intra)"}, "ChIPseq" : {"fullname" : "ChIP-sequencing", "shortname":"ChIP-seq"}, "ChICCUTRUNseq" : {"fullname" : "ChIC/CUT&RUN sequencing", "shortname":"ChIC/CUT&RUN-seq"} }, "product-promise": { "all": "all", "testedAndGuaranteed": "tested", "guaranteed": "expected", "predicted": "predicted", "notRecommended": "not-recommended" } }, "values": { "Human": { "Dot-species-checked": "guaranteed", "Dot-species-dilution-info": "", "Dot-species-notes": "", "WB-species-checked": "testedAndGuaranteed", "WB-species-dilution-info": "1/1000", "WB-species-notes": "<p></p>", "IP-species-checked": "notRecommended", "IP-species-dilution-info": "", "IP-species-notes": "<p></p>", "IHCP-species-checked": "notRecommended", "IHCP-species-dilution-info": "", "IHCP-species-notes": "<p></p>", "ICCIF-species-checked": "notRecommended", "ICCIF-species-dilution-info": "", "ICCIF-species-notes": "<p></p>", "FlowCytIntra-species-checked": "notRecommended", "FlowCytIntra-species-dilution-info": "", "FlowCytIntra-species-notes": "<p></p>", "ChIPseq-species-checked": "guaranteed", "ChIPseq-species-dilution-info": "", "ChIPseq-species-notes": "", "ChICCUTRUNseq-species-checked": "notRecommended", "ChICCUTRUNseq-species-dilution-info": "", "ChICCUTRUNseq-species-notes": "" }, "Mouse": { "Dot-species-checked": "guaranteed", "Dot-species-dilution-info": "", "Dot-species-notes": "", "WB-species-checked": "testedAndGuaranteed", "WB-species-dilution-info": "1/1000", "WB-species-notes": "<p></p>", "IP-species-checked": "notRecommended", "IP-species-dilution-info": "", "IP-species-notes": "<p></p>", "IHCP-species-checked": "notRecommended", "IHCP-species-dilution-info": "", "IHCP-species-notes": "<p></p>", "ICCIF-species-checked": "notRecommended", "ICCIF-species-dilution-info": "", "ICCIF-species-notes": "<p></p>", "FlowCytIntra-species-checked": "notRecommended", "FlowCytIntra-species-dilution-info": "", "FlowCytIntra-species-notes": "<p></p>", "ChIPseq-species-checked": "testedAndGuaranteed", "ChIPseq-species-dilution-info": "8 µg", "ChIPseq-species-notes": "<p></p>", "ChICCUTRUNseq-species-checked": "notRecommended", "ChICCUTRUNseq-species-dilution-info": "", "ChICCUTRUNseq-species-notes": "<p></p>" }, "Rat": { "Dot-species-checked": "guaranteed", "Dot-species-dilution-info": "", "Dot-species-notes": "", "WB-species-checked": "testedAndGuaranteed", "WB-species-dilution-info": "1/1000", "WB-species-notes": "<p></p>", "IP-species-checked": "notRecommended", "IP-species-dilution-info": "", "IP-species-notes": "", "IHCP-species-checked": "notRecommended", "IHCP-species-dilution-info": "", "IHCP-species-notes": "<p></p>", "ICCIF-species-checked": "notRecommended", "ICCIF-species-dilution-info": "", "ICCIF-species-notes": "", "FlowCytIntra-species-checked": "notRecommended", "FlowCytIntra-species-dilution-info": "", "FlowCytIntra-species-notes": "", "ChIPseq-species-checked": "guaranteed", "ChIPseq-species-dilution-info": "", "ChIPseq-species-notes": "", "ChICCUTRUNseq-species-checked": "notRecommended", "ChICCUTRUNseq-species-dilution-info": "", "ChICCUTRUNseq-species-notes": "" }, "Recombinant fragment - Human": { "Dot-species-checked": "testedAndGuaranteed", "Dot-species-dilution-info": "1/1000", "Dot-species-notes": "<p></p>", "WB-species-checked": "notRecommended", "WB-species-dilution-info": "", "WB-species-notes": "", "IP-species-checked": "notRecommended", "IP-species-dilution-info": "", "IP-species-notes": "", "IHCP-species-checked": "notRecommended", "IHCP-species-dilution-info": "", "IHCP-species-notes": "", "ICCIF-species-checked": "notRecommended", "ICCIF-species-dilution-info": "", "ICCIF-species-notes": "", "FlowCytIntra-species-checked": "notRecommended", "FlowCytIntra-species-dilution-info": "", "FlowCytIntra-species-notes": "", "ChIPseq-species-checked": "notRecommended", "ChIPseq-species-dilution-info": "", "ChIPseq-species-notes": "", "ChICCUTRUNseq-species-checked": "notRecommended", "ChICCUTRUNseq-species-dilution-info": "", "ChICCUTRUNseq-species-notes": "" } } }

Product details

Patented technology
Our RabMAb® technology is a patented hybridoma-based technology for making rabbit monoclonal antibodies. For details on our patents, please refer to RabMAb® patents.

What are the advantages of a recombinant monoclonal antibody?
This product is a recombinant monoclonal antibody, which offers several advantages including:

  • - High batch-to-batch consistency and reproducibility
  • - Improved sensitivity and specificity
  • - Long-term security of supply
  • - Animal-free batch production

For more information, read more on recombinant antibodies.

Properties and storage information

Form
Liquid
Purification technique
Affinity purification Protein A
Storage buffer
pH: 7.2 - 7.4 Preservative: 0.01% Sodium azide Constituents: PBS, 40% Glycerol (glycerin, glycerine), 0.05% BSA
Shipped at conditions
Blue Ice
Appropriate short-term storage duration
1-2 weeks
Appropriate short-term storage conditions
+4°C
Appropriate long-term storage conditions
-20°C
Aliquoting information
Upon delivery aliquot
Storage information
Avoid freeze / thaw cycle

Supplementary information

This supplementary information is collated from multiple sources and compiled automatically.

KMT2B also known as MLL4 is a protein complex that functions as a histone methyltransferase. It specifically catalyzes the methylation of histone H3 on lysine 4 (H3K4) a modification associated with transcriptional activation. KMT2B has a molecular mass of approximately 296 kDa and is widely expressed in human tissues with notable expression in the brain heart and skeletal muscle. This protein is part of the COMPASS-like complexes which play significant roles in chromatin remodeling.
Biological function summary

KMT2B contributes to regulating gene expression. As part of the larger COMPASS-like complex it cooperates with other regulatory proteins to modify chromatin structure facilitating easier access of transcriptional machinery to DNA. This action influences the activation of genes important for cell differentiation and development. KMT2B interacts with several cofactors including WRAD components (WDR5 RBBP5 ASH2L and DPY30) enhancing its enzymatic activity.

Pathways

KMT2B functions prominently in signaling mechanisms like the Wnt and MAPK pathways. These pathways are integral to cell growth and differentiation. The protein intricately connects with other pathways’ proteins including beta-catenin in the Wnt pathway and ERK1/2 in the MAPK pathway. These interactions highlight KMT2B's role in regulating cellular functions and development.

KMT2B has associations with neurodevelopmental disorders and specific forms of cancer. Mutations in KMT2B can lead to dystonia a movement disorder characterized by involuntary muscle contractions. In cancer alterations affect pathways involving oncogenic factors such as MYC highlighting the critical connections between KMT2B and cellular growth regulation. Understanding these links provides insights into potential therapeutic targets for related conditions.

Product protocols

For this product, it's our understanding that no specific protocols are required. You can visit:

Target data

Histone methyltransferase that catalyzes methyl group transfer from S-adenosyl-L-methionine to the epsilon-amino group of 'Lys-4' of histone H3 (H3K4) via a non-processive mechanism. Part of chromatin remodeling machinery predominantly forms H3K4me1 and H3K4me2 methylation marks at active chromatin sites where transcription and DNA repair take place (PubMed : 17707229, PubMed : 25561738). Likely plays a redundant role with KMT2C in enriching H3K4me1 marks on primed and active enhancer elements (PubMed : 24081332). Plays a central role in beta-globin locus transcription regulation by being recruited by NFE2 (PubMed : 17707229). Plays an important role in controlling bulk H3K4me during oocyte growth and preimplantation development (By similarity). Required during the transcriptionally active period of oocyte growth for the establishment and/or maintenance of bulk H3K4 trimethylation (H3K4me3), global transcriptional silencing that preceeds resumption of meiosis, oocyte survival and normal zygotic genome activation (By similarity).
See full target information KMT2B

Product promise

We are committed to supporting your work with high-quality reagents, and we're here for you every step of the way. In the unlikely event that one of our products does not perform as expected, you're protected by our Product Promise.
For full details, please see our Terms & Conditions

Please note: All products are 'FOR RESEARCH USE ONLY. NOT FOR USE IN DIAGNOSTIC OR THERAPEUTIC PROCEDURES'.

For licensing inquiries, please contact partnerships@abcam.com